【20代女性】出っ歯の矯正 治療例
治療概要
- 患者様:20代女性
- 治療期間:2年
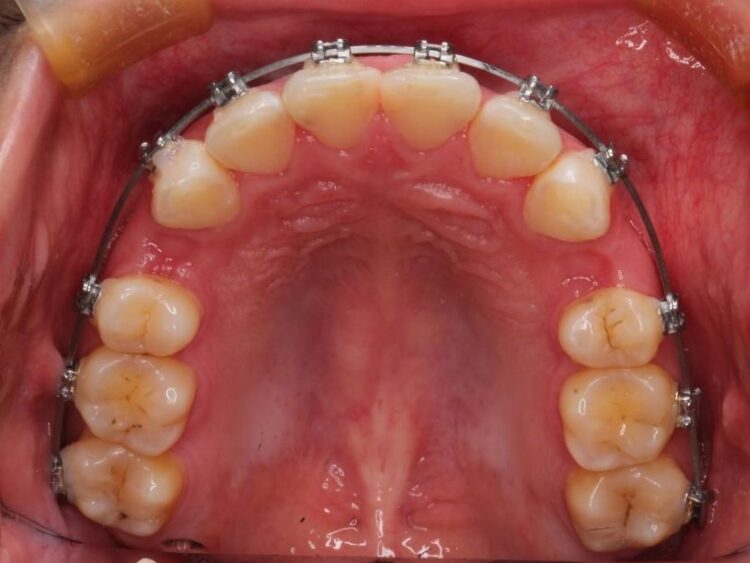
- 矯正装置:メタル装置
- 概算治療費:60万円
※費用は治療当時の料金となります - 担当医:福本健生
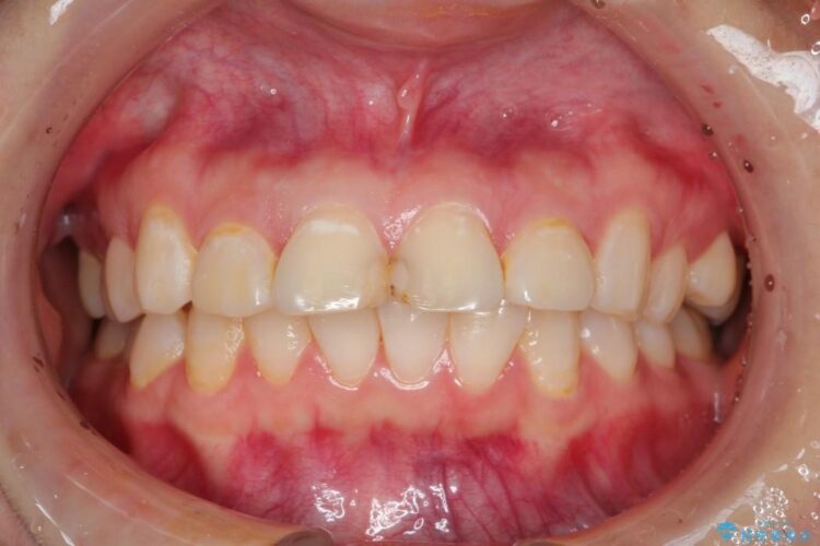
治療動機
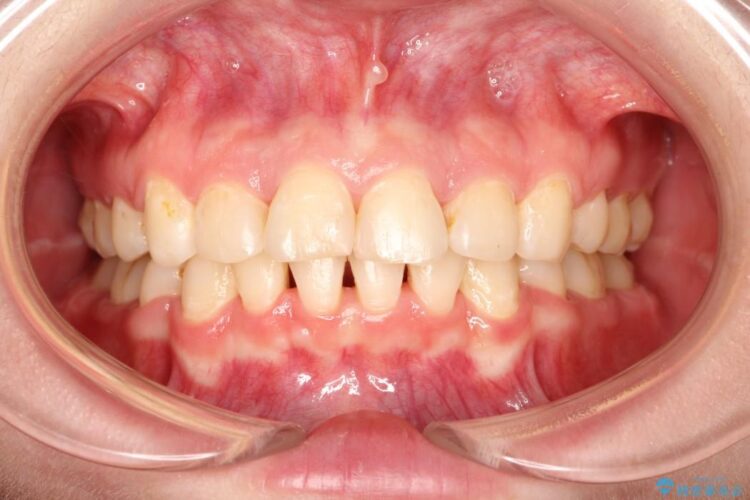
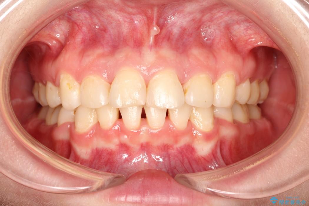
