【10代女性】下顎前歯の歯ぐき再生
治療概要
- 患者様:10代女性
- 治療期間:1年
- 概算治療費:40万円
※費用は治療当時の料金となります - 担当医:福本健生
治療動機
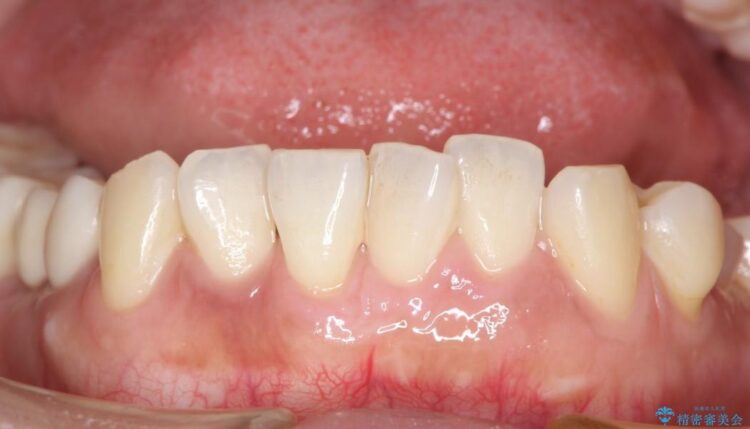
下顎前歯部の歯肉退縮が気になり来院された患者様です。
治療計画
歯肉退縮の範囲が広いため、CTG(結合組織移植術)による根面被覆の手術を2回に分けて行うご提案をしました。
治療後について
治療直後は少し段差がありましたが、治療後(2年経過時)には完全に段差がなくなり、厚みが出来た分だけ歯ぐきが若干増えてくれています。
また、「手術がこわい」とのことで1回目の手術を静脈内鎮静法で行ったところ、「全く怖くなく、リラックスできた」とかなり満足されたため、2回目の手術も静脈内鎮静法で行う事になりました。
静脈内鎮静法のリスクについて
・回復後も多少眠気が残る可能性があります
・治療中の記憶が残る場合があります
・意識が完全になくなることはないため、2時間程度の治療で適応となります
・静脈穿刺時に痛みがあります
・治療当日は乗り物の運転は控える必要があります
・自費診療(保険適用外)となります
関連する他の症例
歯周病治療の注意事項(リスク・副作用など)
- 外科手術のため、術後に痛みや腫れ、違和感を伴います
- 歯周組織再生治療は患者様の状態によって術後の経過が異なります(見た目が改善しない場合もあります)
- 歯周組織再生治療は自費診療(保険適用外)となります




