【40代女性】古い不適合な詰め物をセラミックインレーで再治療
治療概要
- 患者様:40代女性
- 治療期間:1ヶ月
- 概算治療費:7万円
※費用は治療当時の料金となります - 担当医:福本健生
治療動機
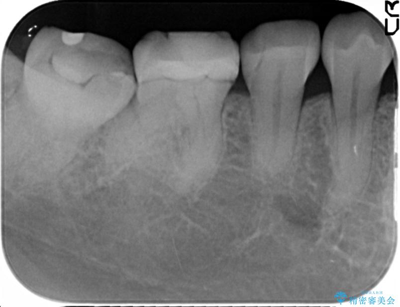
初診の際に撮影したレントゲンにて以前他院で治療していた詰め物が適合不良であることが判明し、再度治療をしてほしいとのご希望でした。
治療計画
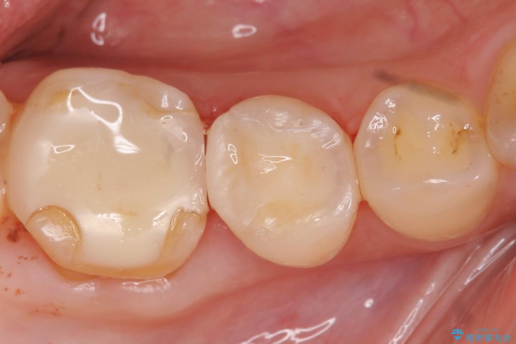
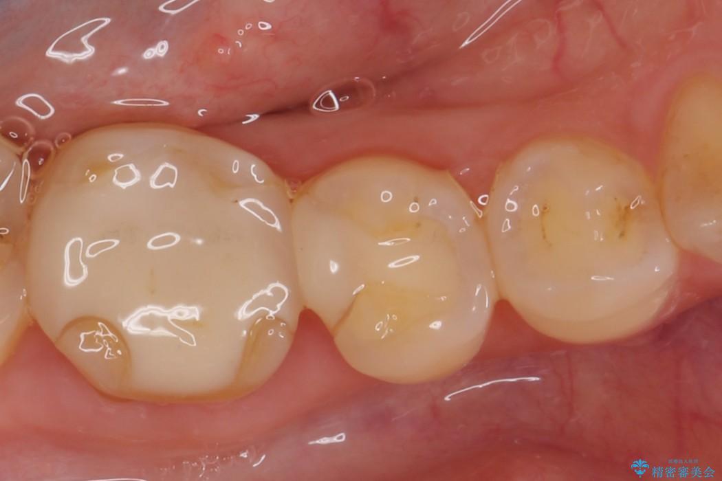
ぱっと見ただけでは特に問題ないように見えますが、レントゲンをよく確認すると詰め物と歯の間に隙間がはっきりと確認ができます。
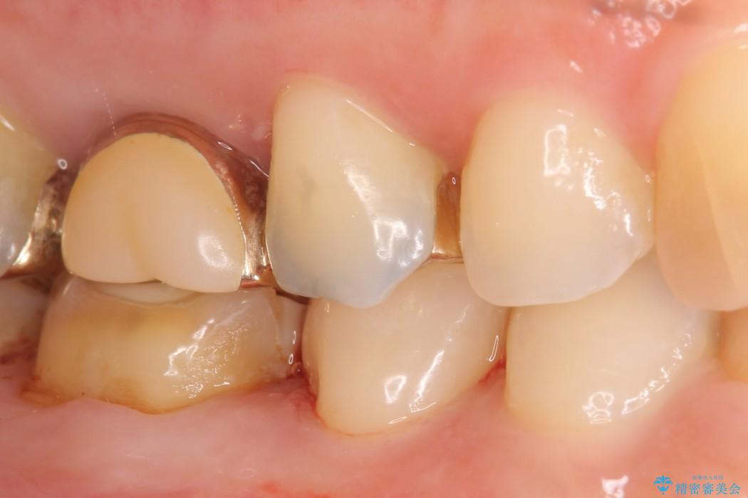
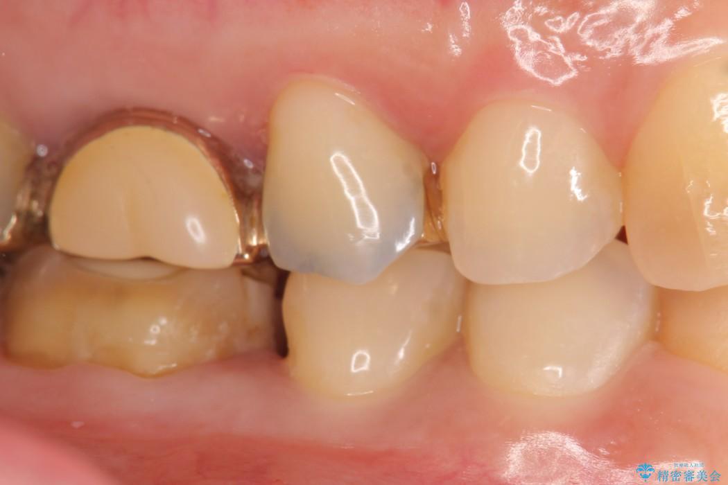
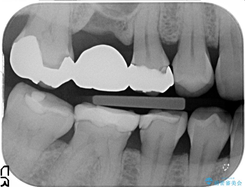
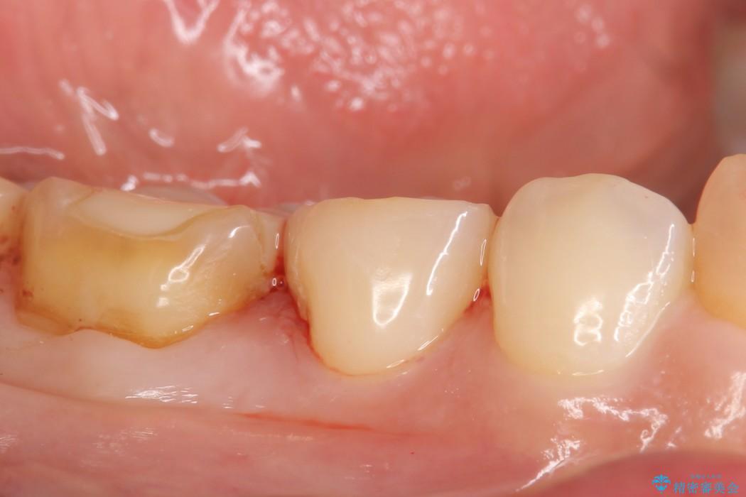
適合不良であるインレーを放置するリスクを患者様へ説明してご納得いただいた上で、オールセラミックインレーで治療を行うこととしました。
治療後について
詰め物の下に隙間がある場合、隙間に細菌が侵入し虫歯が再発してしまう可能性があります。また、詰め物が割れたり外れたりしてしまう危険性もあります。
ですのでもし隙間が見つかった場合には再度治療をすることをお勧めいたします。
隙間が発生しているインレー(詰め物)
治療完了した歯でも、時間の経過や力的作用によってセメントが変性したり、隙間が空くことによって詰め物の下に虫歯が発生したりすることがあります。
そうならないためにも適合の良い剛性にも優れた素材を用いた治療を求められます。特にセラミックが使用されたインレーは見た目が自然なだけでなく適合性、剛性共に高い水準を持つためリスクを減らすことができます。
しかしセラミックは金属に比べて強い衝撃には弱く欠けたり割れてしまう可能性があるため注意が必要です。
関連する他の症例
セラミック治療の注意事項(リスク・副作用など)
- 天然歯を削ります
- 硬い素材は天然歯を傷つけてしまう場合があります
- かみ合わせや歯ぎしりが強すぎる方はセラミックが割れてしまう可能性があります
- 自費診療(保険適用外治療)となります








