セラミック治療の症例
渋谷しらゆり歯科のセラミック治療(審美歯科)症例一覧ページです。オールセラミッククラウン・ジルコニアクラウン・ブリッジ・インレーなど、治療例をご紹介しております。
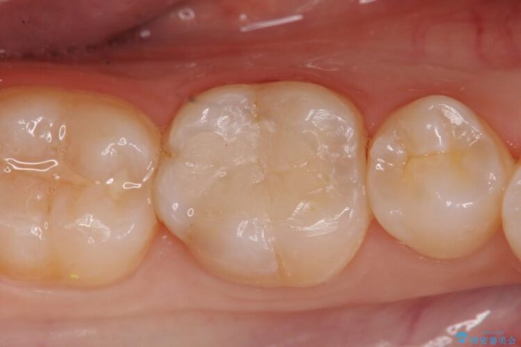
【40代男性】銀歯をセラミックにやり替え
銀歯をセラミックにやり替えたいとご来院された患者様です。
- セラミック治療
- セラミック素材を用いた被せ物や詰め物の治療
- 治療費
- 13.2万円
- リスク・副作用について
- 天然歯を削ります/硬い素材は天然歯を傷つけてしまう場合があります/かみ合わせや歯ぎしりが強すぎる方はセラミックが割れてしまう可能性があります
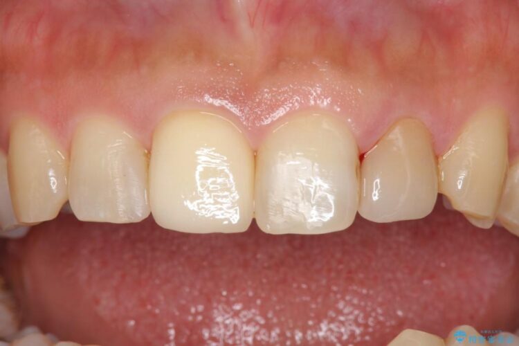
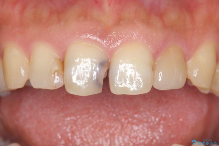
【20代女性】他院で治療した不自然なセラミックを見た目から整える
前歯の凸凹を主訴に来院されました。
- セラミック治療
- セラミック素材を用いた被せ物や詰め物の治療
- 矯正歯科(歯列矯正)治療
- 歯やあごの骨に力をかけて動かすことで、悪い歯並びや咬み合わせ(不正咬合)を整える治療
- 治療費
- 132万円(矯正治療、セラミック治療)
- リスク・副作用について
- 天然歯を削ります/硬い素材は天然歯を傷つけてしまう場合があります/かみ合わせや歯ぎしりが強すぎる方はセラミックが割れてしまう可能性があります
- 矯正治療中は違和感や痛みが起こることがあります/症状により、抜歯が必要な場合があります/治療中は歯磨きがしにくくなるため、虫歯や歯周病になりやすくなります/矯正治療後の保定が不十分だと後戻り(元の位置に戻ろうとする動き)をします
【20代女性】短期間で目立つ前歯の出っ歯とねじれをなおしたい
叢生による前歯の出っ張りと歯列のガタつきをなおしたいとのことで来院されました。
- セラミック治療
- セラミック素材を用いた被せ物や詰め物の治療
- 矯正歯科(歯列矯正)治療
- 歯やあごの骨に力をかけて動かすことで、悪い歯並びや咬み合わせ(不正咬合)を整える治療
- 治療費
- 106.2万円
- リスク・副作用について
- 天然歯を削ります/硬い素材は天然歯を傷つけてしまう場合があります/かみ合わせや歯ぎしりが強すぎる方はセラミックが割れてしまう可能性があります
- 矯正治療中は違和感や痛みが起こることがあります/症状により、抜歯が必要な場合があります/治療中は歯磨きがしにくくなるため、虫歯や歯周病になりやすくなります/矯正治療後の保定が不十分だと後戻り(元の位置に戻ろうとする動き)をします
【40代女性】歯茎の再生、ブリッジで前歯の治療
ご来院時は前歯3本がブリッジになっており、そのうち右の2番目の歯は抜歯しなければならない状態でした。
- セラミック治療
- セラミック素材を用いた被せ物や詰め物の治療
- 治療費
- 70万円
- リスク・副作用について
- 天然歯を削ります/硬い素材は天然歯を傷つけてしまう場合があります/かみ合わせや歯ぎしりが強すぎる方はセラミックが割れてしまう可能性があります
【50代女性】セラミック治療でキレイな歯を取り戻す
古くなったセラミックが気になったため全体の治療をご希望されました。
- セラミック治療
- セラミック素材を用いた被せ物や詰め物の治療
- インプラント治療
- 顎の骨に人工歯根(インプラント体)を埋め込み、上部構造(人工歯)を装着する治療
- 治療費
- 350万円
- リスク・副作用について
- 天然歯を削ります/硬い素材は天然歯を傷つけてしまう場合があります/かみ合わせや歯ぎしりが強すぎる方はセラミックが割れてしまう可能性があります
- 術後に痛みや腫れ、違和感を伴います/メンテナンスを怠ったり喫煙により、お口の中に大きな悪影響を及ぼすインプラント周囲炎等にかかる可能性があります/糖尿病、肝硬変、心臓病等の場合、インプラント治療ができない可能性があります/高血圧、貧血・不整脈等の場合、インプラント治療後に治癒不全を招く可能性があります
【60代女性】膿が出る、歯茎再生治療
右下の歯から膿が出てグラグラする事を気にされて来院されました。
- セラミック治療
- セラミック素材を用いた被せ物や詰め物の治療
- 歯周病治療
