【50代女性】八重歯のインビザライン矯正 治療例
治療概要
- 患者様:50代女性
- 治療期間:1年6ヶ月
- 概算治療費:75万円
※費用は治療当時の料金となります - 担当医:福本健生
治療動機
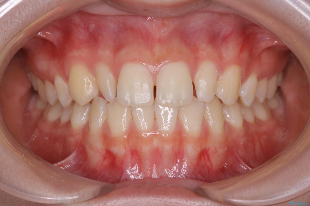
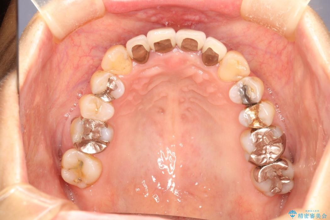
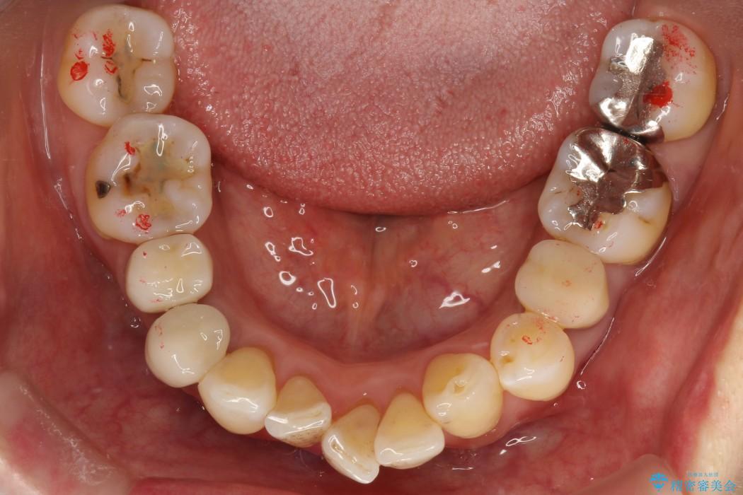
八重歯の改善を希望され来院されました。
治療計画
当初はセラミックでの治療を希望されていましたが、噛み合わせと歯並びを治していく為に矯正治療を提案させていただき、インビザラインでの矯正を行う計画にしました。
治療後について
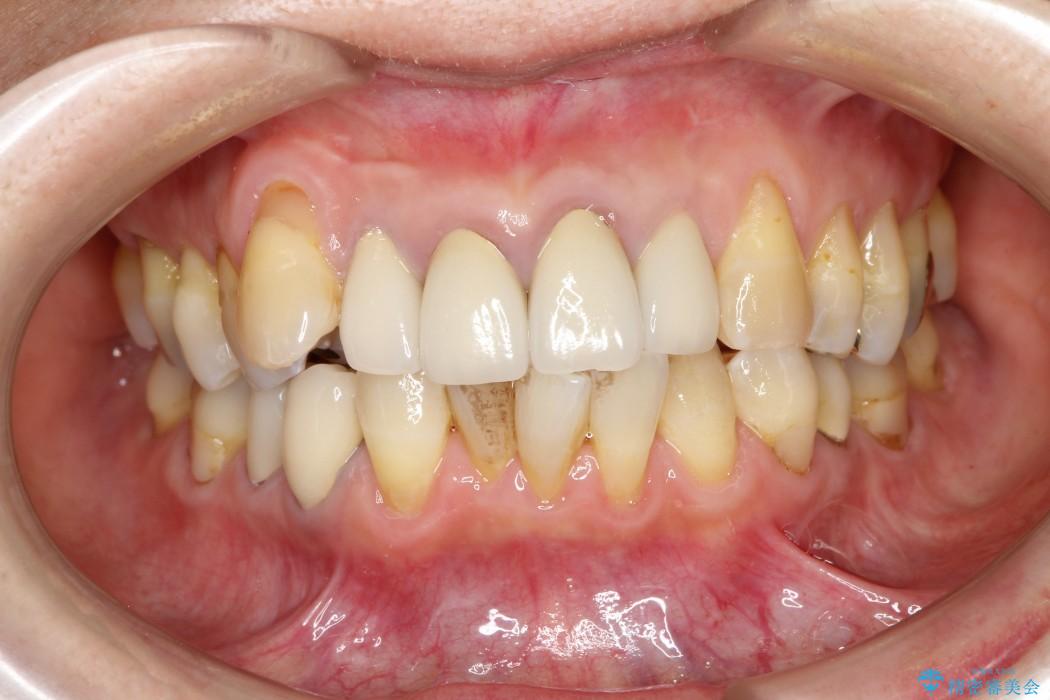
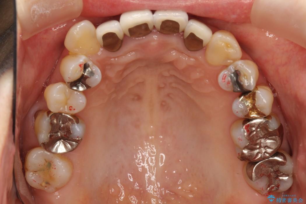
頻繁にご来院いただく事が難しかったこともあり、型取りのし直し(リファインメント)を2回行いました。時間はかかってしまいましたが、患者様には大変ご満足していただくことができました。
当院での矯正治療の特徴
・治療費総額を事前にご提示しています
・矯正医が多数在籍しています
・矯正以外の治療が必要な場合、担当医師が連携して治療を行います
関連する他の症例
マウスピース矯正の注意事項(リスク・副作用など)
- 口腔内・歯並びの状態によっては対応できない場合があります
- マウスピース型矯正装置の長時間装着(1日20時間以上)が必須です
- 治療計画通りに進めるためには、患者様の意志が重要になります
- 矯正治療後の保定が不十分だと後戻り(元の位置に戻ろうとする動き)をします
- 薬機法対象外の矯正歯科装置のため医薬品副作用被害救済制度の対象外となる場合があります
- 自費診療(保険適用外)となります