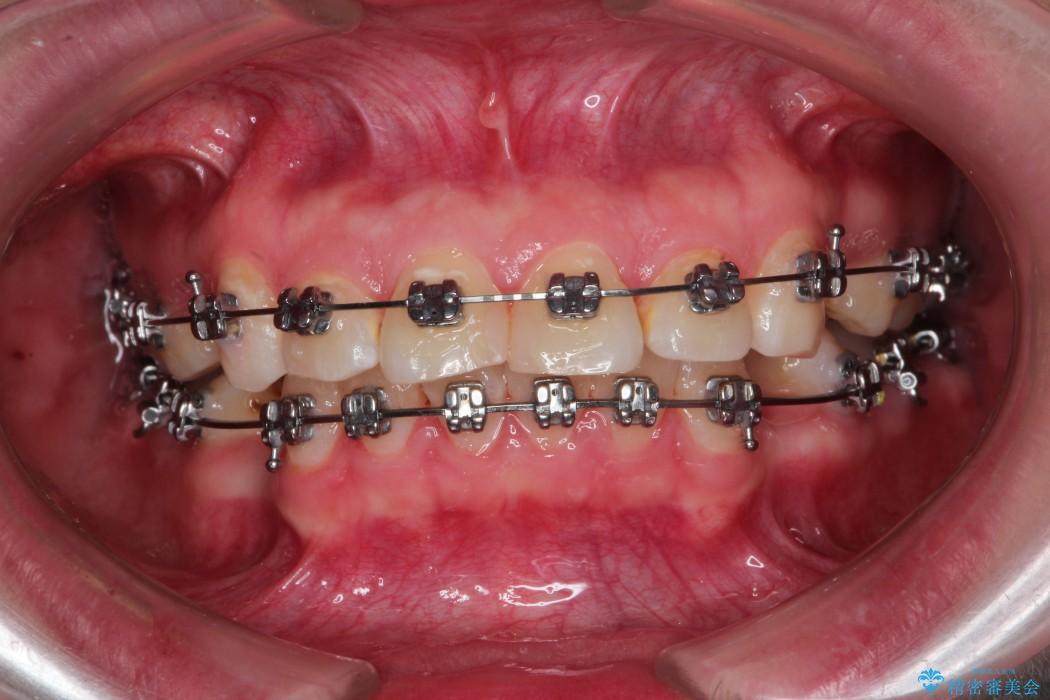
口元が出ていることを気にされて来院されました。
治療計画
治療費の安い矯正治療を希望されていたため、メタルのワイヤー装置にて治療する計画にしました。また、歯みがきが苦手だったため、矯正治療をする前に徹底的にブラッシング指導を行いました。
治療後について
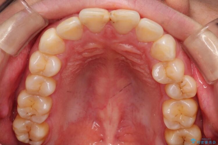
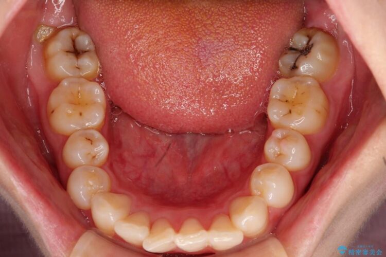
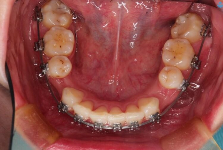
