【20代女性】タバコのヤニ(ニコチン、タール)を徹底的に除去
治療概要
- 患者様:20代女性
- 治療期間:1日
- 概算治療費:11,000円
※費用は治療当時の料金となります - 担当医:歯科衛生士
治療動機
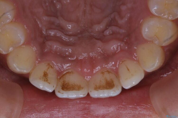
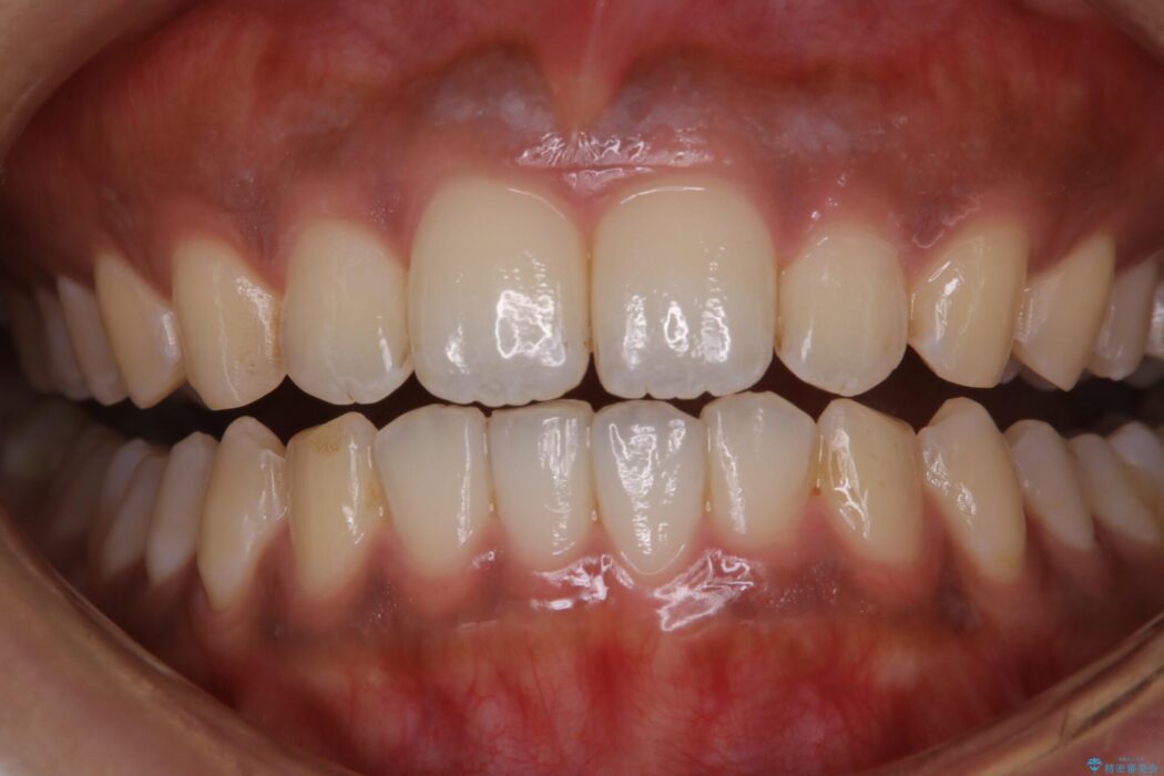
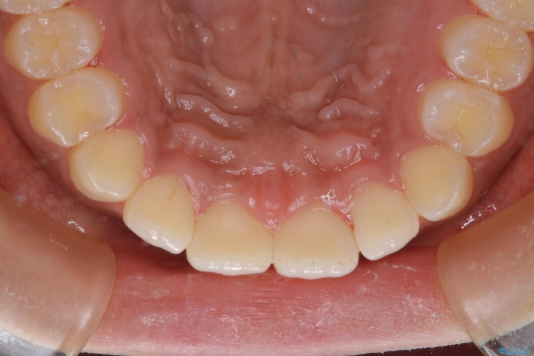
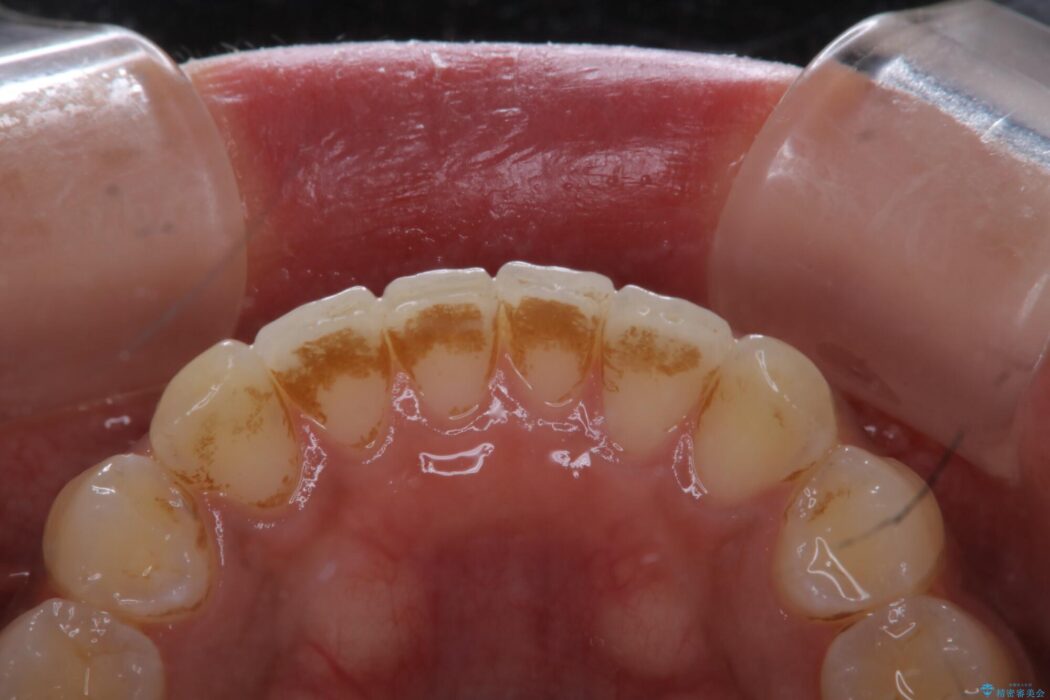
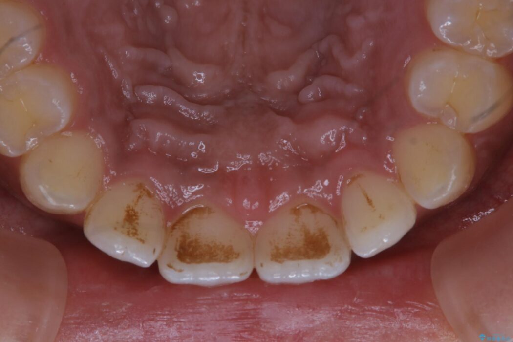
タバコによって付着したステインを綺麗にしたいとのことで来院されました。
治療計画