- 中度歯周病以上にまで進行してしまった歯周病に対して行う外科治療
- 治療費
- 130万円
- リスク・副作用について
- 天然歯を削ります/硬い素材は天然歯を傷つけてしまう場合があります/かみ合わせや歯ぎしりが強すぎる方はセラミックが割れてしまう可能性があります
- 術後に痛みや腫れ、違和感を伴います/歯周組織再生治療は患者様の状態によって術後の経過が異なります(見た目が改善しない場合もあります)
【50代女性】長くなってしまった歯をブリッジで治す
患者様は以前受けた顎の手術によって歯が部分的に喪失していたため、骨と歯茎が退縮を引き起こしていました。 退縮部分には補うようにセラミックブリッジが入っている状態でした。
- セラミック治療
- セラミック素材を用いた被せ物や詰め物の治療
- 治療費
- 100万円
- リスク・副作用について
- 天然歯を削ります/硬い素材は天然歯を傷つけてしまう場合があります/かみ合わせや歯ぎしりが強すぎる方はセラミックが割れてしまう可能性があります
【40代女性】骨の無い上顎のインプラント
グラグラしている歯も多く、全体的に診てほしいというご相談で来院されました。
- セラミック治療
- セラミック素材を用いた被せ物や詰め物の治療
- インプラント治療
- 顎の骨に人工歯根(インプラント体)を埋め込み、上部構造(人工歯)を装着する治療
- 歯周病治療
- 中度歯周病以上にまで進行してしまった歯周病に対して行う外科治療
- 治療費
- 70万円
- リスク・副作用について
- 天然歯を削ります/硬い素材は天然歯を傷つけてしまう場合があります/かみ合わせや歯ぎしりが強すぎる方はセラミックが割れてしまう可能性があります
- 術後に痛みや腫れ、違和感を伴います/メンテナンスを怠ったり喫煙により、お口の中に大きな悪影響を及ぼすインプラント周囲炎等にかかる可能性があります/糖尿病、肝硬変、心臓病等の場合、インプラント治療ができない可能性があります/高血圧、貧血・不整脈等の場合、インプラント治療後に治癒不全を招く可能性があります
- 術後に痛みや腫れ、違和感を伴います/歯周組織再生治療は患者様の状態によって術後の経過が異なります(見た目が改善しない場合もあります)
【40代男性】前歯のセラミックと奥歯のインプラント
前歯の見た目と、奥歯でよく噛めない事で来院されました。
- セラミック治療
- セラミック素材を用いた被せ物や詰め物の治療
- インプラント治療
- 顎の骨に人工歯根(インプラント体)を埋め込み、上部構造(人工歯)を装着する治療
- 治療費
- 250万円
- リスク・副作用について
- 天然歯を削ります/硬い素材は天然歯を傷つけてしまう場合があります/かみ合わせや歯ぎしりが強すぎる方はセラミックが割れてしまう可能性があります
- 術後に痛みや腫れ、違和感を伴います/メンテナンスを怠ったり喫煙により、お口の中に大きな悪影響を及ぼすインプラント周囲炎等にかかる可能性があります/糖尿病、肝硬変、心臓病等の場合、インプラント治療ができない可能性があります/高血圧、貧血・不整脈等の場合、インプラント治療後に治癒不全を招く可能性があります
【40代女性】骨の無い下顎のインプラント
前歯のみ治療希望でご来院された患者様です。
- セラミック治療
- セラミック素材を用いた被せ物や詰め物の治療
- インプラント治療
- 顎の骨に人工歯根(インプラント体)を埋め込み、上部構造(人工歯)を装着する治療
- 治療費
- 180万円
- リスク・副作用について
- 天然歯を削ります/硬い素材は天然歯を傷つけてしまう場合があります/かみ合わせや歯ぎしりが強すぎる方はセラミックが割れてしまう可能性があります
- 術後に痛みや腫れ、違和感を伴います/メンテナンスを怠ったり喫煙により、お口の中に大きな悪影響を及ぼすインプラント周囲炎等にかかる可能性があります/糖尿病、肝硬変、心臓病等の場合、インプラント治療ができない可能性があります/高血圧、貧血・不整脈等の場合、インプラント治療後に治癒不全を招く可能性があります
セラミック治療の注意事項(リスク・副作用など)
- 天然歯を削ります
- かみ合わせや歯ぎしりが強すぎる方はセラミックが割れてしまう可能性があります
- 硬い素材は天然歯を傷つけてしまう場合があります
- 自費診療(保険適用外治療)となります
