【20代女性】前歯の真ん中(正中)のズレとガタつきを効率よく矯正する
治療概要
- 患者様:20代女性
- 治療期間:1年8ヶ月
- 矯正装置:インビザライン コンプリヘンシブパッケージ
- 概算治療費:96.8万円(マイクロインプラント費用込)
※費用は治療当時の料金となります - 担当医:福本健生
治療動機
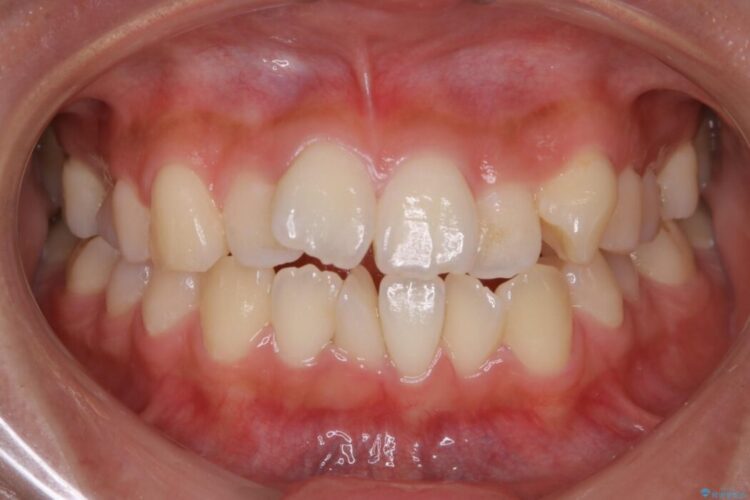
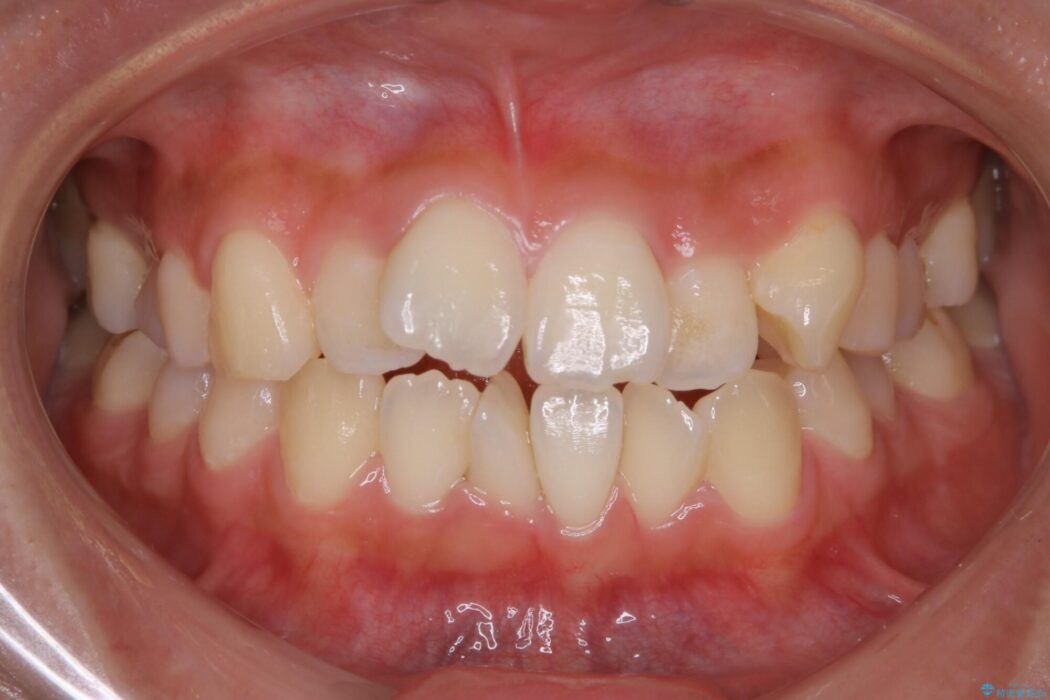
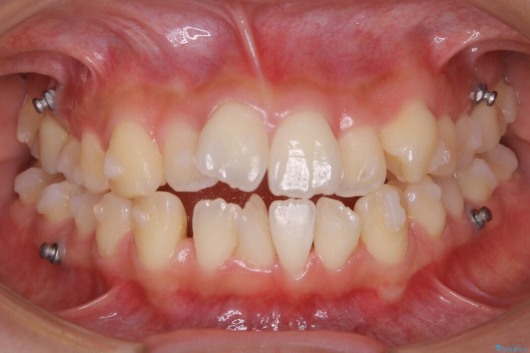
上下前歯のねじれなどで生じている歯列のガタつきをなおしたいとのことで来院されました。
治療計画
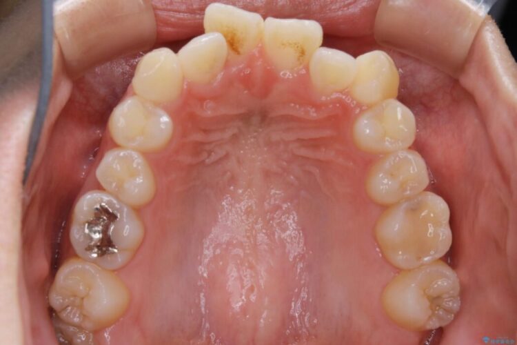
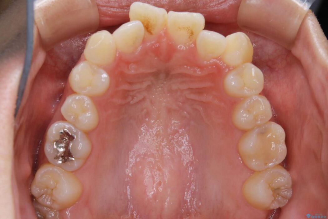
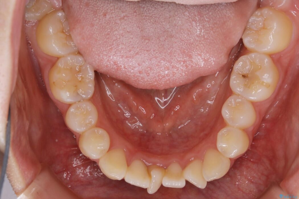
特に前歯部分に90度近く捻転した歯、斜めに生えている歯などによる歯列のがたつき、正中のズレが目立っていました。
奥歯から遠心移動とディスティング(歯の側面を僅かに削る)を行うことで歯列を整えるスペースを確保し、患者様のご要望からインビザライン装置での矯正を計画しました。
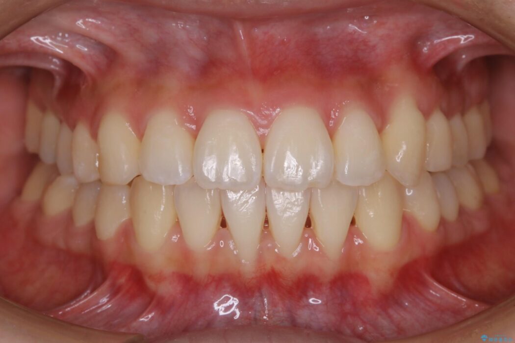
治療後について
