【20代女性】隠れた前歯とガタつきをきれいな歯列弓へ
治療概要
- 患者様:20代女性
- 治療期間:2年
- 矯正装置:インビザライン
- 概算治療費:88万円+TAX(マイクロインプラント費用込)
※費用は治療当時の料金となります - 担当医:福本健生
治療動機
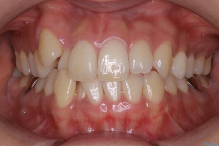
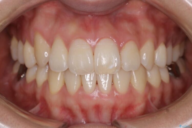
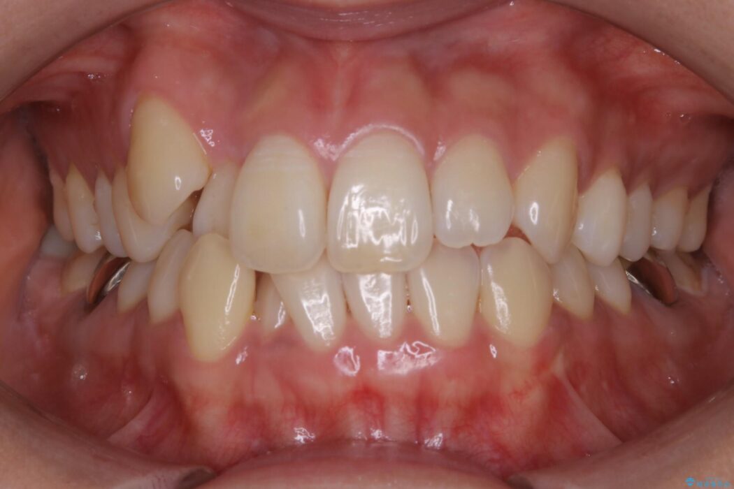
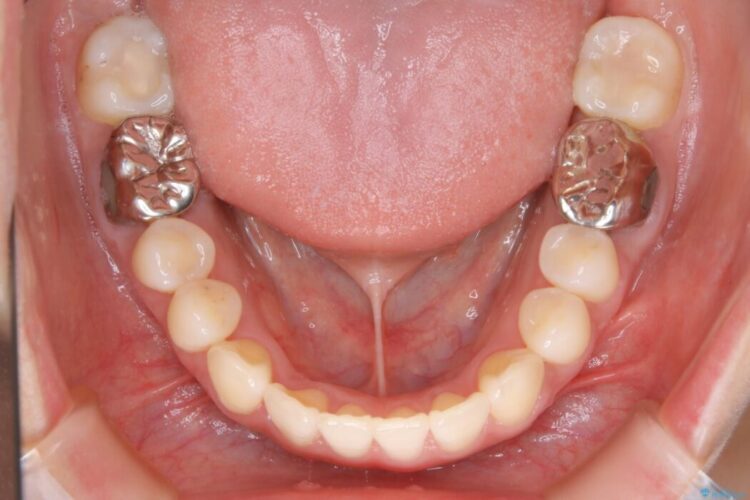
