インプラント治療の症例
渋谷しらゆり歯科のインプラント治療症例一覧ページです。前歯・奥歯のインプラント症例、ストローマンのインプラント症例など、治療例をご紹介しております。
【40代女性】奥歯の違和感をインプラント治療で解決
奥歯で噛んだときに違和感があるとご来院された患者様です。
- インプラント治療
- 顎の骨に人工歯根(インプラント体)を埋め込み、上部構造(人工歯)を装着する治療
- 治療費
- 50万円
- リスク・副作用について
- 術後に痛みや腫れ、違和感を伴います/メンテナンスを怠ったり喫煙により、お口の中に大きな悪影響を及ぼすインプラント周囲炎等にかかる可能性があります/糖尿病、肝硬変、心臓病等の場合、インプラント治療ができない可能性があります/高血圧、貧血・不整脈等の場合、インプラント治療後に治癒不全を招く可能性があります
【50代女性】セラミック治療でキレイな歯を取り戻す
古くなったセラミックが気になったため全体の治療をご希望されました。
- セラミック治療
- セラミック素材を用いた被せ物や詰め物の治療
- インプラント治療
- 顎の骨に人工歯根(インプラント体)を埋め込み、上部構造(人工歯)を装着する治療
- 治療費
- 350万円
- リスク・副作用について
- 天然歯を削ります/硬い素材は天然歯を傷つけてしまう場合があります/かみ合わせや歯ぎしりが強すぎる方はセラミックが割れてしまう可能性があります
- 術後に痛みや腫れ、違和感を伴います/メンテナンスを怠ったり喫煙により、お口の中に大きな悪影響を及ぼすインプラント周囲炎等にかかる可能性があります/糖尿病、肝硬変、心臓病等の場合、インプラント治療ができない可能性があります/高血圧、貧血・不整脈等の場合、インプラント治療後に治癒不全を招く可能性があります
【40代女性】骨の無い上顎のインプラント
グラグラしている歯も多く、全体的に診てほしいというご相談で来院されました。
- セラミック治療
- セラミック素材を用いた被せ物や詰め物の治療
- インプラント治療
- 顎の骨に人工歯根(インプラント体)を埋め込み、上部構造(人工歯)を装着する治療
- 歯周病治療
- 中度歯周病以上にまで進行してしまった歯周病に対して行う外科治療
- 治療費
- 70万円
- リスク・副作用について
- 天然歯を削ります/硬い素材は天然歯を傷つけてしまう場合があります/かみ合わせや歯ぎしりが強すぎる方はセラミックが割れてしまう可能性があります
- 術後に痛みや腫れ、違和感を伴います/メンテナンスを怠ったり喫煙により、お口の中に大きな悪影響を及ぼすインプラント周囲炎等にかかる可能性があります/糖尿病、肝硬変、心臓病等の場合、インプラント治療ができない可能性があります/高血圧、貧血・不整脈等の場合、インプラント治療後に治癒不全を招く可能性があります
- 術後に痛みや腫れ、違和感を伴います/歯周組織再生治療は患者様の状態によって術後の経過が異なります(見た目が改善しない場合もあります)
【40代男性】前歯のセラミックと奥歯のインプラント
前歯の見た目と、奥歯でよく噛めない事で来院されました。
- セラミック治療
- セラミック素材を用いた被せ物や詰め物の治療
- インプラント治療
- 顎の骨に人工歯根(インプラント体)を埋め込み、上部構造(人工歯)を装着する治療
- 治療費
- 250万円
- リスク・副作用について
- 天然歯を削ります/硬い素材は天然歯を傷つけてしまう場合があります/かみ合わせや歯ぎしりが強すぎる方はセラミックが割れてしまう可能性があります
