【40代男性】銀歯をセラミックにやり替え
治療概要
- 患者様:40代男性
- 治療期間:1ヶ月
- 概算治療費:13.2万円
※費用は治療当時の料金となります - 担当医:草深敏毅
治療動機
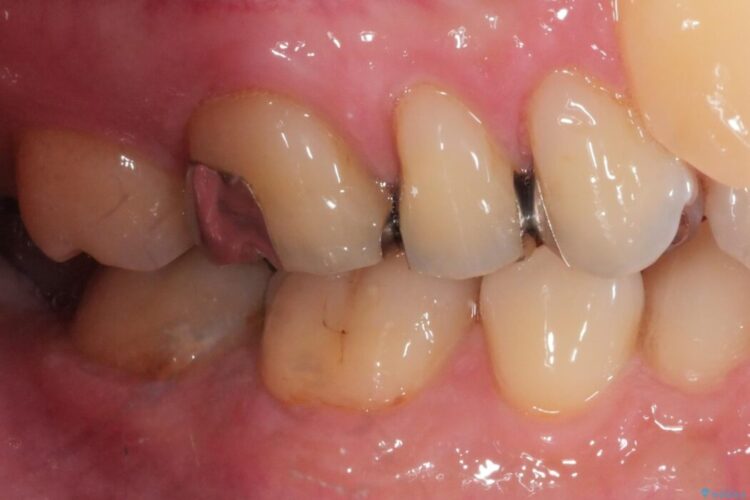
銀歯をセラミックにやり替えたいとご来院された患者様です。
治療計画
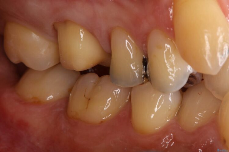
銀歯は複数箇所ありましたが、咬合力がより強く破折リスクが高い奥歯から治療を開始することとしました。
治療後について
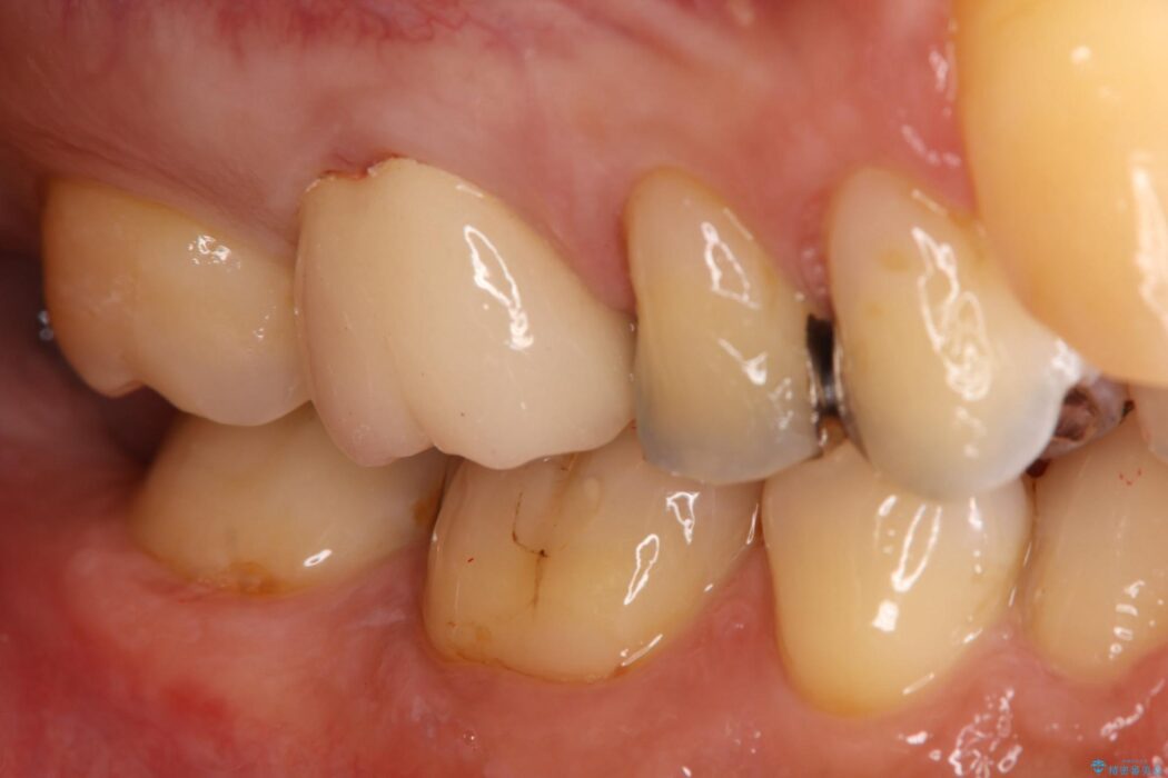
奥歯の嚙み合わせが強く、治療後にセラミックが割れるリスクがありました。
その為、マウスピースを装着していただいております。
残りの銀歯については、患者様のご希望のタイミングで治療を行う予定です。
関連する他の症例
セラミック治療の注意事項(リスク・副作用など)
- 天然歯を削ります
- 硬い素材は天然歯を傷つけてしまう場合があります
- かみ合わせや歯ぎしりが強すぎる方はセラミックが割れてしまう可能性があります
- 自費診療(保険適用外治療)となります



