【30代女性】歯根破折と歯列矯正の治療で噛み合わせを改善
治療概要
- 患者様:30代女性
- 治療期間:2年2ヶ月
- 概算治療費:インビザライン コンプリヘンシブパッケージ 88万円 + インプラント37.4万円
※費用は治療当時の料金となります - 担当医:福本健生
治療動機
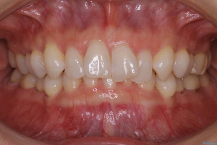
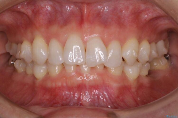
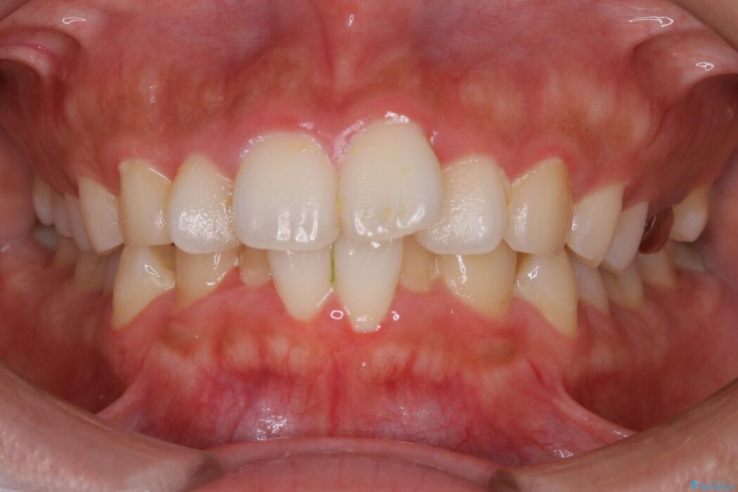
前歯のガタつきの治療を目的に来院されました。
治療計画
