【40代男性】インビザライン治療中の頑固な着色落としをクリーニング
治療概要
- 患者様:40代男性
- 治療期間:1日
- 概算治療費: 11,000円
※費用は治療当時の料金となります - 担当医:歯科衛生士
治療動機
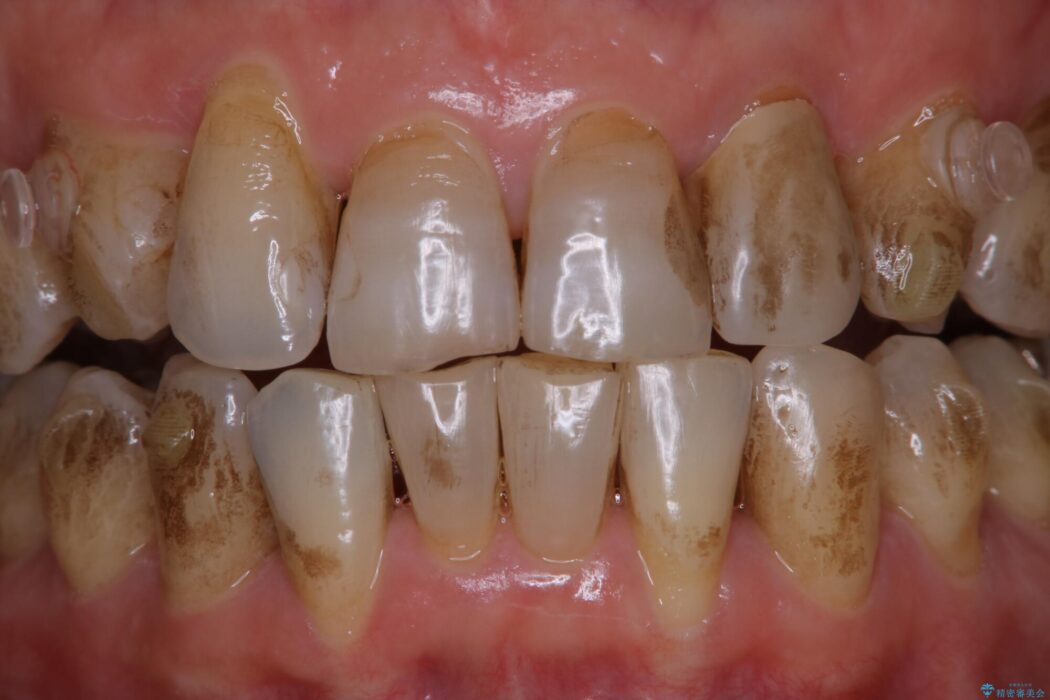
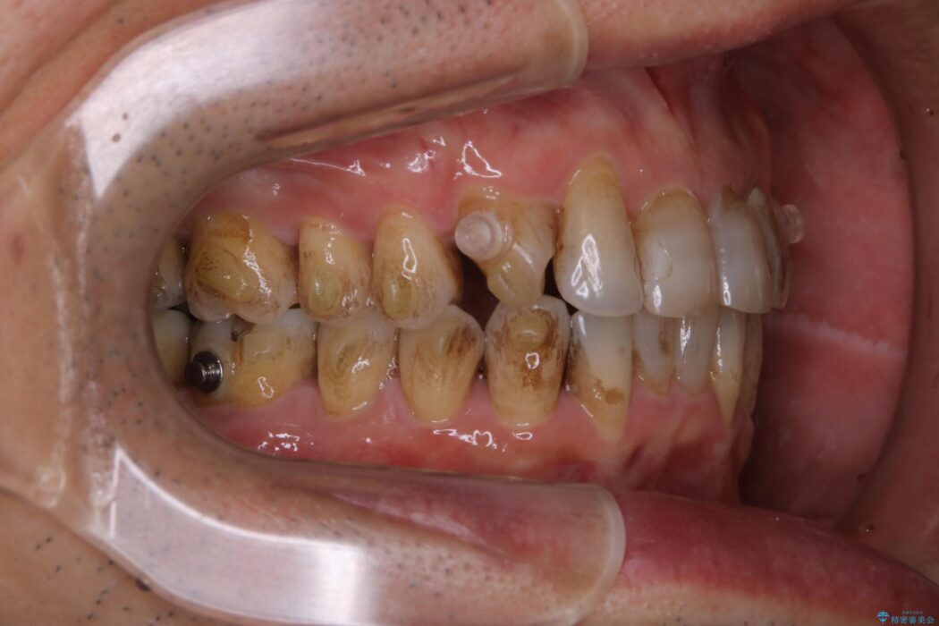
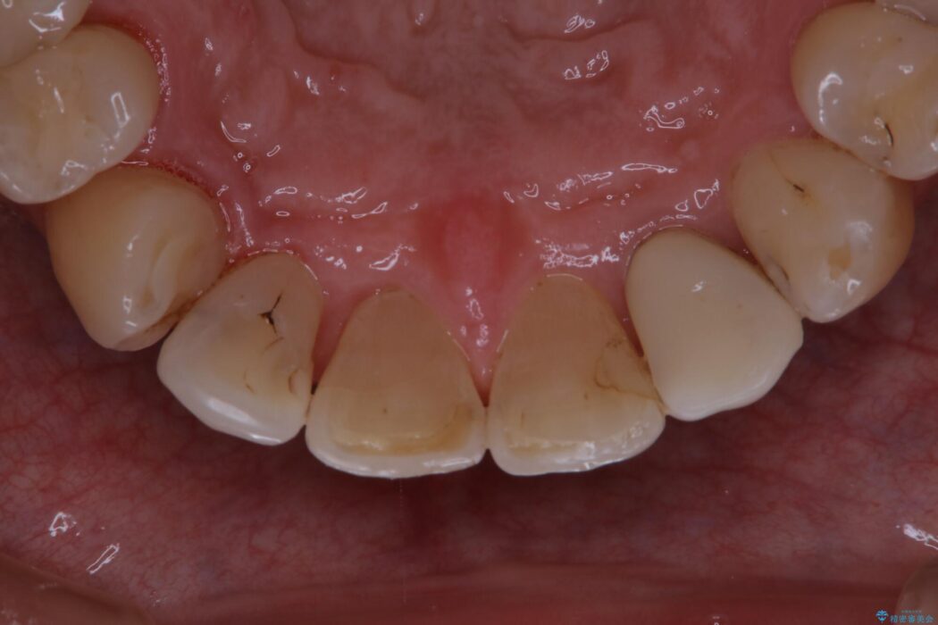
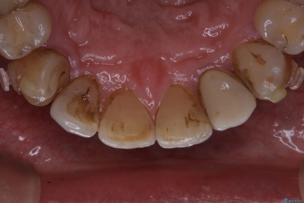
