医院
直通

03-6427-0983

精密治療を追求する
渋谷サクラステージの
総合歯科医院

渋谷しらゆり歯科

SHIBUYA SHIRAYURI DENTAL CLINIC

News

2026.4.24

[2026] ゴールデンウィークの休診日のお知らせ

インプラント、再生治療、根管治療、矯正治療
全てが高水準
だから出来る
総合歯科治療

あらゆる可能性、選択肢を探る

得意な治療に話を持っていくのではなく、すべての治療が高水準であるからこそ、患者様のご要望、ご予算に応じた治療方法を提示することが可能です。

当院の特徴

スペシャリスト
いるからできる
オーダーメイド
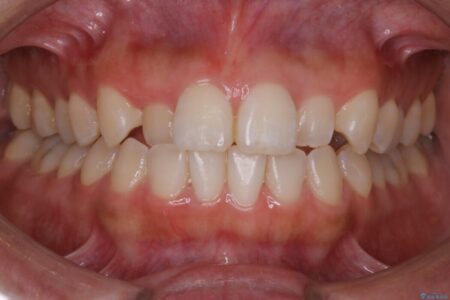
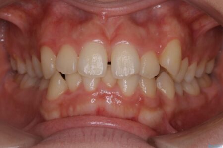
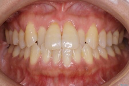
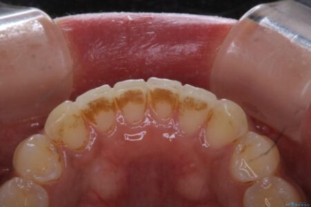
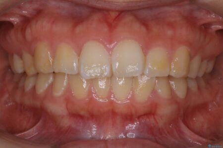
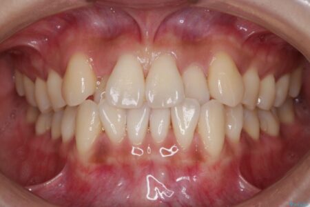
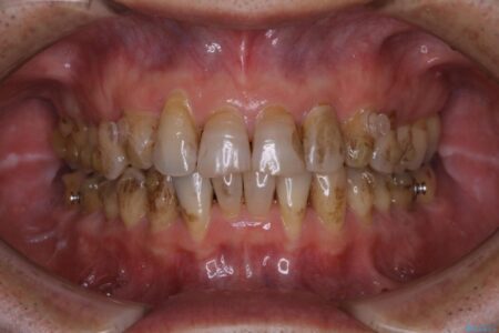
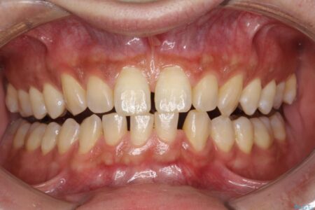