主訴としては矯正治療にて歯列を整えることでした。
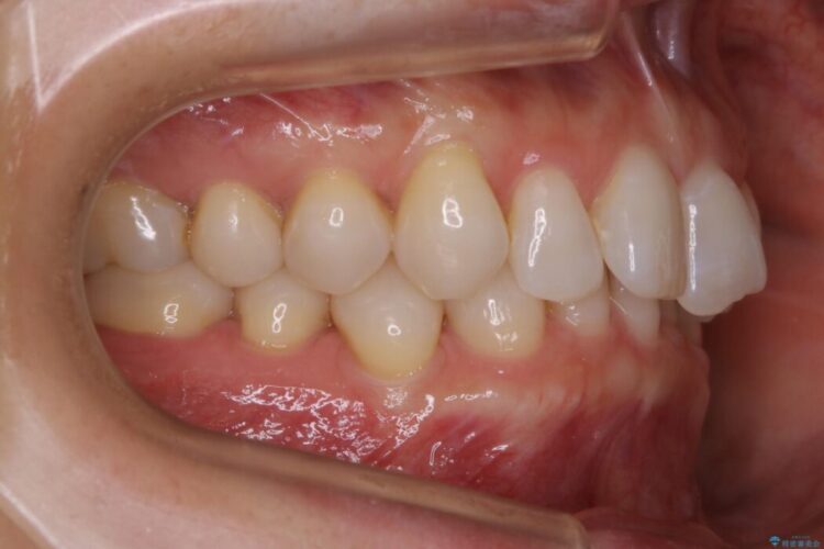
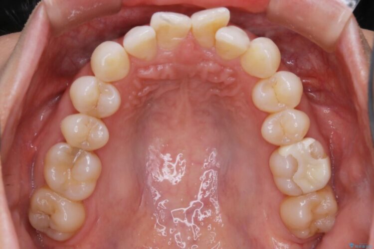
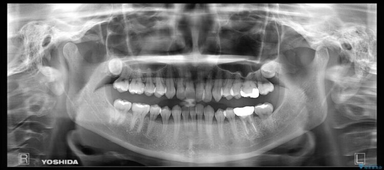
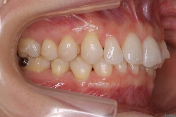
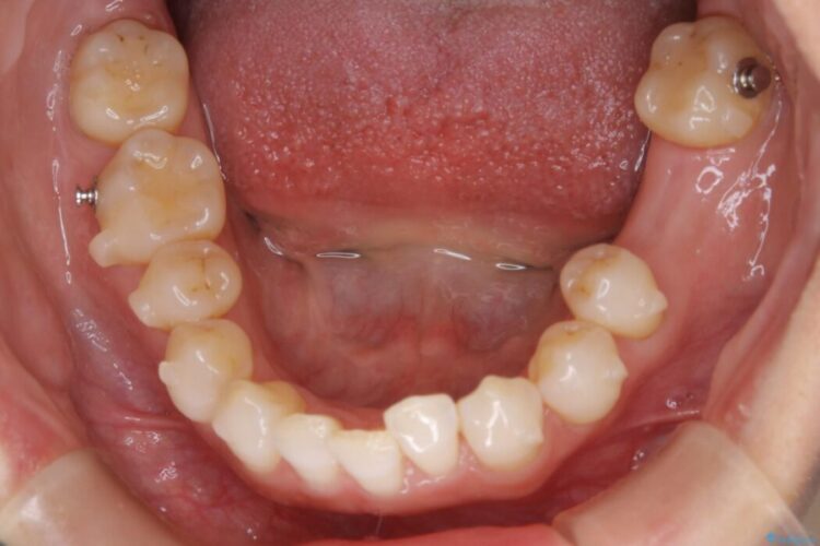
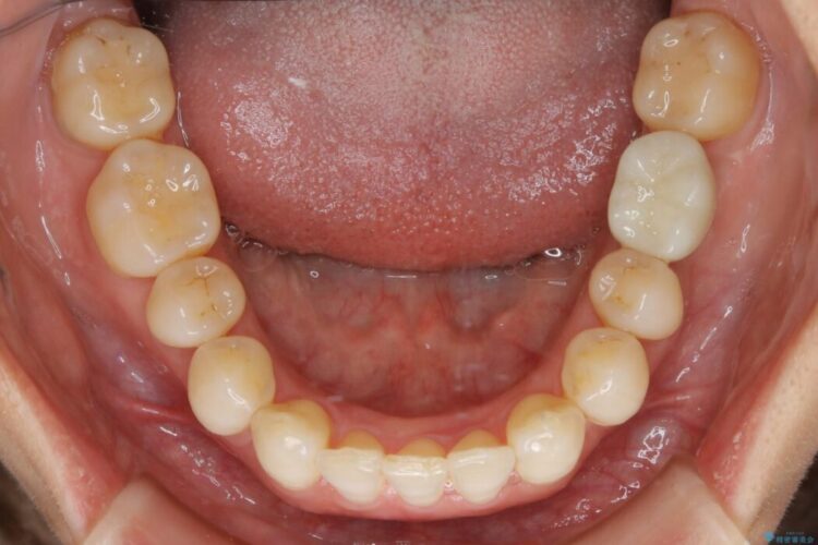
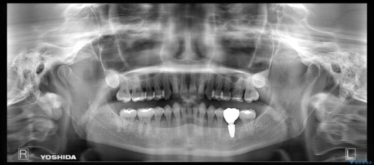
