【20代女性】黒ずんだ虫歯をとり白い歯へ
治療概要
- 患者様:20代女性
- 治療期間:1ヶ月
- 概算治療費:7万円
※費用は治療当時の料金となります - 担当医:福本健生
治療動機
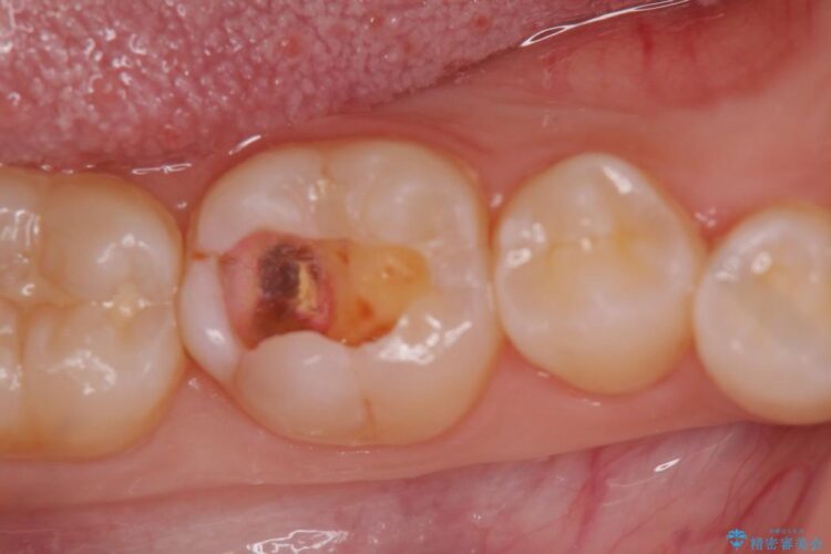
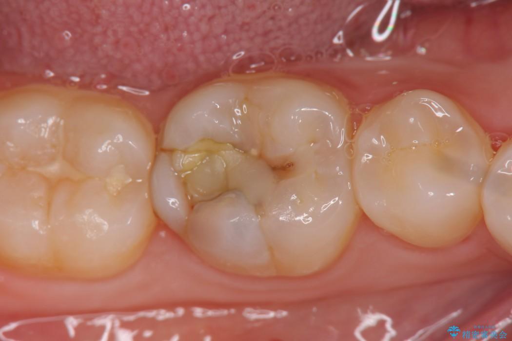
黒ずんでいる歯が気になりご来院されました。
治療計画
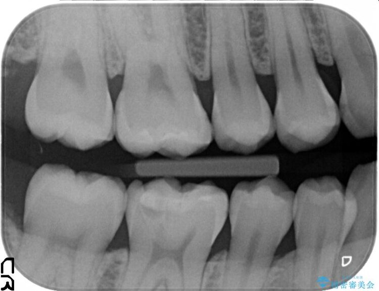
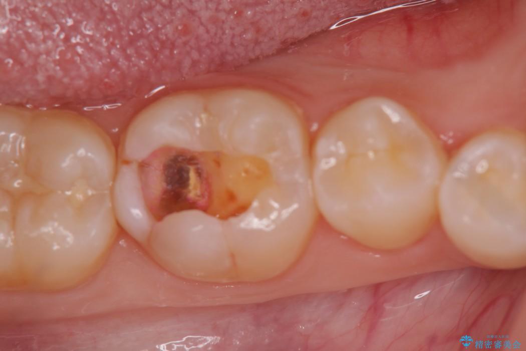
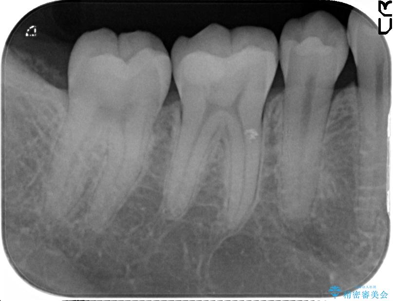
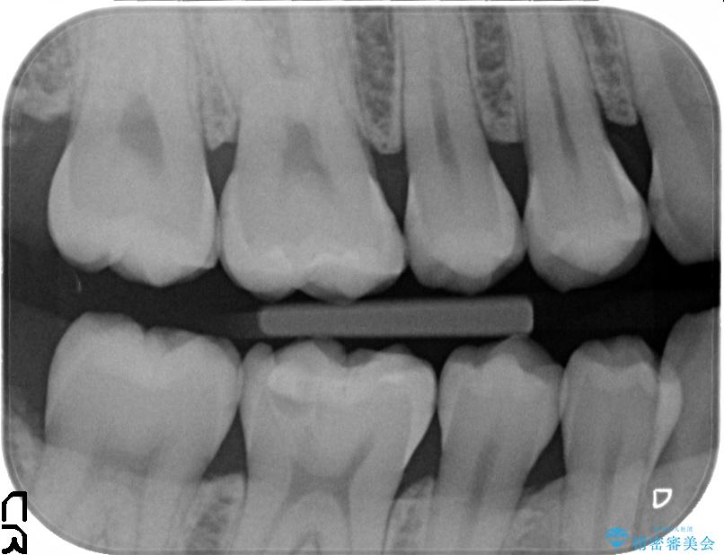
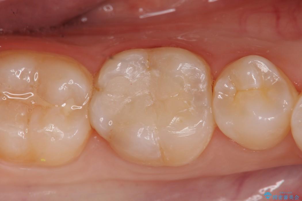
診査をした結果、顎左右の前から6番目の歯に深い虫歯があったため、詰め物(インレー)タイプで修復していく(e-max プレスインレー)での治療を行いました。
治療後について
今回は歯の黒ずみを気にしてご来院されましたが、診査をしますと神経の治療が必要になる一歩手前の状態である神経の近くまで虫歯が広がっていました。
早めの治療を行えたことにより詰め物での治療にて治すことができました。
無症状で静かに進行している虫歯
「虫歯=歯が痛い」というイメージがありますが、実際には時間をかけ少しずつ静かに虫歯は進行しています。
無症状でも歯の奥深くまで進行していることが多くあり、できるだけ早めの治療をおすすめいたします。
関連する他の症例
セラミック治療の注意事項(リスク・副作用など)
- 天然歯を削ります
- 硬い素材は天然歯を傷つけてしまう場合があります
- かみ合わせや歯ぎしりが強すぎる方はセラミックが割れてしまう可能性があります
- 自費診療(保険適用外治療)となります






