【20代女性】抜歯矯正で出っ張った口元を改善する
治療概要
- 患者様:20代女性
- 治療期間:2年3ヶ月
- 矯正装置:ワイヤー(審美装置)
- 概算治療費:107.8万円
※費用は治療当時の料金となります - 担当医:福本健生
治療動機
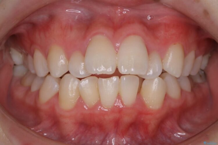
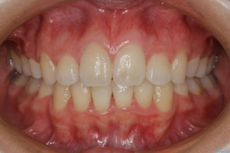
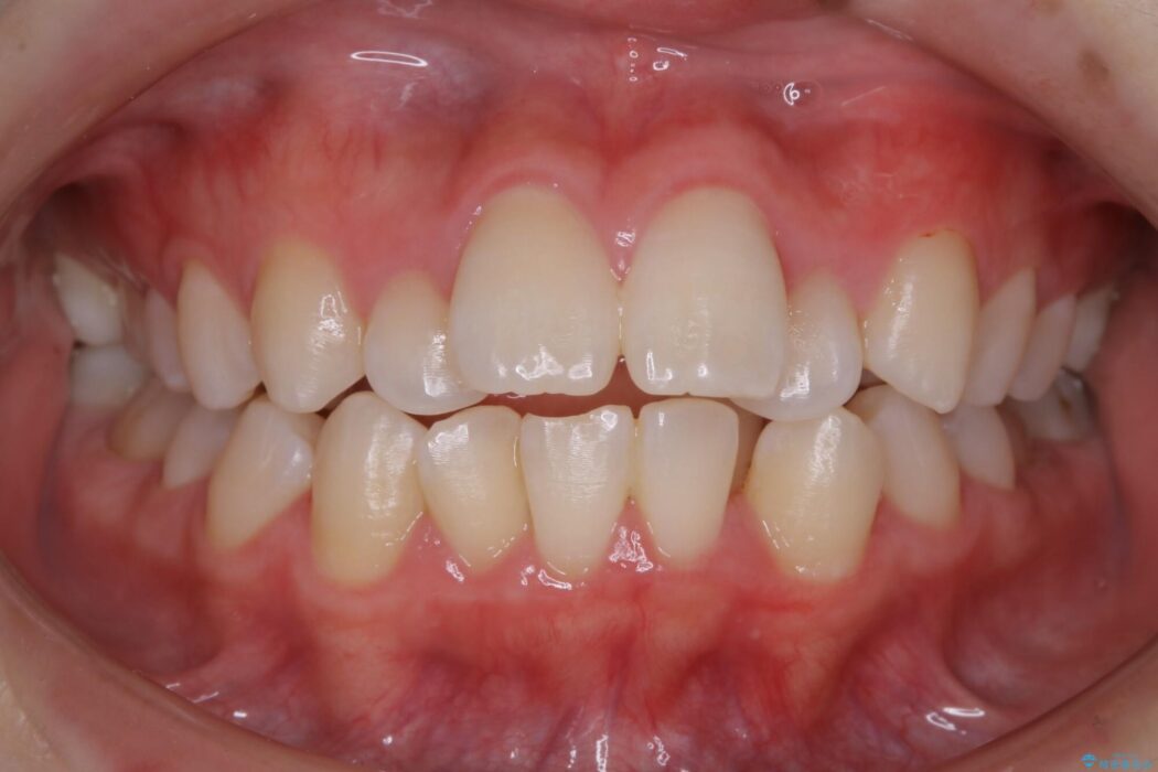
前に出ている口元を下げたいとの主訴で来院されました。
治療計画
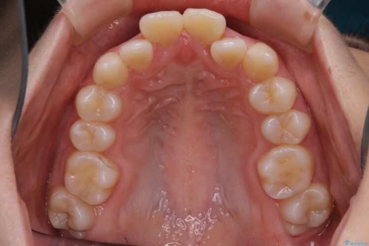
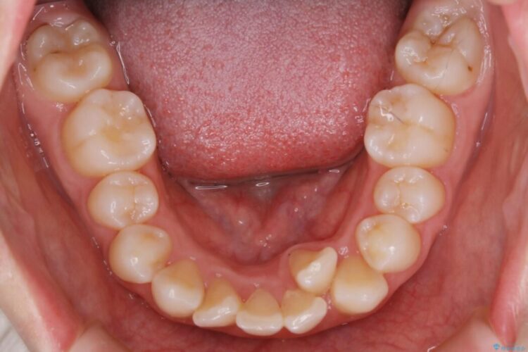
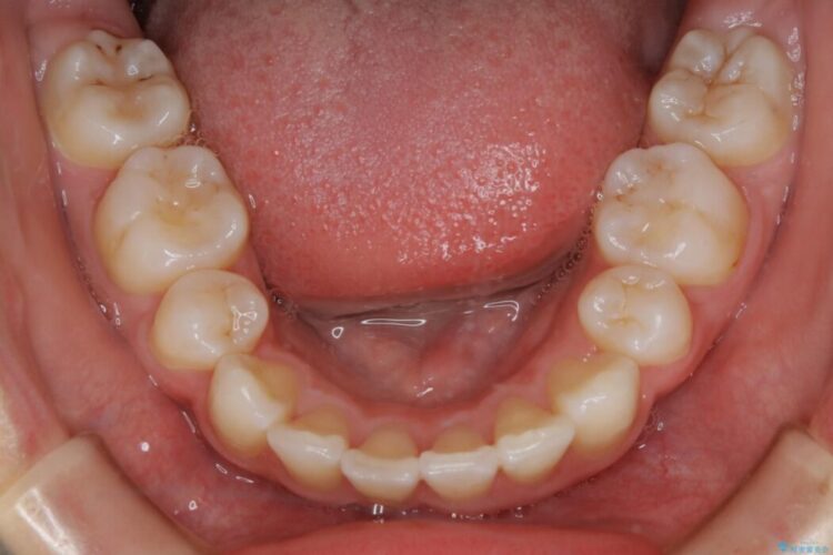
