【20代男性】銀歯を白くしたい
治療概要
- 患者様:20代男性
- 治療期間:1ヶ月
- 概算治療費:14万円 (7万円×2)
※費用は治療当時の料金となります - 担当医:福本健生
治療動機
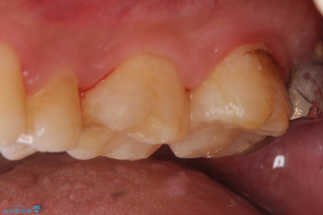
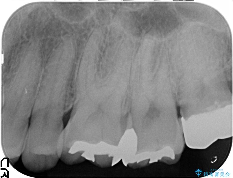
左上の他院で治療した銀歯の見た目が気になり白いものへ変えたいとの主訴で来院されました。
治療計画
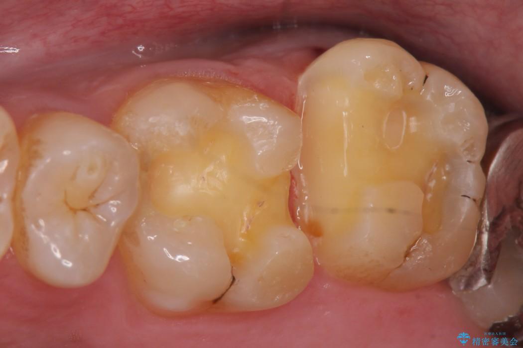
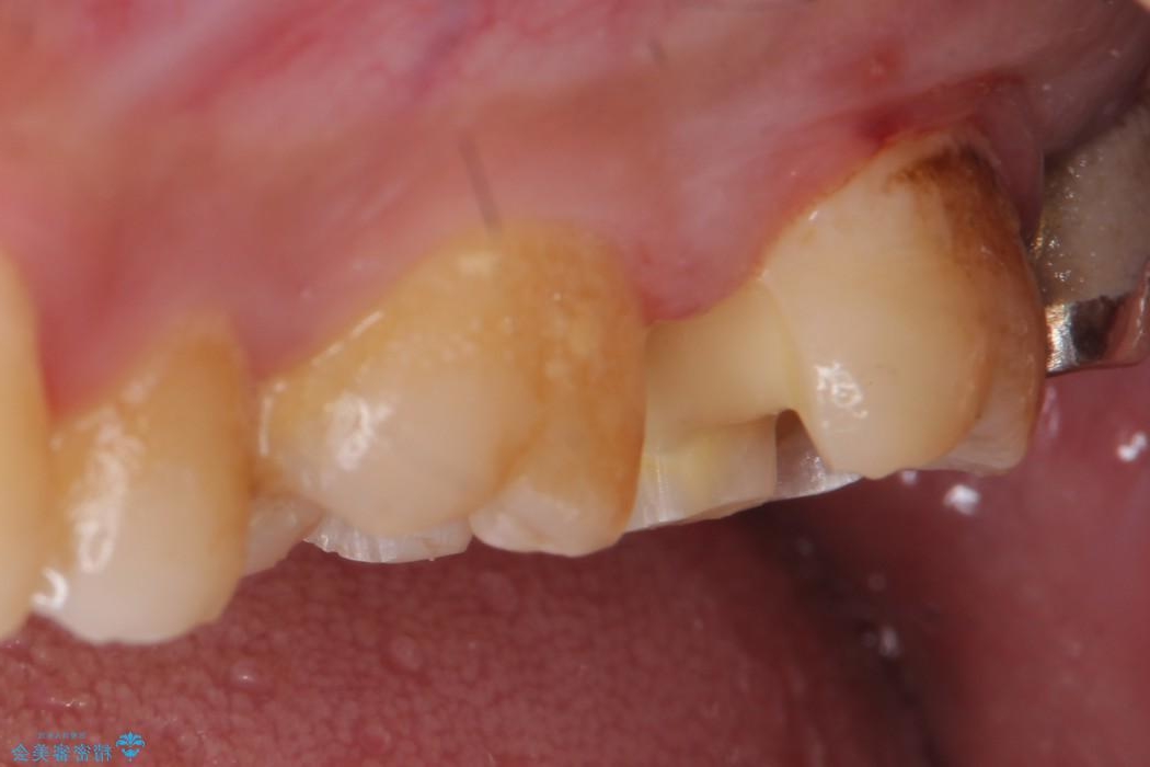
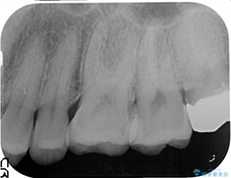
古い詰め物を外し、白く審美性の高いセラミックインレーにて再治療を行うこととしました。
また、親知らずの抜歯は希望されなかったため行っておりません。
治療後について
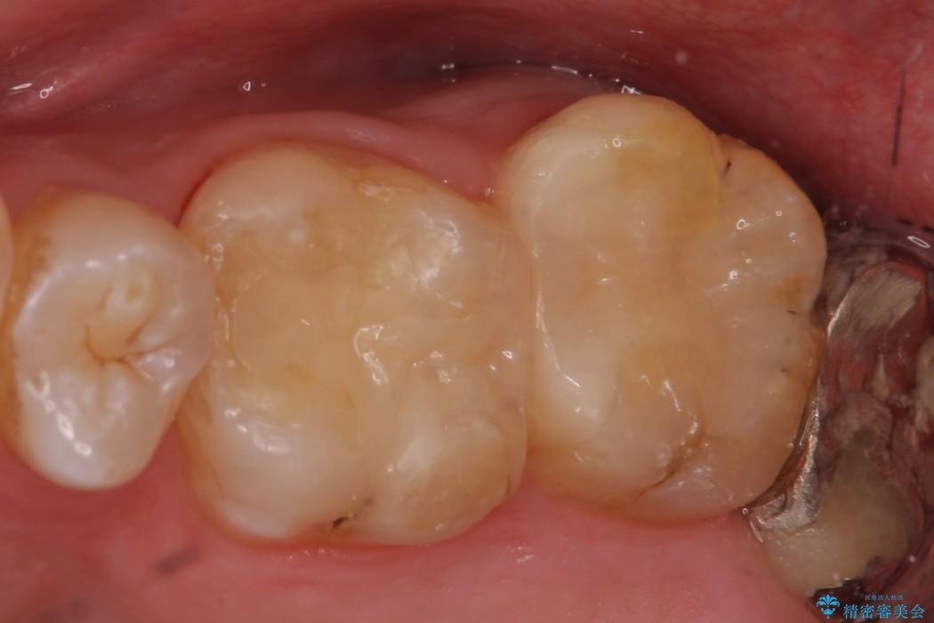
銀歯と比べて本来の歯と自然になじむ仕上がりにとてもご満足いただけました。
治療について
今回は保険で治療してあった銀歯を審美性からセラミックインレーにて再度治療しました。
保険で治療した銀歯は、経年劣化で詰め物のふちが欠けたり、適合が悪くなり詰め物の下など目に見えない部分の虫歯の原因となることがあります。また、金属のため口にするものの熱の影響を受けやすく成分が溶けやすくなったり、変形してしまうことがあります。
セラミックスは、見た目の審美性だけでなく劣化がしにくいことや金属アレルギーのリスクがないことがメリットとしてあげられます。
ただし、セラミックスは日常の食事や歯ぎしりなどで詰め物が欠けたりする可能性があります。
関連する他の症例
セラミック治療の注意事項(リスク・副作用など)
- 天然歯を削ります
- 硬い素材は天然歯を傷つけてしまう場合があります
- かみ合わせや歯ぎしりが強すぎる方はセラミックが割れてしまう可能性があります
- 自費診療(保険適用外治療)となります