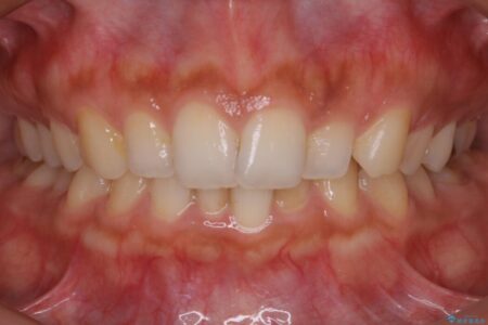
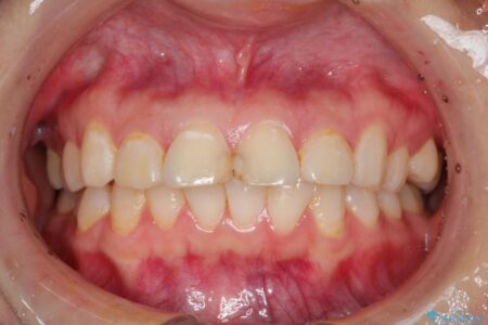
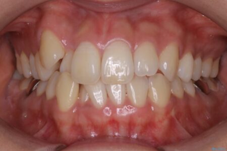
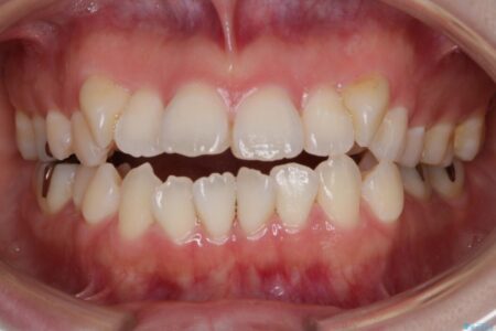
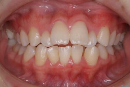
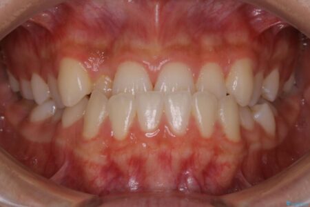
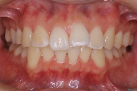
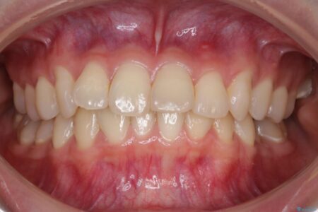
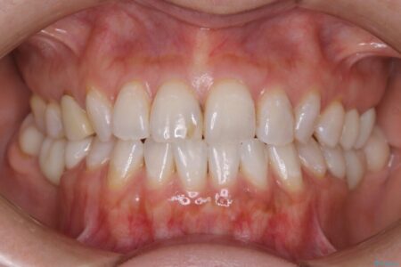
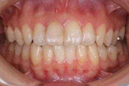
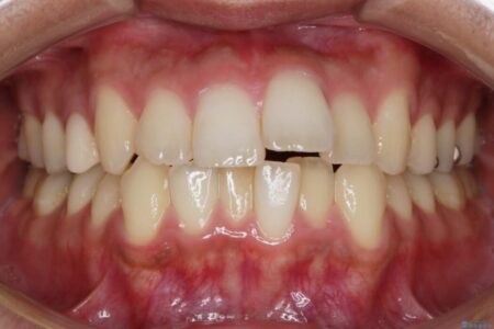
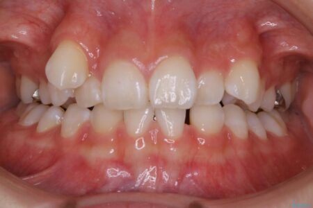
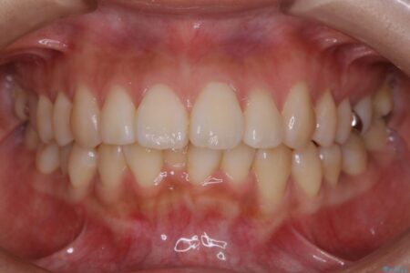
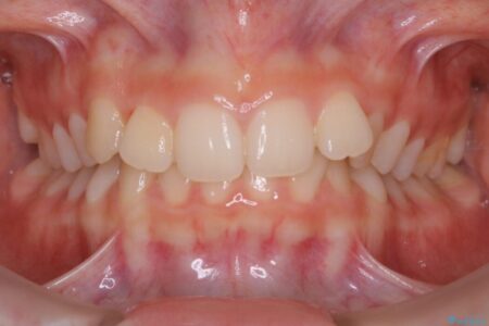
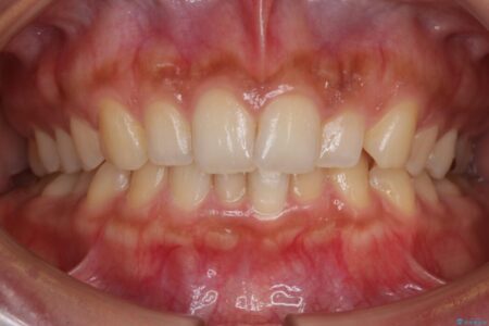
矯正治療

