医院
直通

03-6427-0983

最新の症例一覧

CASES

症例一覧

渋谷しらゆり歯科で行った様々な治療例を治療前写真・治療後写真のビフォーアフター形式で患者様情報と費用も掲載しています。

【10代女性】インビザラインライトで短期矯正

【10代女性】インビザラインライトで短期矯正 ビフォー 【10代女性】インビザラインライトで短期矯正 アフター

すきっ歯を改善したいとご来院された患者様です。

【20代女性】矯正後の後戻り、出っ歯の改善

【20代女性】矯正後の後戻り、出っ歯の改善 ビフォー 【20代女性】矯正後の後戻り、出っ歯の改善 アフター

抜歯矯正後の上の前歯の後戻りが気になるとご来院された患者様です。

【20代女性】矯正治療後の後戻り

【20代女性】矯正治療後の後戻り ビフォー 【20代女性】矯正治療後の後戻り アフター

抜歯矯正後の後戻りについてご相談にいらした患者様です、

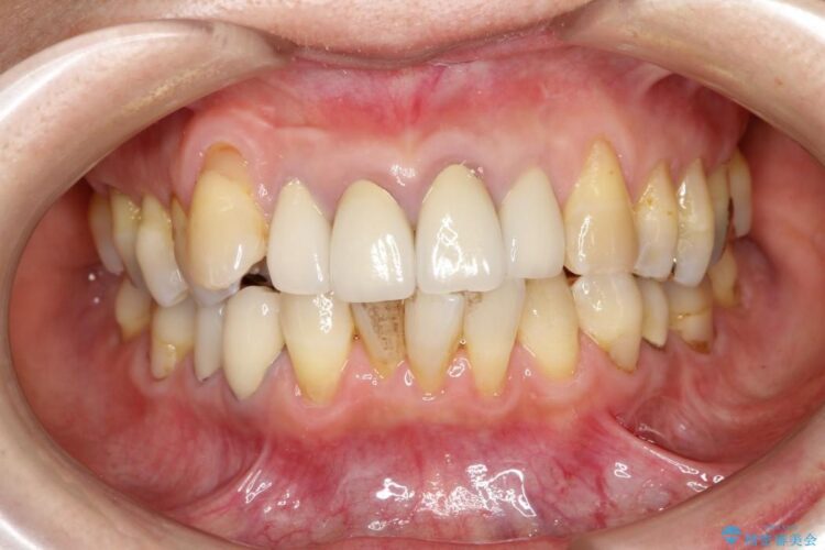
【30代男性】ワイヤー矯正で出っ歯とガタつきの改善

【30代男性】ワイヤー矯正で出っ歯とガタつきの改善 ビフォー 【30代男性】ワイヤー矯正で出っ歯とガタつきの改善 アフター

上の歯の出っ歯と下の歯のガタつきが気になるとご来院された患者様です。

【20代女性】審美ワイヤー装置で出っ歯の改善

【20代女性】審美ワイヤー装置で出っ歯の改善 ビフォー 【20代女性】審美ワイヤー装置で出っ歯の改善 アフター

上の前歯が出ていることと、下の前歯のガタつきが気になるとご来院された患者様です。

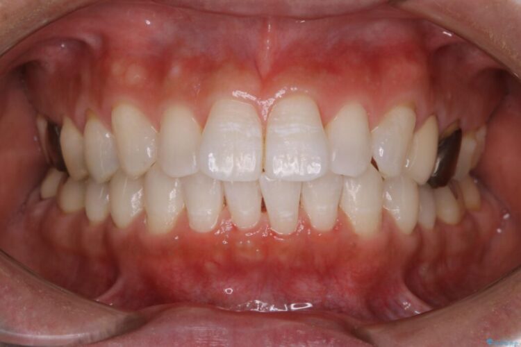
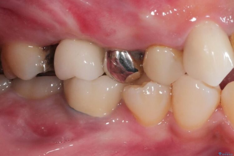
【40代女性】奥歯の違和感をインプラント治療で解決

【40代女性】奥歯の違和感をインプラント治療で解決 ビフォー 【40代女性】奥歯の違和感をインプラント治療で解決 アフター

奥歯で噛んだときに違和感があるとご来院された患者様です。

【40代男性】銀歯をセラミックにやり替え

【40代男性】銀歯をセラミックにやり替え ビフォー 【40代男性】銀歯をセラミックにやり替え アフター

銀歯をセラミックにやり替えたいとご来院された患者様です。

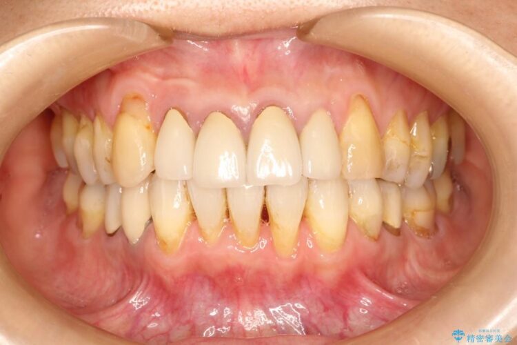
【30代男性】衝撃的なビフォーアフター!クリーニングで見違えるほどの白い歯に

【30代男性】衝撃的なビフォーアフター!クリーニングで見違えるほどの白い歯に ビフォー 【30代男性】衝撃的なビフォーアフター!クリーニングで見違えるほどの白い歯に アフター

歯の着色を綺麗にしたいとご来院されました。

【40代女性】奥に引っ込んでいる前歯と反対咬合をインビザラインで矯正治療

【40代女性】奥に引っ込んでいる前歯と反対咬合をインビザラインで矯正治療 ビフォー 【40代女性】奥に引っ込んでいる前歯と反対咬合をインビザラインで矯正治療 アフター

歯が内側に入り込んでいるのをインビザライン矯正治療で改善したいとのご希望で来院されました。

【10代男性】出っ歯(上顎前突)を劇的に改善するインビザラインとカリエールの併用治療

【10代男性】出っ歯(上顎前突)を劇的に改善するインビザラインとカリエールの併用治療 ビフォー 【10代男性】出っ歯(上顎前突)を劇的に改善するインビザラインとカリエールの併用治療 アフター

上顎の飛び出た前歯をなおしたいとのことで来院されました。