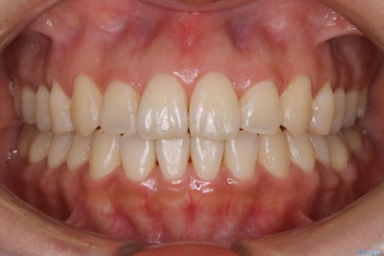
【20代女性】開咬の隙間と歯列の凸凹をまとめて改善する
治療概要
- 患者様:20代女性
- 治療期間:2年
- 矯正装置:インビザライン コンプリヘンシブパッケージ
- 概算治療費:96.8万円(マイクロインプラント費用込)
※費用は治療当時の料金となります - 担当医:福本健生
治療動機
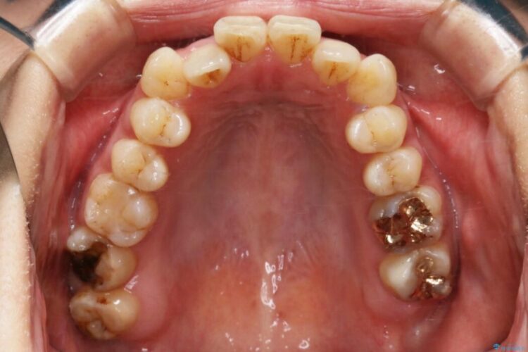
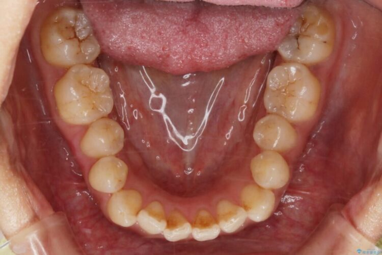
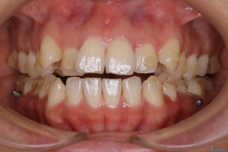
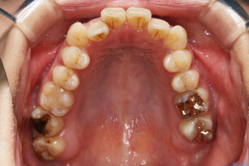
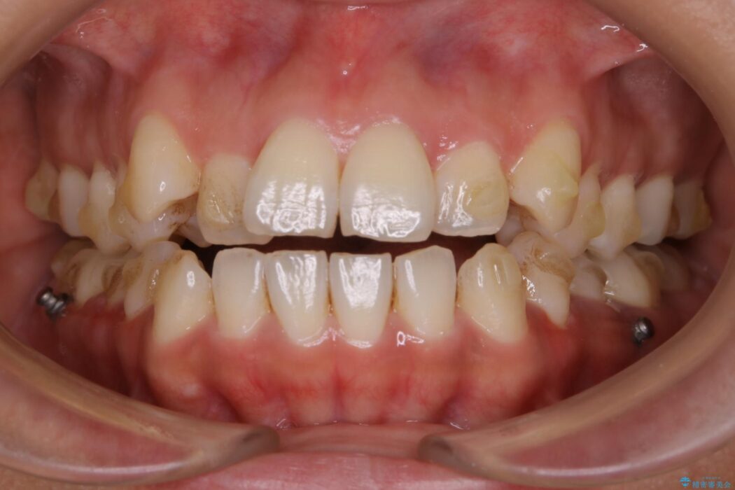
