【20代女性】抜歯ワイヤー矯正で八重歯がスッキリ
治療概要
- 患者様:20代女性
- 治療期間:1年6ヶ月
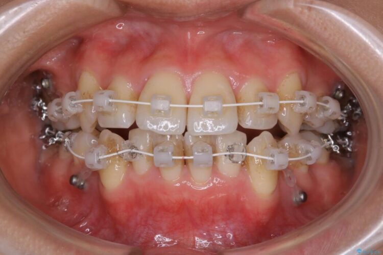
- 矯正装置:審美装置
- 概算治療費:審美装置:93万円 マイクロインプラント:8.8万円
※費用は治療当時の料金となります - 担当医:福本健生
治療動機
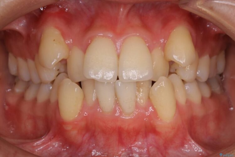
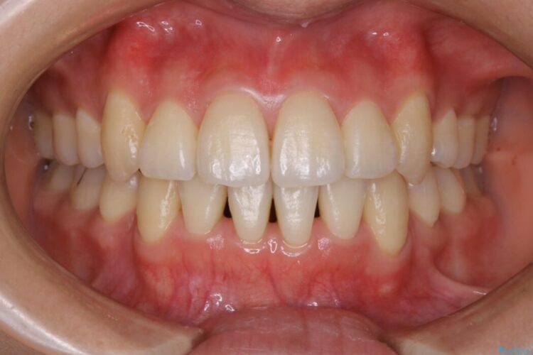
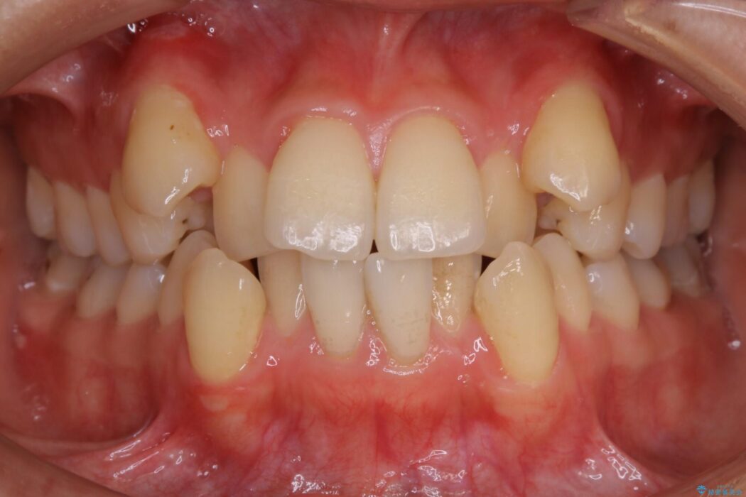
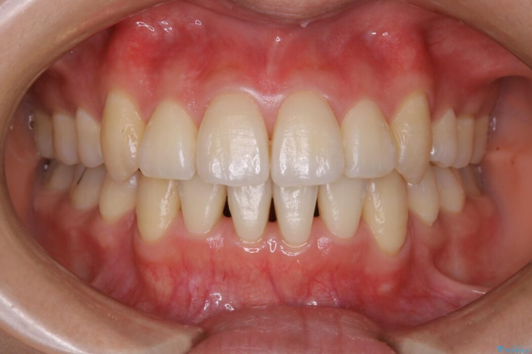
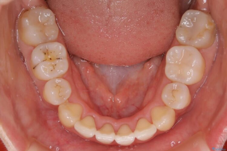
飛び出ている八重歯に以前からコンプレックスを抱いており改善したいとの主訴で来院されました。
