【20代女性】気になる部分だけをマウスピース矯正
治療概要
- 患者様:20代女性
- 治療期間:6ヶ月
- 矯正装置:インビザライン ライトパッケージ
- 概算治療費:49万円
※費用は治療当時の料金となります - 担当医:福本健生
治療動機
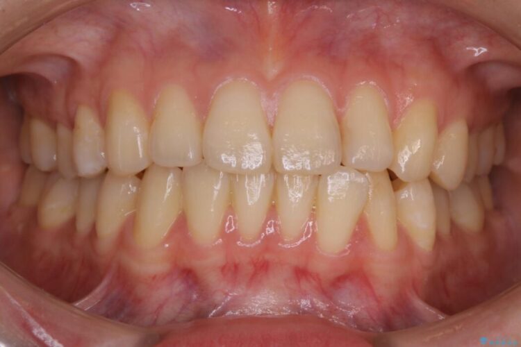
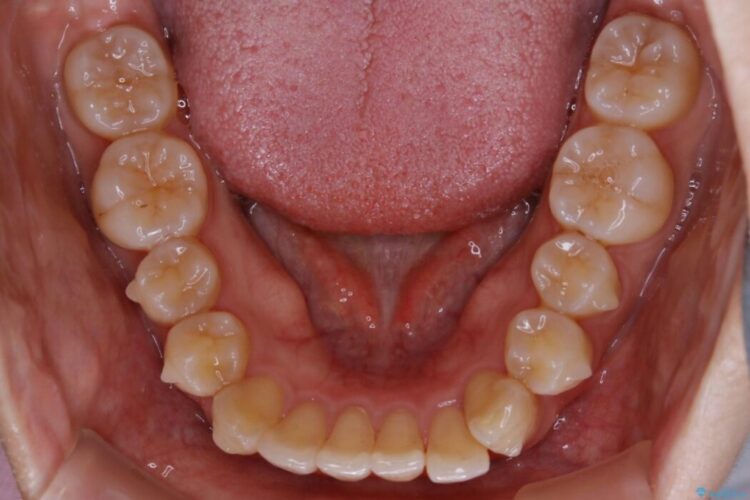
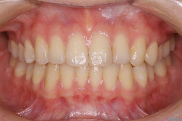
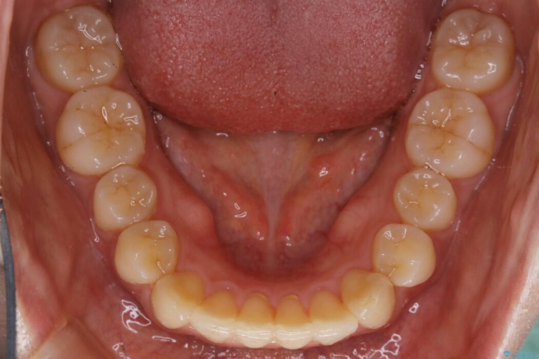
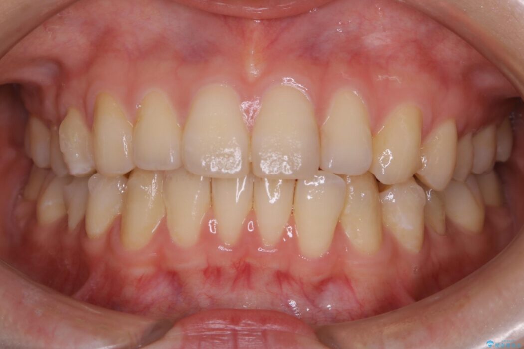
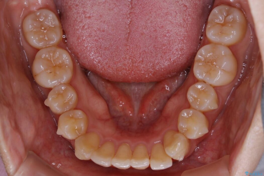
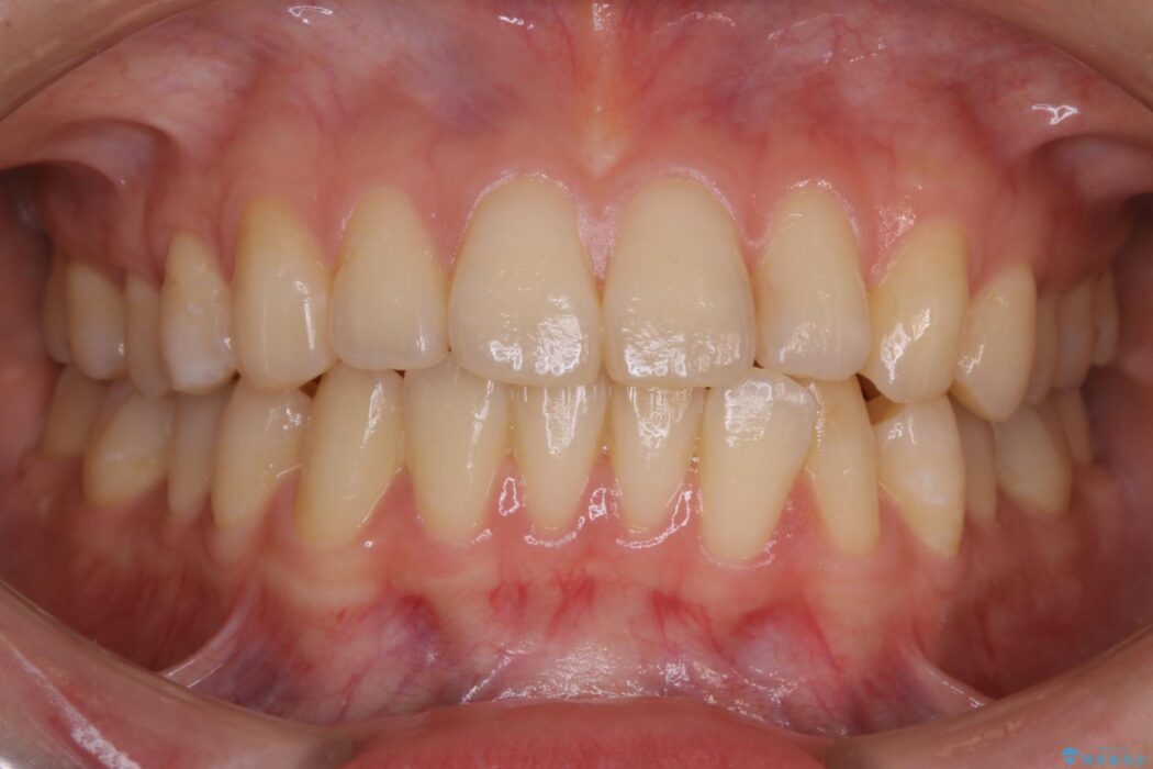
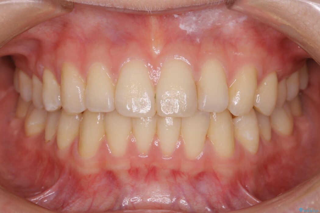
下額前歯が少しガタついていることを気にされて来院されました。
治療計画
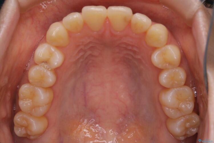
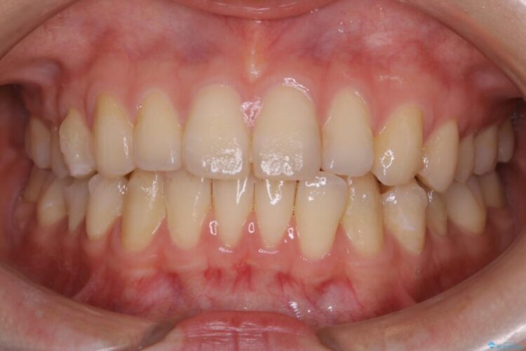
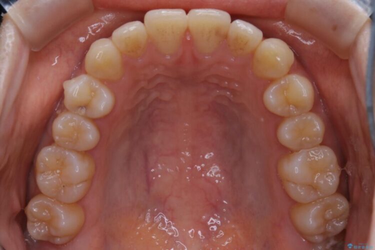
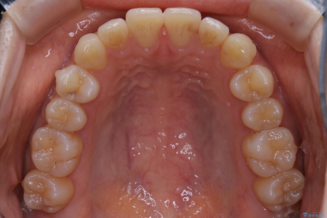