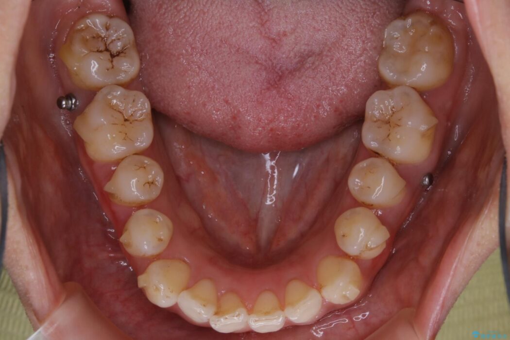
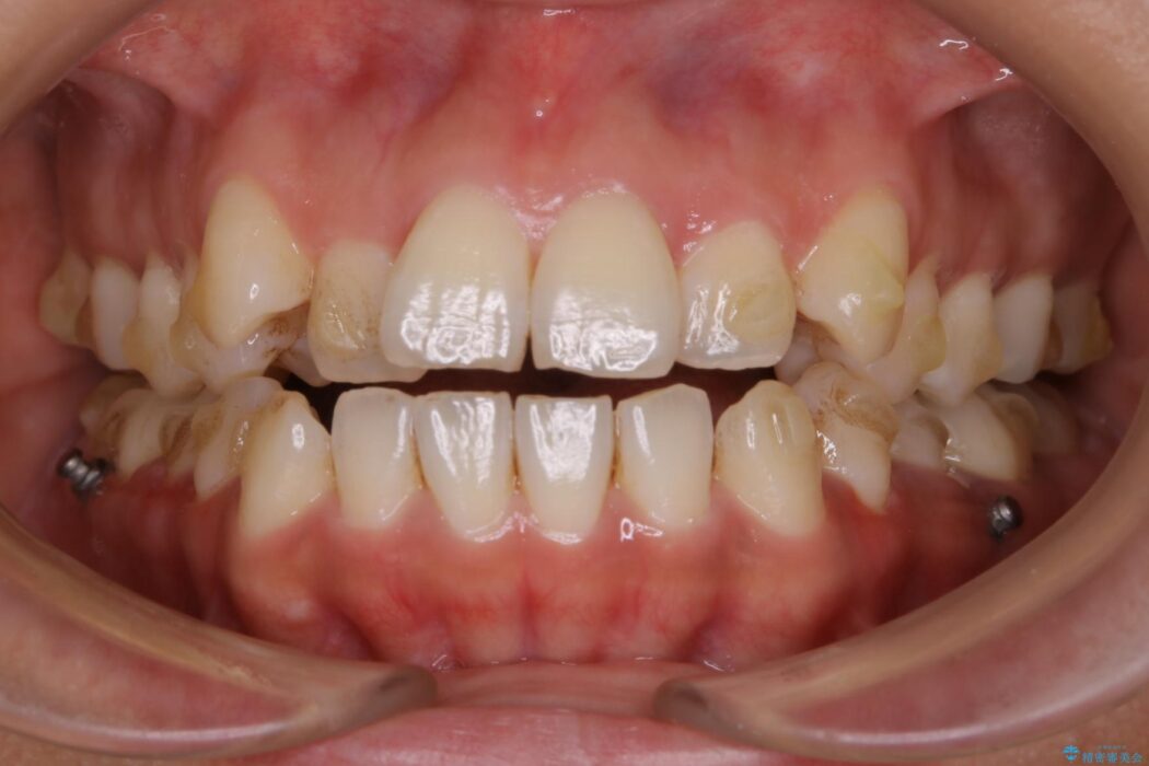
開咬により上下の噛み合わせが悪く、歯列の凸凹も合わせて治療したいとのことで来院されました。
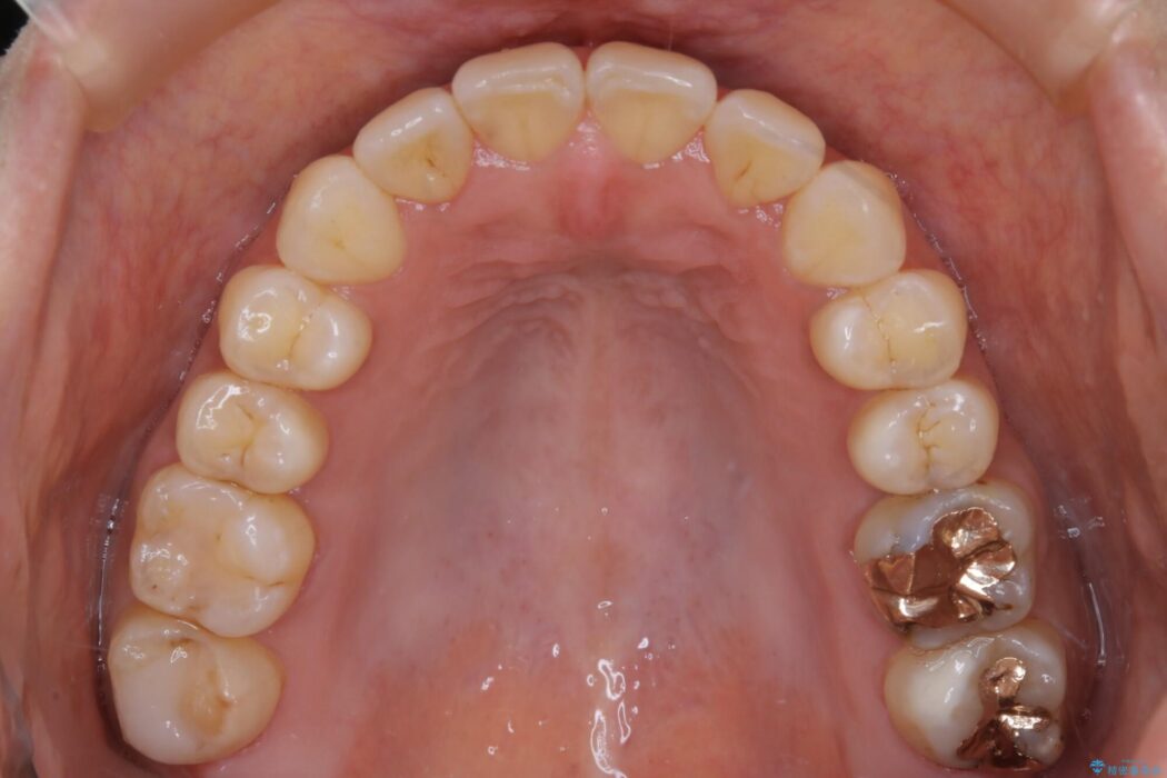
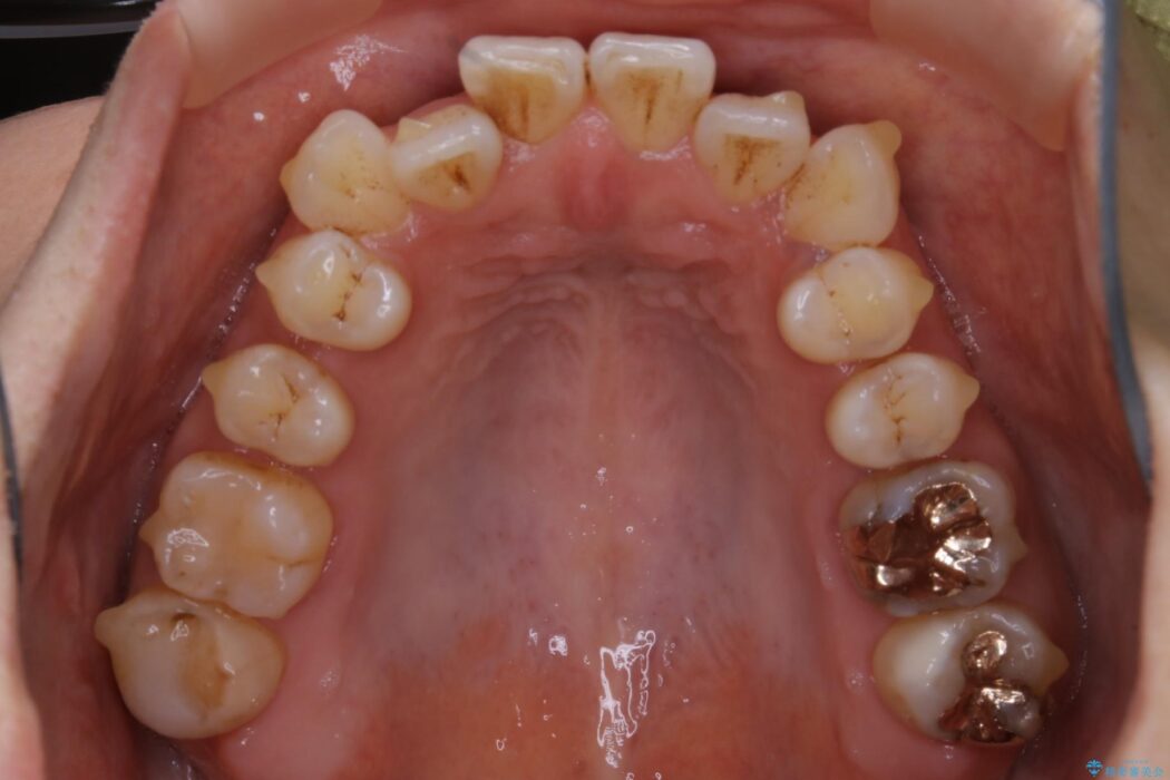
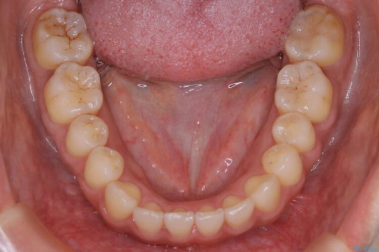
治療計画
なるべく非抜歯にて治療をするためインビザライン(マウスピース)とマイクロインプラントを併用した治療を行いました。
治療後について
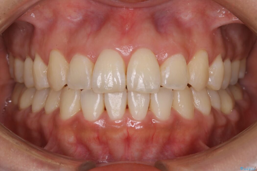
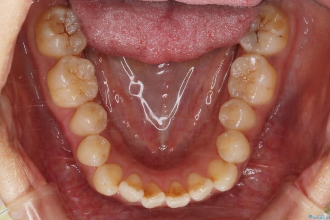
きちんと装着時間を守っていただいたこともあり、きれいな歯並びを獲得できました。
治療の組み合わせ
マウスピースとマイクロインプラントの併用により矯正するための隙間を確保し、治療期間は長くなりますが非抜歯できれいな歯列弓を得ることができます。
関連する他の症例
マウスピース矯正の注意事項(リスク・副作用など)
- 口腔内・歯並びの状態によっては対応できない場合があります
- マウスピース型矯正装置の長時間装着(1日20時間以上)が必須です
- 治療計画通りに進めるためには、患者様の意志が重要になります
- 矯正治療後の保定が不十分だと後戻り(元の位置に戻ろうとする動き)をします
- 薬機法対象外の矯正歯科装置のため医薬品副作用被害救済制度の対象外となる場合があります
- 自費診療(保険適用外)となります