- 術後に痛みや腫れ、違和感を伴います/メンテナンスを怠ったり喫煙により、お口の中に大きな悪影響を及ぼすインプラント周囲炎等にかかる可能性があります/糖尿病、肝硬変、心臓病等の場合、インプラント治療ができない可能性があります/高血圧、貧血・不整脈等の場合、インプラント治療後に治癒不全を招く可能性があります
【40代女性】骨の無い下顎のインプラント
前歯のみ治療希望でご来院された患者様です。
- セラミック治療
- セラミック素材を用いた被せ物や詰め物の治療
- インプラント治療
- 顎の骨に人工歯根(インプラント体)を埋め込み、上部構造(人工歯)を装着する治療
- 治療費
- 180万円
- リスク・副作用について
- 天然歯を削ります/硬い素材は天然歯を傷つけてしまう場合があります/かみ合わせや歯ぎしりが強すぎる方はセラミックが割れてしまう可能性があります
- 術後に痛みや腫れ、違和感を伴います/メンテナンスを怠ったり喫煙により、お口の中に大きな悪影響を及ぼすインプラント周囲炎等にかかる可能性があります/糖尿病、肝硬変、心臓病等の場合、インプラント治療ができない可能性があります/高血圧、貧血・不整脈等の場合、インプラント治療後に治癒不全を招く可能性があります
【50代男性】奥歯3本のインプラント治療
左下の奥歯が無くなり、さらにもう一本の歯が残せない状態になっていたので インプラントを希望。
- セラミック治療
- セラミック素材を用いた被せ物や詰め物の治療
- インプラント治療
- 顎の骨に人工歯根(インプラント体)を埋め込み、上部構造(人工歯)を装着する治療
- 治療費
- 69万円
- リスク・副作用について
- 天然歯を削ります/硬い素材は天然歯を傷つけてしまう場合があります/かみ合わせや歯ぎしりが強すぎる方はセラミックが割れてしまう可能性があります
- 術後に痛みや腫れ、違和感を伴います/メンテナンスを怠ったり喫煙により、お口の中に大きな悪影響を及ぼすインプラント周囲炎等にかかる可能性があります/糖尿病、肝硬変、心臓病等の場合、インプラント治療ができない可能性があります/高血圧、貧血・不整脈等の場合、インプラント治療後に治癒不全を招く可能性があります
【40代女性】予算制限内での全顎治療
欠損している歯もあり、全体的に治したいとのことでご来院されました。
- セラミック治療
- セラミック素材を用いた被せ物や詰め物の治療
- インプラント治療
- 顎の骨に人工歯根(インプラント体)を埋め込み、上部構造(人工歯)を装着する治療
- 治療費
- 150万円
- リスク・副作用について
- 天然歯を削ります/硬い素材は天然歯を傷つけてしまう場合があります/かみ合わせや歯ぎしりが強すぎる方はセラミックが割れてしまう可能性があります
- 術後に痛みや腫れ、違和感を伴います/メンテナンスを怠ったり喫煙により、お口の中に大きな悪影響を及ぼすインプラント周囲炎等にかかる可能性があります/糖尿病、肝硬変、心臓病等の場合、インプラント治療ができない可能性があります/高血圧、貧血・不整脈等の場合、インプラント治療後に治癒不全を招く可能性があります
【50代男性】インプラントを用いた全顎治療
左下の奥歯が無く噛めない事と、昔入れた前歯の見た目が気になるとの事で来院された患者様です。
- セラミック治療
- セラミック素材を用いた被せ物や詰め物の治療
- インプラント治療
- 顎の骨に人工歯根(インプラント体)を埋め込み、上部構造(人工歯)を装着する治療
- 治療費
- 300万円
- リスク・副作用について
