【20代女性】抜歯矯正で叢生をなおす
治療概要
- 患者様:20代女性
- 治療期間:1年11ヶ月
- 矯正装置:インビザライン コンプリヘンシブパッケージ
- 概算治療費:96.8万円(マイクロインプラント費用込)
※費用は治療当時の料金となります - 担当医:福本健生
治療動機
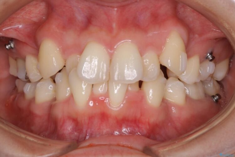
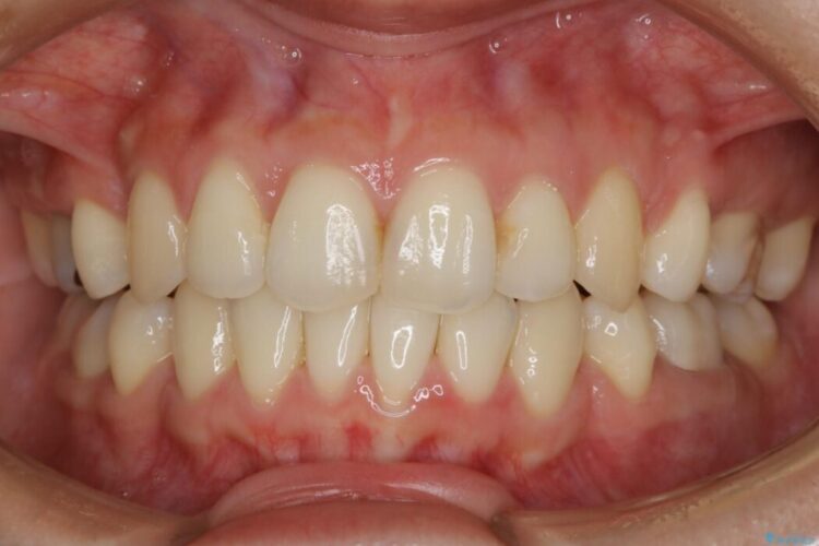
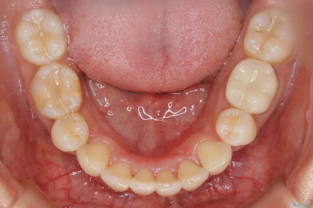
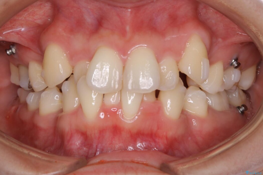
ガタガタな歯並びをなおしたいとのことで来院されました。
治療計画
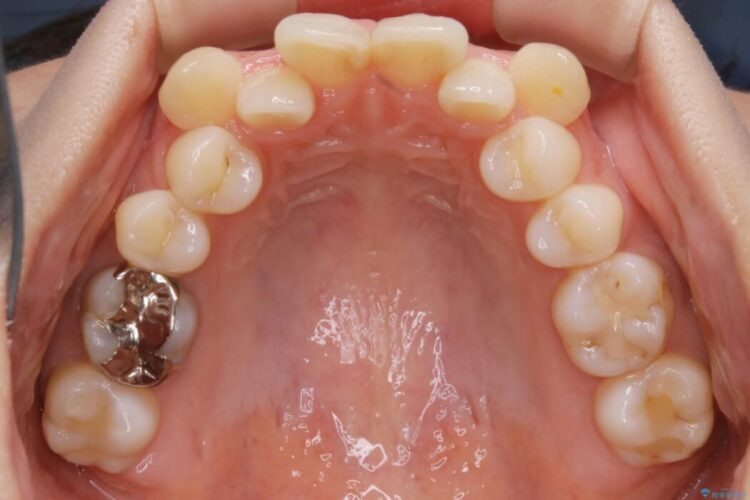
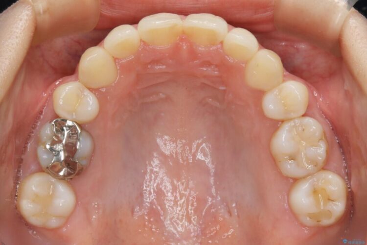
