歯の予防としてのクリーニング

歯を長持ちさせるためには、定期的な検診や歯のクリーニングが欠かせません。
歯垢や歯石は、歯の表面に付着した細菌の塊です。歯垢や歯石は、虫歯や歯周病の原因となります。定期的な歯のクリーニングでは、歯垢や歯石を除去して、虫歯や歯周病を予防することができます。また、歯の表面をツルツルにすることで、歯垢や歯石がつきにくくなります。当院では、歯のクリーニング、予防歯科(PMTC)として、以下の2つのコースをご用意しています。
詳しい内容については、担当医やスタッフにご相談ください。
PMTC(クリーニング)の2コース
- プロフェッショナル クリーニングコース(上下30分)
- スペシャル プロフェッショナル クリーニングコース(上下1時間)
プロフェッショナルクリーニングの流れ
-
プラークチェック
磨き残しを確認し、必要に応じて赤い染め出しによるプラークチェックを行います。
-
ブラッシング・ホームケア指導
磨き残しが多い場合は、ブラッシング指導(歯ブラシや歯間ブラシの選び方、動かし方など)やホームケアを細かく指導します。
患者様専用のオリジナルトレーを製作します(1~2週間程度)
-
プラーク・歯石を取り除く(スケーリング)
磨き残し部分についたプラークと歯茎から露出した部分の歯や歯間についた歯石を除去します。
-
専用ペーストによる細かいクリーニング
歯の表面の汚れを取り、専用のペーストできれいに磨き上げていきます。これにより、歯の表面がつるつるになります。


-
フロス、歯間ブラシで整える
フロス・歯間ブラシを通し、歯と歯の間の清掃を行います。フッ素塗布をご希望の方は、別料金(上下2,200円)となります。
PMTCの予約
PMTC・予防歯科の症例紹介
渋谷しらゆり歯科に在籍する歯科医師が治療を行ったPMTC・予防歯科の事例をいくつか下記に紹介いたします。
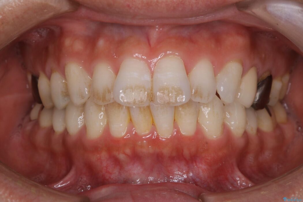
【40代男性】歯にこびりついた着色のクリーニング
普段からコーヒーをよく飲まれる方で、3年間歯医者に行かれておらず、定期健診も込みでご来院されました。
【40代女性】インビザライン治療中のクリーニング
当院でインビザラインの矯正治療中の患者様です。
【40代男性】インビザライン治療中の頑固な着色落としをクリーニング
インビザラインでの矯正中の患者様で、コーヒーを頻繁に飲むためステインが気になるとのことでした。
【20代女性】タバコのヤニ(ニコチン、タール)を徹底的に除去
タバコによって付着したステインを綺麗にしたいとのことで来院されました。
【30代男性】1年ぶりのクリーニング(コーヒーによる着色落とし)
忙しくて1年ぶりのクリーニングとなってしまったため、しっかり着色落としをして欲しいとご来院されました。
その他の症例
PMTCの注意事項
- 歯を白くする目的の施術ではありません
- 自費診療(保険適用外治療)となります