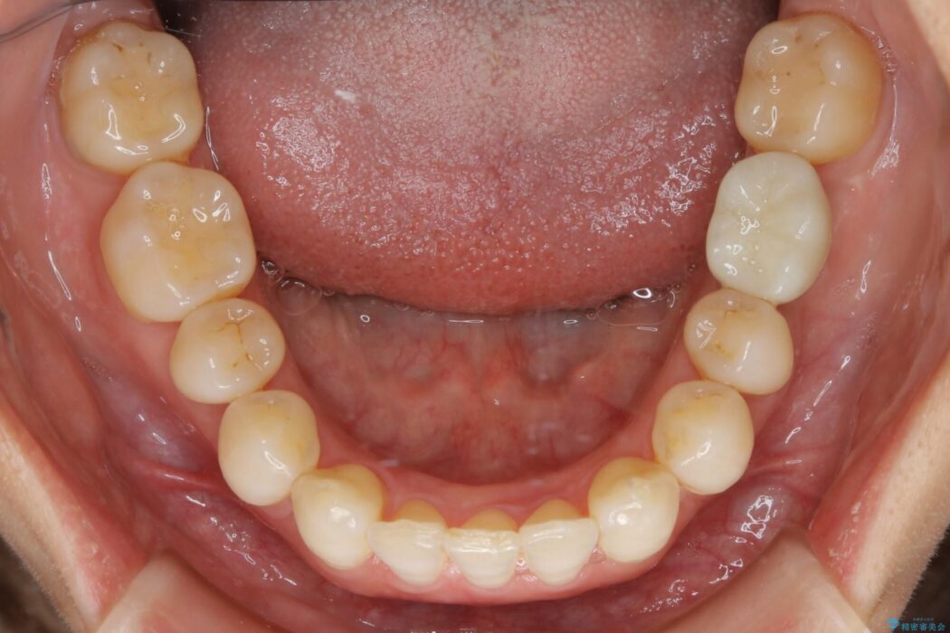
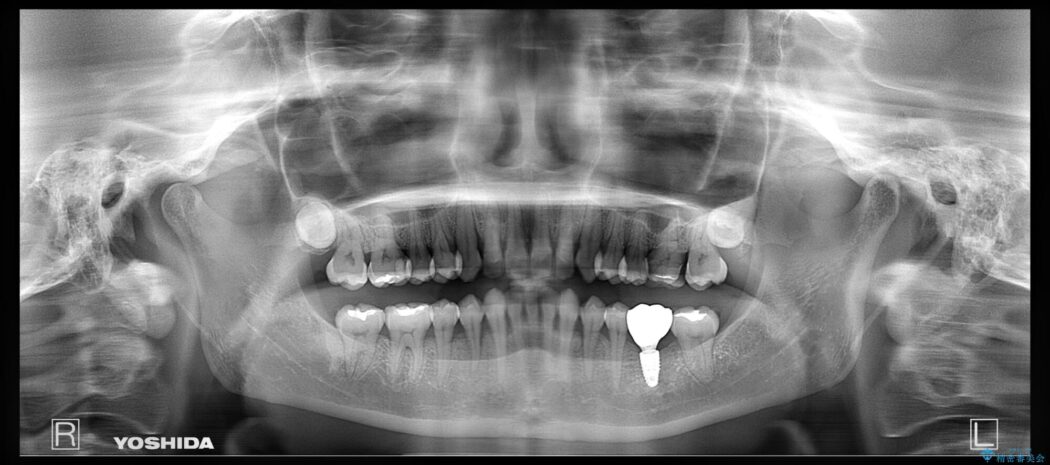
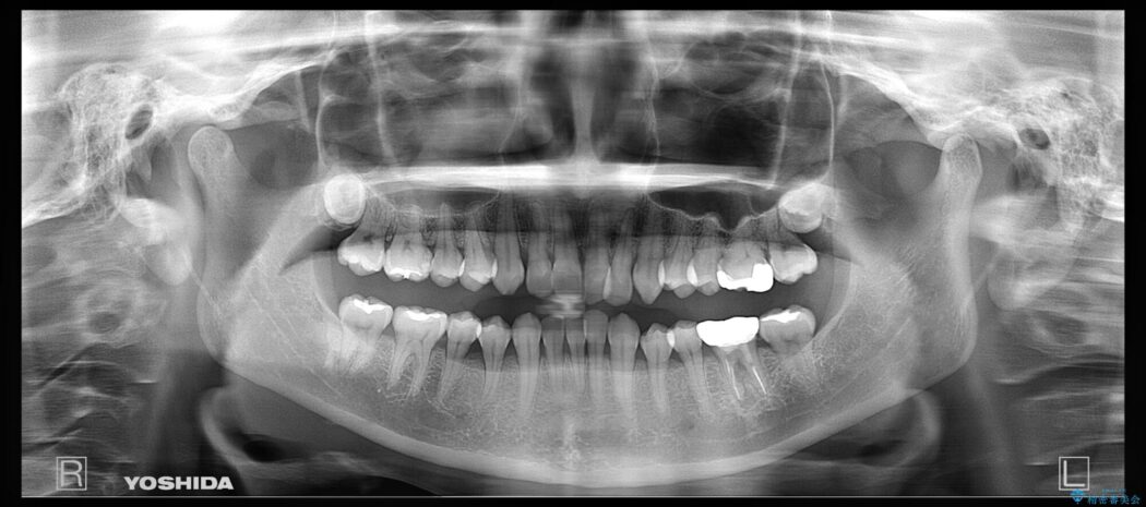
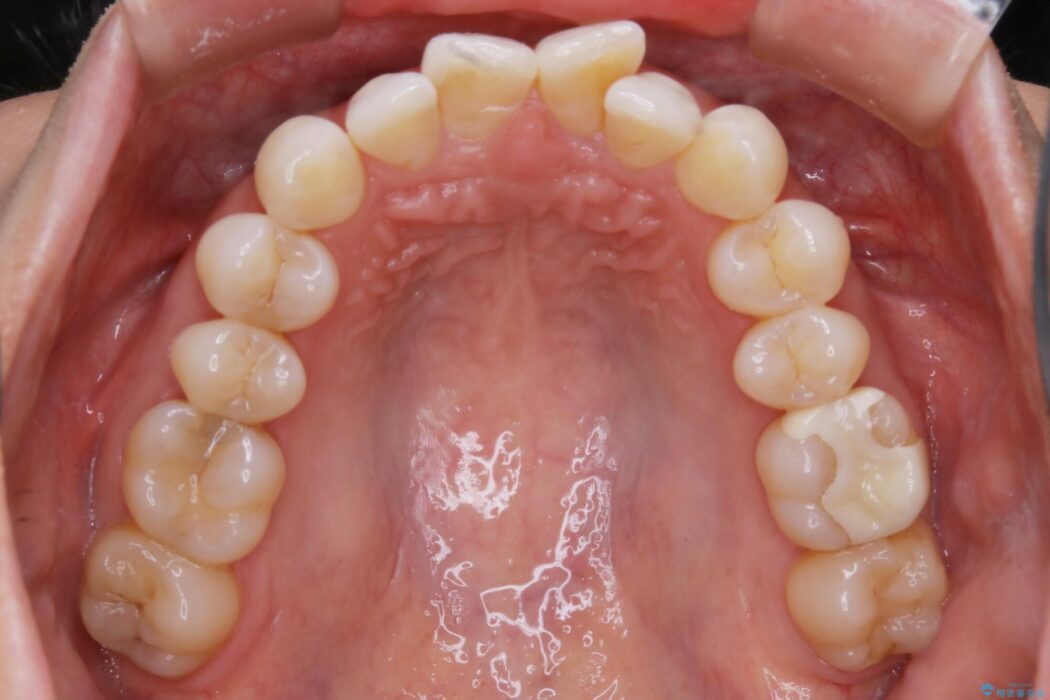
治療計画を立てる上で詳しく精密検査をしたところ、左下の6番目の歯につきまして治療が必要な状態であることが分かり、かぶせ物を外し、内部を確認しました。
結果としては深い部分で根が破折してしまっていました。
破折の処置としては基本的に抜歯が選ばれます。
