【10代女性】歯並びを整えて自信が持てる素敵な笑顔に
治療概要
- 患者様:10代女性
- 治療期間:1年8ヶ月
- 矯正装置:インビザライン コンプリヘンシブパッケージ
- 概算治療費:79.2万円
※費用は治療当時の料金となります - 担当医:福本健生
治療動機
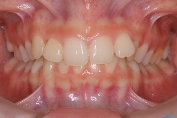
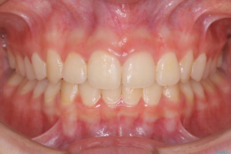
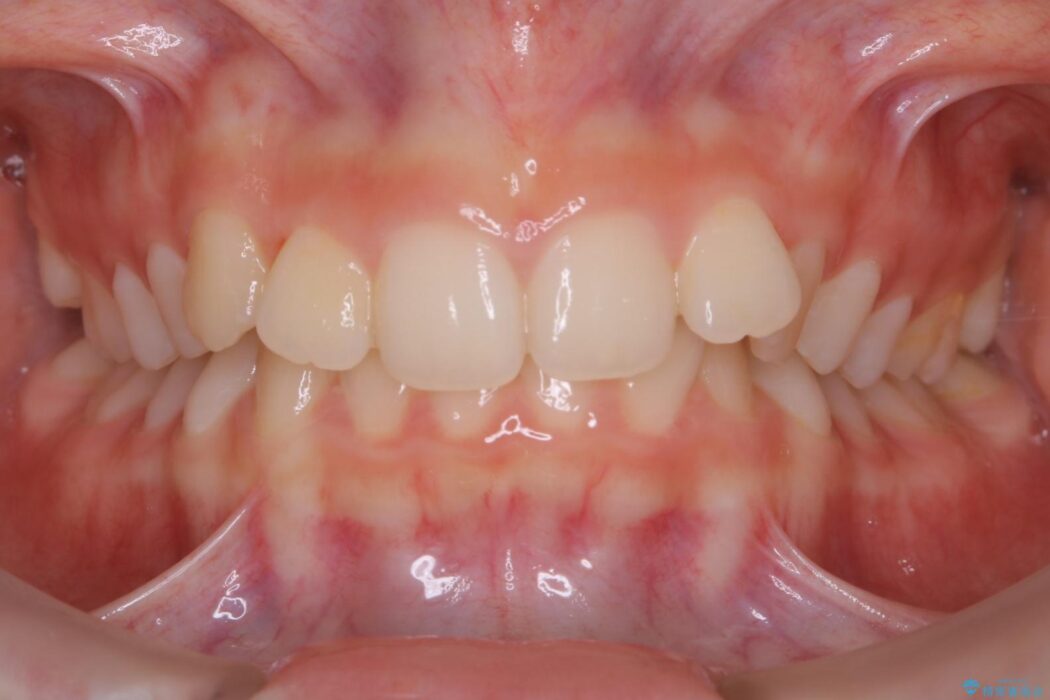
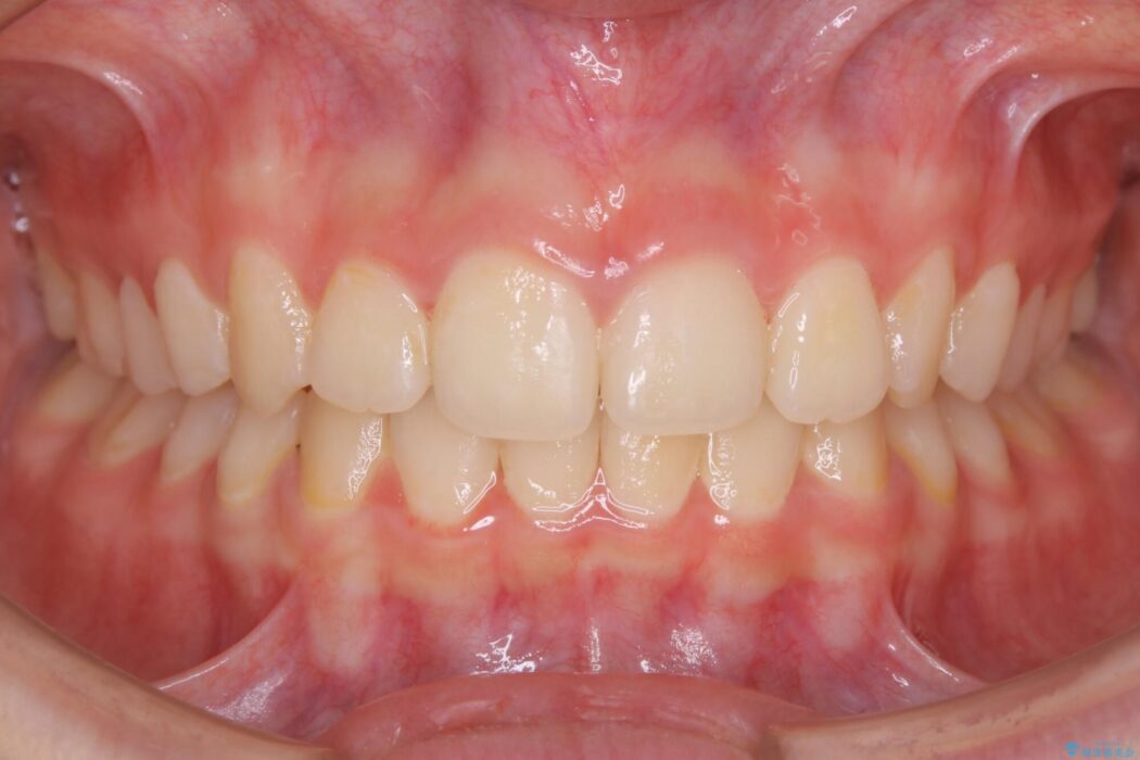
笑った時に見える口元を整えたいとのことで来院されました。
治療計画
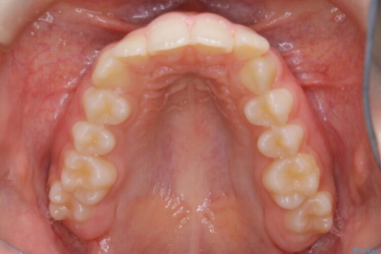
