【40代女性】開咬(オープンバイト)の非抜歯インビザライン矯正治療
治療概要
- 患者様:40代女性
- 治療期間:1年
- 矯正装置:インビザライン コンプリヘンシブパッケージ
- 概算治療費:88万円
※費用は治療当時の料金となります - 担当医:福本健生
治療動機
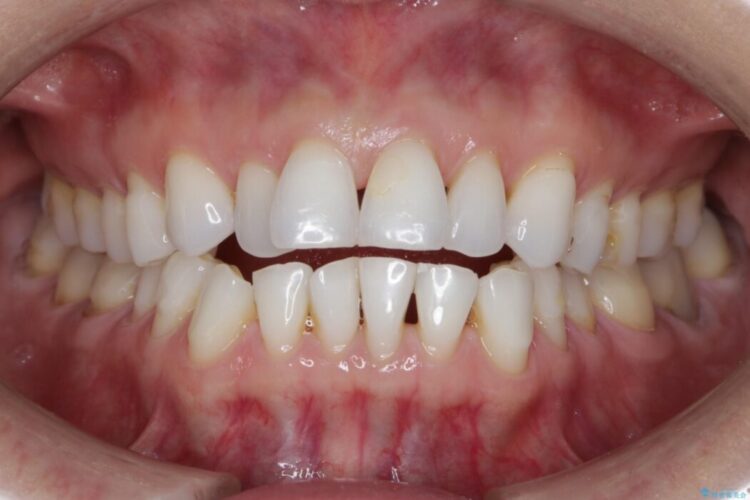
歯ぎしり、食いしばりに加え歯列のガタつきの治療を主訴に来院されました。
治療計画
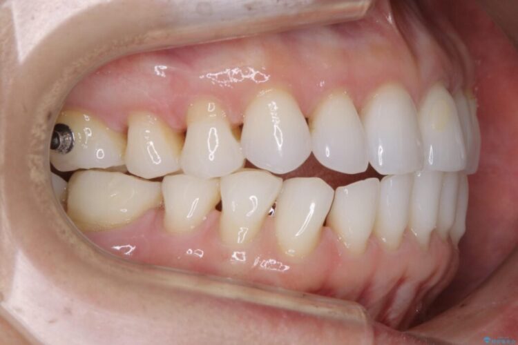
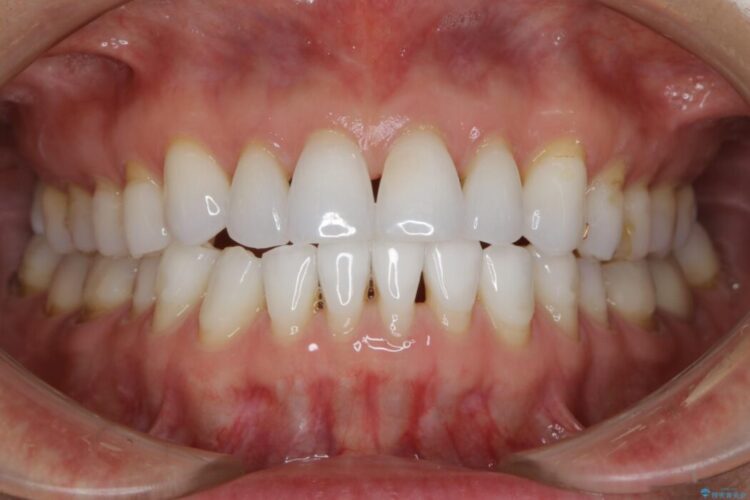
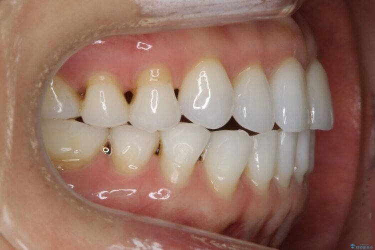
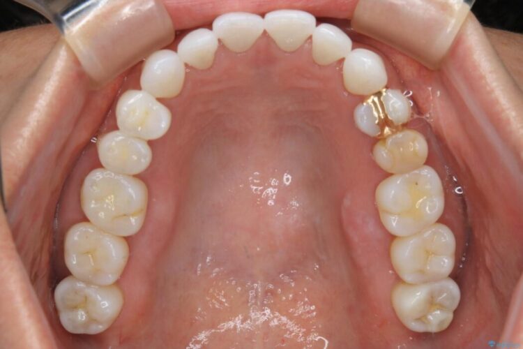
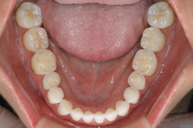
検査をしたところ、前歯と臼歯の高さに差があることにより噛み合わせが悪く、噛みしめると前歯が全く当たらず浮いている状態でした。また歯ぎしりによって奥歯が削れてしまっていました。
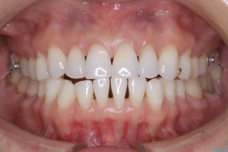
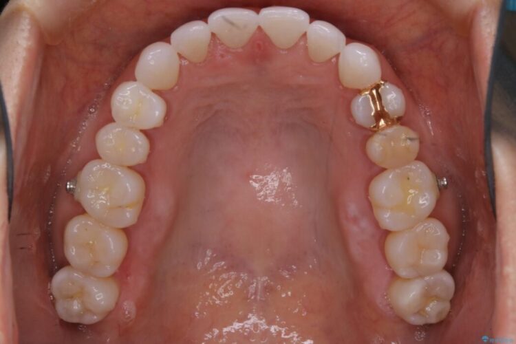
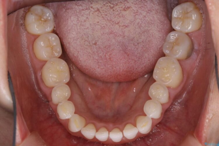
本症例ではがたつきの整えに並行して奥歯を沈めることにより全体の噛み合わせの改善を行うこととしました。
治療後について
今回は非抜歯での矯正治療をしました。
噛み合わせは虫歯や歯周病、顎の関節など多くの箇所へ影響を与えます。
当院では歯並びの見た目だけではなく噛み合わせの機能性も考慮した歯を長持ちさせる治療を行っています。
開咬(オープンバイト)とは
奥歯を噛みしめた際に前歯が噛み合わず隙間が空いている状態のことを開咬(オープンバイト)と呼びます。
開咬により口が開いた状態になると乾燥して菌が繁殖します。それにより虫歯や口臭のへ影響を与えます。
原因の除去や歯牙の移動で噛み合わせの治療を行うことで改善できる場合があります。
関連する他の症例
マウスピース矯正の注意事項(リスク・副作用など)
- 口腔内・歯並びの状態によっては対応できない場合があります
- マウスピース型矯正装置の長時間装着(1日20時間以上)が必須です
- 治療計画通りに進めるためには、患者様の意志が重要になります
- 矯正治療後の保定が不十分だと後戻り(元の位置に戻ろうとする動き)をします
- 薬機法対象外の矯正歯科装置のため医薬品副作用被害救済制度の対象外となる場合があります
- 自費診療(保険適用外)となります