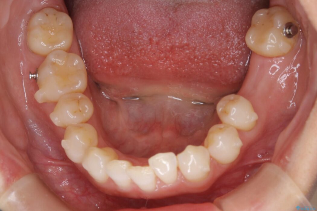
悪くなっている歯の放置はできないと判断しましたので、患者様と様々な治療プランを相談した上で、最終的に該当の歯は抜歯をして噛み合わせを改善し、その後インビザラインでの矯正治療を行うこととしました。
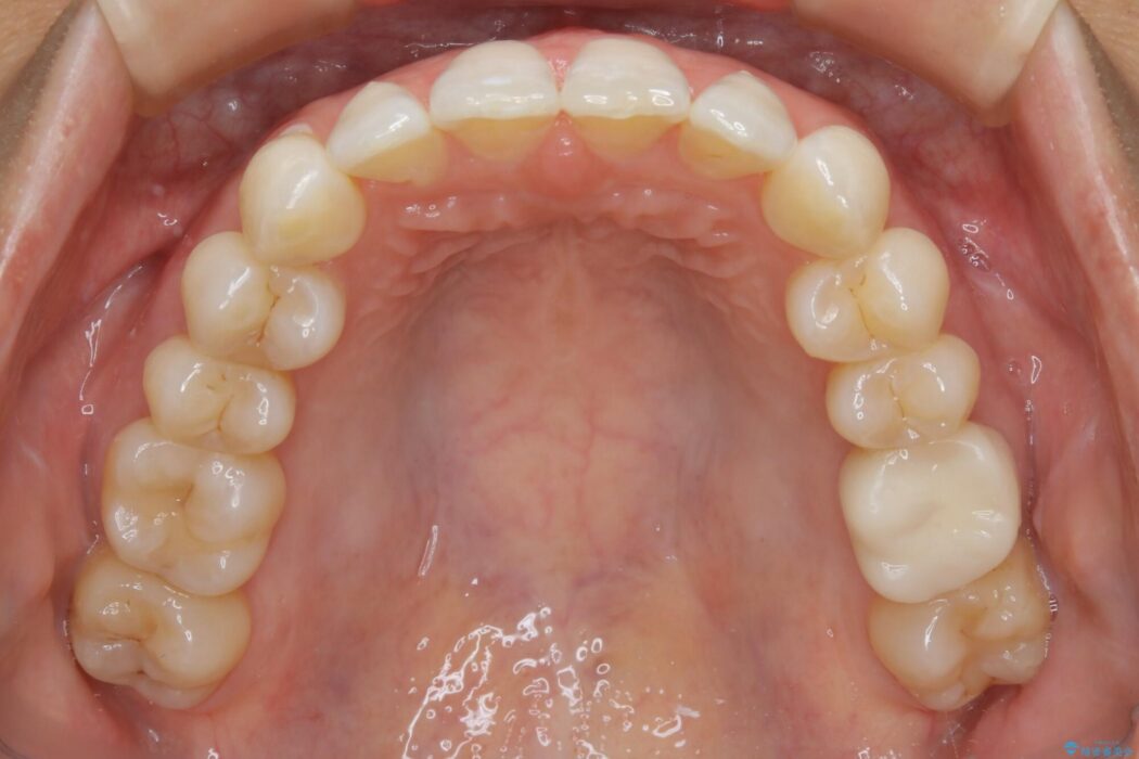
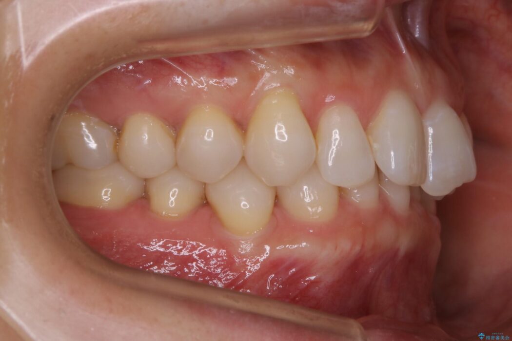
治療後について
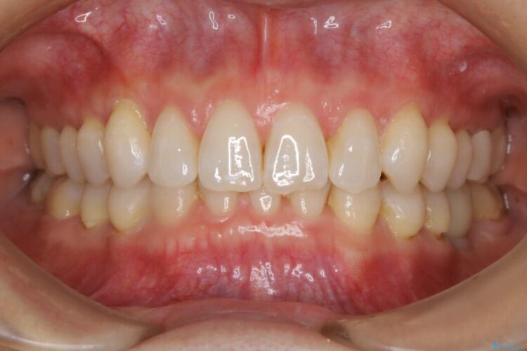
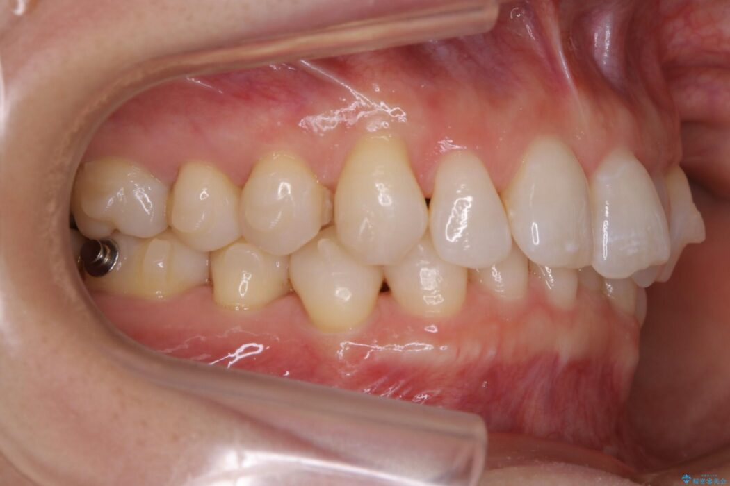
