【20代女性】矯正治療後の後戻り
治療概要
- 患者様:20代女性
- 治療期間:1年
- 矯正装置:審美装置
- 概算治療費:66万円
※費用は治療当時の料金となります - 担当医:草深敏毅
治療動機
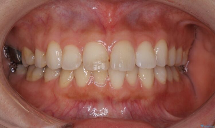
抜歯矯正後の後戻りについてご相談にいらした患者様です、
治療計画
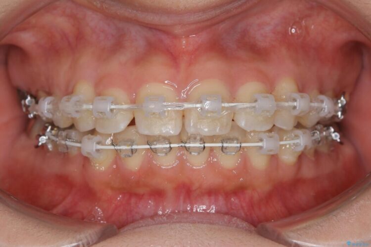
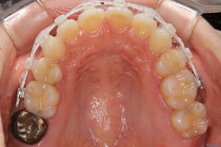
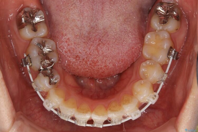
いつもでしたらマウスピース矯正をおすすめするのですが、自己管理の煩わしさから、目立たないワイヤー装置にて矯正治療を行うこととしました。
治療後について
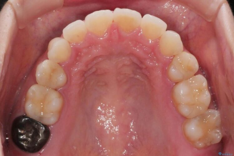
後戻りの程度としては軽度なので、治療期間としては短く終えることが出来ました。
前歯の正中線も改善され大変満足していただきました。
関連する他の症例
ワイヤー矯正の注意事項(リスク・副作用など)
- 治療中は違和感や痛みが起こることがあります
- 症状により、抜歯が必要な場合があります
- 治療中は歯磨きがしにくくなるため、虫歯や歯周病になりやすくなります
- 矯正治療後の保定が不十分だと後戻り(元の位置に戻ろうとする動き)をします
- 自費診療(保険適用外)となります









