【30代男性】1年ぶりのクリーニング(コーヒーによる着色落とし)
治療概要
- 患者様:30代男性
- 治療期間:1日
- 概算治療費:11,000円
※費用は治療当時の料金となります - 担当医:歯科衛生士
治療動機
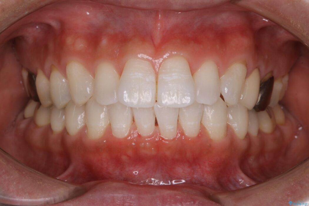
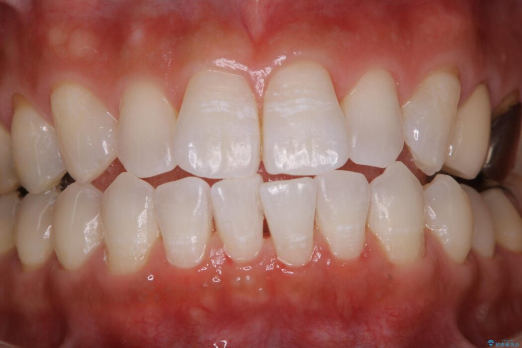
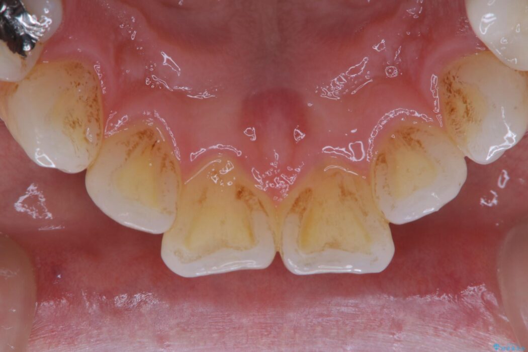
忙しくて1年ぶりのクリーニングとなってしまったため、しっかり着色落としをして欲しいとご来院されました。
治療計画
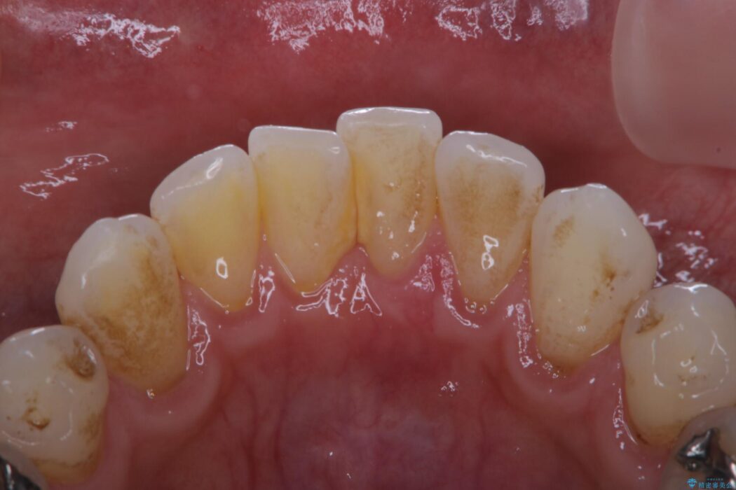
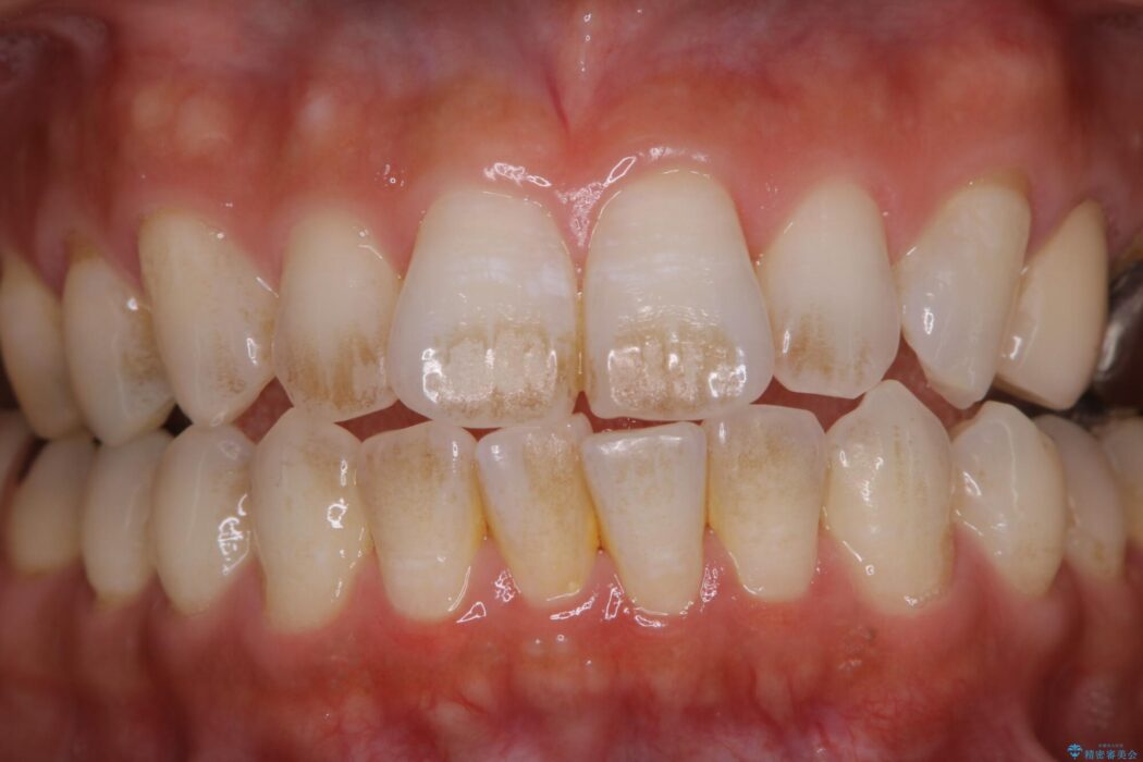
コーヒーが好きで毎日必ず飲まれるため、コーヒーによる着色がとても付着していました。
歯石も多少あったため、PMTC60分コースを行いました。
