【40代女性】歯茎の再生、ブリッジで前歯の治療
治療概要
- 患者様:40代女性
- 治療期間:1年
- 概算治療費:70万円
※費用は治療当時の料金となります - 担当医:福本健生
治療動機
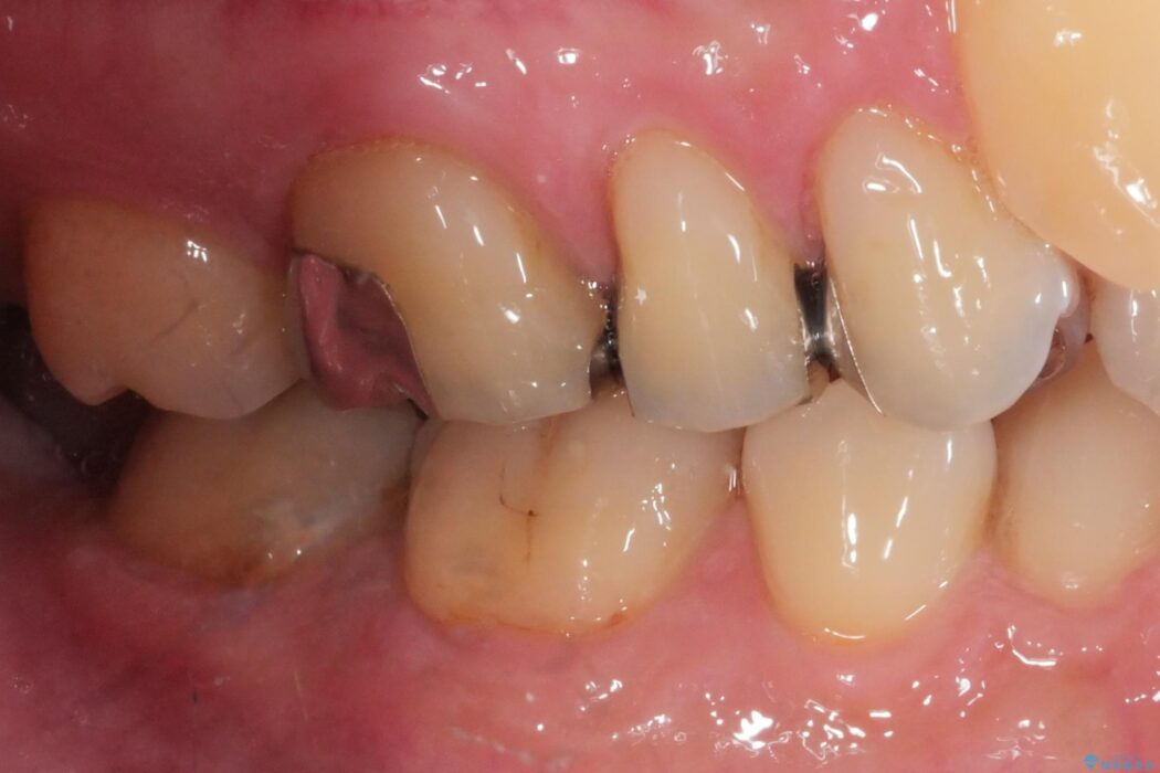
ご来院時は前歯3本がブリッジになっており、そのうち右の2番目の歯は抜歯しなければならない状態でした。
治療計画
歯茎の陥没がひどかったため再生治療を勧めました。
治療後について
再生治療で歯茎の厚みを増やすことで窪みをなくしたことにより、前歯2本の長さをそろえることができました。
関連する他の症例
セラミック治療の注意事項(リスク・副作用など)
- 天然歯を削ります
- 硬い素材は天然歯を傷つけてしまう場合があります
- かみ合わせや歯ぎしりが強すぎる方はセラミックが割れてしまう可能性があります
- 自費診療(保険適用外治療)となります
歯周病治療の注意事項(リスク・副作用など)
- 外科手術のため、術後に痛みや腫れ、違和感を伴います
- 歯周組織再生治療は患者様の状態によって術後の経過が異なります(見た目が改善しない場合もあります)
- 歯周組織再生治療は自費診療(保険適用外)となります