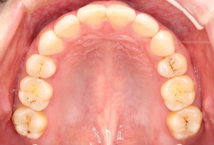
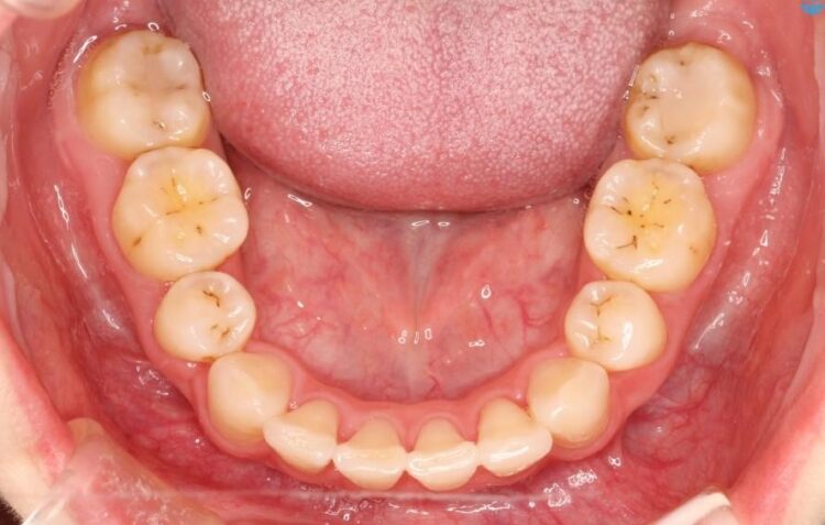
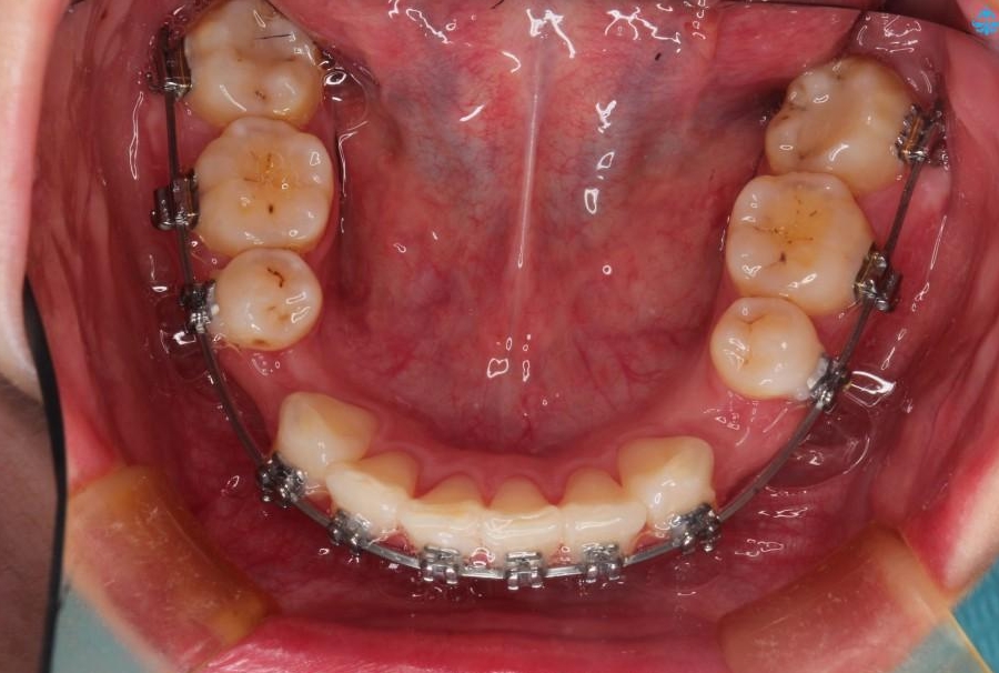
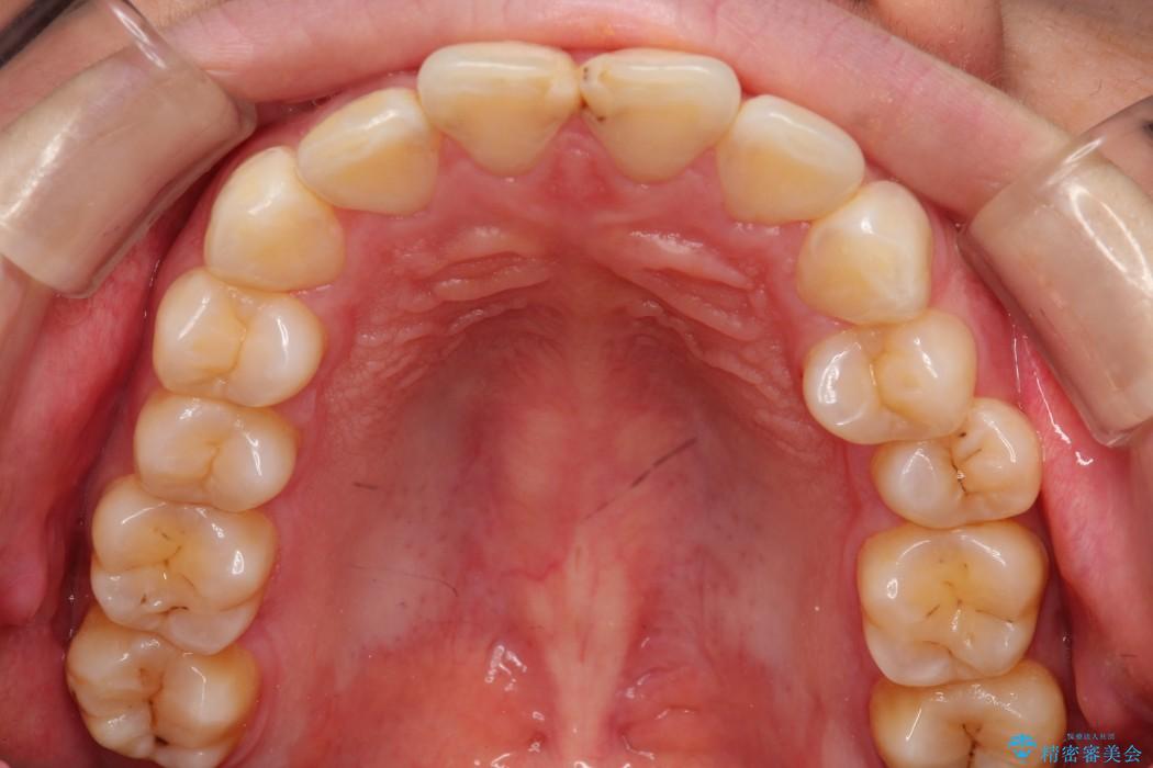
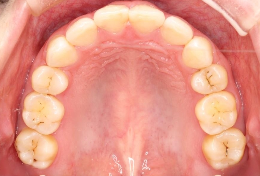
出ている歯を引っ込めるためのスペースを作るため、上下左右の小臼歯を抜歯し、ワイヤー矯正を行いました。治療後は、口元がスッキリとしたことで患者様にも喜んでいいただきました。
当院の矯正治療の特徴
・治療費総額を事前にご提示します
・矯正医が多数在籍しています
・矯正以外の治療が必要な場合、担当医師が連携して治療を行います
関連する他の症例
ワイヤー矯正の注意事項(リスク・副作用など)
- 治療中は違和感や痛みが起こることがあります
- 症状により、抜歯が必要な場合があります
- 治療中は歯磨きがしにくくなるため、虫歯や歯周病になりやすくなります
- 矯正治療後の保定が不十分だと後戻り(元の位置に戻ろうとする動き)をします
- 自費診療(保険適用外)となります









