【20代女性】非抜歯でもガタガタを改善するインビザライン矯正
治療概要
- 患者様:20代女性
- 治療期間:2年
- 矯正装置:インビザライン
- 概算治療費:88万円(マイクロインプラント費用込)
※費用は治療当時の料金となります - 担当医:福本健生
治療動機
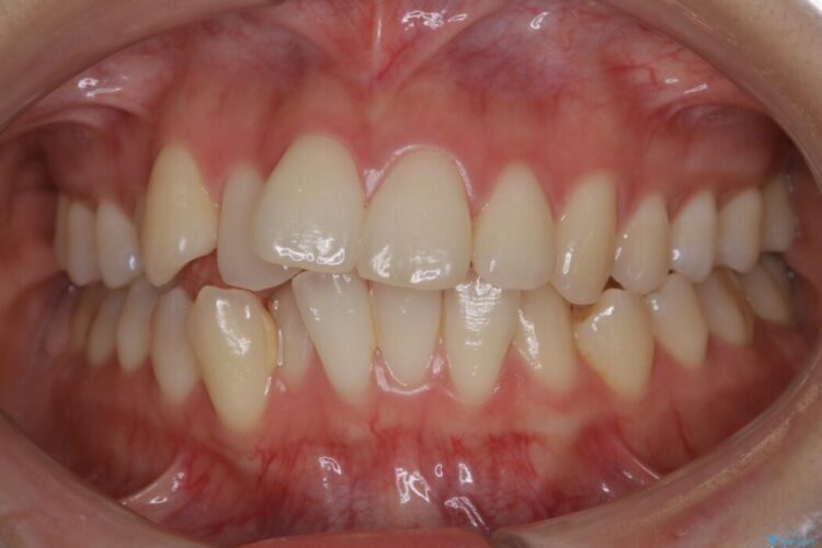
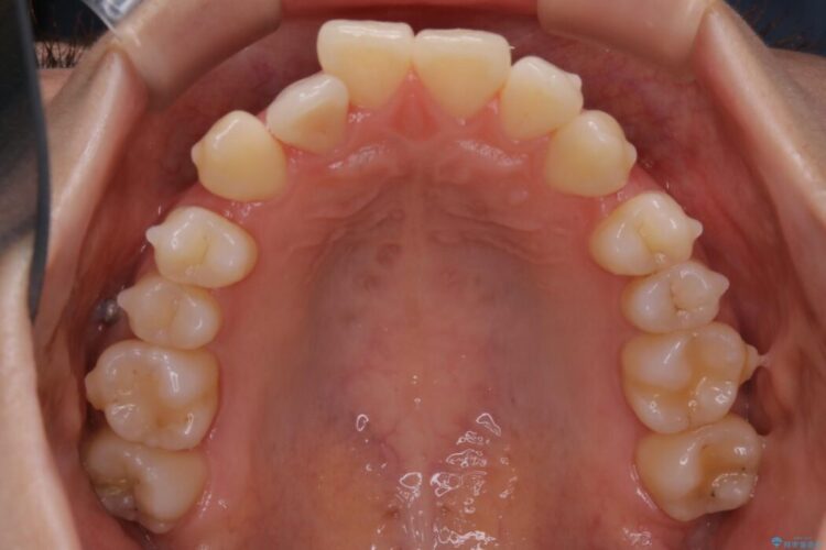
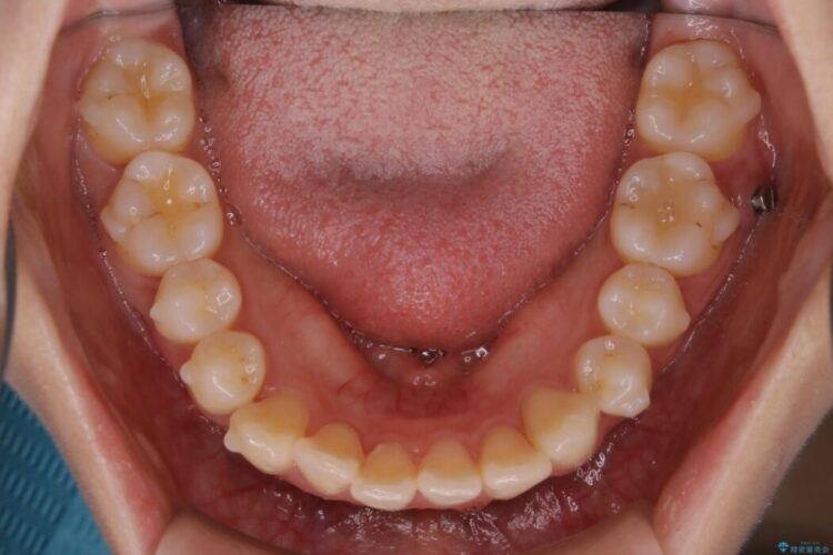
