【30代女性】ガタつきのある狭窄歯列を改善する
治療概要
- 患者様:30代女性
- 治療期間:1年6ヶ月
- 矯正装置:インビザライン コンプリヘンシブパッケージ
- 概算治療費:88万円(ゴムかけ用装置代込み)
※費用は治療当時の料金となります - 担当医:福本健生
治療動機
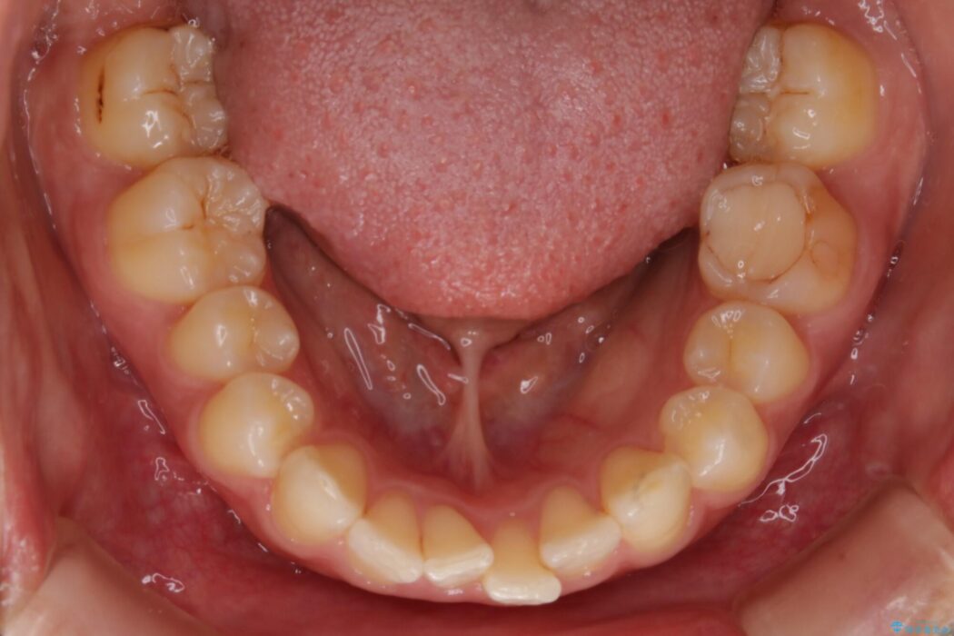
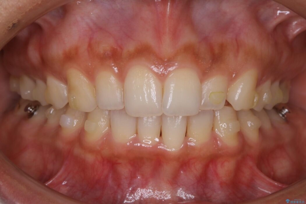
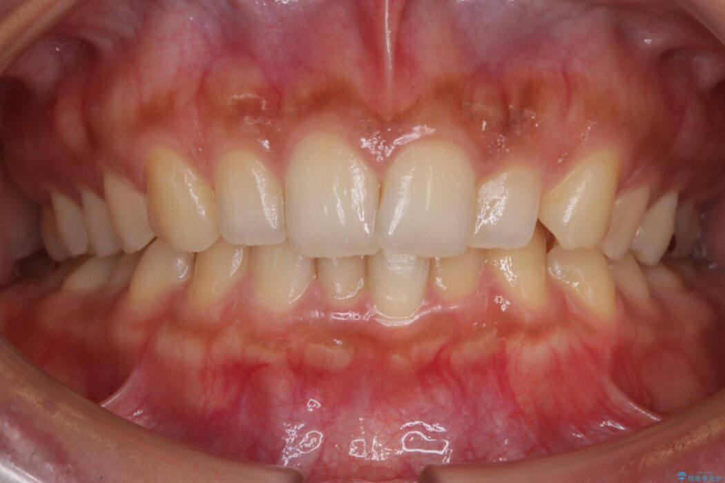
下顎前歯のガタつきを気にされて来院されました。
治療計画
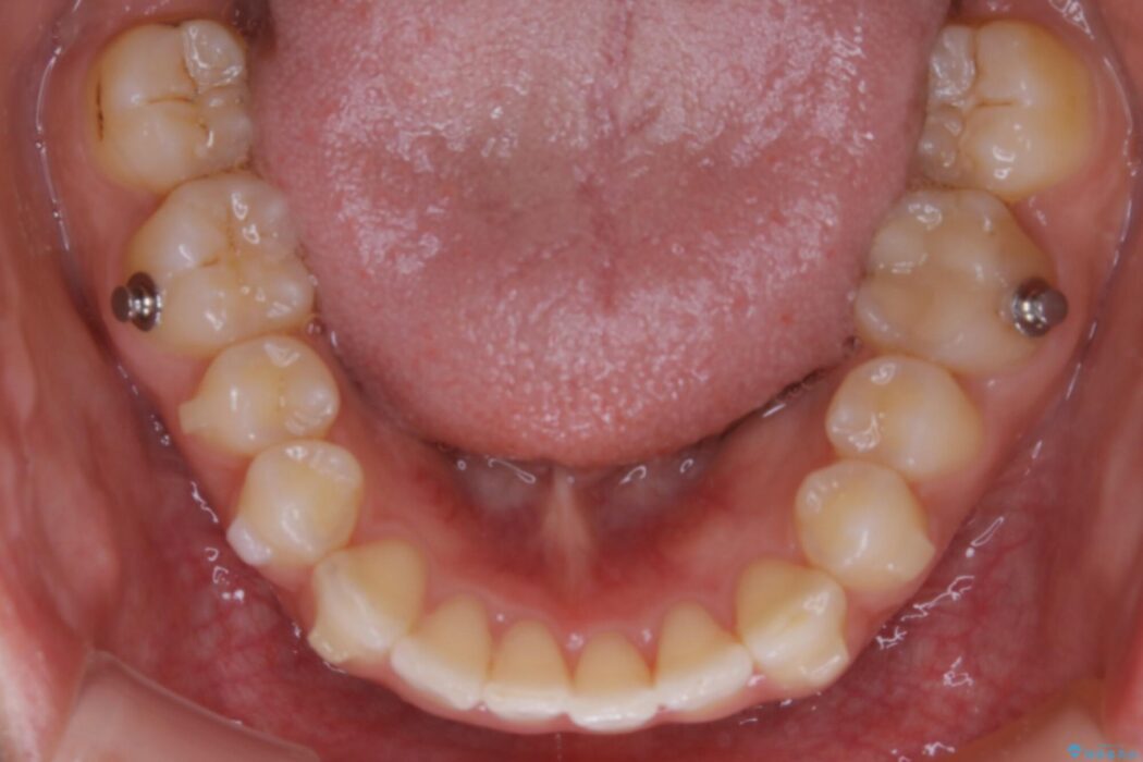
目立ちにくい矯正装置をご希望でしたのでマウスピースでの治療をご提案しました。
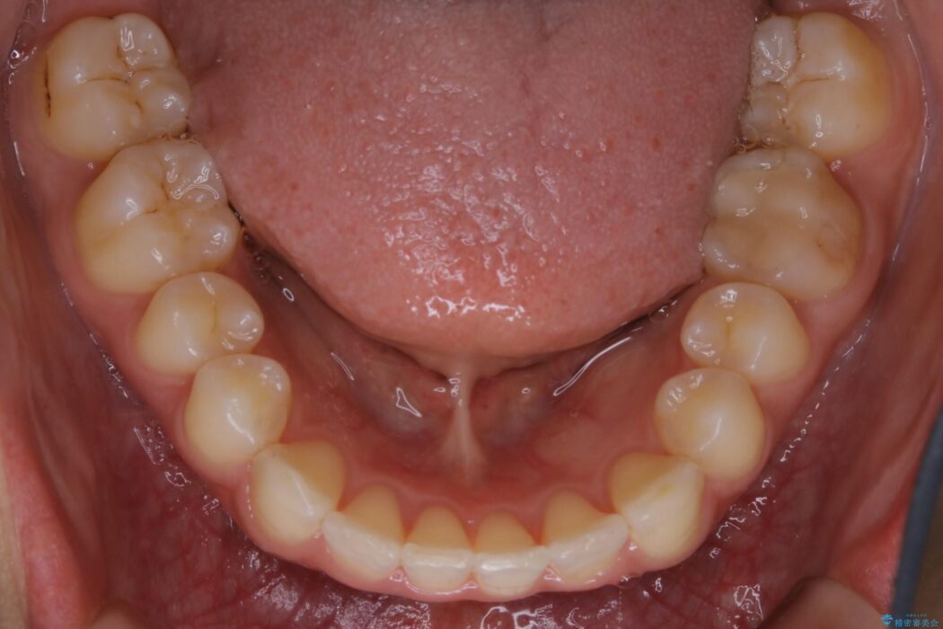
叢生の度合いにより抜歯は不要と判断しましたので、歯列幅の拡大を主軸に置き矯正治療を行いました。
狭窄歯列について
狭窄歯列とは幅が狭くなっている歯並びのことです。
本症例では下顎の歯列が舌側へ傾くことにより幅が狭まっていましたので、マウスピース治療により歯列弓を拡大しました。
関連する他の症例
マウスピース矯正の注意事項(リスク・副作用など)
- 口腔内・歯並びの状態によっては対応できない場合があります
- マウスピース型矯正装置の長時間装着(1日20時間以上)が必須です
- 治療計画通りに進めるためには、患者様の意志が重要になります
- 矯正治療後の保定が不十分だと後戻り(元の位置に戻ろうとする動き)をします
- 薬機法対象外の矯正歯科装置のため医薬品副作用被害救済制度の対象外となる場合があります
- 自費診療(保険適用外)となります