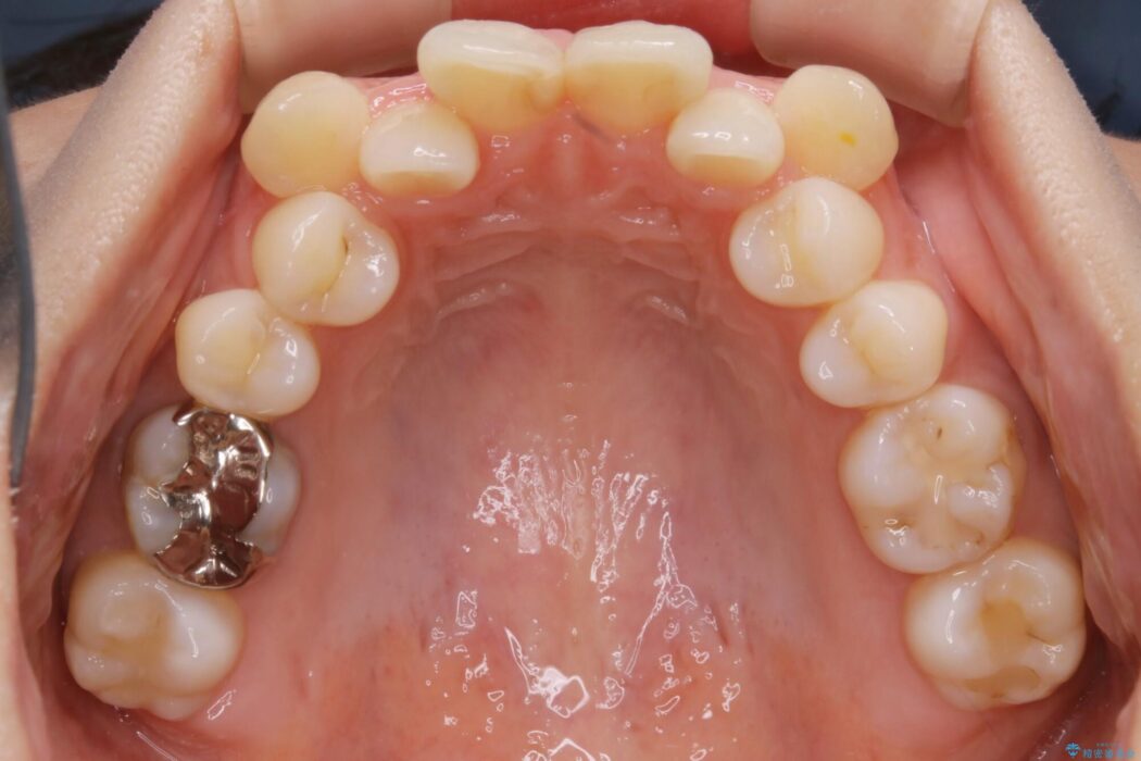
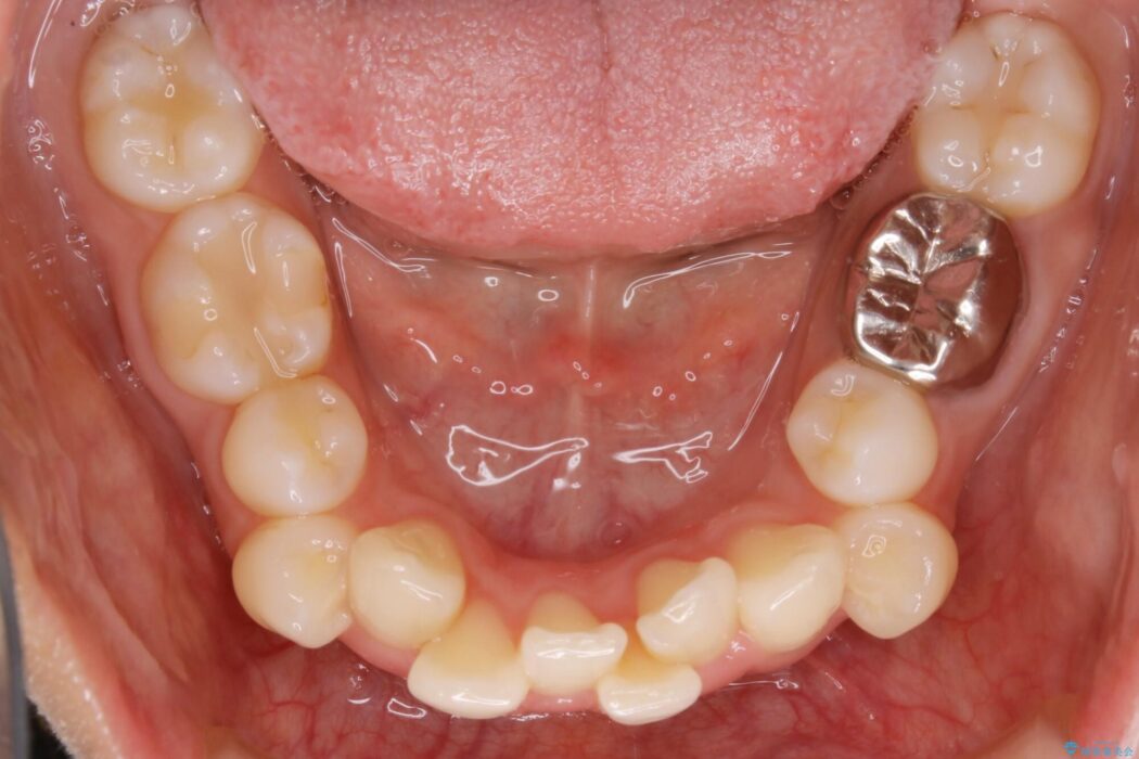
左右の奥歯が前方に寄っていることにより八重歯の発生や重度の叢生に繋がっていました。
ですが詳しく検査をしたところ、左右の奥歯の前後位置に関してはズレが少ない状態でした。
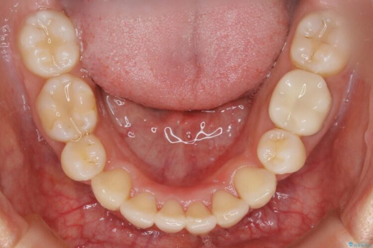
加えて患者様の顎の大きさに対する歯の数が多いことが叢生の原因になっていることから、抜歯した上で歯列を整えるほうが最終的な仕上がりとして良い結果になると判断しました。
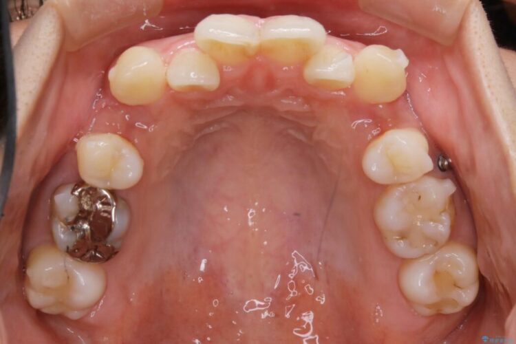
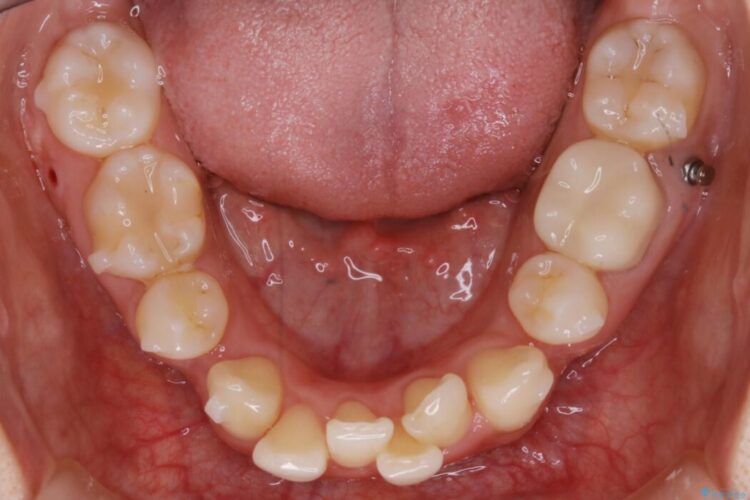
