【30代男性】ワイヤー矯正で出っ歯とガタつきの改善
治療概要
- 患者様:30代男性
- 治療期間:3年
- 矯正装置:審美装置
- 概算治療費:90万円
※費用は治療当時の料金となります - 担当医:草深敏毅
治療動機
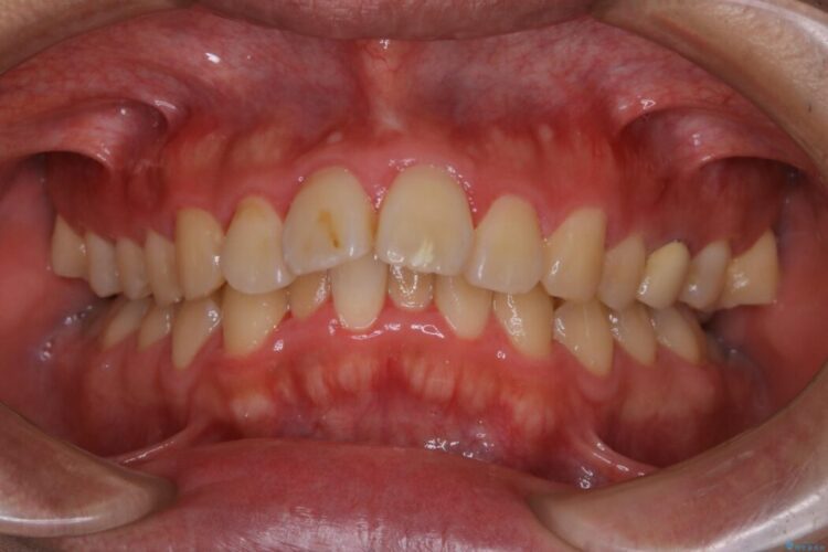
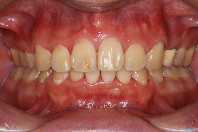
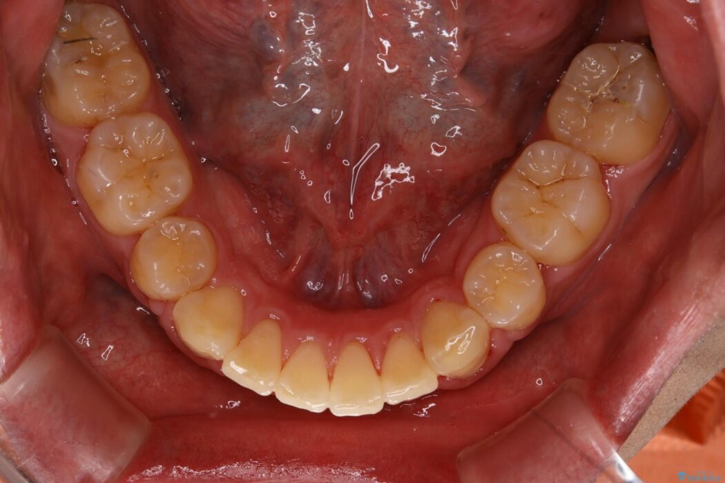
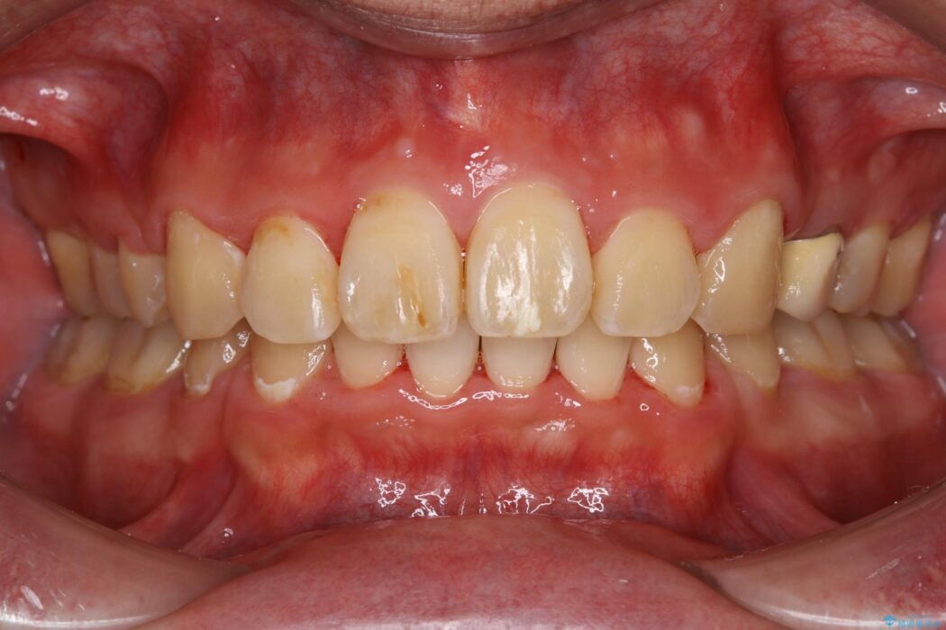