治療計画
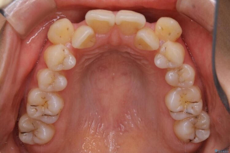
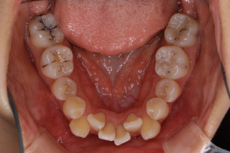
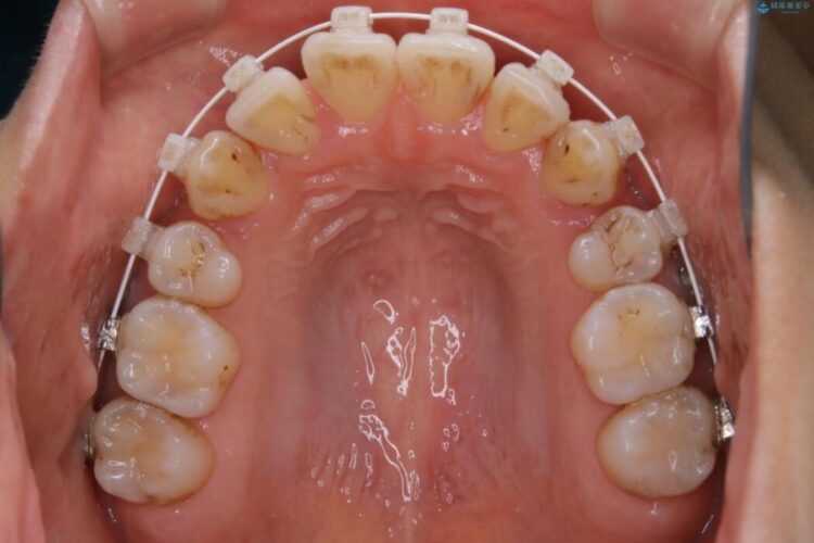
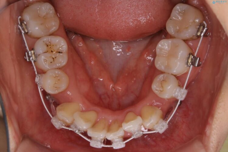
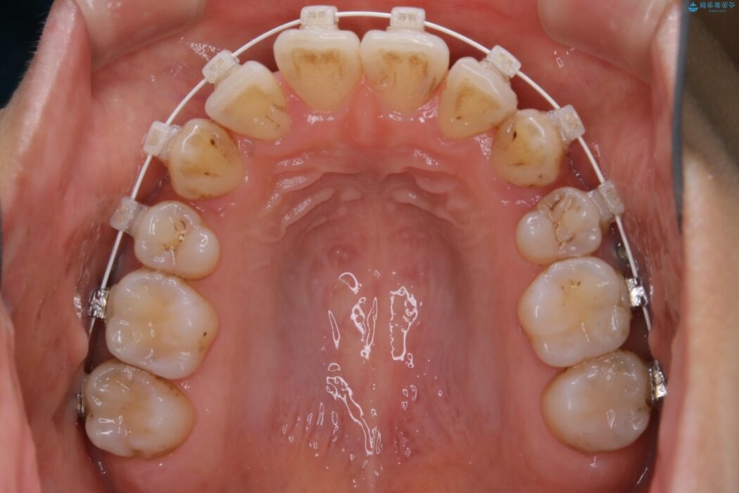
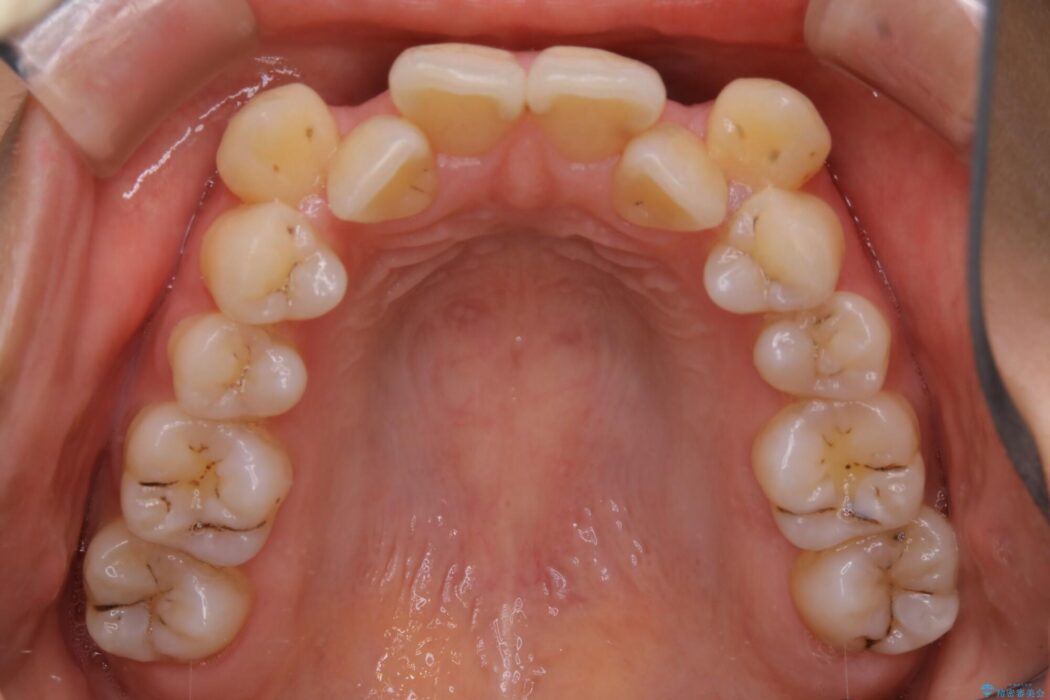
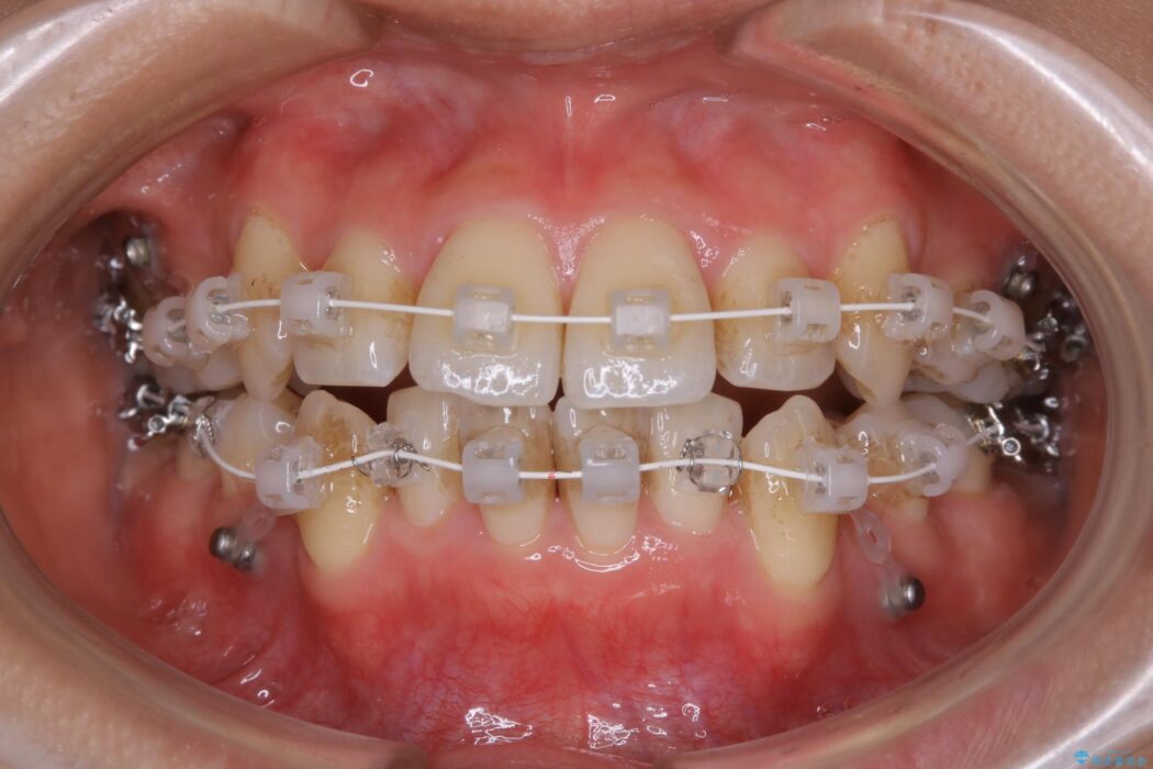
検査をしたところ重度の叢生であり、歯列を整えるためのスペースを確保が必要だったため、抜歯をすることでスペースを作って並べる方法をご提案し、ワイヤー装置を用いた治療を開始することとなりました。
治療後について