検査したところ歯に対して骨が上顎・下顎共に小さいことがわかりました。
それによりスペースが少なく歯列がガタついたり前方傾斜する生え方となっていました。
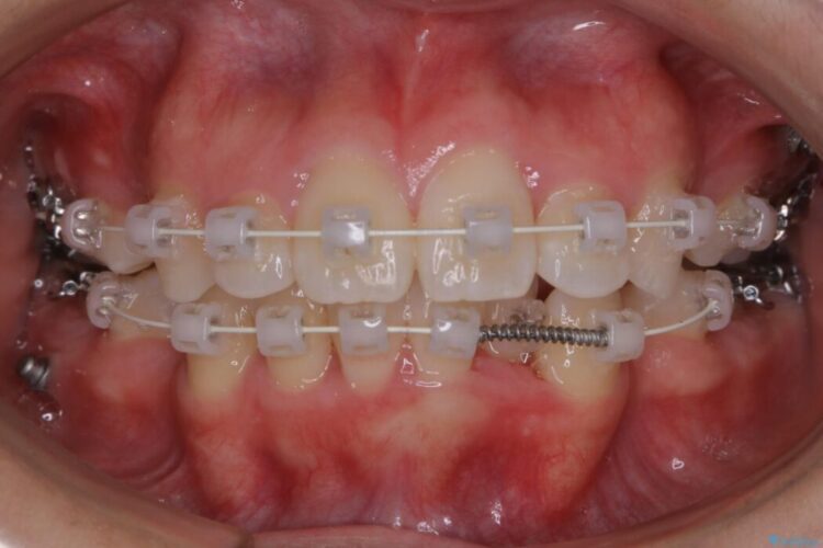
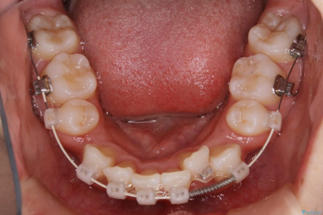
よって本症例では抜歯により歯の本数を減らすことにより整えるスペースを確保してワイヤー装置にて歯列矯正を行うこととしました。
治療後について
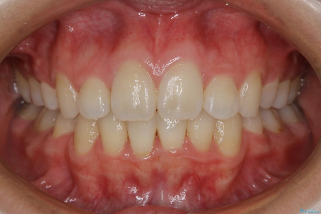
顔貌のビフォーアフターでもわかるように口元の出っ張りが改善され、患者様にはとても喜んでいただけました。
横顔であったり笑った時の印象にも変化があるため、同様のお悩みを抱えている方はぜひご相談ください。
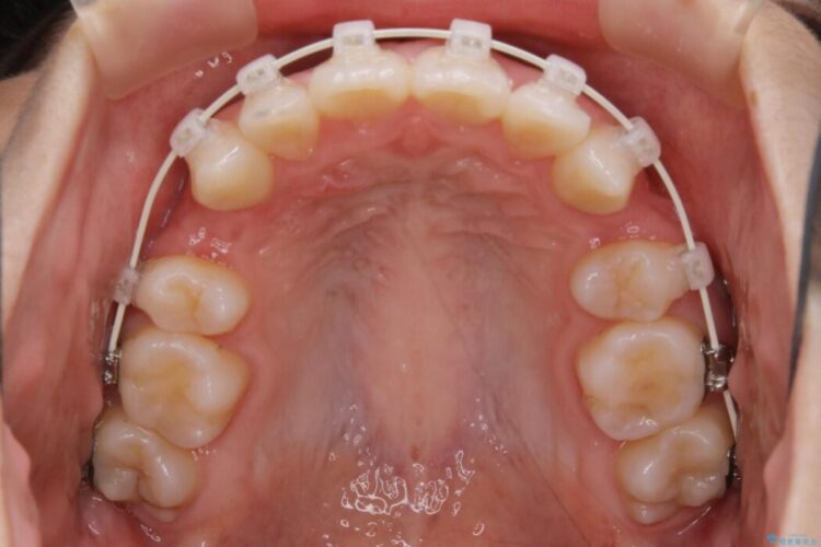