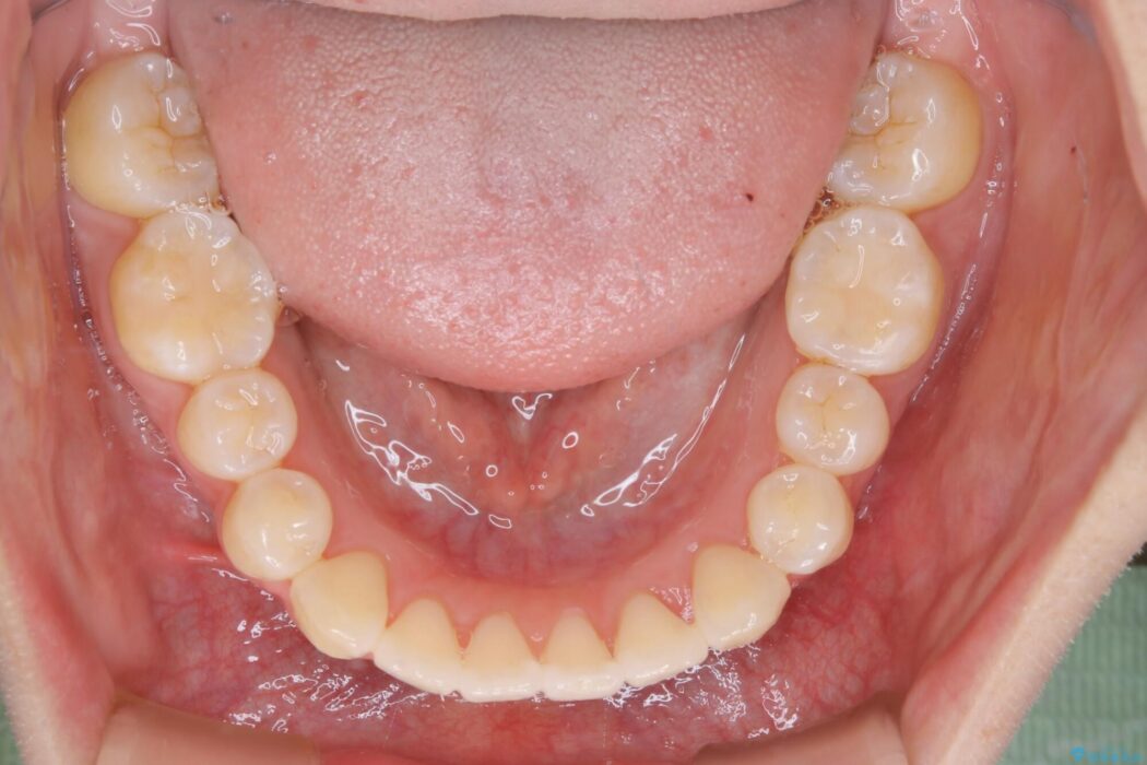
治療前と治療後を見比べると口元の見た目の変化が良く分かります。
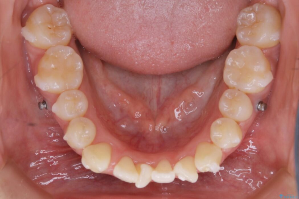
本症例では奥歯から順に移動させるため前歯の変化を感じるには時間が掛かりましたが、インビザライン装置とマイクロインプラントを併用することで健康な歯を抜歯することなく歯列をきれいに整えることができました。
マイクロインプラントとは
マイクロインプラントとは矯正治療で使用する小さなネジのことです。
このネジを支点とし歯を引っ張ることで効率的に動かすことで、治療期間の短縮や従来の矯正治療では難しかった動きも対応が可能になります。
埋入することによる痛みはほとんどありませんが、数日ほど違和感を感じる方はおられます。また治療が終了次第、簡単に取り外すことができます。
関連する他の症例
マウスピース矯正の注意事項(リスク・副作用など)
- 口腔内・歯並びの状態によっては対応できない場合があります
- マウスピース型矯正装置の長時間装着(1日20時間以上)が必須です
- 治療計画通りに進めるためには、患者様の意志が重要になります
- 矯正治療後の保定が不十分だと後戻り(元の位置に戻ろうとする動き)をします
- 薬機法対象外の矯正歯科装置のため医薬品副作用被害救済制度の対象外となる場合があります
- 自費診療(保険適用外)となります









