【50代女性】銀歯を見た目のきれいなセラミックに
治療概要
- 患者様:50代女性
- 治療期間:1ヶ月
- 概算治療費:7万円
※費用は治療当時の料金となります - 担当医:福本健生
治療動機
健診にて来院された患者様です。
治療計画
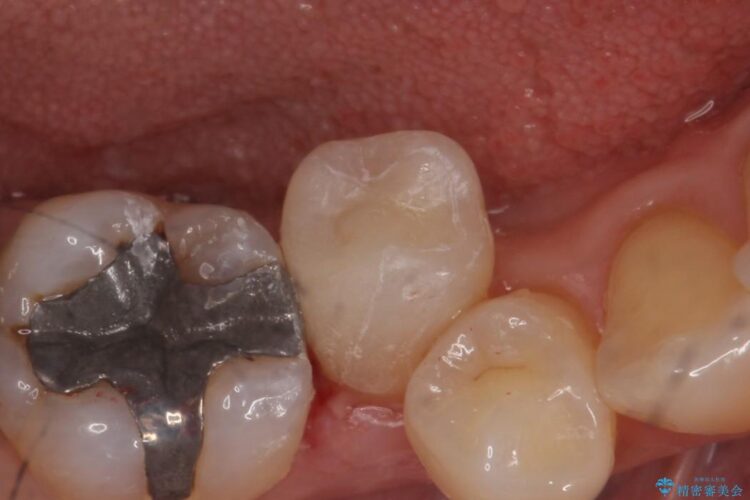
口腔内を調べたところ、右下5番の歯の詰めの下に虫歯を認めました。歯が舌側にズレていて歯磨きをしづらい位置なこともあり、虫歯が再発している状態でした。
虫歯部分を丁寧に取り除き、見た目の問題から患者様のご希望もあり、変性の少ないセラミックインレーを用いて機能と見た目の回復をする計画としました。
治療後について
前の銀歯のように目立たず見た目のきれいな仕上がりとなり、大変喜んでいただきました。
セラミックインレーによる審美修復について
虫歯の治療をする際に審美性の高いセラミックを選ぶ方は数多くいます。
保険診療と比べて自費診療では型どりの精度が良く、また周りの歯と馴染む色を選択することができます。
今回のケースでは下顎の歯が対象でしたが、人の目に触れやすい部分ではより患者様と話し合い、見た目にご満足いただけるような仕上がりを追及しております。
また、セラミックは噛み合わせの力が強い場合などに割れる可能性があるため、しっかりと咬合調整を行い、無理な力が加わらないように仕上げます。
関連する他の症例
セラミック治療の注意事項(リスク・副作用など)
- 天然歯を削ります
- 硬い素材は天然歯を傷つけてしまう場合があります
- かみ合わせや歯ぎしりが強すぎる方はセラミックが割れてしまう可能性があります
- 自費診療(保険適用外治療)となります



