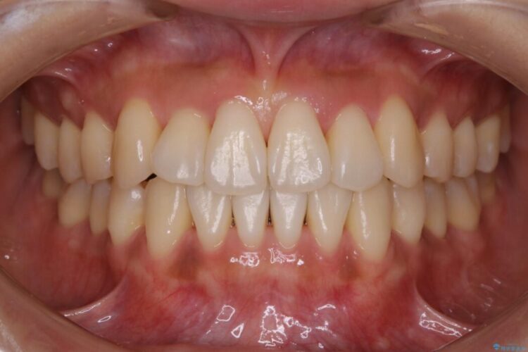
【20代女性】抜歯無しで前歯のがたがたを改善する
治療概要
- 患者様:20代女性
- 治療期間:2年
- 矯正装置:インビザライン
- 概算治療費:88万円+TAX(マイクロインプラント費用込)
※費用は治療当時の料金となります - 担当医:福本健生
治療動機
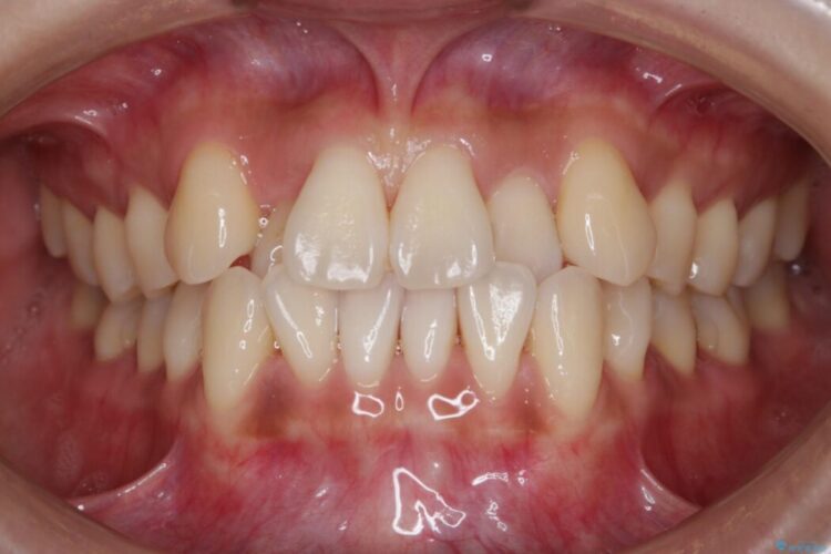
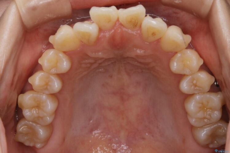
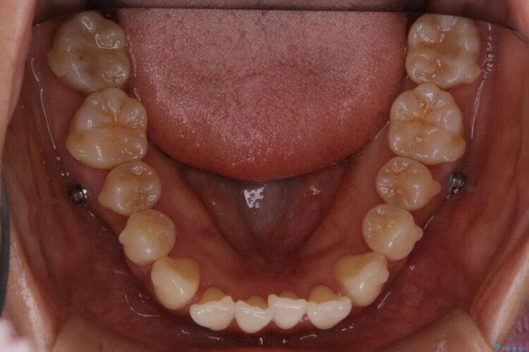