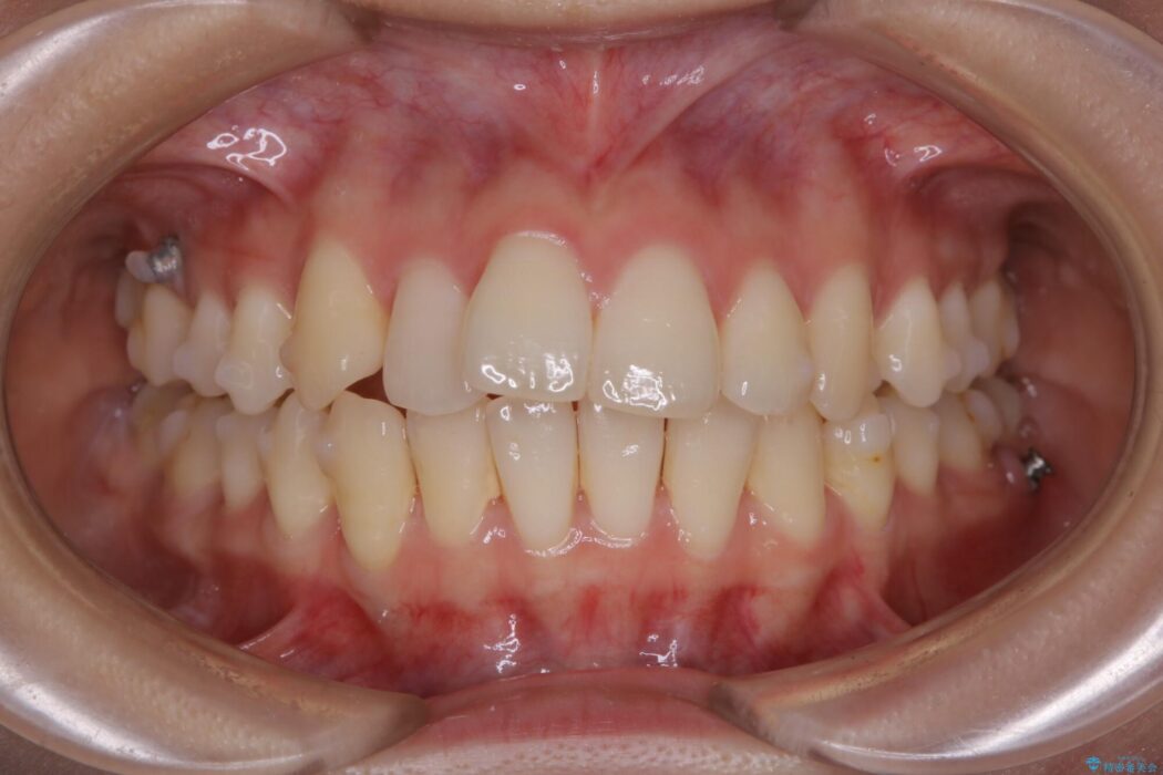
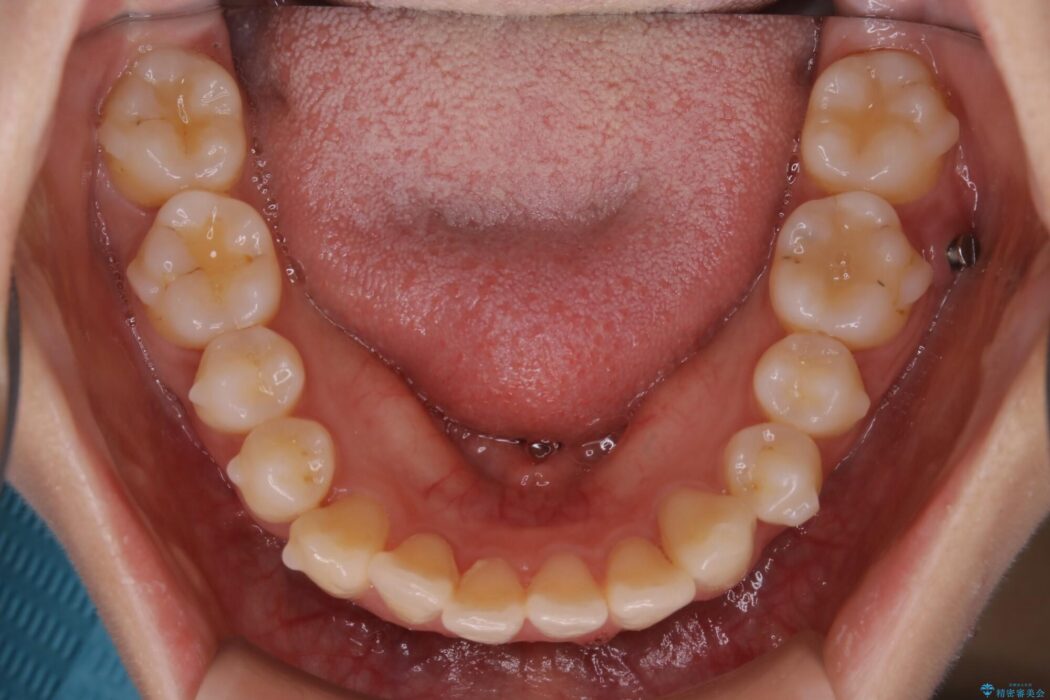
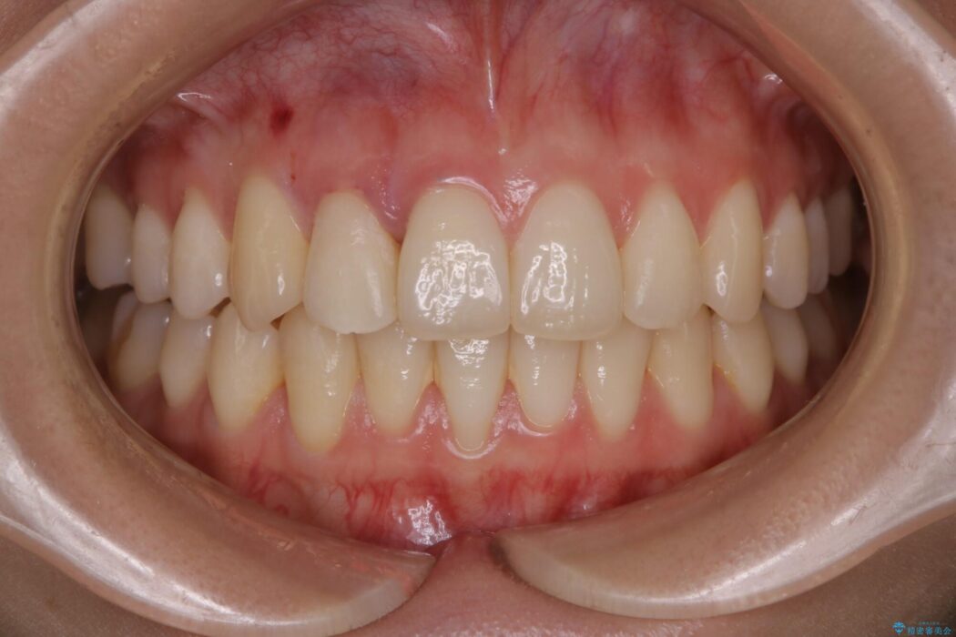
前歯の歯列のガタガタさと噛み合わせの改善を主訴に来院されました。
治療計画
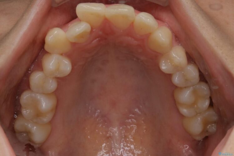
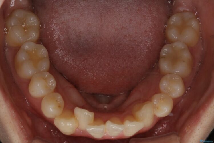