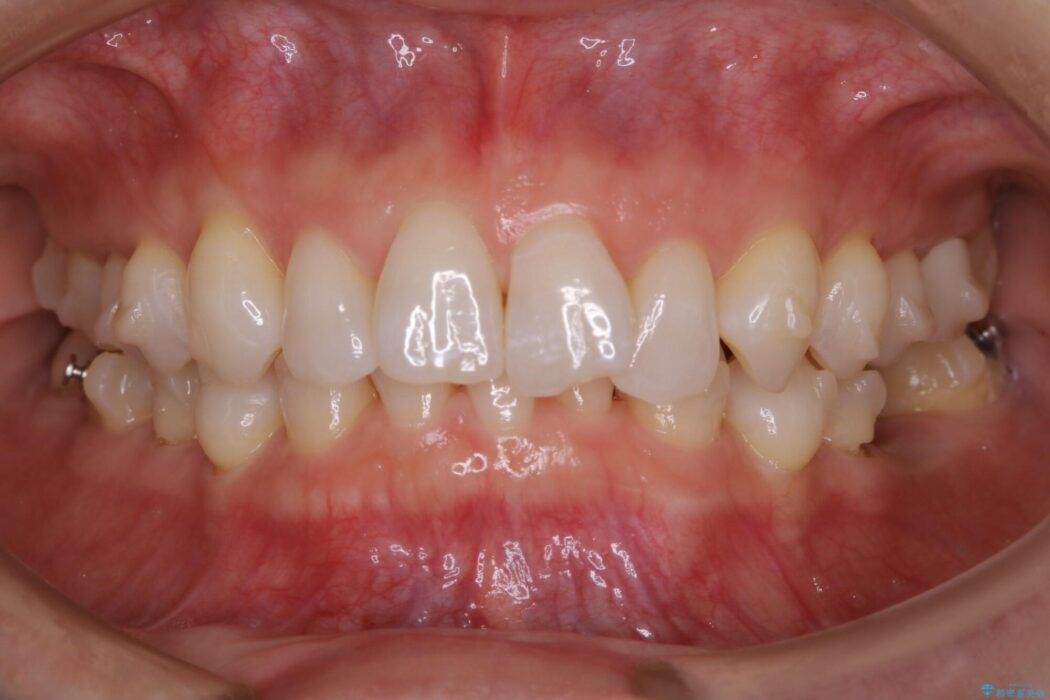
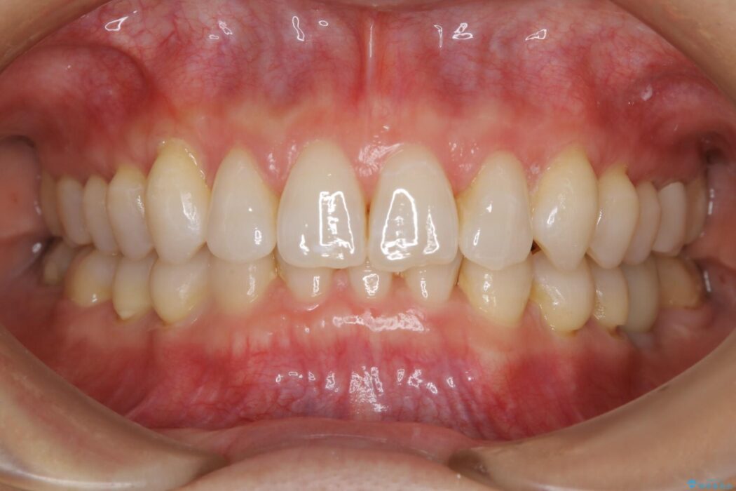
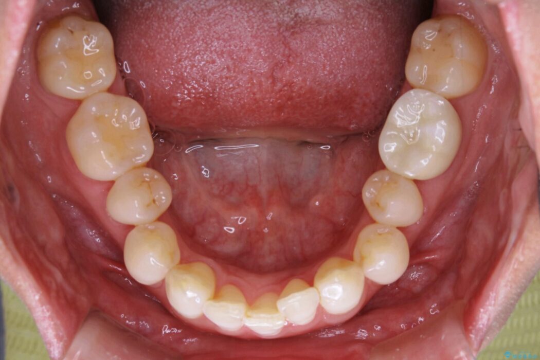
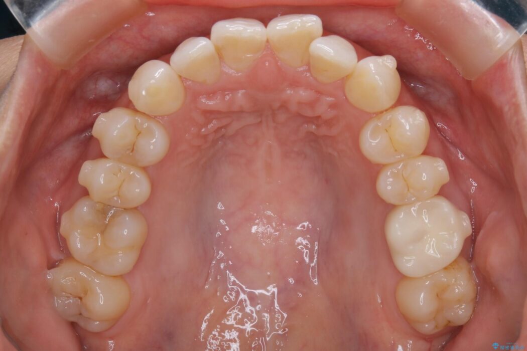
噛み合わせも改善され、一番最初の目的であった歯列もきれいに整いご満足いただけました。
治療前の精密検査について
当院では矯正治療をご希望される患者様には治療前に必ず精密検査を受けていただいております。
患者様本人に自覚のない状態であっても隠れて歯周病が進行していたり、根幹治療が必要になるといったケースがあります。