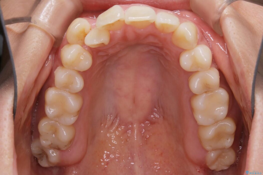
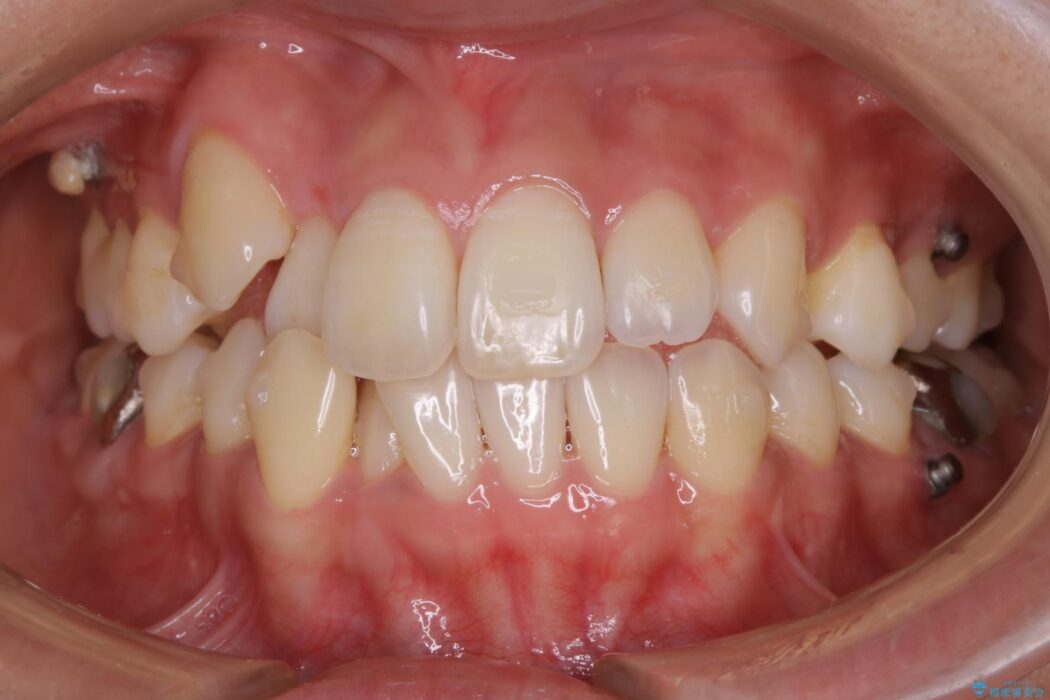
前歯のガタつきと叢生の矯正治療をしたいとのことで来院されました。
治療計画
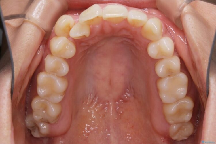
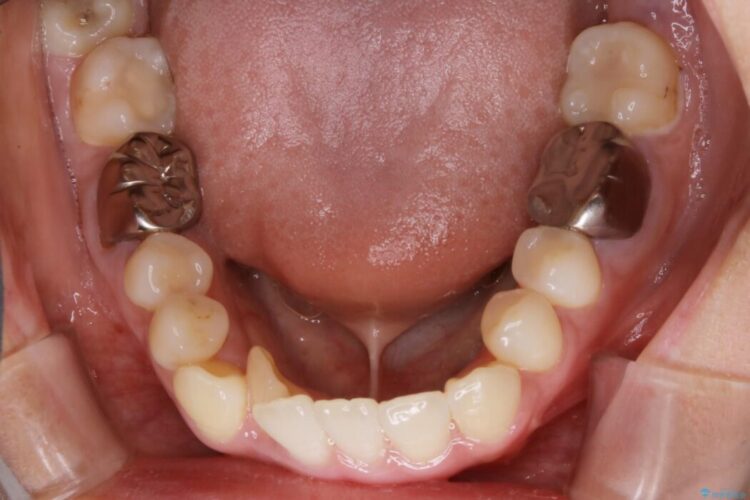
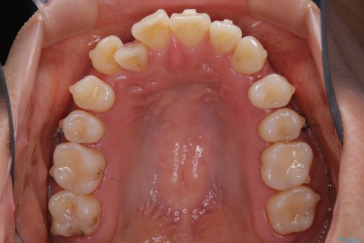
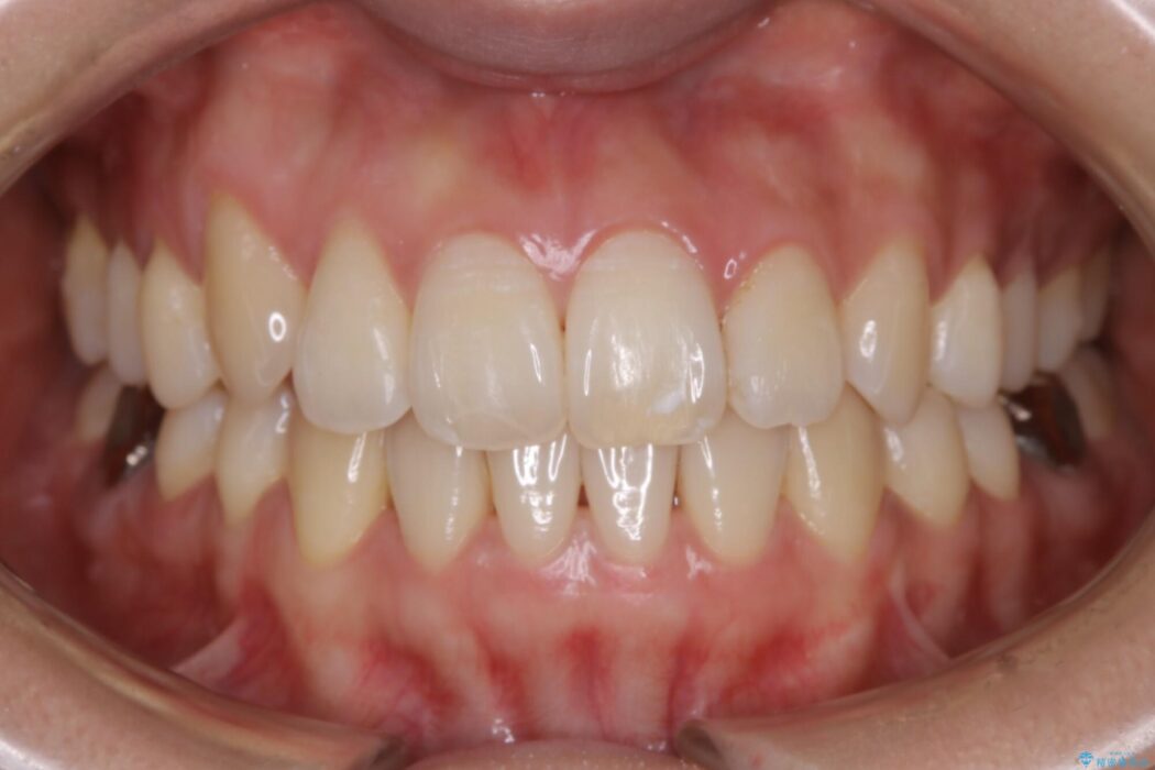
