【20代女性】10代の頃にした矯正の後戻りを再矯正する
治療概要
- 患者様:20代女性
- 治療期間:1年6ヶ月
- 矯正装置:インビザライン コンプリヘンシブパッケージ
- 概算治療費:96.8万円(マイクロインプラント費用込)
※費用は治療当時の料金となります - 担当医:福本健生
治療動機
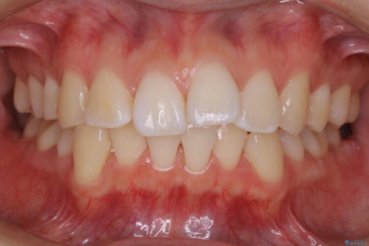
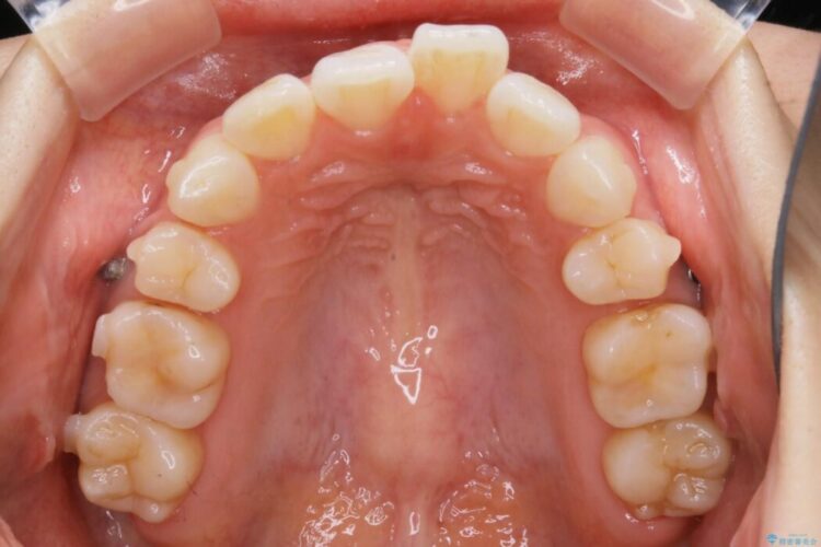
以前治療した抜歯矯正から後戻りをしてしまった歯列のがたつきを再矯正したいとのことで来院されました。
治療計画
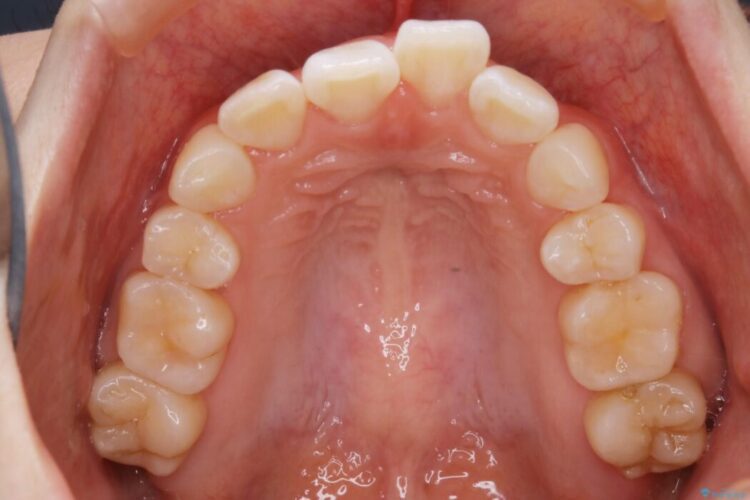
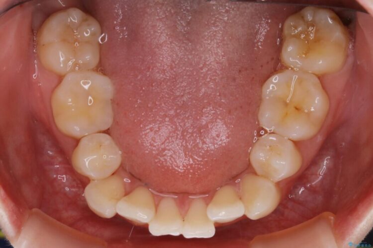
元々中学生から高校生にかけてワイヤー装置を用いた矯正治療をされた患者様でした。
大人になるにつれてライフスタイルの変化が生じ、歯が元の位置に戻らないように保定するためのリテーナーを継続使用することが難しくなったことから、歯列にがたつきが目立つようになったのでもう一度矯正治療をしたいとのご希望でした。
既に上下左右の4番目の歯が抜歯されているため、今回のケースでは非抜歯による歯の移動のみで矯正をしなければならず、難易度が高いものになりました。
治療後について
