【20代女性】非抜歯でマウスピースの限界に挑戦する矯正治療
治療概要
- 患者様:20代女性
- 治療期間:2年8ヶ月
- 矯正装置:インビザライン+マイクロインプラント
- 概算治療費:99万円
※費用は治療当時の料金となります - 担当医:福本健生
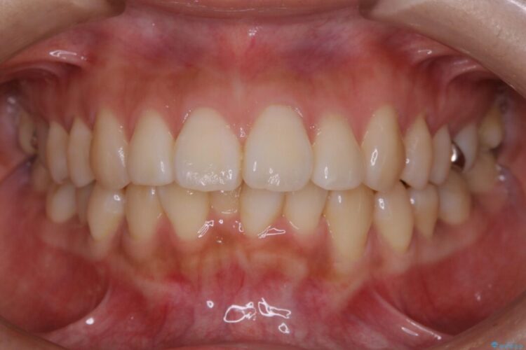
治療動機
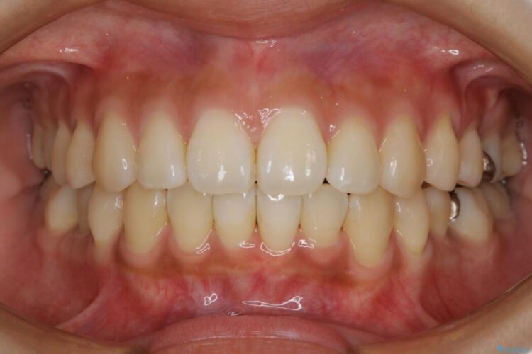
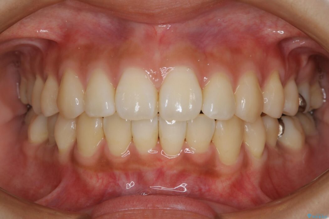
前歯を引っ込めるために非抜歯でのマウスピース矯正治療がしたいとの主訴で来院されました。
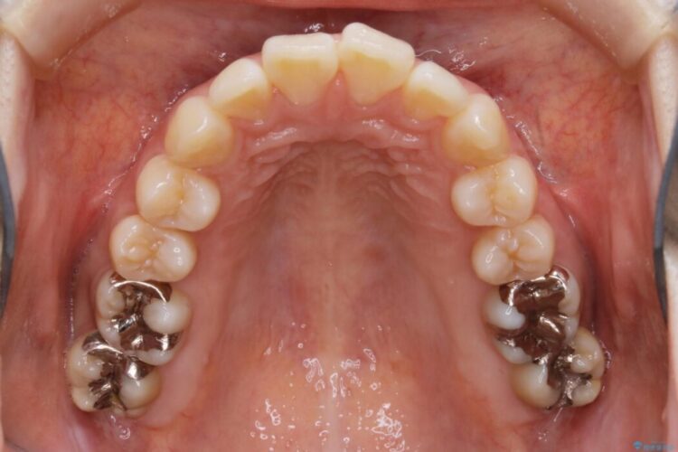
治療計画
患者様からなおしたい内容をお聞きしたところ
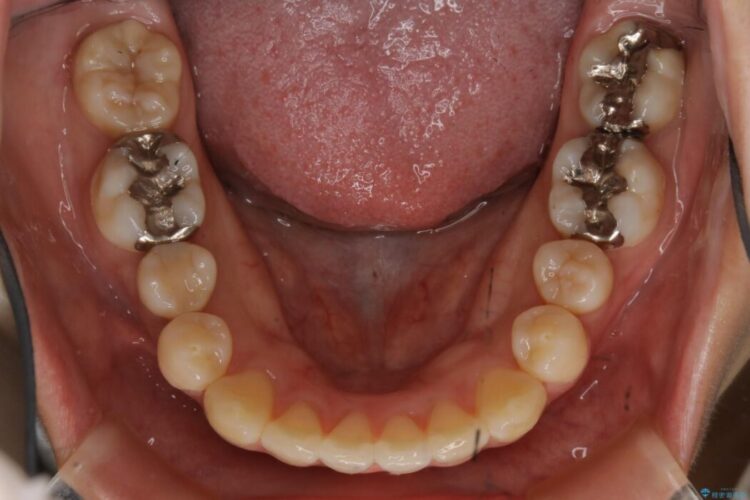
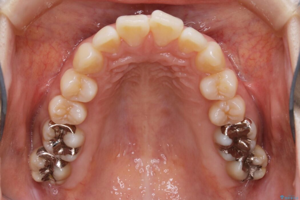
・上下の歯のガタつき
・出っ歯感(口ゴボ)
・噛み合わせ
などが気になるとのことでした。
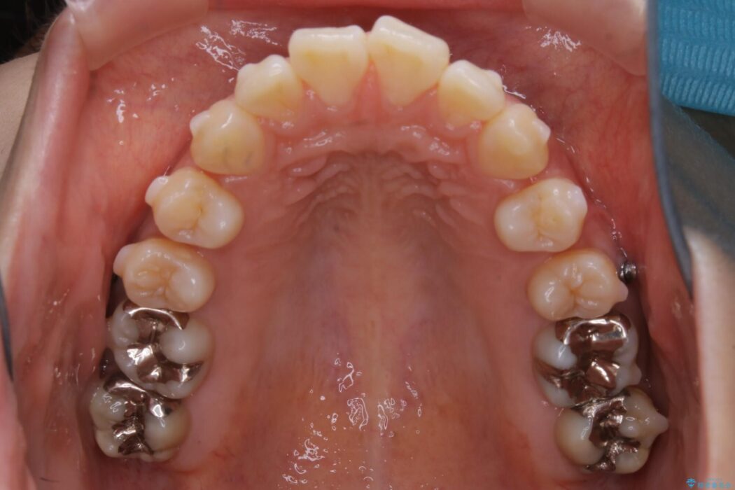
よって患者様ご希望の非抜歯かつマウスピースでの矯正を行うために、最大量の臼歯の遠心移動をして歯列全体を奥へ引っ込める計画をご提案しました。
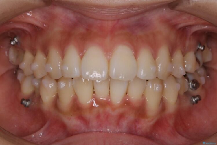
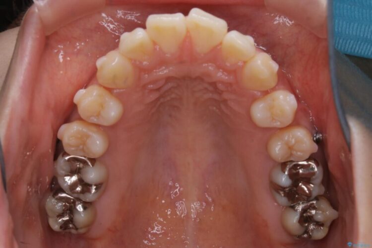
