【30代女性】右下奥歯のインプラント 治療例
治療概要
- 患者様:30代女性
- 治療期間:6ヶ月
- 概算治療費:35万円
※費用は治療当時の料金となります - 担当医:福本健生
治療動機
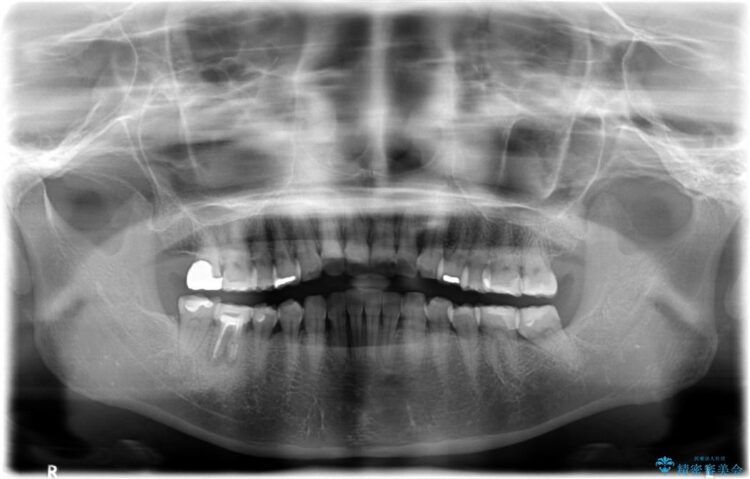
他院で右下の奥歯を抜歯しなければならないと言われ、当院へ相談に来られました。
治療計画
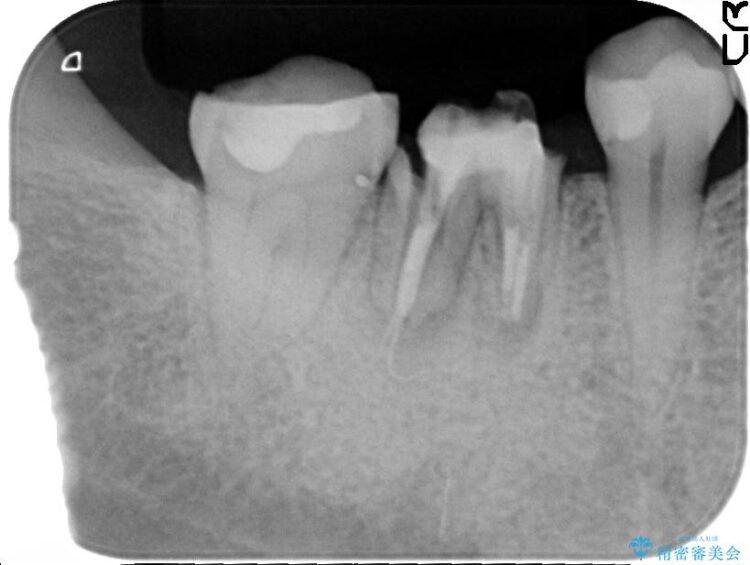
精密な検査を行ったところ、根が完全に折れている為、抜歯が必要となりました。抜歯後は骨と歯茎が痩せてしまう事がないように、人工の骨をつめ、インプラント治療を行う計画としました。
治療後について
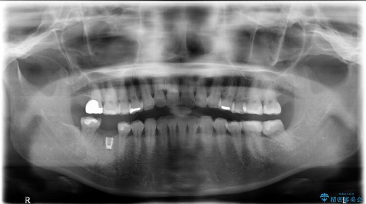
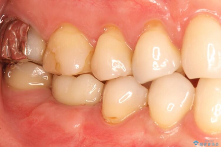
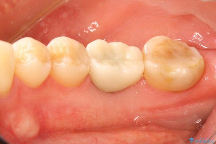
抜歯を行った当日に骨の維持をする為、人工の骨を充填しました。インプラントを埋入する際には、ほとんどが自分の骨に置き換わっており、頬舌的なへこみを引き起こす事もなく、審美性・機能性ともに維持する事が出来ました。
また今回の治療では「バイコンインプラント」を使用する事により、インプラントの土台とセラミッククラウンを付ける際にセメントが全く残らないという利点を生かしたところ、見た目にも綺麗に仕上がり、患者様にも喜んでいただきました。
※下あごのインプラント治療の場合、ネジで止めるインプラントでは「ネジ止め用の穴」が少し見えてしまい審美性に欠けるデメリットがあります
インプラント治療について
天然歯を失ってしまった場合、「インプラント治療」「ブリッジ治療」「入れ歯」という3つの治療法の選択肢があります。
その中でもインプラント治療は「他の歯を削らないですむ」「他の歯の負担を軽減できる」「天然歯と同じように噛める」などのメリットがありますが、「外科療法(=手術)」「自費診療(=比較的高額)」というデメリットもあります。
当院のインプラント治療の特徴
(1)患者様のご要望や症状に合わせて、多様なインプラントをご用意しています。
(2)治療の精度を高くするため、拡大鏡(必要時にはマイクロスコープ)などの精密機器を使用した精密歯科治療を行うことを基本としております。
(3)遠方にお住いの患者様や忙しい患者様も来院されますので、1回あたりの治療時間を長くいただくことで、治療期間を短く、通院回数を減らすことができます。
(4)インプラント手術に不安を感じている方には、経験豊富な麻酔医による静脈内鎮静法(オプション)により、不安の無い快適な治療を受けていただけます
(5)インプラント治療以外の治療が必要な場合、担当医と根管治療や歯周病治療などのエキスパート医師が連携し、患者様のご要望に合わせた治療計画を立て、スムーズな歯科治療を実現しております。
関連する他の症例
インプラント治療の注意事項(リスク・副作用など)
- 外科手術のため、術後に痛みや腫れ、違和感を伴います
- メンテナンスを怠ったり喫煙により、お口の中に大きな悪影響を及ぼすインプラント周囲炎等にかかる可能性があります
- 糖尿病、肝硬変、心臓病等の場合、インプラント治療ができない可能性があります
- 高血圧、貧血・不整脈等の場合、インプラント治療後に治癒不全を招く可能性があります
- 自費診療(保険適用外治療)となります












