【10代女性】生まれつき小さい歯をセラミックで補綴しすきっ歯を改善する
治療概要
- 患者様:10代女性
- 治療期間:4ヶ月
- 矯正装置:マウスピース(インビザライン)
- 概算治療費:部分矯正30万円/オールセラミッククラウン20万円
※費用は治療当時の料金となります - 担当医:福本健生
治療動機
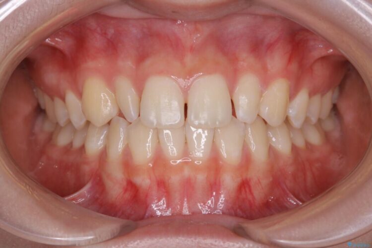
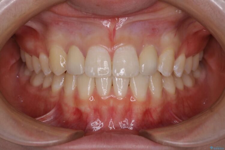
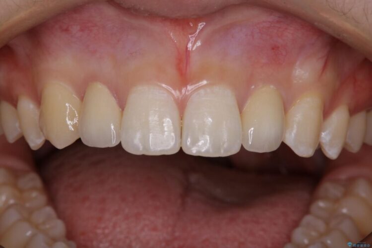
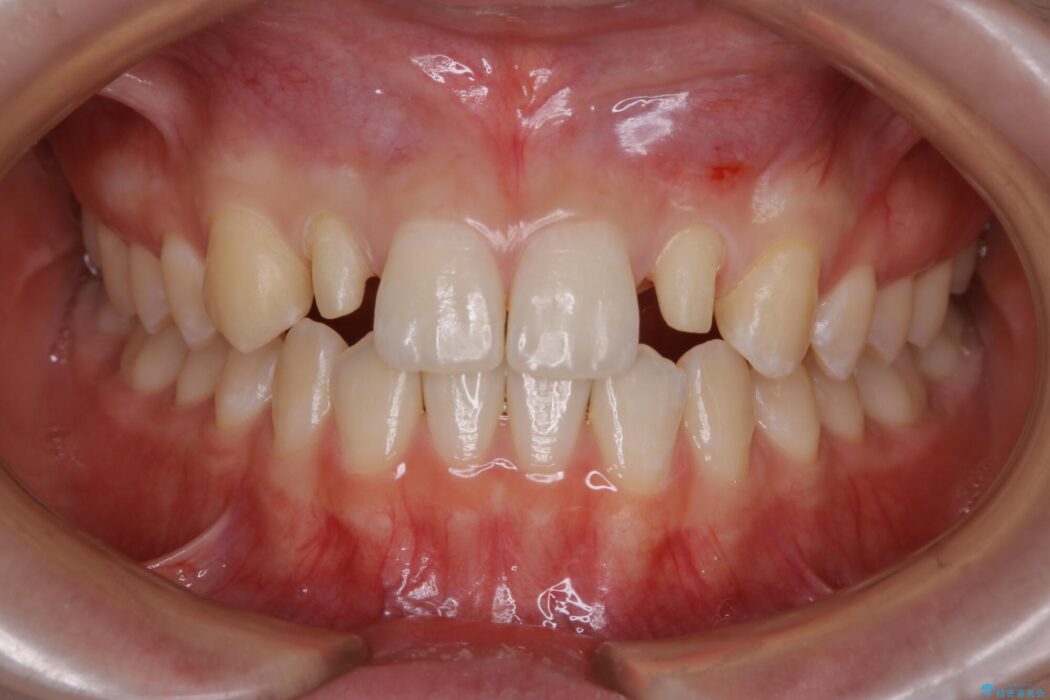
