【20代男性】上顎のガタガタな歯列をインビザラインで矯正治療
治療概要
- 患者様:20代男性
- 治療期間:2年
- 矯正装置:インビザライン
- 概算治療費:88万円+TAX(マイクロインプラント費用込)
※費用は治療当時の料金となります - 担当医:福本健生
治療動機
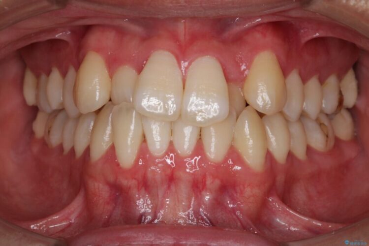
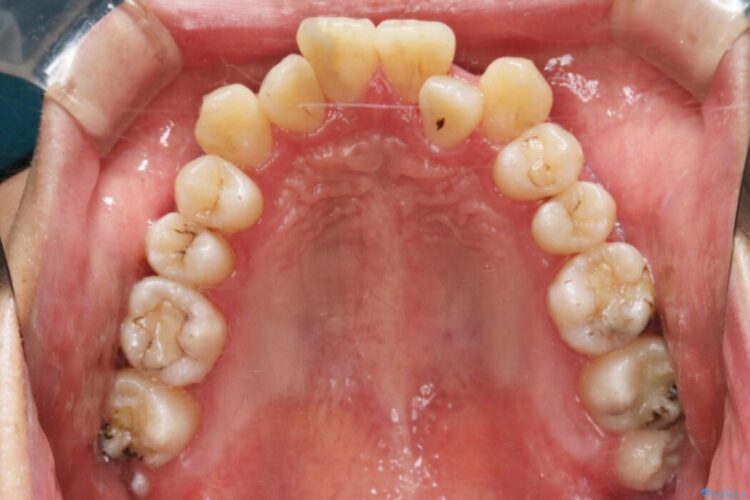
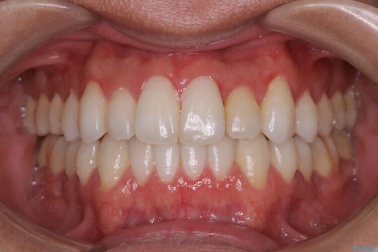
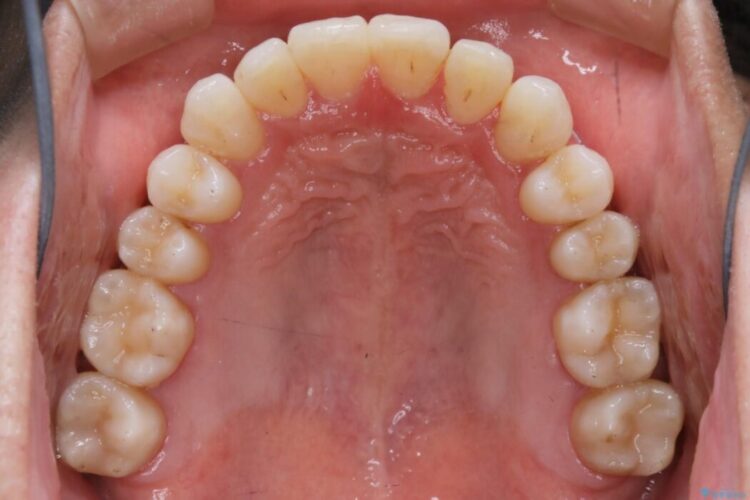
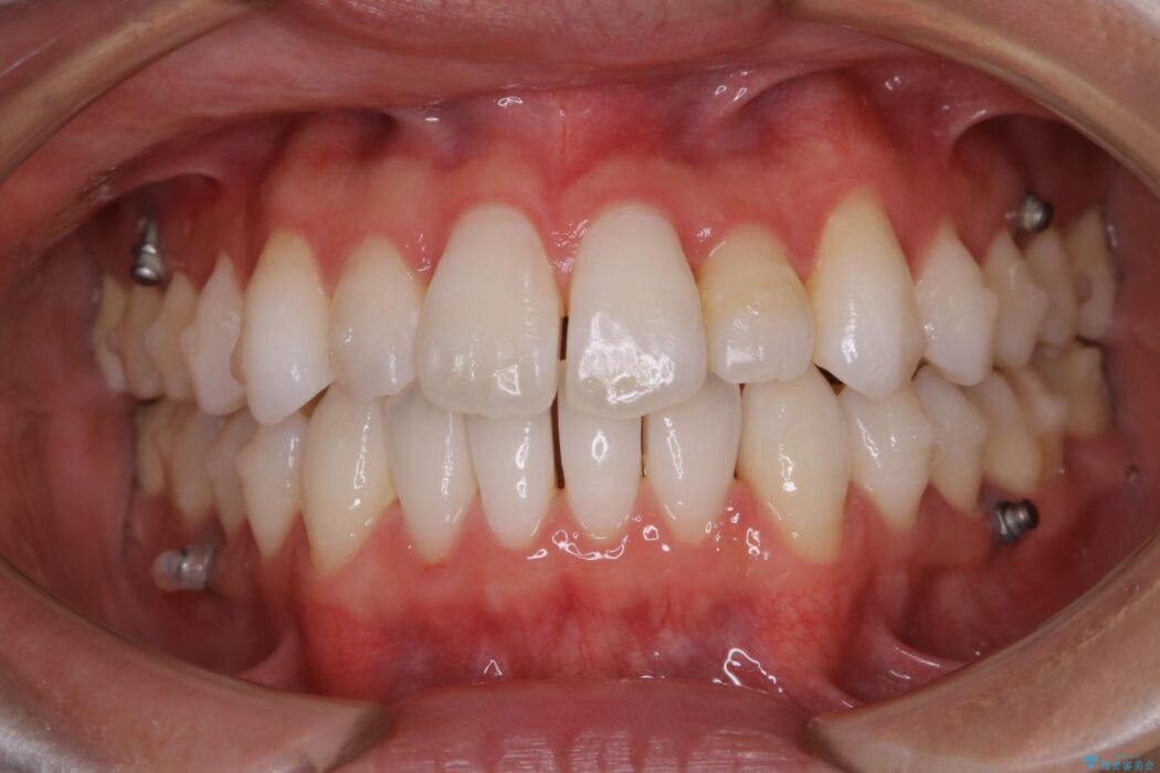
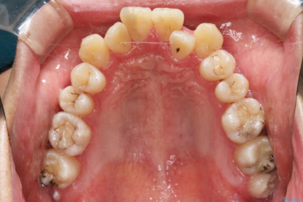
上顎歯列弓のガタガタを治療したいとのことで来院されました。
治療計画
目立たない矯正装置をご希望されていたため、インビザラインでの治療をご提案しました。
治療後について
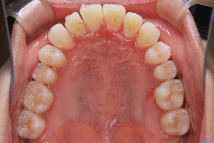
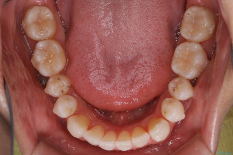
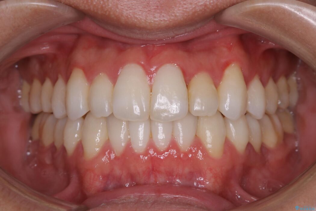