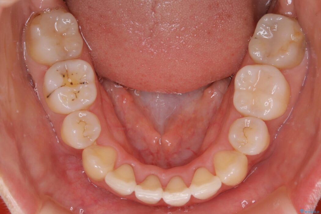
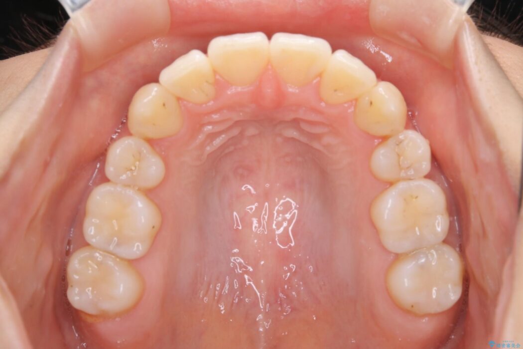
奥歯は上下ともズレは軽度で、必要なスペースと抜歯によってできるスペースがほぼ等量だったため、治療の単純化が計れ、大きな移動・見た目の劇的な変化に対して比較的早期での治療完了となりました。
移動量が多い治療でしたが、八重歯以外の部分には大きな問題が見られなかったため、同じような移動量の治療と較べても短期間で治療が完了しました。
関連する他の症例
ワイヤー矯正の注意事項(リスク・副作用など)
- 治療中は違和感や痛みが起こることがあります
- 症状により、抜歯が必要な場合があります
- 治療中は歯磨きがしにくくなるため、虫歯や歯周病になりやすくなります
- 矯正治療後の保定が不十分だと後戻り(元の位置に戻ろうとする動き)をします
- 自費診療(保険適用外)となります









