【40代女性】インビザライン治療中のクリーニング
治療概要
- 患者様:40代女性
- 治療期間:1日
- 概算治療費:11,000円(税込)
※費用は治療当時の料金となります - 担当医:歯科衛生士
治療動機
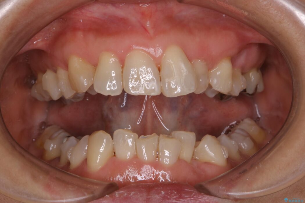
当院でインビザラインの矯正治療中の患者様です。
治療計画
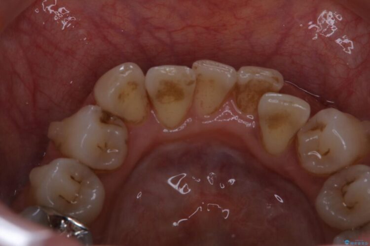
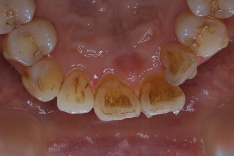
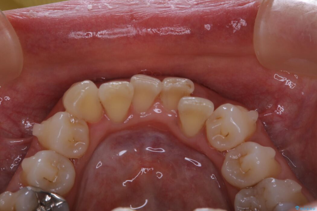
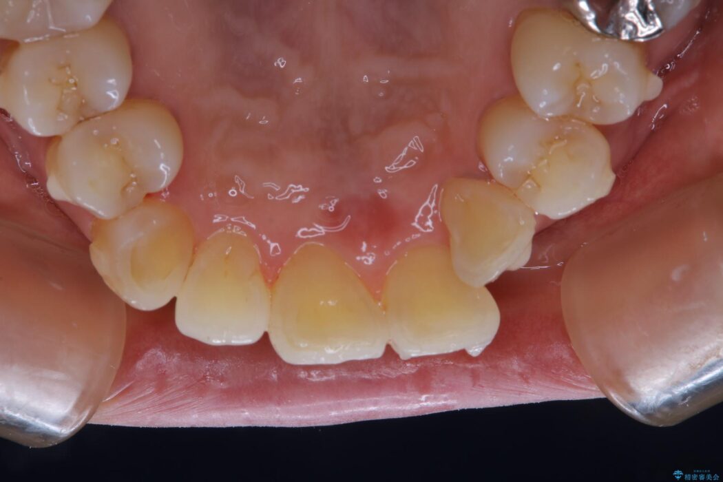
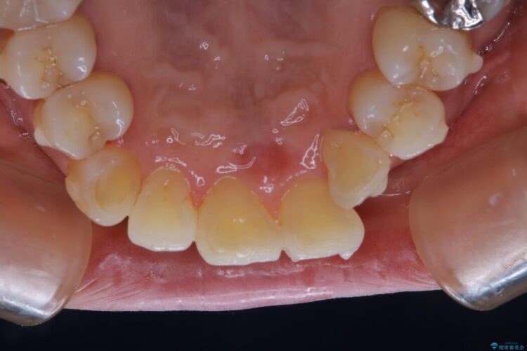
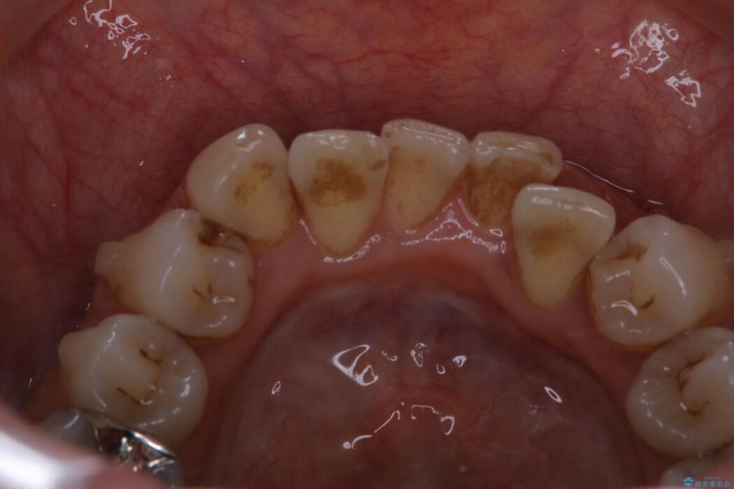
インビザラインでの矯正治療中に歯石の付着や着色があったため、プロフェッショナルクリーニングを行いました。
お口全体に歯石やステインが付着していたため、自費でのPMTC(クリーニング)60分コースをご提案し、徹底的に除去しました。
治療後について
矯正治療中は虫歯や歯周病のリスクが高くなります。
矯正治療(インビザライン、ワイヤー矯正)でのご通院の場合、ご希望によりクリーニングの予約も同時に取ることが可能です。
当院では、矯正治療中の定期的なクリーニングをおすすめしています。
関連する他の症例
PMTCの注意事項(リスク・副作用など)
- 歯を白くする目的の施術ではありません
- 保険適用外となります