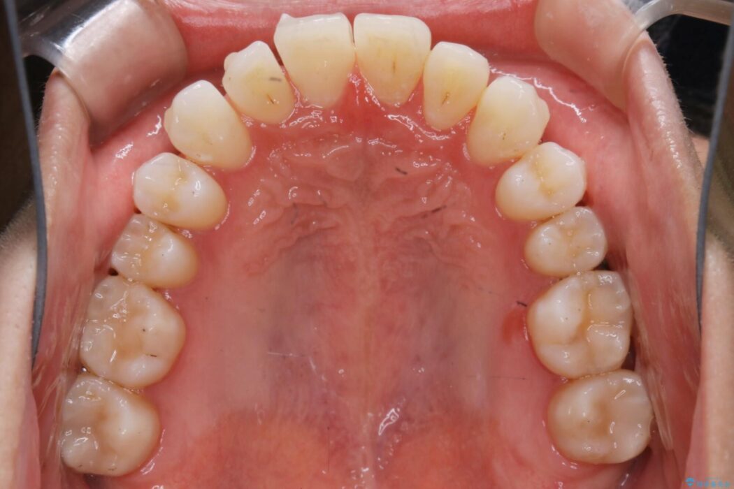
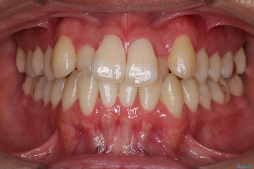
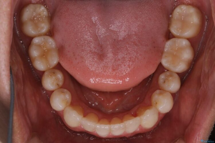
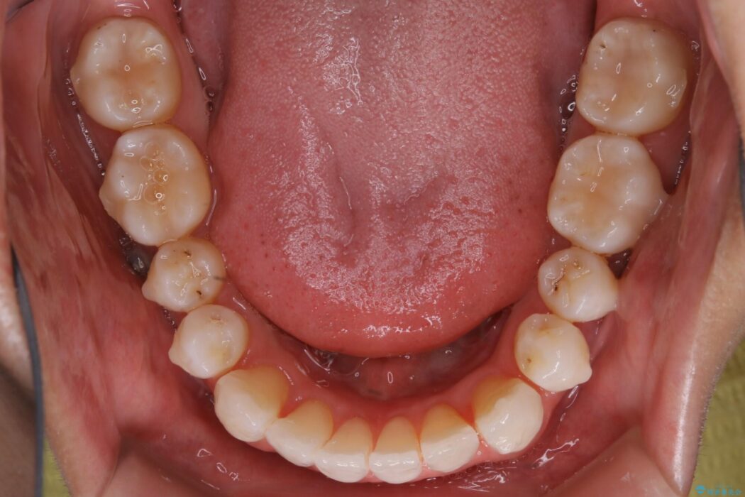
前に出ていた前歯や目立つ八重歯(3番目の歯)もきれいに並び、奥歯の虫歯治療も並行して行ったため、機能面でも見た目的にも良くなり満足していただきました。
抜歯をしない治療について
非抜歯での矯正治療ではスペースの確保が必要となります。
・歯の遠心移動
・歯列弓の拡大
・IPR(歯の側面を少し削る)
本症例では上記3つの方法を複合的に組み合わせた治療を行いました。
関連する他の症例
マウスピース矯正の注意事項(リスク・副作用など)
- 口腔内・歯並びの状態によっては対応できない場合があります
- マウスピース型矯正装置の長時間装着(1日20時間以上)が必須です
- 治療計画通りに進めるためには、患者様の意志が重要になります
- 矯正治療後の保定が不十分だと後戻り(元の位置に戻ろうとする動き)をします
- 薬機法対象外の矯正歯科装置のため医薬品副作用被害救済制度の対象外となる場合があります
- 自費診療(保険適用外)となります









