【20代男性】深い虫歯を長持ちするゴールドインレーで治療
治療概要
- 患者様:20代男性
- 治療期間:1ヶ月
- 概算治療費:6万円
※費用は治療当時の料金となります - 担当医:福本健生
治療動機
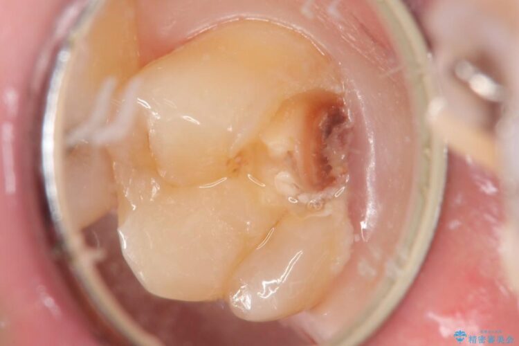
食事中に歯が欠けてしまったとのことで来院されました。
治療計画
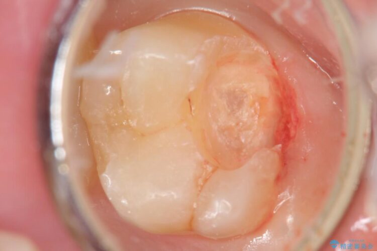
上顎左の一番奥の歯が深い虫歯になって脆くなり、更にその状態に強く噛みしめたわけではない通常の咬合力が加わったことで歯が欠けてしまっていました。
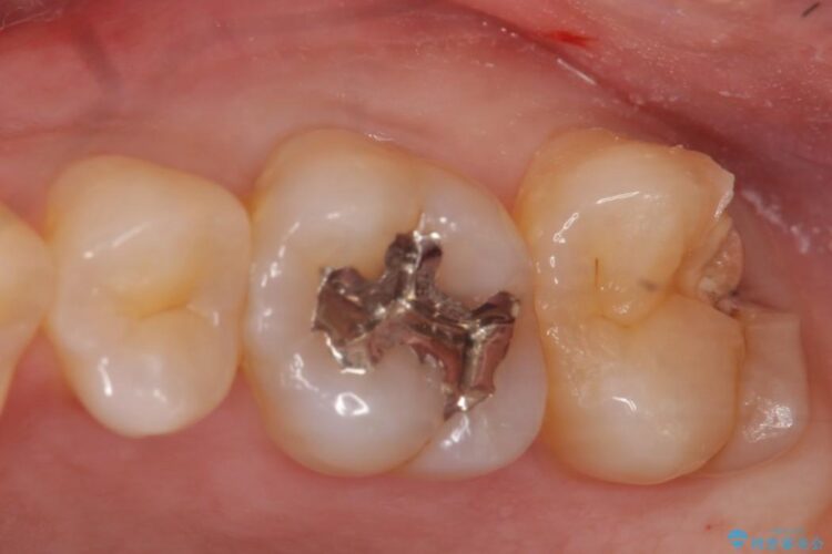
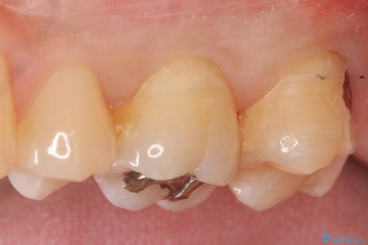
今回は一番奥の歯という位置と、噛み合わせ、清掃状態を加味して適合の高く長持ちするゴールドインレーにて治療することとしました。
治療後について
虫歯が進行して歯が欠けてしまう前に早期発見・治療をすることが重要です。初期の虫歯は痛みも少なく短期間での治療が可能ですので、定期的に検診などを受けることをおすすめいたします。
ゴールドインレー
ゴールドインレーはセラミックより強度高く、使用される金合金や白金加金は汚れの付きにくいという特徴を持っており、耐用年数が長いことが特徴としてあります。特に奥歯など強く力が欠けられる箇所に適しています。
反対にデメリットして金属であるため審美性に欠けるという点があります。
関連する他の症例
PGA(ゴールド)クラウン、インレーの注意事項(リスク・副作用など)
- インレーおよびクラウンは脱離するリスクがあります
- 形成量はセラミックより少ないですが、歯の形成、修復後に歯に症状が出ることがあります
- 自費診療(保険適用外治療)となります












