【20代女性】非抜歯で口ゴボ改善するインビザライン矯正治療
治療概要
- 患者様:20代女性
- 治療期間:2年3ヶ月
- 矯正装置:インビザライン コンプリヘンシブパッケージ
- 概算治療費:96.8万円(インビザライン コンプリヘンシブパッケージ + マイクロインプラント)
※費用は治療当時の料金となります - 担当医:福本健生
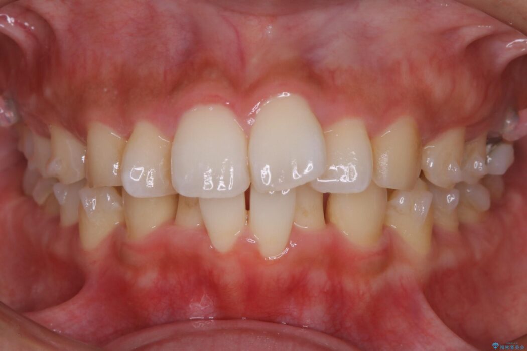
治療動機
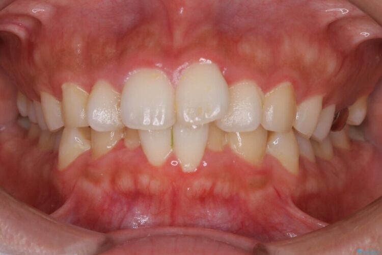
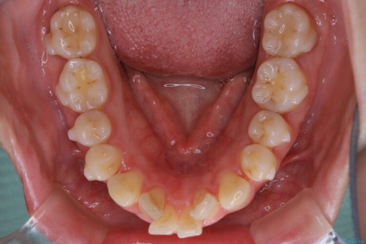
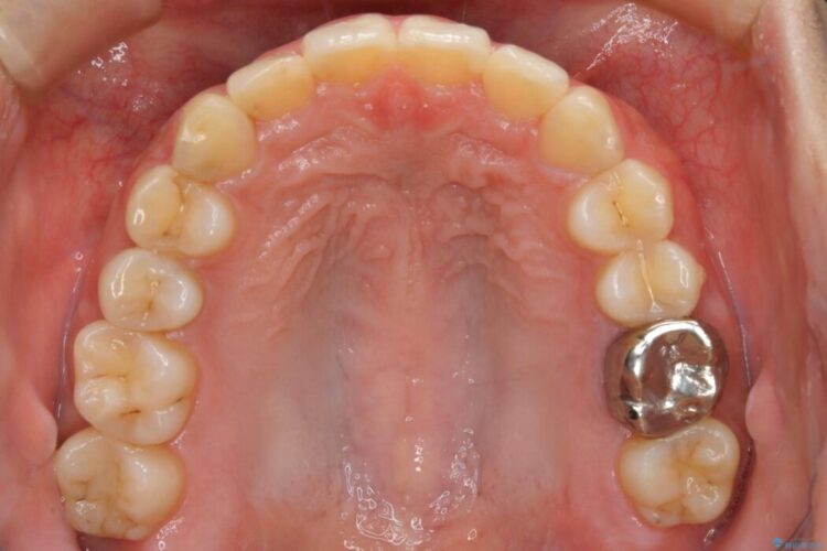
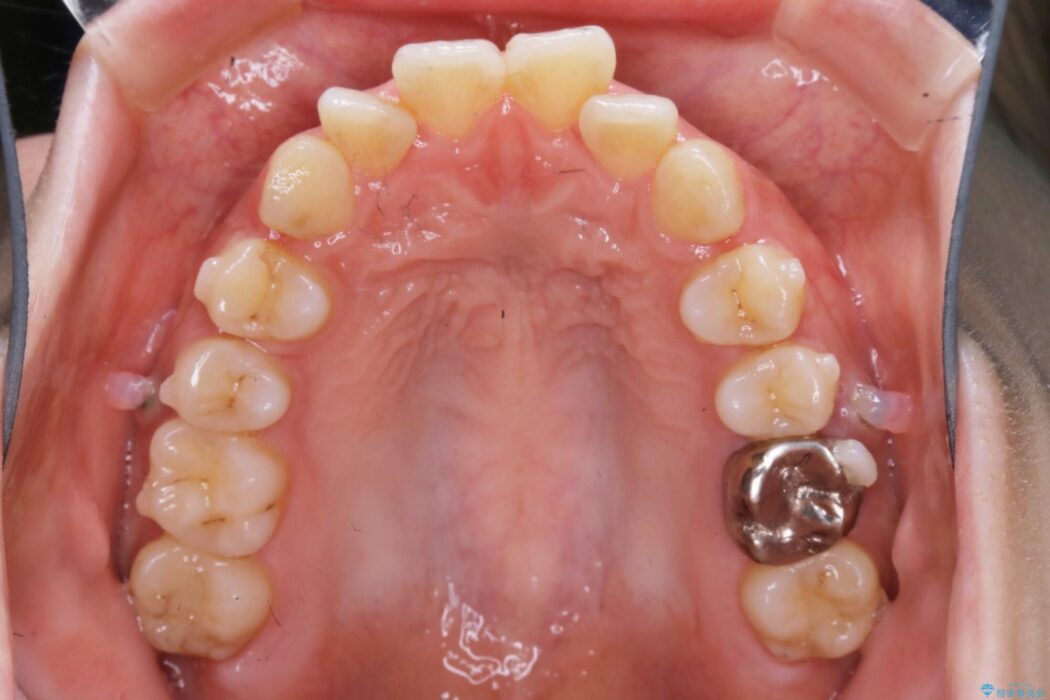