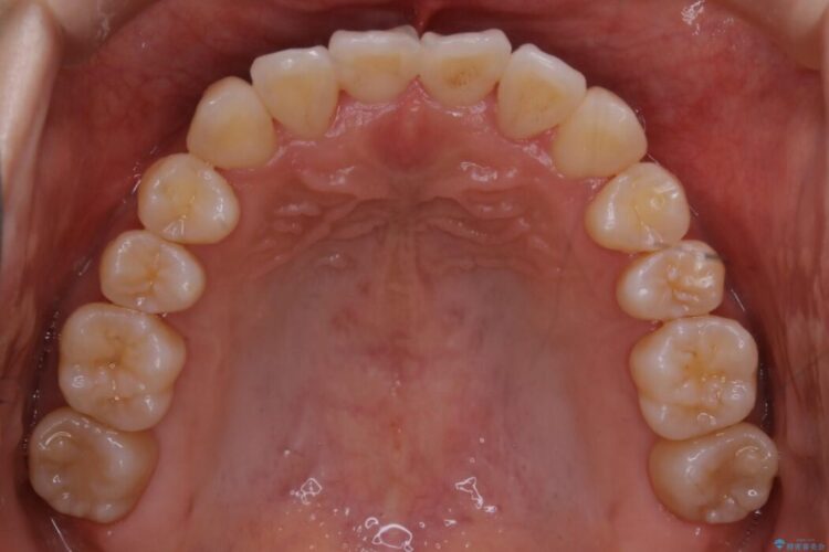
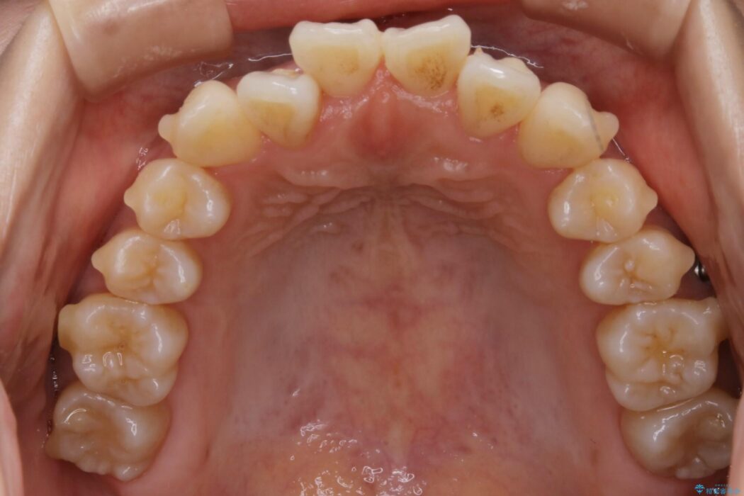
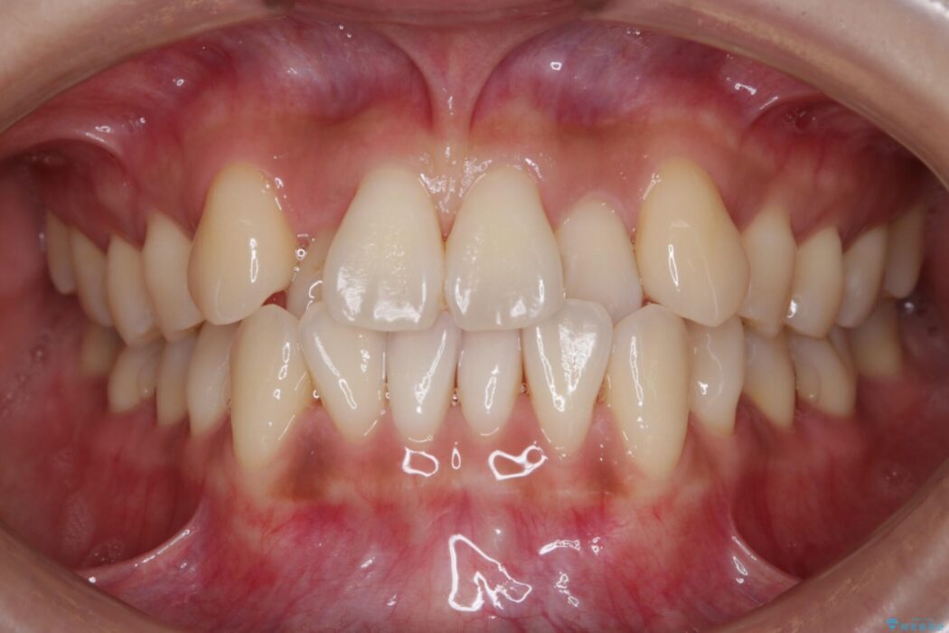
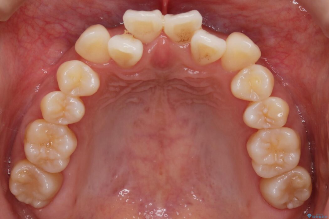
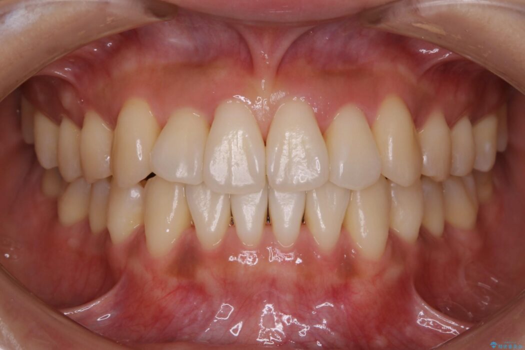
前歯のガタガタを気にされて来院されました。
治療計画
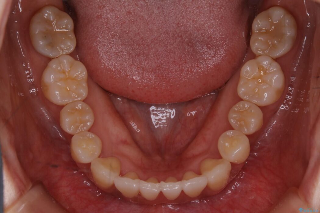
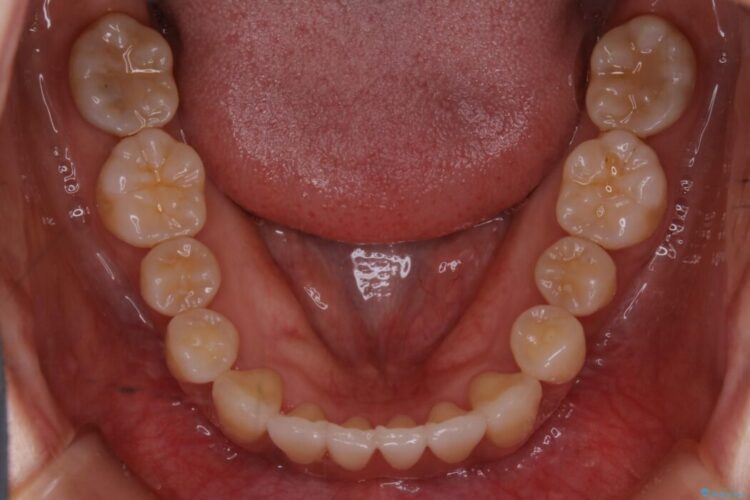