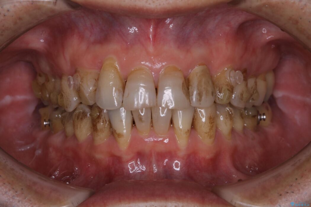
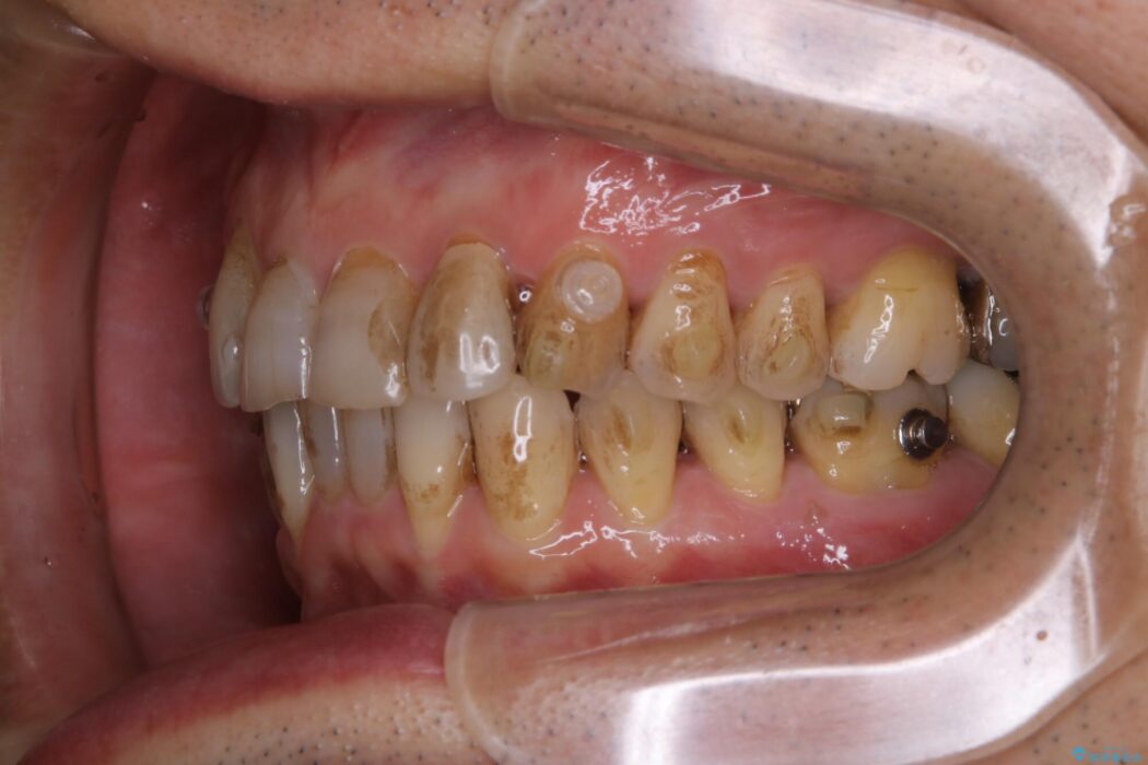
インビザラインでの矯正中の患者様で、コーヒーを頻繁に飲むためステインが気になるとのことでした。
治療計画
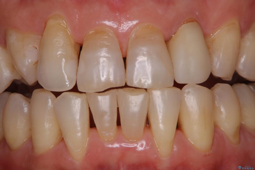
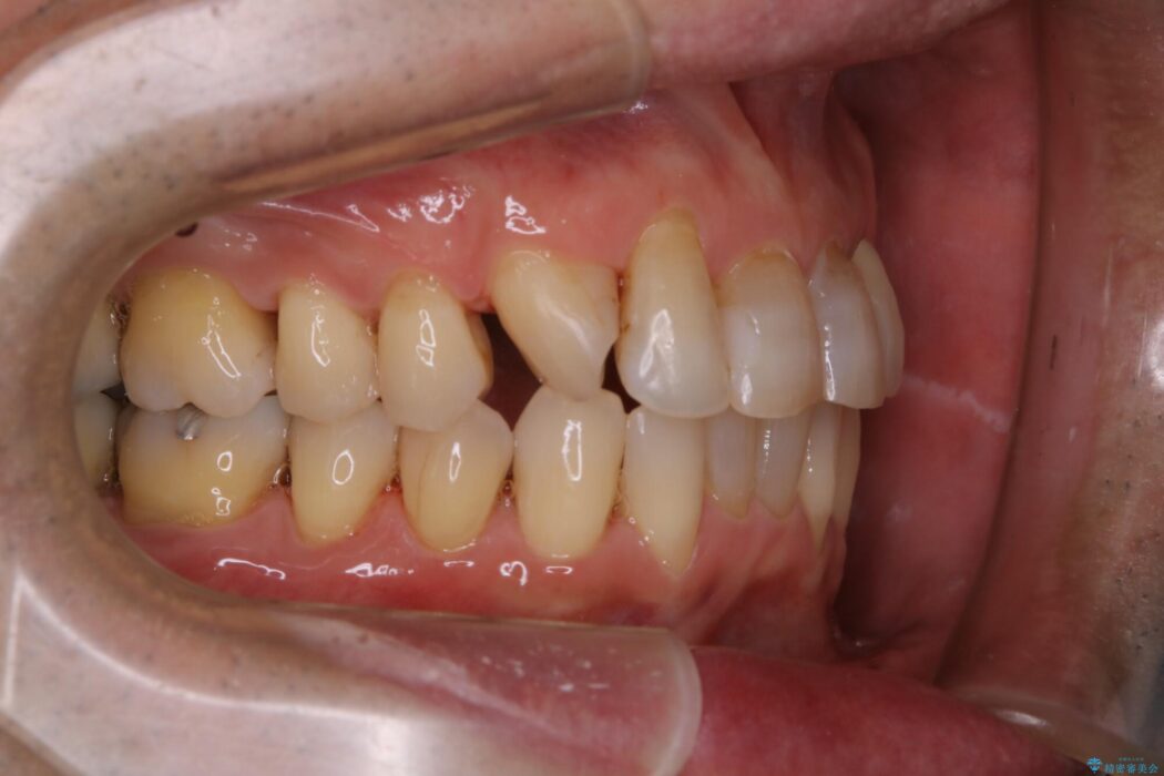
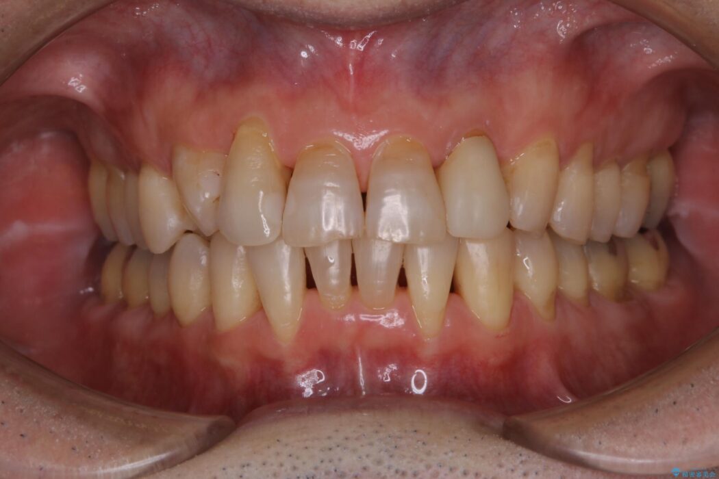
コーヒーによるステイン(着色)の付着がたくさんあったため、PMTC60分コースをご提案し、時間内にきっちりクリーニングを行いました。
治療後について
インビザライン治療中には、歯の表面にアタッチメント(効率的に歯を移動させるもの)を設定します。そのため歯ブラシでは届きにくい細かい部分などに、歯石や着色がついてしまうことがあり、着色などを放置していると、着色なのか虫歯なのかの判別がしづらくなり、正確にお口の中の状態を診断できません。
矯正治療中も定期的に歯科医院にてPMTCを受けて、お口のケアを行うことをおすすめします。
関連する他の症例
PMTCの注意事項(リスク・副作用など)
- 歯を白くする目的の施術ではありません
- 保険適用外となります












