歯周病治療の症例
渋谷しらゆり歯科の歯周病治療症例一覧ページです。歯周外科治療・歯周組織再生療法(歯茎・歯槽骨を再生)の治療例をご紹介しております。
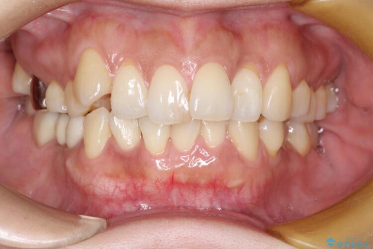
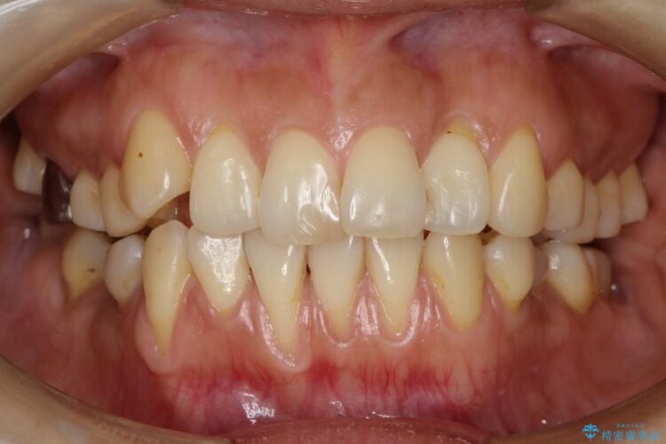
【40代】歯茎の再生治療で知覚過敏を治す
上の奥歯の知覚過敏がひどい事を悩まれてご来院されました。
- 歯周病治療
- 中度歯周病以上にまで進行してしまった歯周病に対して行う外科治療
- 治療費
- 40万円
- リスク・副作用について
- 術後に痛みや腫れ、違和感を伴います/歯周組織再生治療は患者様の状態によって術後の経過が異なります(見た目が改善しない場合もあります)
【60代女性】膿が出る、歯茎再生治療
右下の歯から膿が出てグラグラする事を気にされて来院されました。
- セラミック治療
- セラミック素材を用いた被せ物や詰め物の治療
- 歯周病治療
- 中度歯周病以上にまで進行してしまった歯周病に対して行う外科治療
- 治療費
- 130万円
- リスク・副作用について
- 天然歯を削ります/硬い素材は天然歯を傷つけてしまう場合があります/かみ合わせや歯ぎしりが強すぎる方はセラミックが割れてしまう可能性があります
- 術後に痛みや腫れ、違和感を伴います/歯周組織再生治療は患者様の状態によって術後の経過が異なります(見た目が改善しない場合もあります)
【40代女性】骨の無い上顎のインプラント
グラグラしている歯も多く、全体的に診てほしいというご相談で来院されました。
- セラミック治療
- セラミック素材を用いた被せ物や詰め物の治療
- インプラント治療
- 顎の骨に人工歯根(インプラント体)を埋め込み、上部構造(人工歯)を装着する治療
- 歯周病治療
- 中度歯周病以上にまで進行してしまった歯周病に対して行う外科治療
- 治療費
- 70万円
- リスク・副作用について
- 天然歯を削ります/硬い素材は天然歯を傷つけてしまう場合があります/かみ合わせや歯ぎしりが強すぎる方はセラミックが割れてしまう可能性があります
- 術後に痛みや腫れ、違和感を伴います/メンテナンスを怠ったり喫煙により、お口の中に大きな悪影響を及ぼすインプラント周囲炎等にかかる可能性があります/糖尿病、肝硬変、心臓病等の場合、インプラント治療ができない可能性があります/高血圧、貧血・不整脈等の場合、インプラント治療後に治癒不全を招く可能性があります
- 術後に痛みや腫れ、違和感を伴います/歯周組織再生治療は患者様の状態によって術後の経過が異なります(見た目が改善しない場合もあります)
【30代男性】上顎、犬歯の歯茎再生治療
両方の犬歯の歯茎が下がっている事を気にして来院されました。
- 歯周病治療
- 中度歯周病以上にまで進行してしまった歯周病に対して行う外科治療
- 治療費
- 15万円
- リスク・副作用について
- 術後に痛みや腫れ、違和感を伴います/歯周組織再生治療は患者様の状態によって術後の経過が異なります(見た目が改善しない場合もあります)
【40代女性】下顎前歯の歯茎再生
下前歯の歯ぐきが下がっていることが気になるという主訴でご来院されました。
- 歯周病治療
- 中度歯周病以上にまで進行してしまった歯周病に対して行う外科治療
- 治療費
- 40万円
- リスク・副作用について
- 術後に痛みや腫れ、違和感を伴います/歯周組織再生治療は患者様の状態によって術後の経過が異なります(見た目が改善しない場合もあります)
【60代男性】全身疾患を抱えた方の治療
上の入れ歯が使いにくいとのことで来院されました。
- セラミック治療
- セラミック素材を用いた被せ物や詰め物の治療
- 歯周病治療
- 中度歯周病以上にまで進行してしまった歯周病に対して行う外科治療
- 治療費
- 120万円
- リスク・副作用について
- 天然歯を削ります/硬い素材は天然歯を傷つけてしまう場合があります/かみ合わせや歯ぎしりが強すぎる方はセラミックが割れてしまう可能性があります
- 術後に痛みや腫れ、違和感を伴います/歯周組織再生治療は患者様の状態によって術後の経過が異なります(見た目が改善しない場合もあります)
【30代女性】前歯のセラミックブリッジを綺麗に見せる
色がくすんだ前歯が気になるためセラミックにしたいという相談で来院されました。
- セラミック治療
- セラミック素材を用いた被せ物や詰め物の治療
- 歯周病治療
- 中度歯周病以上にまで進行してしまった歯周病に対して行う外科治療
