【20代女性】傾斜してしまった奥歯の部分矯正を併用したブリッジ治療
治療概要
- 患者様:20代女性
- 治療期間:4ヶ月
- 概算治療費:部分矯正15万円/オールセラミックブリッジ30万円
※費用は治療当時の料金となります - 担当医:福本健生
治療動機
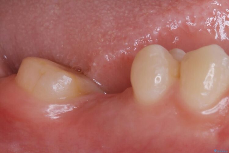
右下奥歯が欠損しているためブリッジでの補綴治療をしたいとの主訴で来院されました。
治療計画
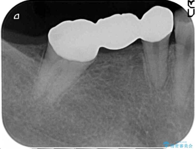
診査した結果、欠損した状態で長期間放置していたことが原因で最高峰の奥歯が欠けた部分に向かって傾斜してしまっていました。
この状態のままブリッジ治療へと進んでしまうと神経が露出する可能性が否定できないため、まずワイヤー装置による部分矯正で歯軸を通常位置へ戻してから補綴治療を行うこととしました。
治療後について
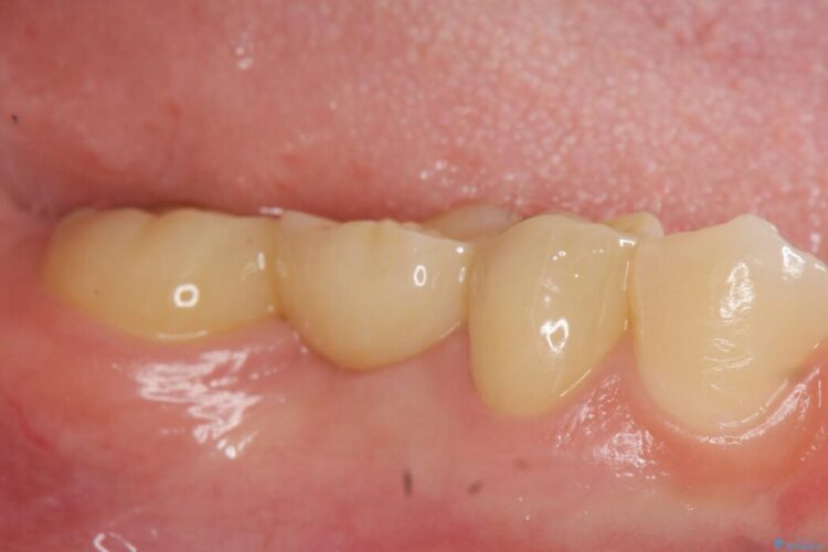
欠損した部分が補綴され、普通に噛めるようになったと喜んでいただけました。
治療について
本症例では、健康な歯を可及的に守るため神経の処置を避けた上で部分矯正を併用して行うことにより、安全に補綴治療(ブリッジ)ができました。
神経を取ってしまうと
・歯が弱くなる
・感覚がなくなることによって虫歯の発覚が遅れてしまう
・破折のリスクが高まる
などといったデメリットが発生します。
よって可能な限り神経を抜かない治療を選択しました。
欠損した部分の放置
歯が欠損した部分を長期間放置してしまうと、欠損部分に食べ物が入り込んだり、隣り合う歯が倒れこんでしまったり、噛み合うはずの歯が伸びてしまうなどの問題が発生することがあります。
なるべく早く治療のご相談に行かれることをお勧めいたします。
関連する他の症例
セラミック治療の注意事項(リスク・副作用など)
- 天然歯を削ります
- 硬い素材は天然歯を傷つけてしまう場合があります
- かみ合わせや歯ぎしりが強すぎる方はセラミックが割れてしまう可能性があります
- 自費診療(保険適用外治療)となります
ワイヤー矯正の注意事項(リスク・副作用など)
- 治療中は違和感や痛みが起こることがあります
- 症状により、抜歯が必要な場合があります
- 治療中は歯磨きがしにくくなるため、虫歯や歯周病になりやすくなります
- 矯正治療後の保定が不十分だと後戻り(元の位置に戻ろうとする動き)をします
- 自費診療(保険適用外)となります