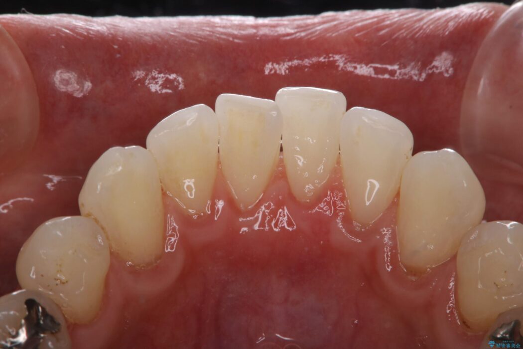
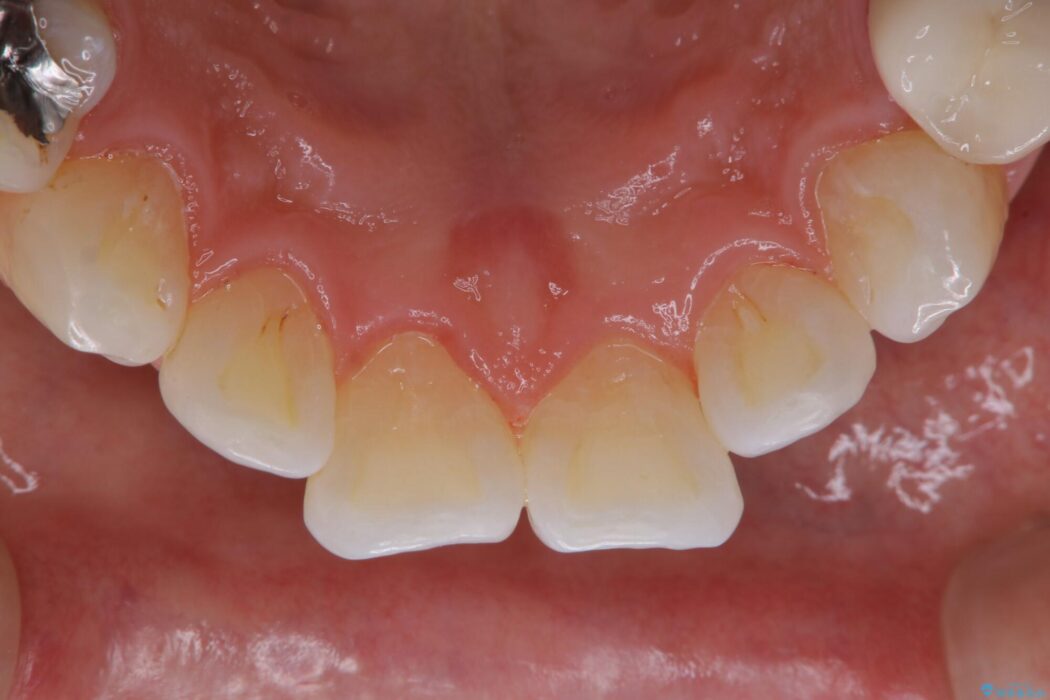
治療後について
PMTC(保険外治療)は、毎日の歯磨きで落としきれない汚れや、コーヒー、紅茶・タバコのヤニなどの着色も除去します。
毎日丁寧に歯磨きをしていても、日常生活での飲食物などにより着色してしまいます。
PMTCでは、歯の表面の凸凹にミネラルを補給して、ツルツルの表面に仕上げます。定期的にPMTCを行うことにより、歯質の強化になり着色がつきにくい状態になります。
また、歯と歯の間に歯石がたまるとフロス・糸ようじなどが通らなくなってしまいます。定期的に専門的なクリーニングを行い、健康的な歯肉の状態を維持することが大切です。
関連する他の症例
PMTCの注意事項(リスク・副作用など)
- 歯を白くする目的の施術ではありません
- 保険適用外となります