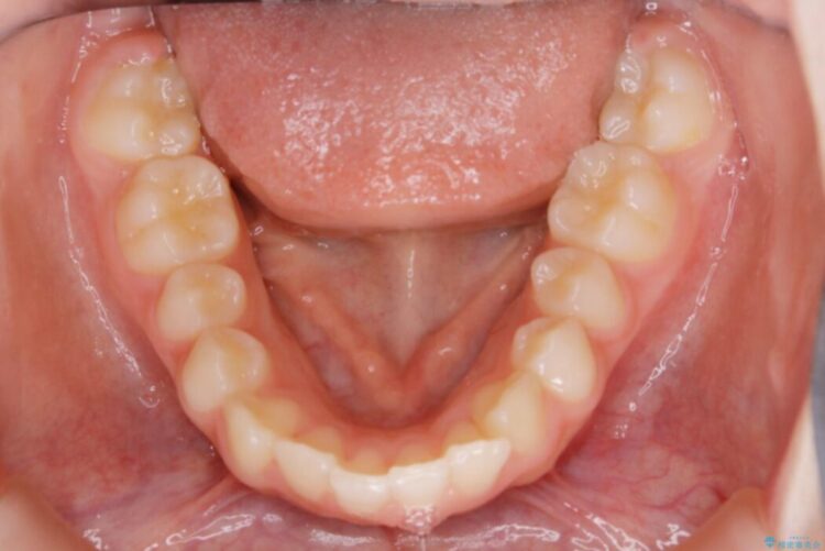
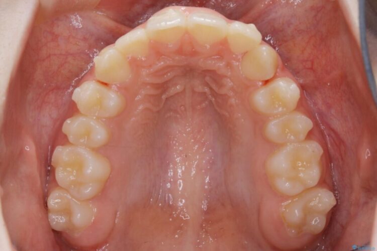
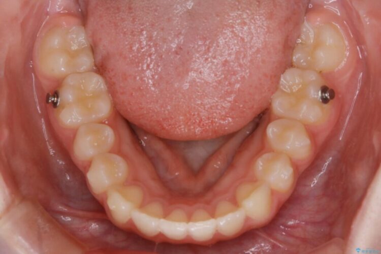
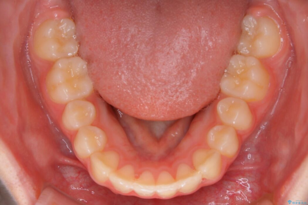
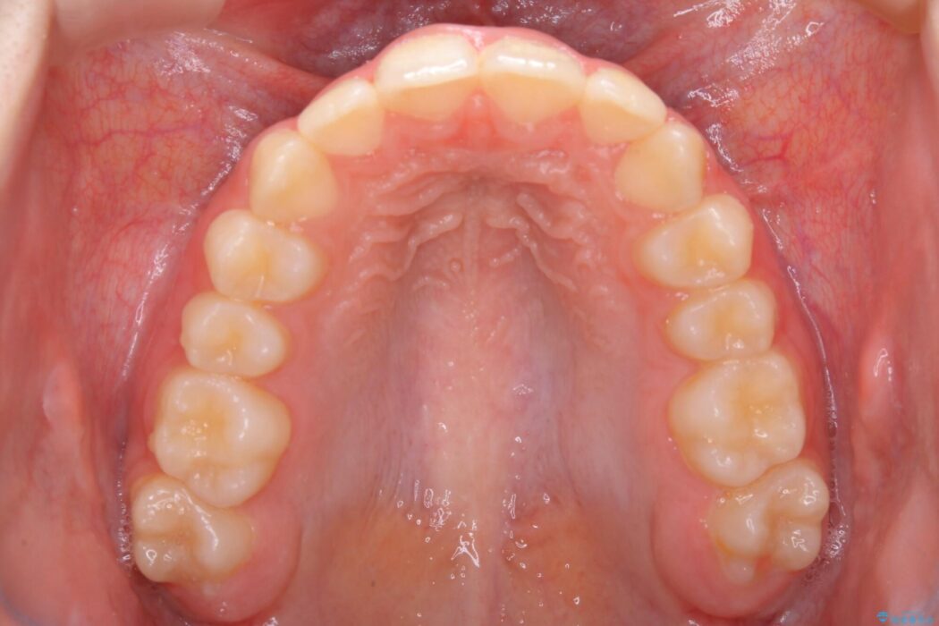
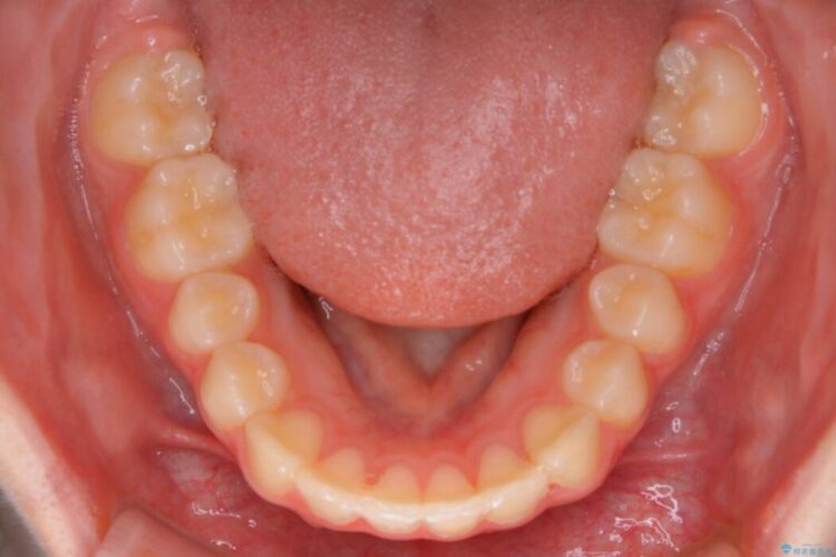
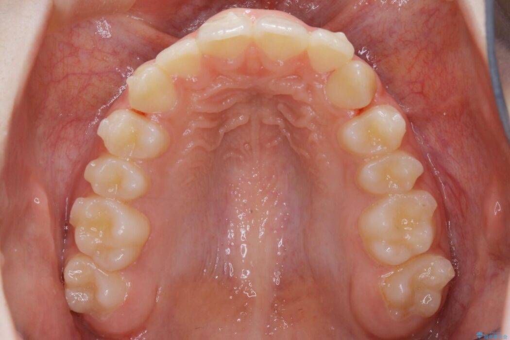
患者様の顔や顎の骨が比較的小さく、それ故に前歯に叢生が生じ狭窄歯列弓になってしまっている状態でした。
また過蓋咬合(ディープバイト)も確認できました。
