インビザライン(マウスピース矯正)の症例
渋谷しらゆり歯科のインビザライン(マウスピース矯正)治療症例一覧ページです。インビザライン(マウスピース矯正)による歯並び、噛み合わせの治療例をご紹介しております。
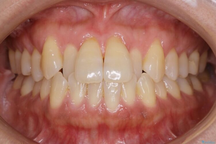
【20代女性】ゴムかけを併用し噛み合わせを改善!インビザライン矯正
気になるガタツキと噛み合わせを改善したいとご来院されました。
- インビザライン(マウスピース矯正)
- 透明に近いマウスピース型の装置を装着して歯並びを整える矯正治療
- 治療費
- 88万円
- リスク・副作用について
- 口腔内・歯並びの状態によっては対応できない場合があります/矯正治療後の保定が不十分だと後戻り(元の位置に戻ろうとする動き)をします/薬機法対象外の矯正歯科装置のため医薬品副作用被害救済制度の対象外となる場合があります
【20代女性】非抜歯で歯列をコンパクトに
前歯のガタつき、噛み合わせの不調を改善したいとご来院されました。
- インビザライン(マウスピース矯正)
- 透明に近いマウスピース型の装置を装着して歯並びを整える矯正治療
- 治療費
- 96.8万円(マイクロインプラント費用込)
- リスク・副作用について
- 口腔内・歯並びの状態によっては対応できない場合があります/矯正治療後の保定が不十分だと後戻り(元の位置に戻ろうとする動き)をします/薬機法対象外の矯正歯科装置のため医薬品副作用被害救済制度の対象外となる場合があります
【20代女性】噛み合わせのズレからくるガタついた歯列をインビザライン矯正治療
前歯のがたつきを改善したいとのことで来院された患者様です。
- インビザライン(マウスピース矯正)
- 透明に近いマウスピース型の装置を装着して歯並びを整える矯正治療
- 治療費
- 88万円
- リスク・副作用について
- 口腔内・歯並びの状態によっては対応できない場合があります/矯正治療後の保定が不十分だと後戻り(元の位置に戻ろうとする動き)をします/薬機法対象外の矯正歯科装置のため医薬品副作用被害救済制度の対象外となる場合があります
【20代女性】噛み合わせの歪みを超短期間でインビザライン治療
歯並びと噛み合わせが悪く治したいとの主訴で、当院の患者様からのご紹介により来院されました。
- インビザライン(マウスピース矯正)
- 透明に近いマウスピース型の装置を装着して歯並びを整える矯正治療
- 治療費
- 44万円(紹介10%割引)
- リスク・副作用について
- 口腔内・歯並びの状態によっては対応できない場合があります/矯正治療後の保定が不十分だと後戻り(元の位置に戻ろうとする動き)をします/薬機法対象外の矯正歯科装置のため医薬品副作用被害救済制度の対象外となる場合があります
【30代女性】インビザラインで抜歯矯正
前歯のガタつき、噛み合わせの不調を改善したいとご来院されました。
- インビザライン(マウスピース矯正)
- 透明に近いマウスピース型の装置を装着して歯並びを整える矯正治療
- 治療費
- 104.5万円
- リスク・副作用について
- 口腔内・歯並びの状態によっては対応できない場合があります/矯正治療後の保定が不十分だと後戻り(元の位置に戻ろうとする動き)をします/薬機法対象外の矯正歯科装置のため医薬品副作用被害救済制度の対象外となる場合があります
【30代女性】噛み合わせのズレを解消する
噛み合わせが悪く改善したいとのことで来院されました。
- インビザライン(マウスピース矯正)
- 透明に近いマウスピース型の装置を装着して歯並びを整える矯正治療
- 治療費
- 88万円
- リスク・副作用について
- 口腔内・歯並びの状態によっては対応できない場合があります/矯正治療後の保定が不十分だと後戻り(元の位置に戻ろうとする動き)をします/薬機法対象外の矯正歯科装置のため医薬品副作用被害救済制度の対象外となる場合があります
【30代女性】非抜歯で噛み合わせとガタつきの改善
ガタガタした歯列の見栄えが悪く歯磨きがしづらいとのことで来院されました。
- インビザライン(マウスピース矯正)
- 透明に近いマウスピース型の装置を装着して歯並びを整える矯正治療
- 治療費
- 90.2万円(マイクロインプラント費用込)
- リスク・副作用について
- 口腔内・歯並びの状態によっては対応できない場合があります/矯正治療後の保定が不十分だと後戻り(元の位置に戻ろうとする動き)をします/薬機法対象外の矯正歯科装置のため医薬品副作用被害救済制度の対象外となる場合があります
【10代女性】すきっ歯(正中離開)のインビザライン治療
上顎前歯のすき間と前歯の全体的なガタガタさをなおしたいとのことで来院されました。
- インビザライン(マウスピース矯正)
- 透明に近いマウスピース型の装置を装着して歯並びを整える矯正治療
- 治療費
- 88万円
- リスク・副作用について
- 口腔内・歯並びの状態によっては対応できない場合があります/矯正治療後の保定が不十分だと後戻り(元の位置に戻ろうとする動き)をします/薬機法対象外の矯正歯科装置のため医薬品副作用被害救済制度の対象外となる場合があります
【20代 女性】インビザラインで短期間矯正
下の前歯のガタつきが気になるとご来院された患者様です。
- インビザライン(マウスピース矯正)
- 透明に近いマウスピース型の装置を装着して歯並びを整える矯正治療
- 治療費
- 49.5万円
- リスク・副作用について
- 口腔内・歯並びの状態によっては対応できない場合があります/矯正治療後の保定が不十分だと後戻り(元の位置に戻ろうとする動き)をします/薬機法対象外の矯正歯科装置のため医薬品副作用被害救済制度の対象外となる場合があります
【20代女性】前歯の真ん中(正中)のズレとガタつきを効率よく矯正する
上下前歯のねじれなどで生じている歯列のガタつきをなおしたいとのことで来院されました。
- インビザライン(マウスピース矯正)
- 透明に近いマウスピース型の装置を装着して歯並びを整える矯正治療
- 治療費
- 96.8万円(マイクロインプラント費用込)
- リスク・副作用について
- 口腔内・歯並びの状態によっては対応できない場合があります/矯正治療後の保定が不十分だと後戻り(元の位置に戻ろうとする動き)をします/薬機法対象外の矯正歯科装置のため医薬品副作用被害救済制度の対象外となる場合があります
マウスピース矯正の注意事項(リスク・副作用など)
- 口腔内、歯並びの状態によっては対応できない場合があります
- マウスピース型矯正装置の長時間装着が必須です
- 治療計画通りに進めるためには、患者様の意志が重要になります
- 矯正治療後の保定が不十分だと後戻り(元の位置に戻ろうとする動き)をします
- 薬機法対象外の矯正歯科装置のため医薬品副作用被害救済制度の対象外となる場合があります
- 自費診療(保険適用外治療)となります
