【40代女性】奥歯の違和感をインプラント治療で解決
治療概要
- 患者様:40代女性
- 治療期間:6ヶ月
- 概算治療費:50万円
※費用は治療当時の料金となります - 担当医:草深敏毅
治療動機
奥歯で噛んだときに違和感があるとご来院された患者様です。
治療計画
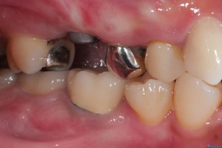
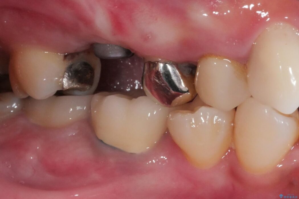
歯根の先端の病変が大きく割れてしまっていた為、残念ながら抜歯の必要がありました。
精密検査の結果、骨の厚みは問題なかったのですが高さは少し低かったので、幅が太い短いインプラントを使って治療を行うこととしました。
治療後について
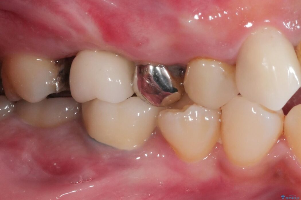
インプラント治療により、問題なく奥歯で噛めるようになり喜んでいただけました。
しかし、奥歯の嚙み合わせが強いため、インプラント周囲の骨吸収や他の歯の破折等が起きる可能性があります。
就寝時のマウスピース装着と定期的なメンテナンスが重要となります。
関連する他の症例
インプラント治療の注意事項(リスク・副作用など)
- 外科手術のため、術後に痛みや腫れ、違和感を伴います
- メンテナンスを怠ったり喫煙により、お口の中に大きな悪影響を及ぼすインプラント周囲炎等にかかる可能性があります
- 糖尿病、肝硬変、心臓病等の場合、インプラント治療ができない可能性があります
- 高血圧、貧血・不整脈等の場合、インプラント治療後に治癒不全を招く可能性があります
- 自費診療(保険適用外治療)となります