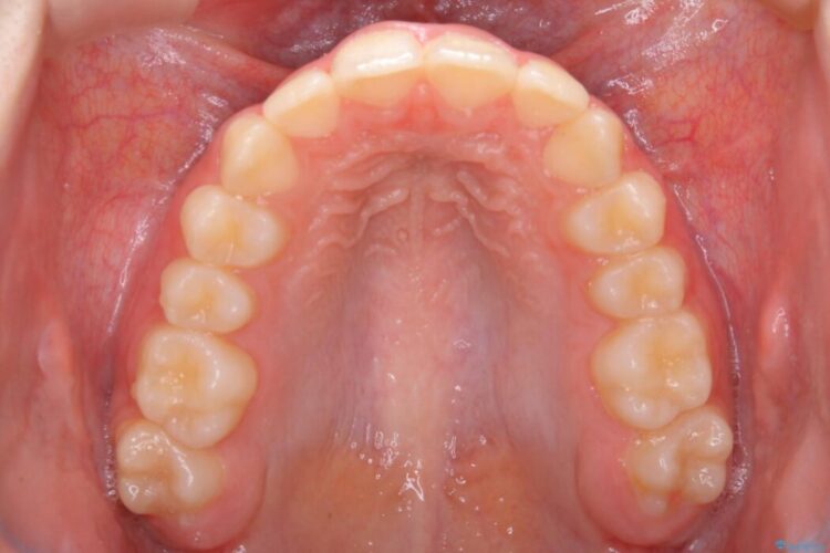
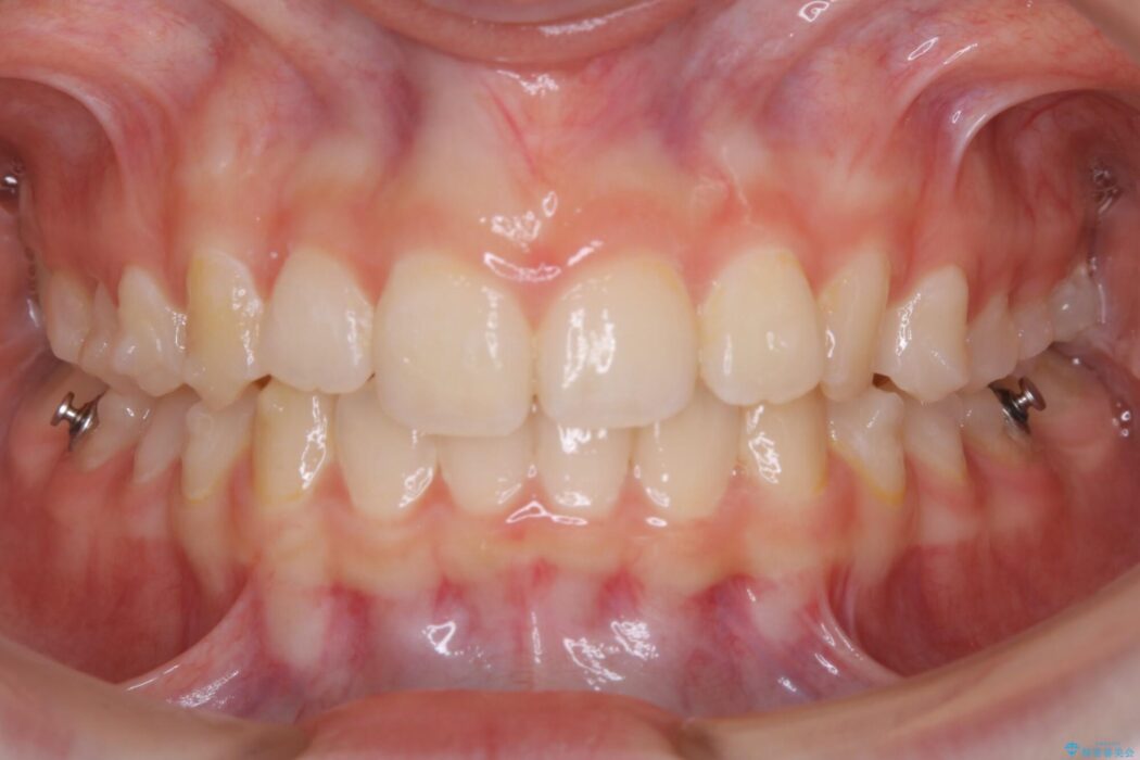
本症例ではマウスピース(インビザライン)の矯正装置を用いて歯列の幅や位置を整えることにより噛み合わせや見栄えを改善していくこととしました。
治療後について
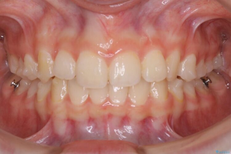
スマイルラインがきれいに整い、患者様には喜んでいただけました。
治療について
一見噛み合わせに問題があるようには見えないかもしれません。
ですが実際に精密検査を行うと改善した方がいい部分が見つかることが多々あります。
当院では、矯正治療をする際には見た目の改善よりも、一生付き合っていくことになる歯の機能面を主目的とし、長持ちする口腔内環境を整えることに重きを置く必要があると考えています。
しかしながら患者様のご希望はとても大切であり、当院の理想を押し付けることが良い治療とは言えないので、よく話し合った上で最も適した治療のゴールを設定していければと思います。
関連する他の症例
マウスピース矯正の注意事項(リスク・副作用など)
- 口腔内・歯並びの状態によっては対応できない場合があります
- マウスピース型矯正装置の長時間装着(1日20時間以上)が必須です
- 治療計画通りに進めるためには、患者様の意志が重要になります
- 矯正治療後の保定が不十分だと後戻り(元の位置に戻ろうとする動き)をします
- 薬機法対象外の矯正歯科装置のため医薬品副作用被害救済制度の対象外となる場合があります
- 自費診療(保険適用外)となります