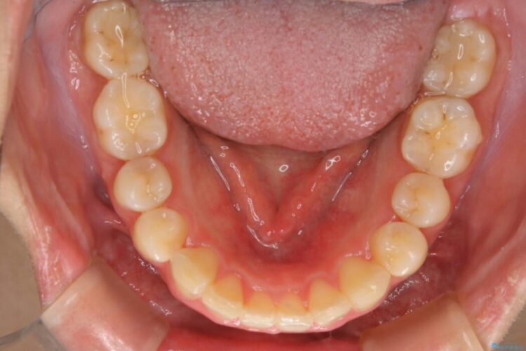
口ゴボに加えて歯列のガタガタを改善したいと来院されました。
治療計画
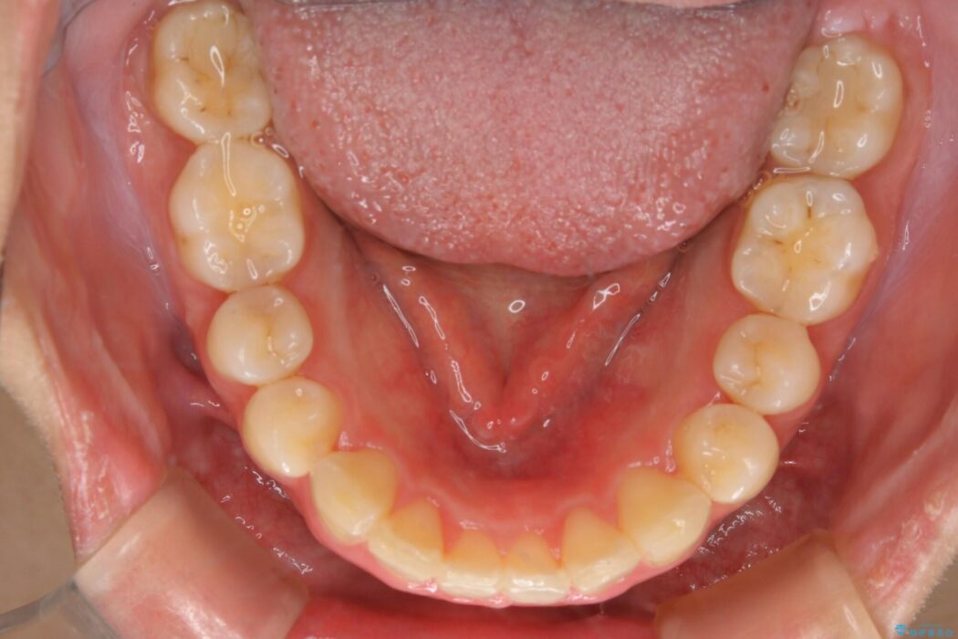
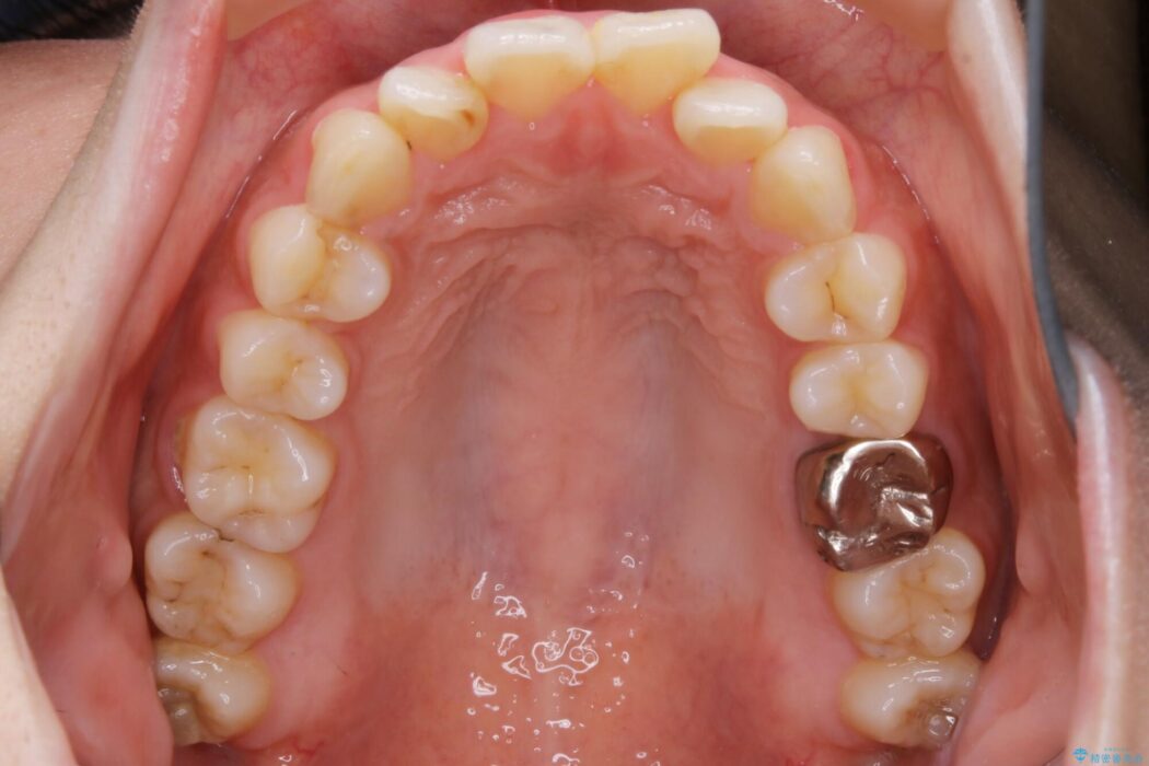
患者様のご希望によりインビザライン装置での治療を行いました。
インビザラインは歯を後ろへ動かす動き、非抜歯での矯正治療が得意なため、ワイヤー装置では難しいケースでも対応できる場合があります。
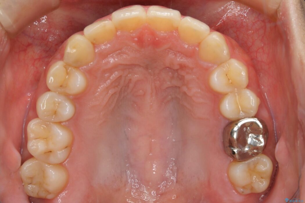
治療後について
口元が後方に下がったことにより横から見たEラインが改善し、口元の印象が変わったと患者様にとても喜んでいただけました。
矯正治療について
矯正治療において歯並びを整えるためにはスペースが必要になります。
抜歯・歯列幅の拡大・IPR(歯と歯の間を少し削って小さくする)・歯の後方移動などでそのスペースを確保します。
程度にもよりますが口元を下げる治療というと抜歯治療を思い浮かべると思いますが、インビザラインは抜歯をせずとも他の3種類の方法を効率よく活用し治療ができます。
関連する他の症例
マウスピース矯正の注意事項(リスク・副作用など)
- 口腔内・歯並びの状態によっては対応できない場合があります
- マウスピース型矯正装置の長時間装着(1日20時間以上)が必須です
- 治療計画通りに進めるためには、患者様の意志が重要になります
- 矯正治療後の保定が不十分だと後戻り(元の位置に戻ろうとする動き)をします
- 薬機法対象外の矯正歯科装置のため医薬品副作用被害救済制度の対象外となる場合があります
- 自費診療(保険適用外)となります