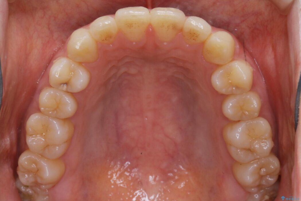
検査をしたところ奥歯の噛み合わせなどに問題が見られなかったため、軽度のねじれがある下顎前歯に焦点を当てた部分矯正の適応が可能と判断し、インビザラインのライトパッケージをご提案しました。
部分矯正について
部分矯正は適応可能な症例が限られます。
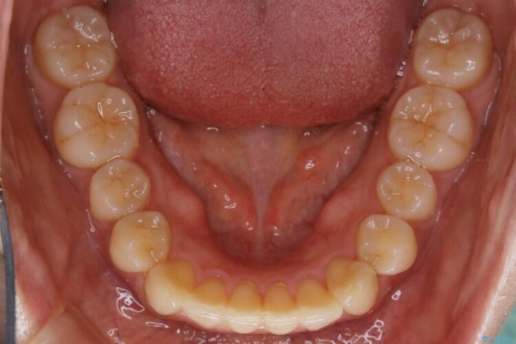
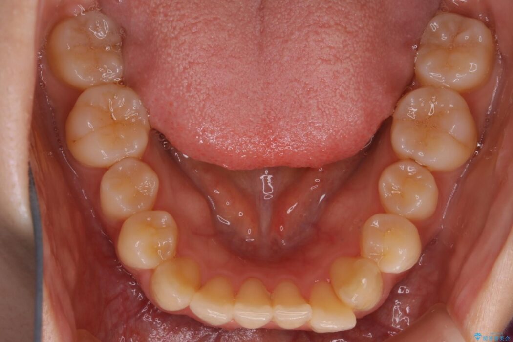
本症例では奥歯に関して問題がほぼ見られなかったため、部分矯正を行うことが可能と判断しました。
通常の全体矯正と比べピンポイントの部分矯正となると、動かす歯が少なくなるため治療期間が格段に短くなり、費用が抑えられることがメリットとして挙げられます。
関連する他の症例
マウスピース矯正の注意事項(リスク・副作用など)
- 口腔内・歯並びの状態によっては対応できない場合があります
- マウスピース型矯正装置の長時間装着(1日20時間以上)が必須です
- 治療計画通りに進めるためには、患者様の意志が重要になります
- 矯正治療後の保定が不十分だと後戻り(元の位置に戻ろうとする動き)をします
- 薬機法対象外の矯正歯科装置のため医薬品副作用被害救済制度の対象外となる場合があります
- 自費診療(保険適用外)となります