ワイヤー矯正・マウスピース矯正の選択

当院には、ワイヤー矯正ができる歯科医師が常勤でいます。
ワイヤー矯正とマウスピース矯正、どちらもたくさん経験してきた歯科医師だからこそ、失敗がなく患者様の理想を目指す治療を行うことができます。

ワイヤー矯正・マウスピース矯正の選択

精密審美会グループの
治療実績数

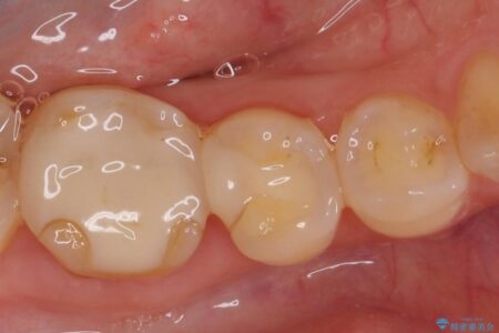
セラミック治療

2009~2025年
0

精密根管治療

2012~2025年
0

矯正歯科治療

2012~2025年
0

インビザライン

2015~2025年
0

診療内容

SERVICES

患者様の歯のお悩みを解決するため、多岐にわたる歯科治療を行っております。
※各治療は自由診療となります

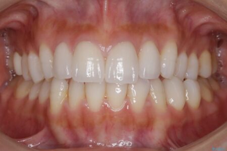
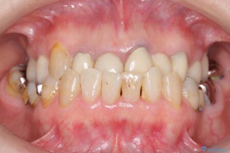
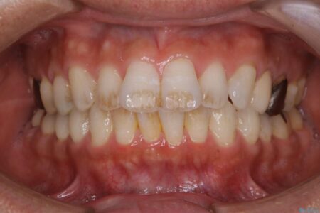
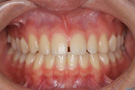
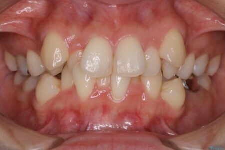
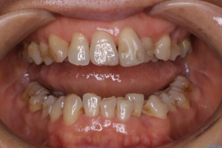
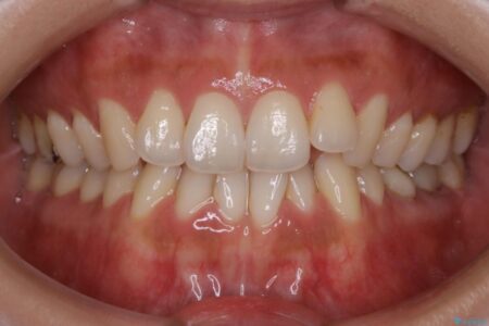
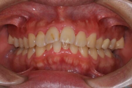
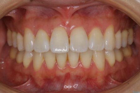
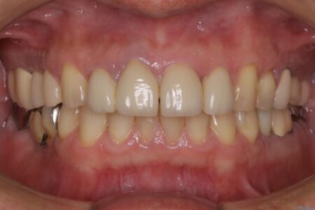
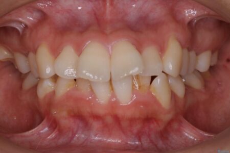
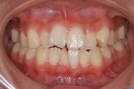
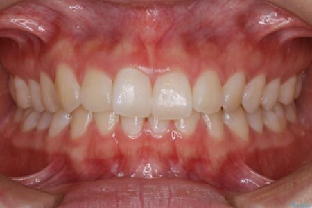
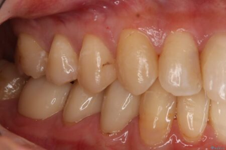
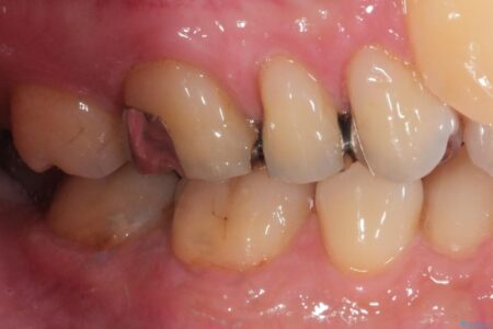
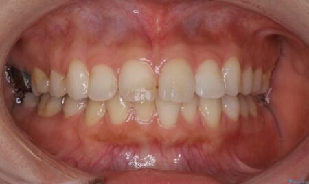
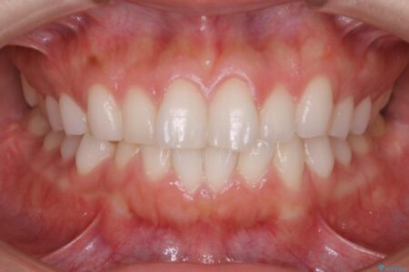
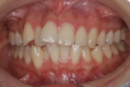
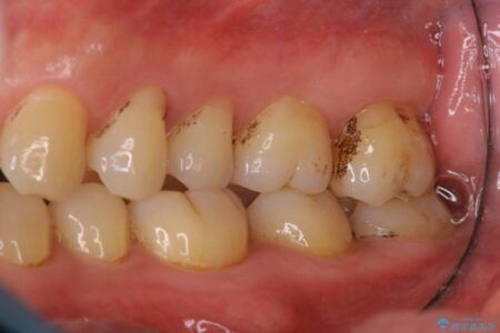
症例紹介

CASES

少しでも不安を払拭し、安心して当院の治療を受けていただけるように、当院で行った自由診療の症例を多数公開しています。

詳しく見る

当院の特徴

ABOUT

渋谷しらゆり歯科は全ての歯科治療を精密に行う、総合歯科医院です。

精密さを追求するため、必ずマイクロスコープや拡大鏡を使用して治療にあたっています。

当院の特徴

アクセス

ACCESS

渋谷駅前の複合施設「Shibuya Sakura Stage」内、通院に便利なアクセス

アクセス

歯科医師紹介

DOCTOR

マイクロスコープや拡大鏡を使って精密治療を追求する歯科医師をご紹介

歯科医師紹介

診療の流れ

FLOW

患者様が当医院の治療法にご納得いただくまでは費用はかかりません。当医院では「歯の健康を第一に考えた治療」を徹底しています。これは審美歯科治療に限ったことではなく、矯正治療に対しても同じ姿勢で取り組んでいます。

  1. 問診・無料カウンセリング

  2. 精密検査

  3. 診断・治療計画の説明

  4. 治療

  5. 定期検診・メンテナンス

治療費用・お支払い

COST

当院では、高額になりがちな矯正歯科治療やインプラント治療が無理のない負担でお支払いただけるようデンタルローンを取り扱っております。
月々少ないご負担でお受けいただけます。お気軽にご相談ください。