- 治療費
- 80万円
- リスク・副作用について
- 天然歯を削ります/硬い素材は天然歯を傷つけてしまう場合があります/かみ合わせや歯ぎしりが強すぎる方はセラミックが割れてしまう可能性があります
- 術後に痛みや腫れ、違和感を伴います/歯周組織再生治療は患者様の状態によって術後の経過が異なります(見た目が改善しない場合もあります)
【30代女性】歯茎が薄い方へのインビザライン治療
やや受け口なのと、下の歯の隙間が気になるとのことで来院された患者様です。
- 矯正歯科(歯列矯正)治療
- 歯やあごの骨に力をかけて動かすことで、悪い歯並びや咬み合わせ(不正咬合)を整える治療
- インビザライン(マウスピース矯正)
- 透明に近いマウスピース型の装置を装着して歯並びを整える矯正治療
- 歯周病治療
- 中度歯周病以上にまで進行してしまった歯周病に対して行う外科治療
- 治療費
- 100万円
- リスク・副作用について
- 矯正治療中は違和感や痛みが起こることがあります/症状により、抜歯が必要な場合があります/治療中は歯磨きがしにくくなるため、虫歯や歯周病になりやすくなります/矯正治療後の保定が不十分だと後戻り(元の位置に戻ろうとする動き)をします
- 口腔内・歯並びの状態によっては対応できない場合があります/矯正治療後の保定が不十分だと後戻り(元の位置に戻ろうとする動き)をします/薬機法対象外の矯正歯科装置のため医薬品副作用被害救済制度の対象外となる場合があります
- 術後に痛みや腫れ、違和感を伴います/歯周組織再生治療は患者様の状態によって術後の経過が異なります(見た目が改善しない場合もあります)
【40代女性】古い金属の治療で奥歯がなくなった方のインプラント、セラミック治療
右上の治療のみを希望されてご来院されました。
- セラミック治療
- セラミック素材を用いた被せ物や詰め物の治療
- インプラント治療
- 顎の骨に人工歯根(インプラント体)を埋め込み、上部構造(人工歯)を装着する治療
- 歯周病治療
- 中度歯周病以上にまで進行してしまった歯周病に対して行う外科治療
- 治療費
- 350万円
- リスク・副作用について
- 天然歯を削ります/硬い素材は天然歯を傷つけてしまう場合があります/かみ合わせや歯ぎしりが強すぎる方はセラミックが割れてしまう可能性があります
- 術後に痛みや腫れ、違和感を伴います/メンテナンスを怠ったり喫煙により、お口の中に大きな悪影響を及ぼすインプラント周囲炎等にかかる可能性があります/糖尿病、肝硬変、心臓病等の場合、インプラント治療ができない可能性があります/高血圧、貧血・不整脈等の場合、インプラント治療後に治癒不全を招く可能性があります
- 術後に痛みや腫れ、違和感を伴います/歯周組織再生治療は患者様の状態によって術後の経過が異なります(見た目が改善しない場合もあります)
【30代男性】歯周病、矯正、被せものフルコース治療
前歯がかけてしまった事で来院されました。
- セラミック治療
- セラミック素材を用いた被せ物や詰め物の治療
- 矯正歯科(歯列矯正)治療
- 歯やあごの骨に力をかけて動かすことで、悪い歯並びや咬み合わせ(不正咬合)を整える治療
- 歯周病治療
- 中度歯周病以上にまで進行してしまった歯周病に対して行う外科治療
- 根管治療
- 歯の根管の中にある「虫歯に感染した神経」「細菌」「過去に詰めた古い充填材」等を除去する治療
- 治療費
- 300万円
- リスク・副作用について
- 天然歯を削ります/硬い素材は天然歯を傷つけてしまう場合があります/かみ合わせや歯ぎしりが強すぎる方はセラミックが割れてしまう可能性があります
- 矯正治療中は違和感や痛みが起こることがあります/症状により、抜歯が必要な場合があります/治療中は歯磨きがしにくくなるため、虫歯や歯周病になりやすくなります/矯正治療後の保定が不十分だと後戻り(元の位置に戻ろうとする動き)をします
- 術後に痛みや腫れ、違和感を伴います/歯周組織再生治療は患者様の状態によって術後の経過が異なります(見た目が改善しない場合もあります)
- 痛みや腫れがひかない事や、術後に痛みや腫れが生じる事、治療によるファイル破折やパーフォレーションなどの偶発症、術後の歯根破折を生じる可能性もあります
1›
歯周病治療の注意事項(リスク・副作用など)
- 外科手術のため、術後に痛みや腫れ、違和感を伴います
- 歯周組織再生治療は患者様の状態によって術後の経過が異なります(見た目が改善しない場合もあります)
- 歯周組織再生治療は自費診療(保険適用外)となります