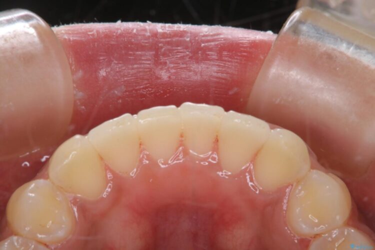
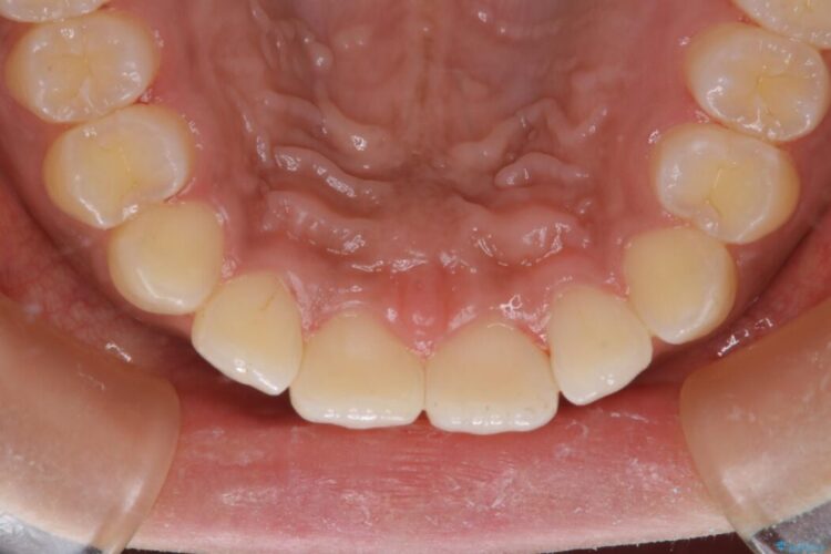
ステインがこびりついていたため、PMTC60分コースを行いました。
治療後について
タバコに含まれているタールが歯の黄ばみの原因になります。その黄ばみなどを、無理に落とそうとしたりすると歯の表面に傷がついてしまったり余計に汚れがつきやすい状態になることがあります。
PMTCでは、専門の機材を使用し、歯の表面の凸凹にミネラルを補給して、ツルツルの表面に仕上げます。定期的にPMTCを行うことにより、歯質の強化になり着色がつきにくい状態になります。
関連する他の症例
PMTCの注意事項(リスク・副作用など)
- 歯を白くする目的の施術ではありません
- 保険適用外となります