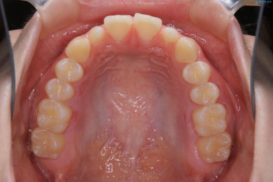
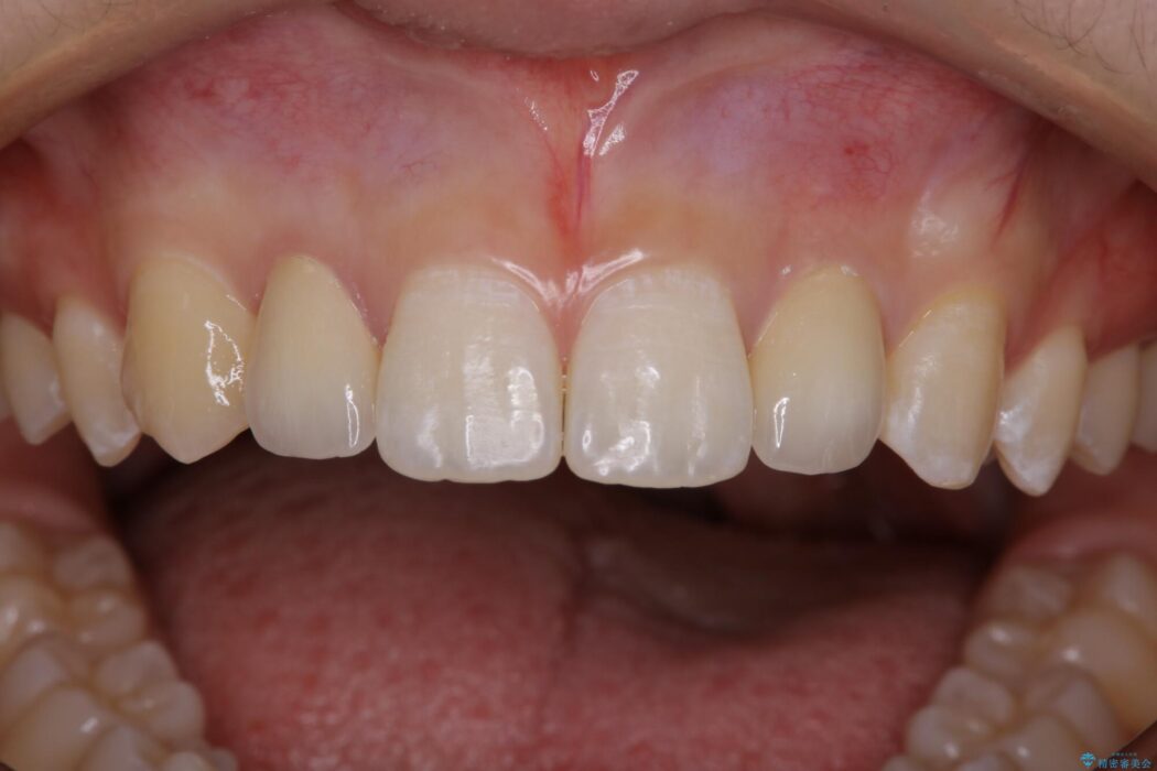
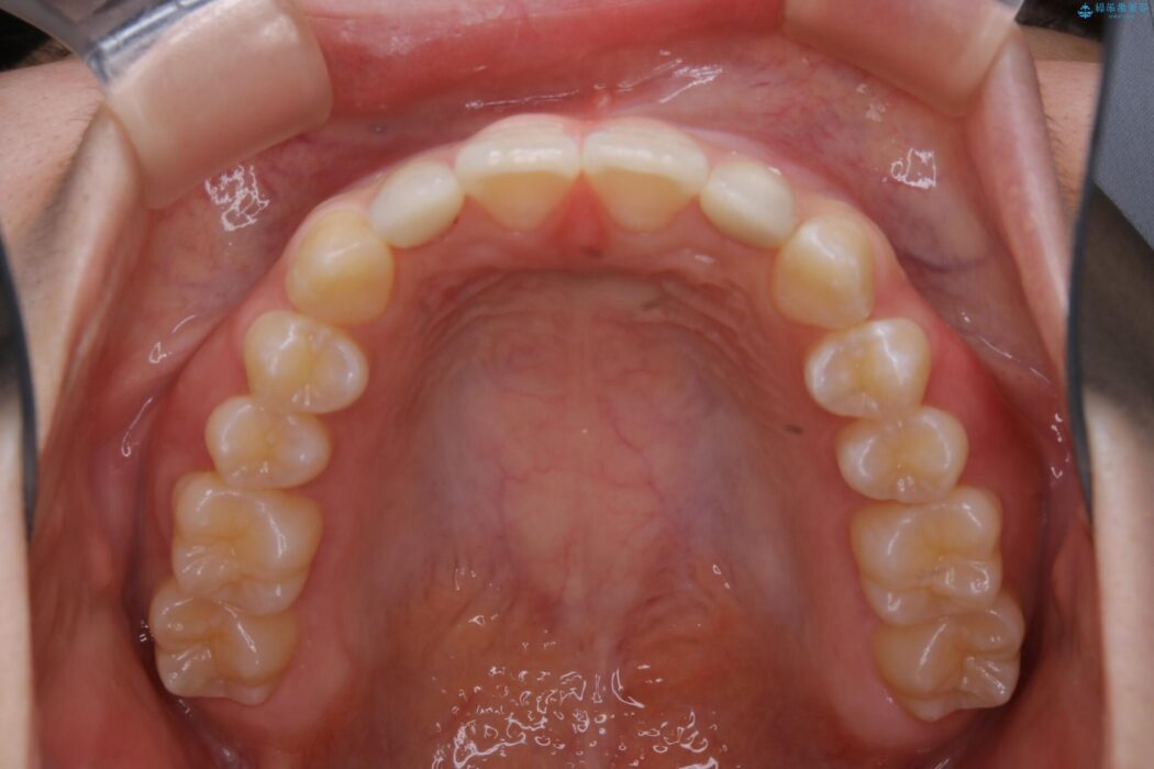
上顎前歯に隙間があり見た目の改善をしたいとのことで来院されました。
治療計画
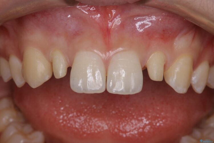
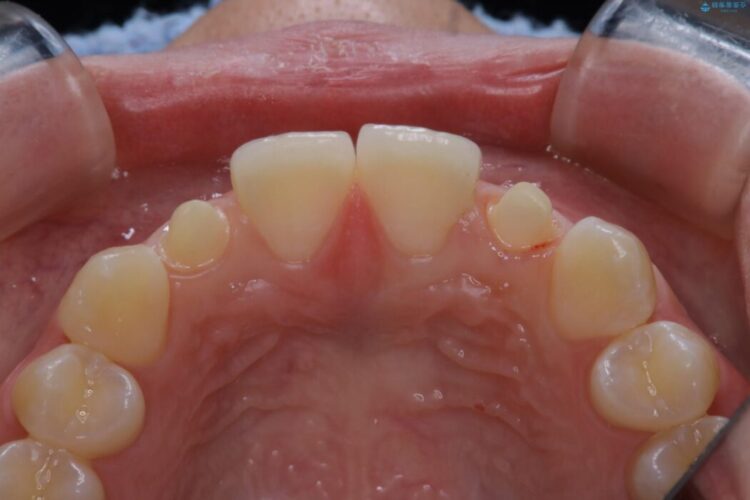
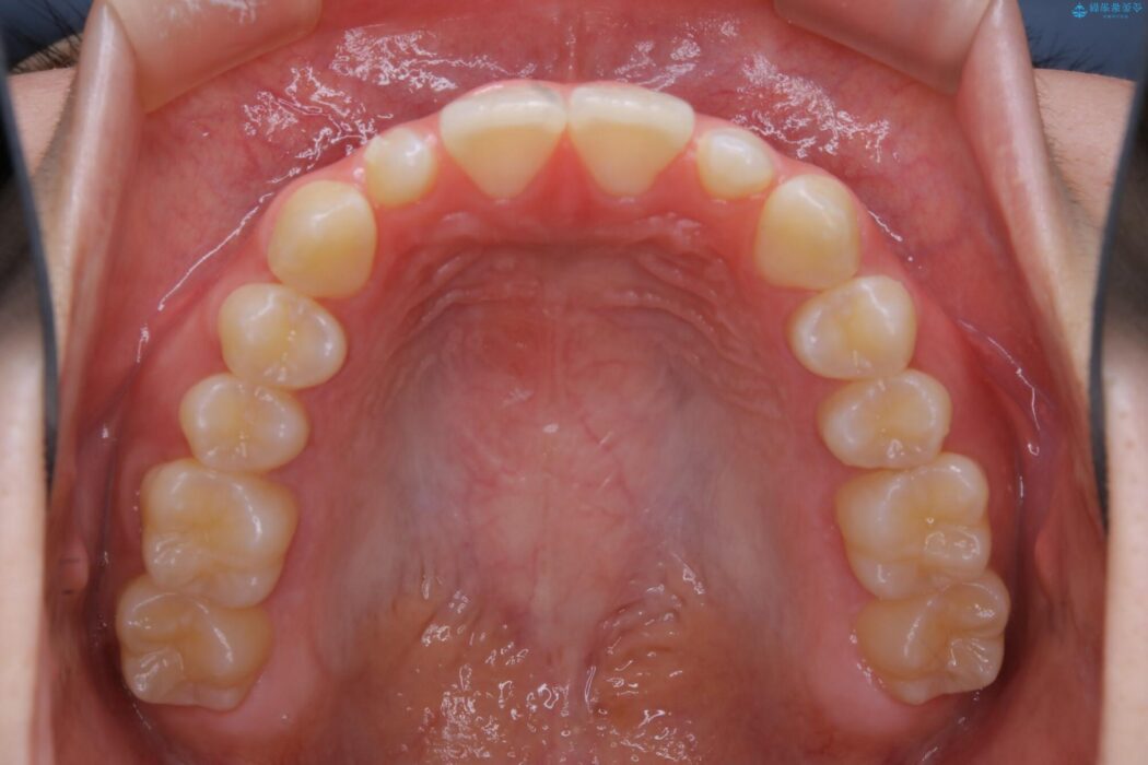
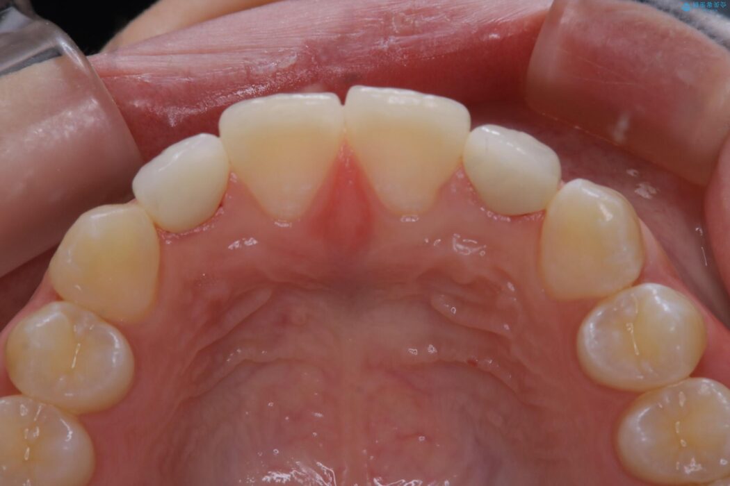