- 天然歯を削ります/硬い素材は天然歯を傷つけてしまう場合があります/かみ合わせや歯ぎしりが強すぎる方はセラミックが割れてしまう可能性があります
- 術後に痛みや腫れ、違和感を伴います/メンテナンスを怠ったり喫煙により、お口の中に大きな悪影響を及ぼすインプラント周囲炎等にかかる可能性があります/糖尿病、肝硬変、心臓病等の場合、インプラント治療ができない可能性があります/高血圧、貧血・不整脈等の場合、インプラント治療後に治癒不全を招く可能性があります
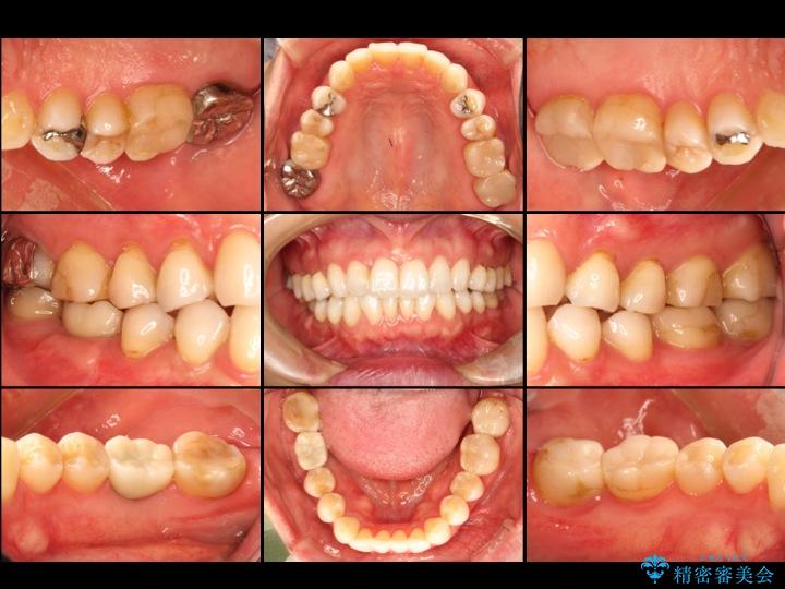
【40代女性】古い金属の治療で奥歯がなくなった方のインプラント、セラミック治療
右上の治療のみを希望されてご来院されました。
- セラミック治療
- セラミック素材を用いた被せ物や詰め物の治療
- インプラント治療
- 顎の骨に人工歯根(インプラント体)を埋め込み、上部構造(人工歯)を装着する治療
- 歯周病治療
- 中度歯周病以上にまで進行してしまった歯周病に対して行う外科治療
- 治療費
- 350万円
- リスク・副作用について
- 天然歯を削ります/硬い素材は天然歯を傷つけてしまう場合があります/かみ合わせや歯ぎしりが強すぎる方はセラミックが割れてしまう可能性があります
- 術後に痛みや腫れ、違和感を伴います/メンテナンスを怠ったり喫煙により、お口の中に大きな悪影響を及ぼすインプラント周囲炎等にかかる可能性があります/糖尿病、肝硬変、心臓病等の場合、インプラント治療ができない可能性があります/高血圧、貧血・不整脈等の場合、インプラント治療後に治癒不全を招く可能性があります
- 術後に痛みや腫れ、違和感を伴います/歯周組織再生治療は患者様の状態によって術後の経過が異なります(見た目が改善しない場合もあります)
【50代女性】噛めない部分にインプラントを入れ、全体をメタルフリーに
セラミックが古くなり、色や見た目を改善したいことと、奥歯が噛めないことを主訴に来院されました。
- セラミック治療
- セラミック素材を用いた被せ物や詰め物の治療
- インプラント治療
- 顎の骨に人工歯根(インプラント体)を埋め込み、上部構造(人工歯)を装着する治療
- 歯周病治療
- 中度歯周病以上にまで進行してしまった歯周病に対して行う外科治療
- 治療費
- 400万円
- リスク・副作用について
- 天然歯を削ります/硬い素材は天然歯を傷つけてしまう場合があります/かみ合わせや歯ぎしりが強すぎる方はセラミックが割れてしまう可能性があります
- 術後に痛みや腫れ、違和感を伴います/メンテナンスを怠ったり喫煙により、お口の中に大きな悪影響を及ぼすインプラント周囲炎等にかかる可能性があります/糖尿病、肝硬変、心臓病等の場合、インプラント治療ができない可能性があります/高血圧、貧血・不整脈等の場合、インプラント治療後に治癒不全を招く可能性があります
- 術後に痛みや腫れ、違和感を伴います/歯周組織再生治療は患者様の状態によって術後の経過が異なります(見た目が改善しない場合もあります)
1›
インプラント治療の注意事項(リスク・副作用など)
- 外科手術のため、術後に痛みや腫れ、違和感を伴います
- メンテナンスを怠ったり喫煙により、お口の中に大きな悪影響を及ぼすインプラント周囲炎等にかかる可能性があります
- 糖尿病、肝硬変、心臓病等の場合、インプラント治療ができない可能性があります
- 高血圧、貧血・不整脈等の場合、インプラント治療後に治癒不全を招く可能性があります
- 自費診療(保険適用外治療)となります