検査の結果、骨の厚みに余裕がないことが判明しましたので、幅の拡大と歯の側面を削るIPRでは歯周病に対する不安を拭いきれないと判断しました。
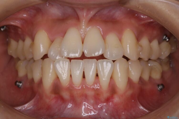
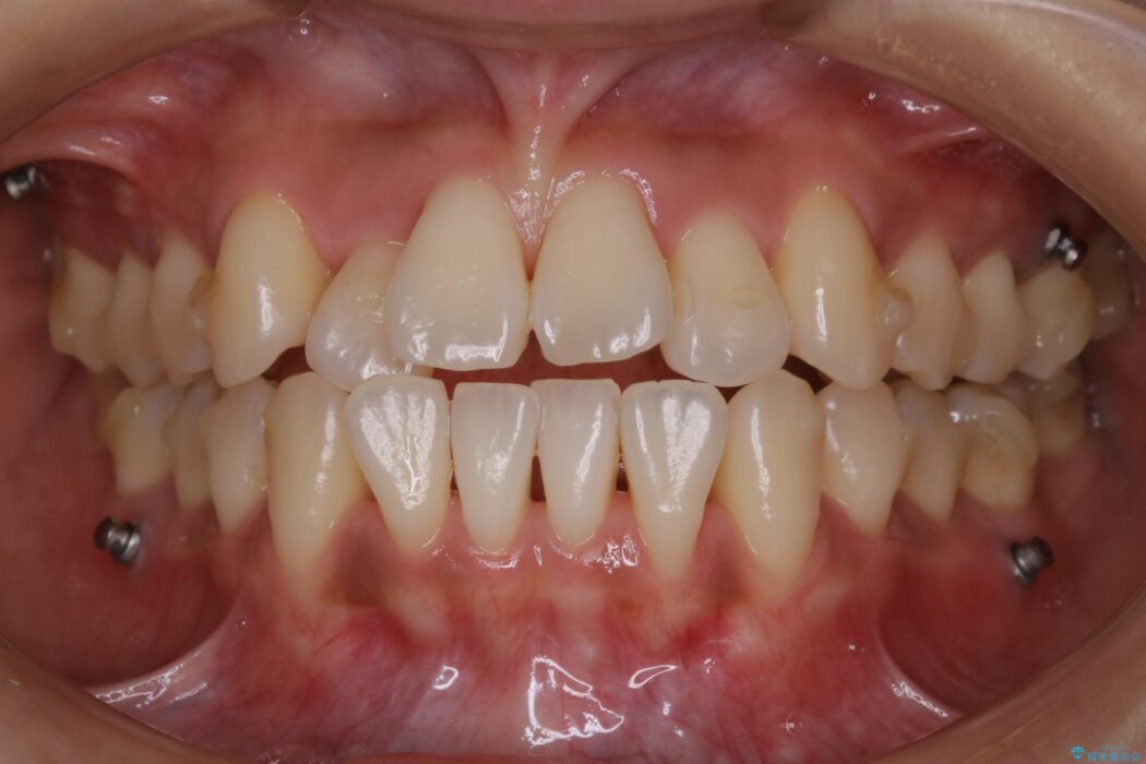
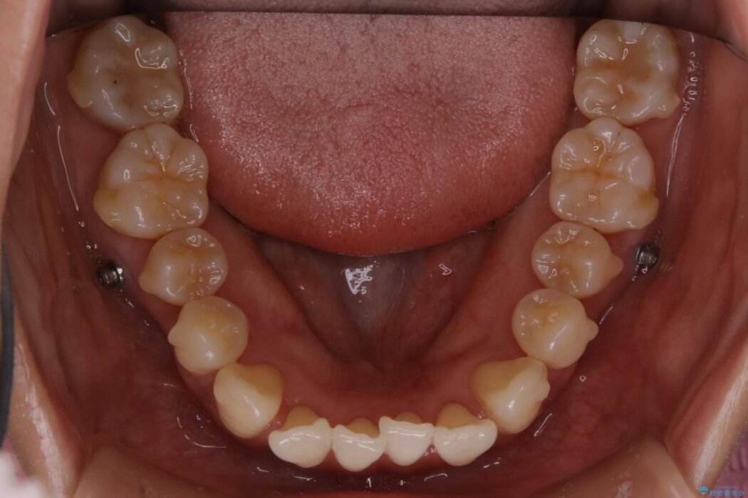
よってマイクロインプラントを用い、奥歯から順番に遠心移動させることによってスペースを確保することにしました。
歯の遠心移動
歯を後方に移動させてスペースを確保する場合、マウスピースの装着時間に加えて装着時の適合度が良い状態に保たれているかが鍵となります。
歯は戻ろうとする力が強いためマウスピースの装着をしっかりしていただけなかった場合は、作り直しや治療の長期化につながってしまう可能性があります。
関連する他の症例
マウスピース矯正の注意事項(リスク・副作用など)
- 口腔内・歯並びの状態によっては対応できない場合があります
- マウスピース型矯正装置の長時間装着(1日20時間以上)が必須です
- 治療計画通りに進めるためには、患者様の意志が重要になります
- 矯正治療後の保定が不十分だと後戻り(元の位置に戻ろうとする動き)をします
- 薬機法対象外の矯正歯科装置のため医薬品副作用被害救済制度の対象外となる場合があります
- 自費診療(保険適用外)となります









