【40代女性】繰り返しニキビのようなものができる
治療概要
- 患者様:40代女性
- 治療期間:2ヶ月
- 概算治療費:9万円(精密根管治療は別途)
※費用は治療当時の料金となります - 担当医:福本健生
治療動機
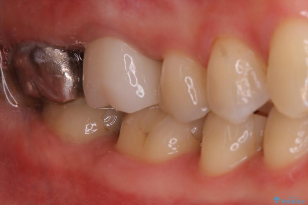
別の部位の治療で通われていた患者様ですが、歯ぐきにできものが繰り返しできるとのことで相談されました。
治療計画
X線画像を診断すると、充填不良の根管の先に透過像が認められたため、再根管治療をご提案いたしました。
治療後について
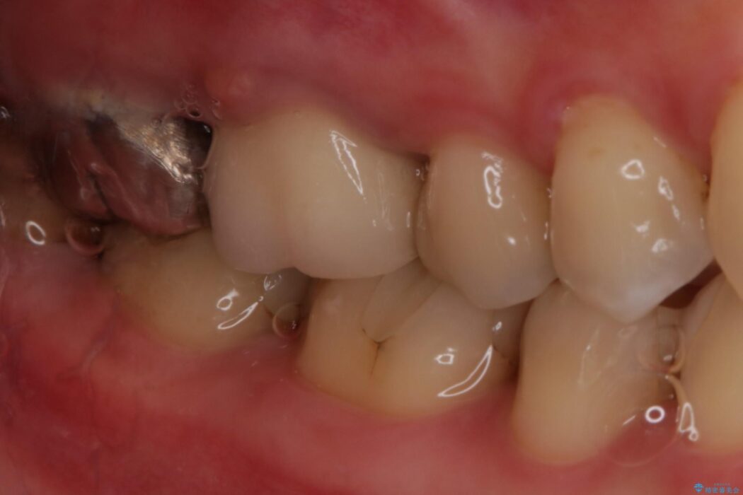
根管治療を再度行うことでフィステル(ニキビのようなできもの)は消失しました。
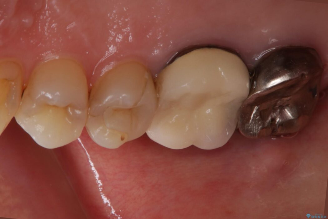
最終的にセラミッククラウンによる補綴治療を行いました。
適合の悪い補綴物は二次的な虫歯発生のリスクが高まります。
自費診療で用いられる材料は保険適応の材料に比べて、より精密で適合の良い被せ物作ることができるため、長期的な虫歯のリスクを大幅に減らすことが可能になります。
当院のセラミック治療の特徴
・拡大鏡を使用します
・被せ物との隙間限りなく無くす精密歯科治療を行っています
・短期集中治療を行っています
・オールセラミック、ジルコニア、メタルボンドセラミック、ハイブリットセラミックなど、ご予算に合わせた素材をご用意しています
関連する他の症例
根管治療の注意事項(リスク・副作用など)
- 根管治療により類似の全ての症例の問題が解決するわけではなく、症例はあくまでも一例です
- 根管治療により痛みや腫れがひかない事や、術後に痛みや腫れが生じる事、治療によるファイル破折やパーフォレーションなどの偶発症、術後の歯根破折を生じる可能性もあります
- 自費診療(保険適用外)となります
セラミック治療の注意事項(リスク・副作用など)
- 天然歯を削ります
- 硬い素材は天然歯を傷つけてしまう場合があります
- かみ合わせや歯ぎしりが強すぎる方はセラミックが割れてしまう可能性があります
- 自費診療(保険適用外治療)となります