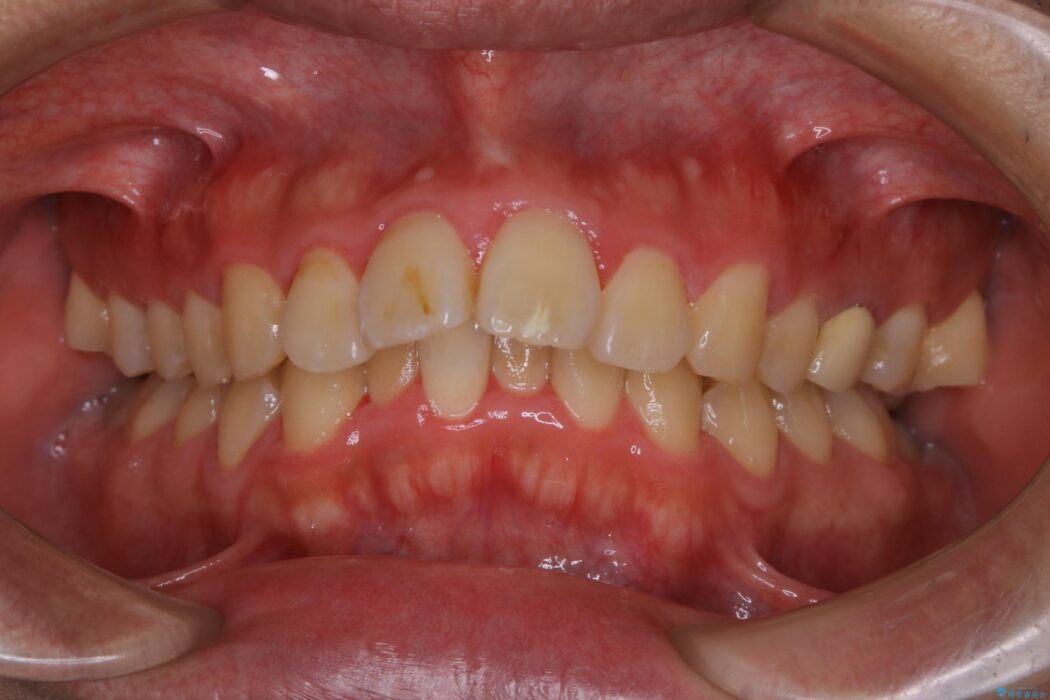
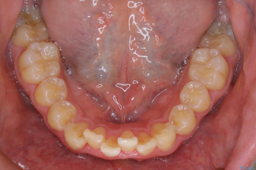
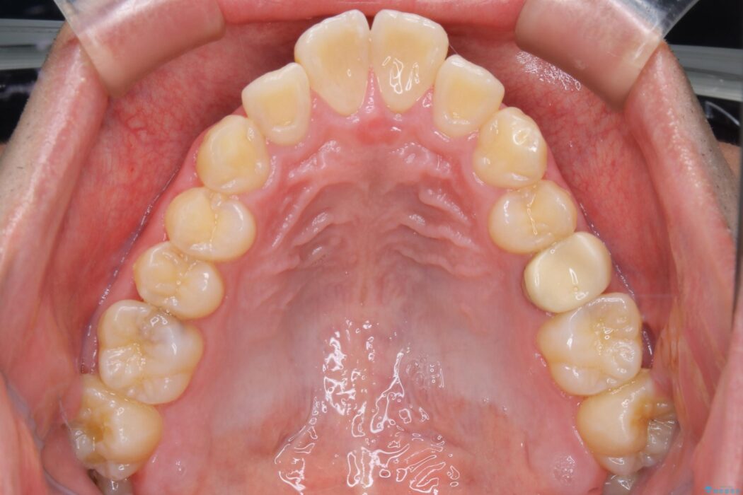
上の歯の出っ歯と下の歯のガタつきが気になるとご来院された患者様です。
治療計画
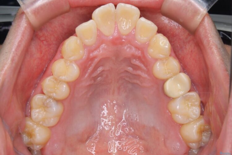
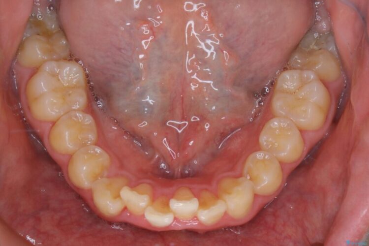
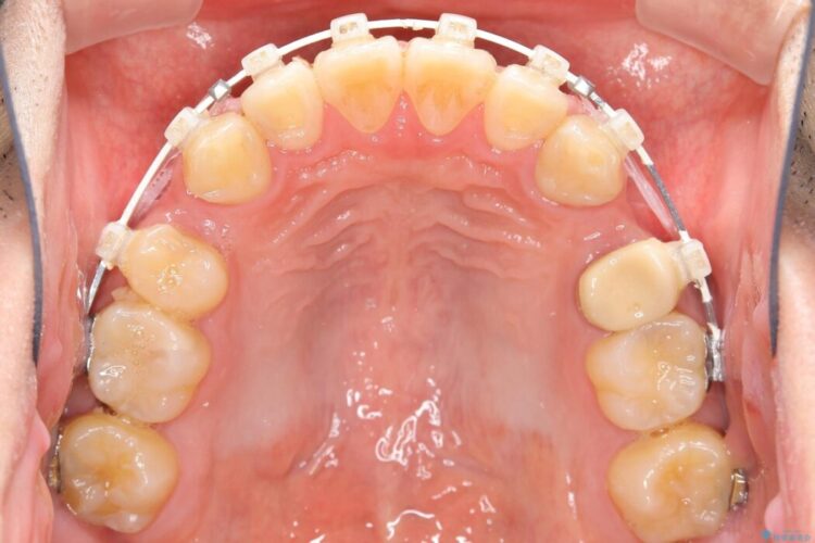
