【40代男性】歯にこびりついた着色のクリーニング
治療概要
- 患者様:40代男性
- 治療期間:1日
- 概算治療費:PMTC 1時間コース:1万円
※費用は治療当時の料金となります - 担当医:歯科衛生士
治療動機
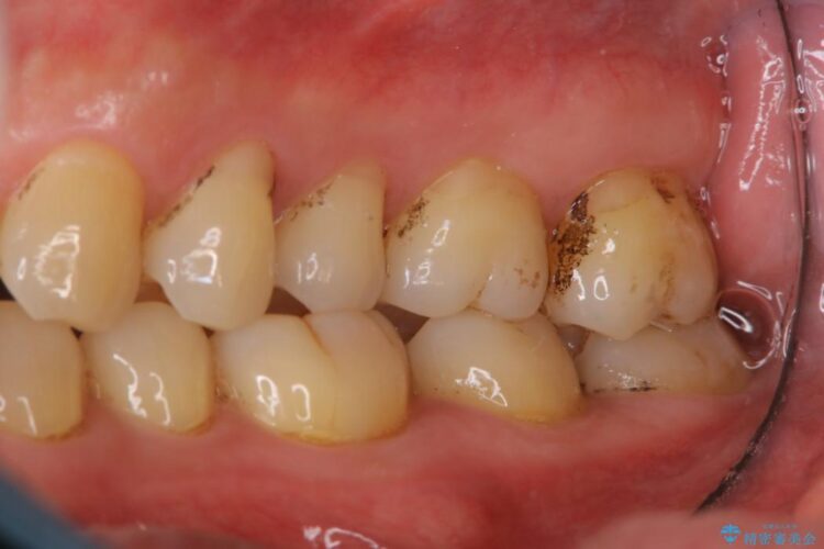
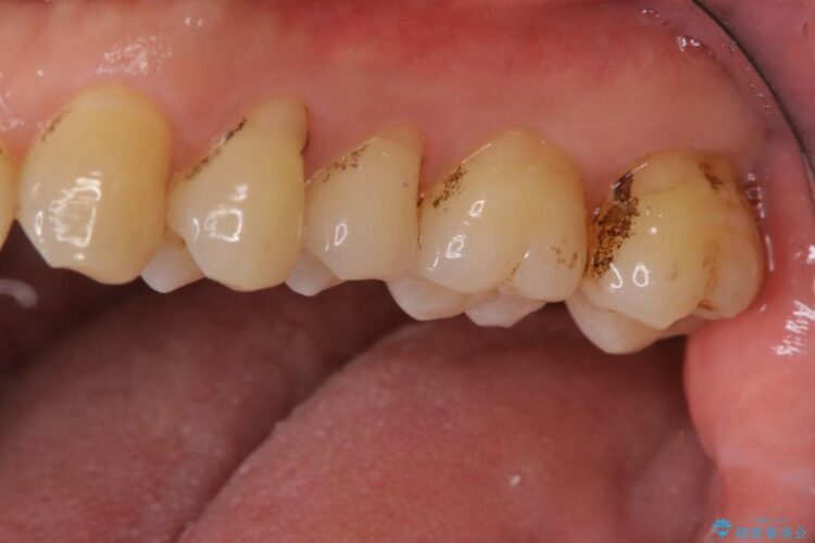
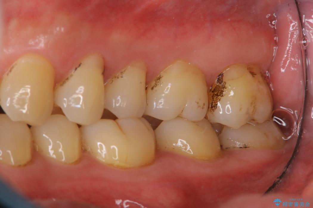
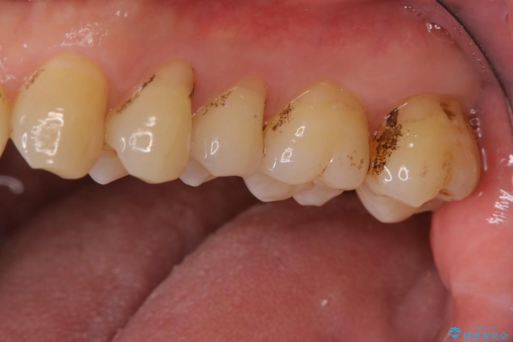
普段からコーヒーをよく飲まれる方で、3年間歯医者に行かれておらず、定期健診も込みでご来院されました。
治療計画
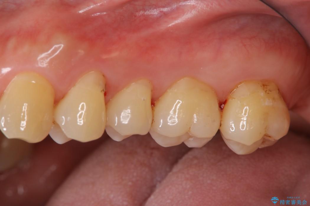
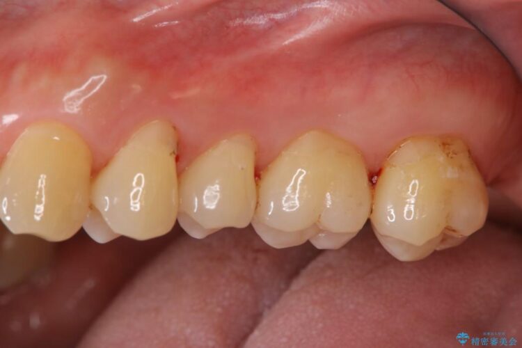
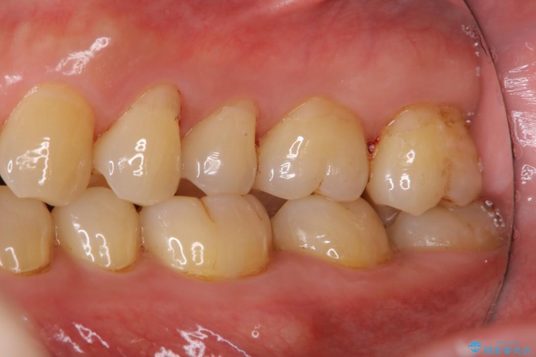
堅くこびりついていたステインも1時間コースのPMTC(プロフェッショナルクリーニング)できれいな状態になりました。
関連する他の症例
PMTCの注意事項(リスク・副作用など)
- 歯を白くする目的の施術ではありません
- 保険適用外となります