まず噛み合わせに問題が少ない奥歯の位置を極力変えないように上下左右4番目の歯を抜歯することで歯列矯正のためのスペースを確保し、空いた隙間で前歯の凹凸をきれいに並べていくこととしました。
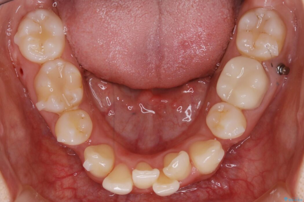
また、ご要望がありマイクロインプラント治療もしています。
治療後について
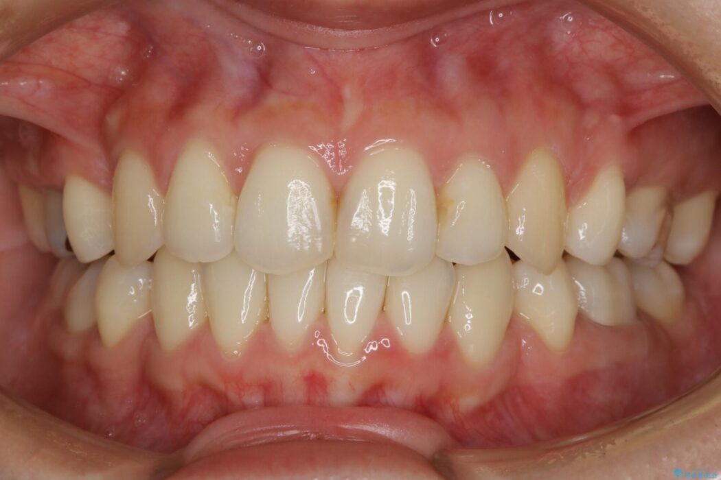
笑った時に見えるガタついていた見栄えが改善されて歯列弓もきれいな形に整い、患者様にはご満足いただけました。
抜歯矯正について
本症例でもそうでしたが歯の叢生量によってはきれいに並べるための数ペース確保が難しく、抜歯必要とする場合があります。
従来の矯正治療では抜歯スペースなどの大きな移動のコントロールはワイヤー装置の方が適しているとされてきました。しかし、年々マウスピース装置の質が向上していることもあり、最近では抜歯した場合にマウスピース装置を使用することも増えてきました。
マウスピース装置だけで治療が完了できるかどうかは歯の移動の仕方、力のかけ方、異常を早期発見する診察眼の熟練度など様々な要素に影響される部分ではあります。
ですがそれを踏まえても、マウスピース装置だけできれいな歯並びへ抜歯矯正できる症例は確実に増加傾向にあると思います。
関連する他の症例
マウスピース矯正の注意事項(リスク・副作用など)
- 口腔内・歯並びの状態によっては対応できない場合があります
- マウスピース型矯正装置の長時間装着(1日20時間以上)が必須です
- 治療計画通りに進めるためには、患者様の意志が重要になります
- 矯正治療後の保定が不十分だと後戻り(元の位置に戻ろうとする動き)をします
- 薬機法対象外の矯正歯科装置のため医薬品副作用被害救済制度の対象外となる場合があります
- 自費診療(保険適用外)となります