主訴である前歯部は「矮小歯」という生まれつき小さく生えている歯と、正中に隙間がありすきっ歯であることから審美的に気になってしまう状態でした。
矮小歯が傾斜してしまっていることもあり、より安全に治療を進めていくにあたって部分矯正をした上でセラミッククラウンでの補綴治療を行うこととしました。
治療後について
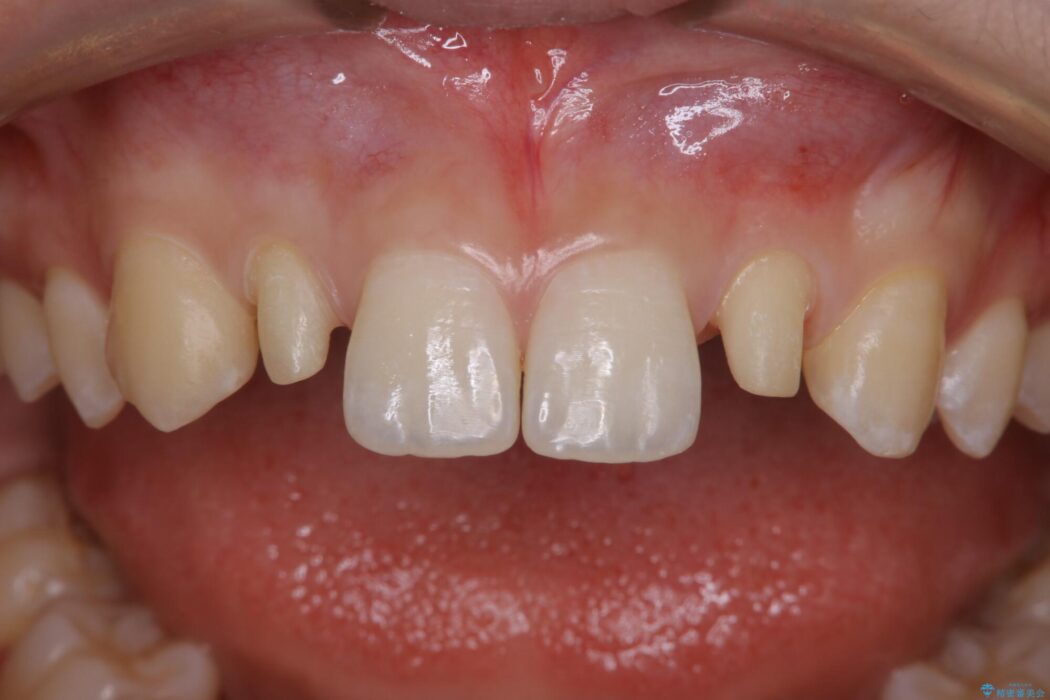
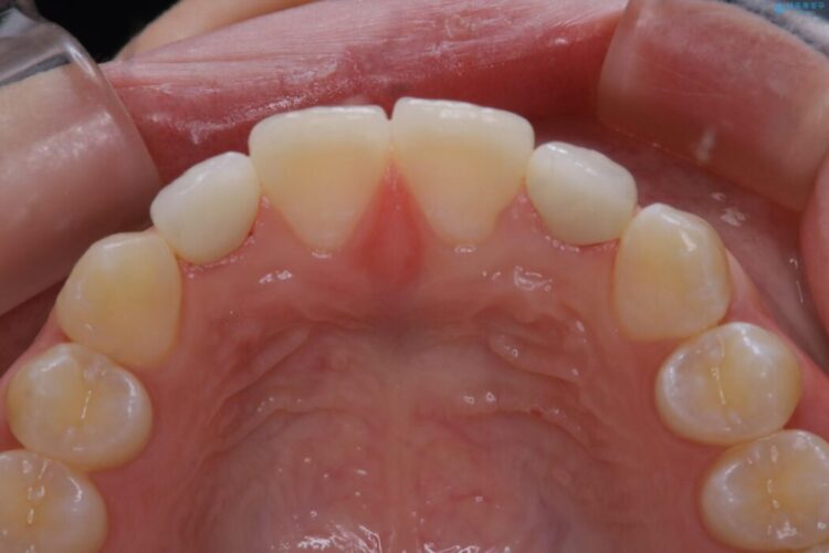
患者様のご希望であるゴールに沿った治療が完了し、ご満足いただけました。
矮小歯の補綴治療について
前歯や小臼歯に生えてくる歯が小さい場合、審美的な問題を抱えることがあります。