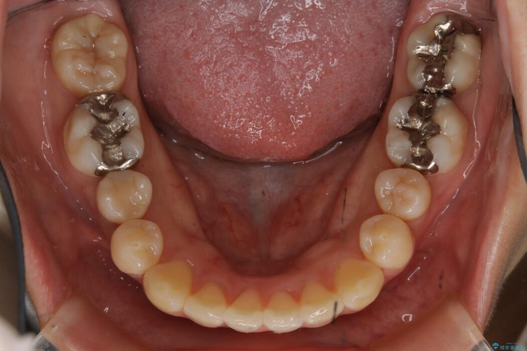
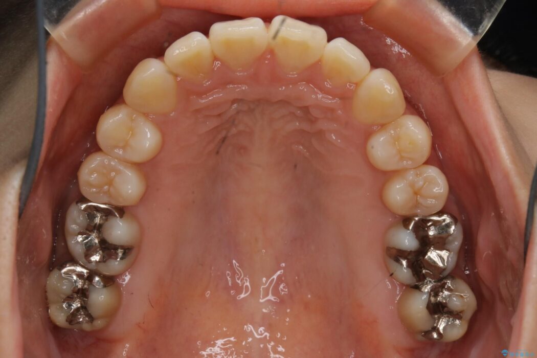
治療後について
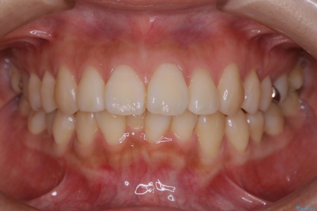
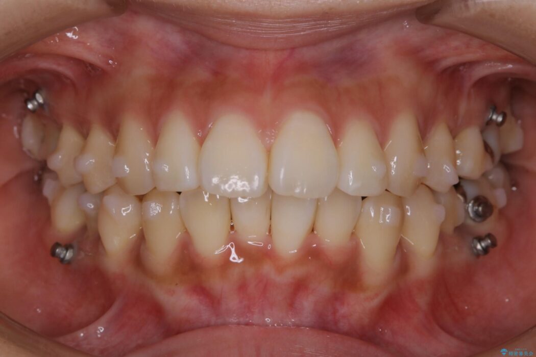
患者様の意識も高く、しっかりとマウスピースを装着していただけたこともあり満足できる仕上がりとなりました。
本症例では最大量の移動もあり治療期間が掛かってしまいましたが、非抜歯でマウスピース矯正をしたいというご希望に応えることができました。
非抜歯での矯正治療
マウスピースにマイクロインプラントという補助装置を併用することで抜歯をせずとも歯列を整えるスペースを確保することができます。奥歯から順に移動させていくので前歯に変化が出るまでには時間がかかってしまいますが、健康な歯を抜歯することなく理想的な歯並びを手に入れることができます。
関連する他の症例
マウスピース矯正の注意事項(リスク・副作用など)
- 口腔内・歯並びの状態によっては対応できない場合があります
- マウスピース型矯正装置の長時間装着(1日20時間以上)が必須です
- 治療計画通りに進めるためには、患者様の意志が重要になります
- 矯正治療後の保定が不十分だと後戻り(元の位置に戻ろうとする動き)をします
- 薬機法対象外の矯正歯科装置のため医薬品副作用被害救済制度の対象外となる場合があります
- 自費診療(保険適用外)となります