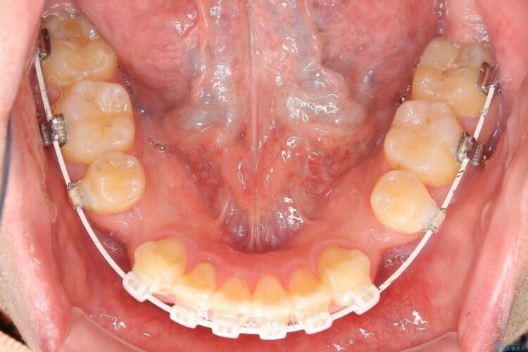
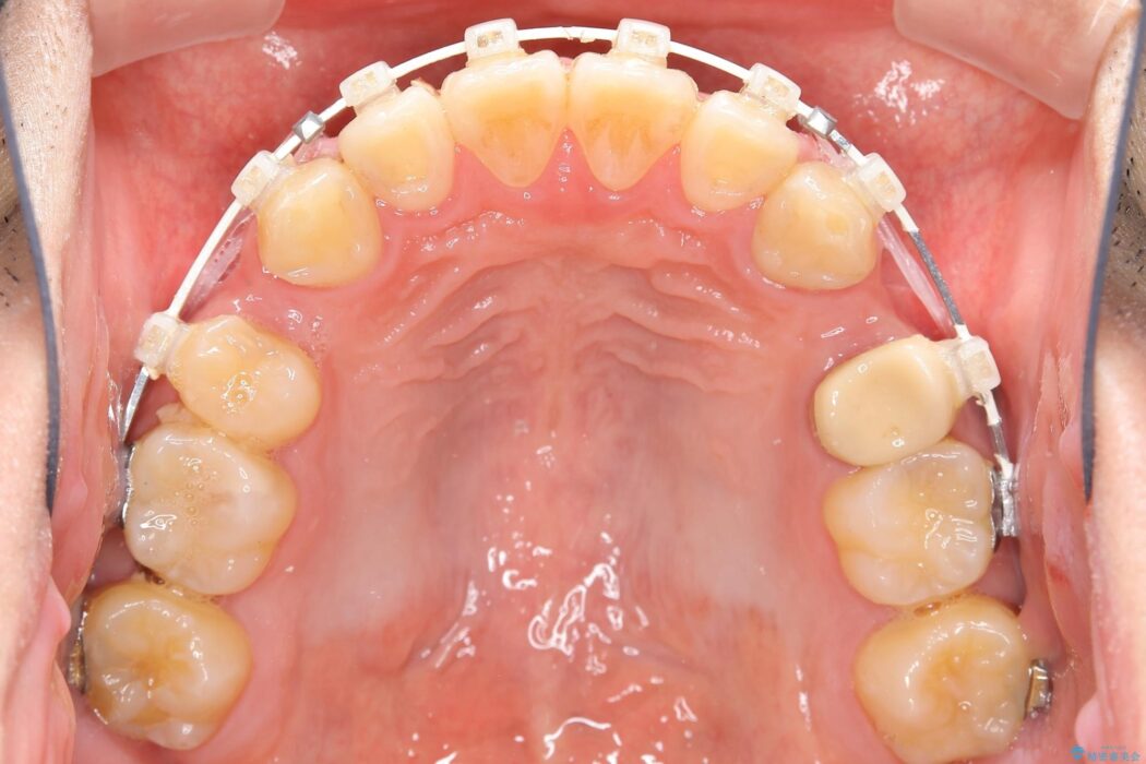
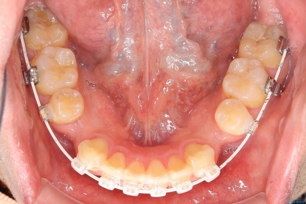
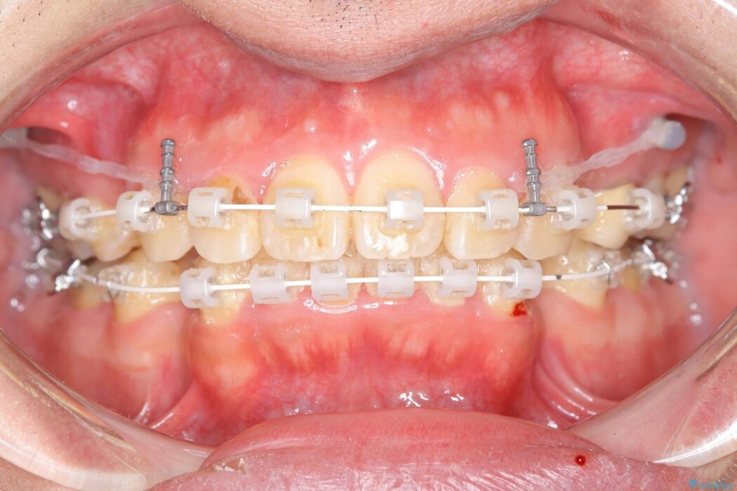
出っ歯とガタつきの改善には抜歯が必要と診断し、上下左右第一小臼歯を抜歯することとしました。
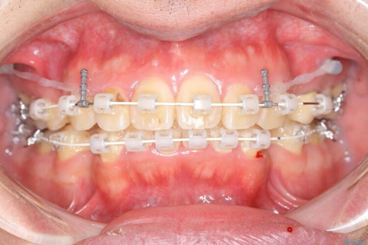
抜歯でスペースができるため、歯の移動量が多いことから表側ワイヤー矯正装置で治療を行いました。
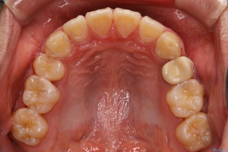
治療後について
ワイヤー矯正、マウスピース矯正、それぞれの特性、得意な治療がありますので、患者様の状態に合わせた治療器具の選択が大事となります。
関連する他の症例
ワイヤー矯正の注意事項(リスク・副作用など)
- 治療中は違和感や痛みが起こることがあります
- 症状により、抜歯が必要な場合があります
- 治療中は歯磨きがしにくくなるため、虫歯や歯周病になりやすくなります
- 矯正治療後の保定が不十分だと後戻り(元の位置に戻ろうとする動き)をします
- 自費診療(保険適用外)となります