このような歯を矮小歯(わいしょうし)と言います。
本症例では矮小歯に加えて傾斜も併発していたことから、補綴治療の際に歯を削ってしまうと神経まで影響を与えてしまう可能性がありました。
よってまず事前に歯軸改善の部分矯正を取り入れることにより歯髄を温存することができました。
部分矯正について
適応範囲は少ないことが多いですが、奥歯の噛み合わせに問題が見られず、矯正にあたり歯の移動量が少ない場合は部分矯正が可能となるケースがあります。
現状問題がない部分はそのままに、必要な部分のみを焦点に最小限の治療を施すことができる上、費用や矯正期間の短縮をすることができます。
関連する他の症例
マウスピース矯正の注意事項(リスク・副作用など)
- 口腔内・歯並びの状態によっては対応できない場合があります
- マウスピース型矯正装置の長時間装着(1日20時間以上)が必須です
- 治療計画通りに進めるためには、患者様の意志が重要になります
- 矯正治療後の保定が不十分だと後戻り(元の位置に戻ろうとする動き)をします
- 薬機法対象外の矯正歯科装置のため医薬品副作用被害救済制度の対象外となる場合があります
- 自費診療(保険適用外)となります
セラミック治療の注意事項(リスク・副作用など)
- 天然歯を削ります
- 硬い素材は天然歯を傷つけてしまう場合があります
- かみ合わせや歯ぎしりが強すぎる方はセラミックが割れてしまう可能性があります
- 自費診療(保険適用外治療)となります