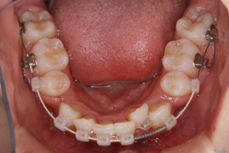
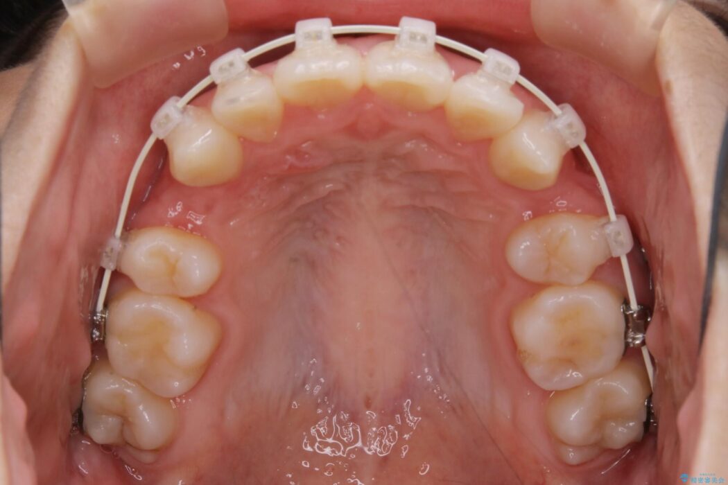
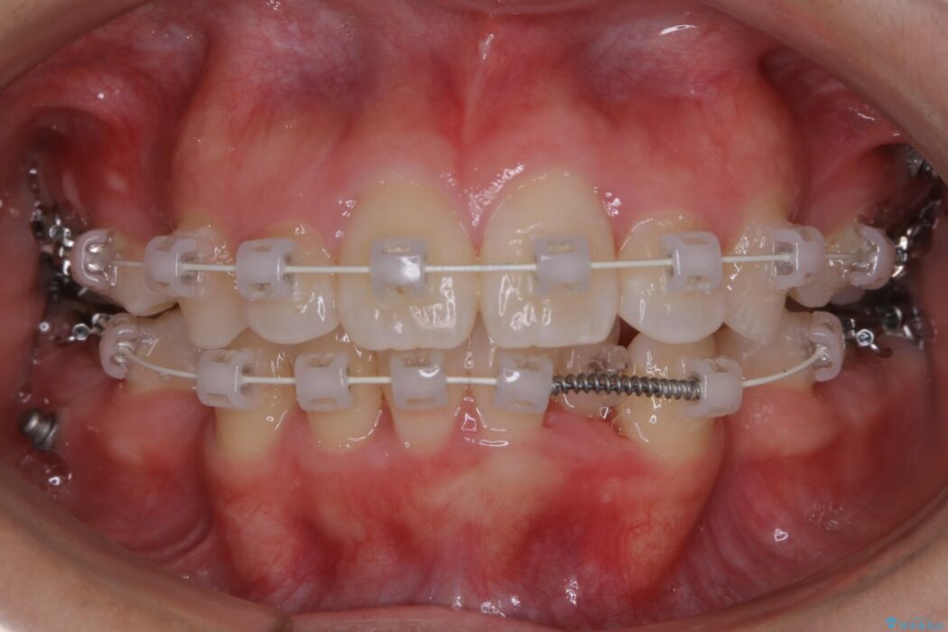
抜歯矯正
本症例の患者様は顎の骨が小さく歯をきれいに並べるための隙間がないため、歯が重なったり傾斜してしまっていました。
抜歯を行うことによりスペースを確保し、小さい骨幅でも歯並びを整えることができます。
関連する他の症例
ワイヤー矯正の注意事項(リスク・副作用など)
- 治療中は違和感や痛みが起こることがあります
- 症状により、抜歯が必要な場合があります
- 治療中は歯磨きがしにくくなるため、虫歯や歯周病になりやすくなります
- 矯正治療後の保定が不十分だと後戻り(元の位置に戻ろうとする動き)をします
- 自費診療(保険適用外)となります