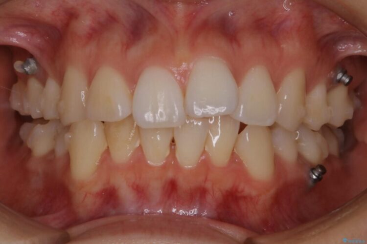
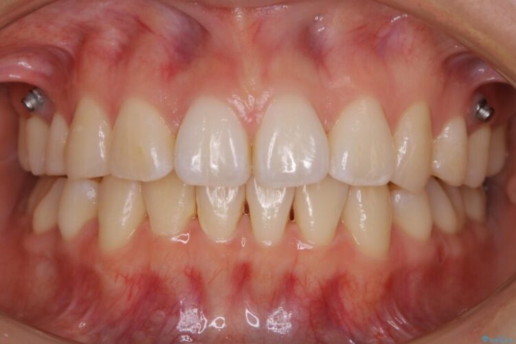
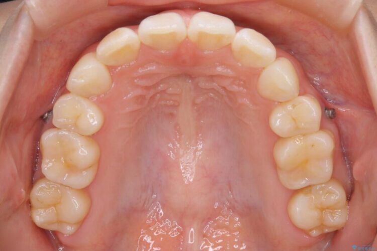
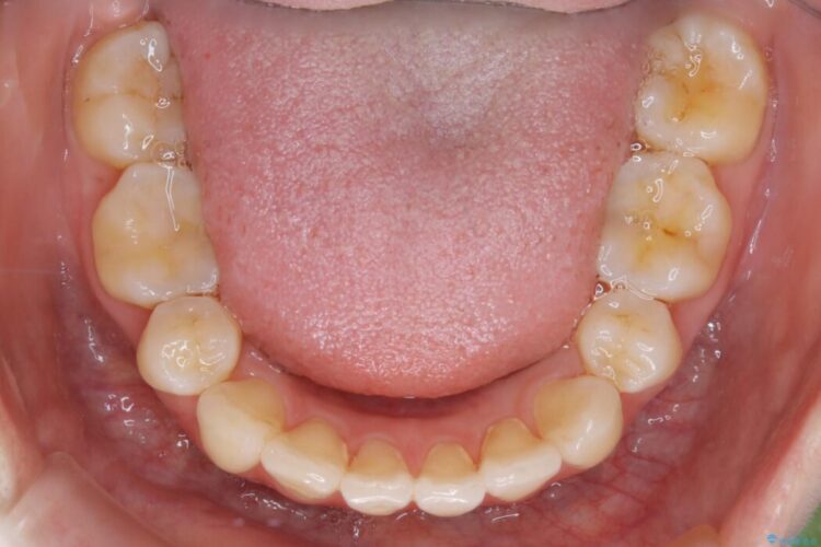
後戻りしていた歯列もきれいに整い患者様にはご満足いただけました。
後戻りについて
小学生~高校生の間に矯正治療をされている方で、その後の成長や生活の変化におけるリテーナー(後戻り防止装置)の継続使用が困難となり、叢生(ガタつき)が時間の経過で再発してしまうケースが多くあります。
一度目の矯正治療の際に抜歯をしていたり後戻りでのガタつきの度合いによって再矯正における治療期間が最初の矯正治療と同程度に要する場合もあります。
関連する他の症例
マウスピース矯正の注意事項(リスク・副作用など)
- 口腔内・歯並びの状態によっては対応できない場合があります
- マウスピース型矯正装置の長時間装着(1日20時間以上)が必須です
- 治療計画通りに進めるためには、患者様の意志が重要になります
- 矯正治療後の保定が不十分だと後戻り(元の位置に戻ろうとする動き)をします
- 薬機法対象外の矯正歯科装置のため医薬品副作用被害救済制度の対象外となる場合があります
- 自費診療(保険適用外)となります