基本的に歯周病や虫歯に関する治療は矯正治療に移る前に完治させておくことが前提となります。
理由として、矯正装置装着後は清掃不良になりやすく、虫歯の進行が早まったり、歯を移動させることで歯周病や根尖病巣が悪化する可能性があるためです。
関連する他の症例
マウスピース矯正の注意事項(リスク・副作用など)
- 口腔内・歯並びの状態によっては対応できない場合があります
- マウスピース型矯正装置の長時間装着(1日20時間以上)が必須です
- 治療計画通りに進めるためには、患者様の意志が重要になります
- 矯正治療後の保定が不十分だと後戻り(元の位置に戻ろうとする動き)をします
- 薬機法対象外の矯正歯科装置のため医薬品副作用被害救済制度の対象外となる場合があります
- 自費診療(保険適用外)となります
インプラント治療の注意事項(リスク・副作用など)
- 外科手術のため、術後に痛みや腫れ、違和感を伴います
- メンテナンスを怠ったり喫煙により、お口の中に大きな悪影響を及ぼすインプラント周囲炎等にかかる可能性があります
- 糖尿病、肝硬変、心臓病等の場合、インプラント治療ができない可能性があります
- 高血圧、貧血・不整脈等の場合、インプラント治療後に治癒不全を招く可能性があります
- 自費診療(保険適用外治療)となります


