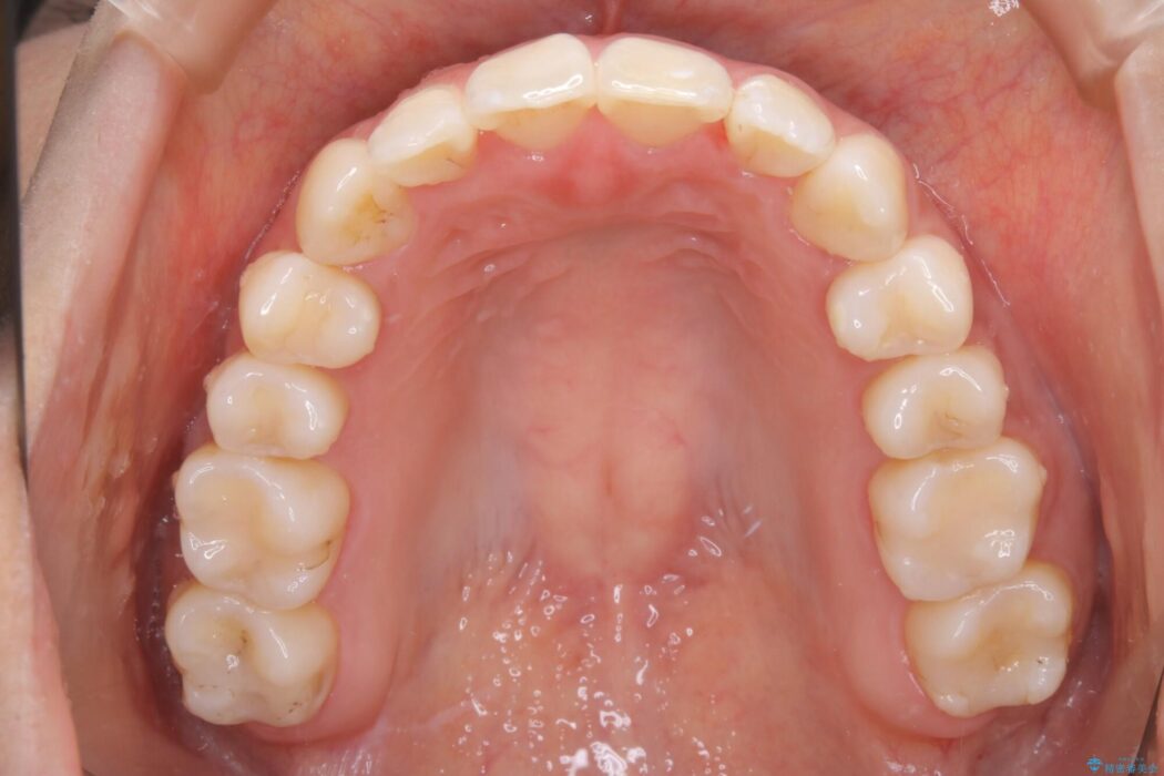
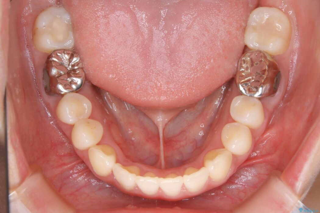
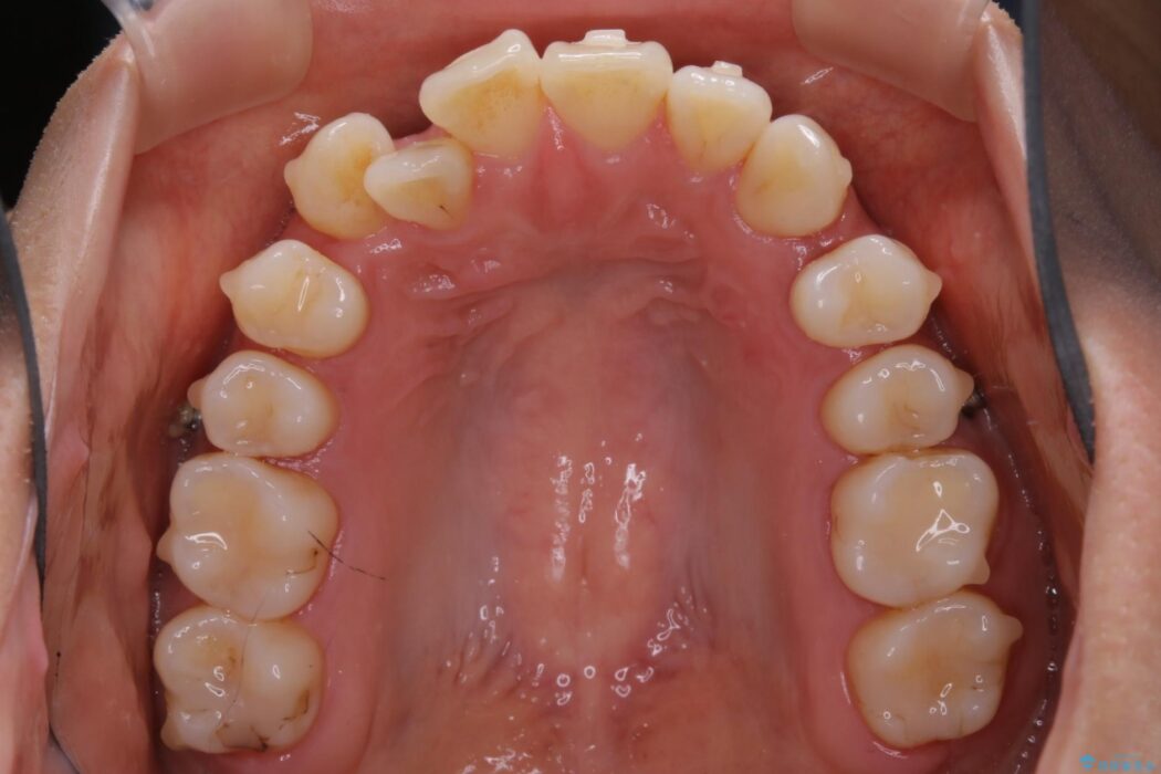
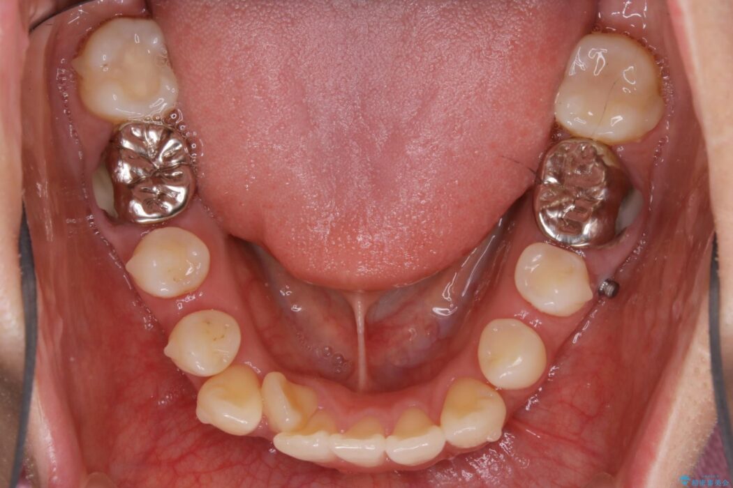
非抜歯での治療をご希望でしたので、インビザライン(マウスピース矯正)をご提案しました。
遠心移動について
抜歯無しで矯正治療をする際にはスペースを確保するため歯の遠心移動を行います。
元の位置から奥へ順に歯を移動させることでガタつきや位置を改善することが可能となります。
しかしながら歯の移動距離が大きくなるにつれて治療期間が長くなる傾向があり、それによってコントロールの難易度も上昇が予想されます。
関連する他の症例
マウスピース矯正の注意事項(リスク・副作用など)
- 口腔内・歯並びの状態によっては対応できない場合があります
- マウスピース型矯正装置の長時間装着(1日20時間以上)が必須です
- 治療計画通りに進めるためには、患者様の意志が重要になります
- 矯正治療後の保定が不十分だと後戻り(元の位置に戻ろうとする動き)をします
- 薬機法対象外の矯正歯科装置のため医薬品副作用被害救済制度の対象外となる場合があります
- 自費診療(保険適用外)となります