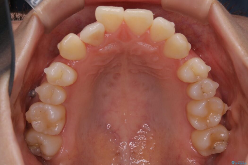
検査した結果、元々の顎骨や口腔・歯槽骨が小さく、歯が並びきらないためガタつきが生じていました。
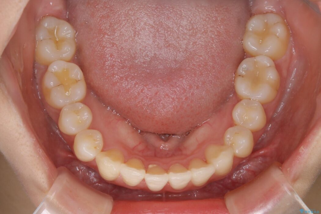
本症例では歯を奥歯から後方へ移動させ、IPRを合わせて併用することで歯列を整えることでスペースを整えることとし、非抜歯での治療計画を立てました。
治療後について
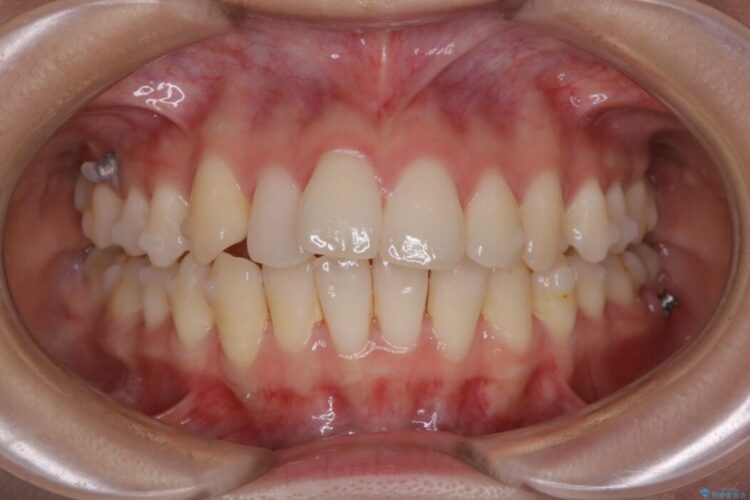
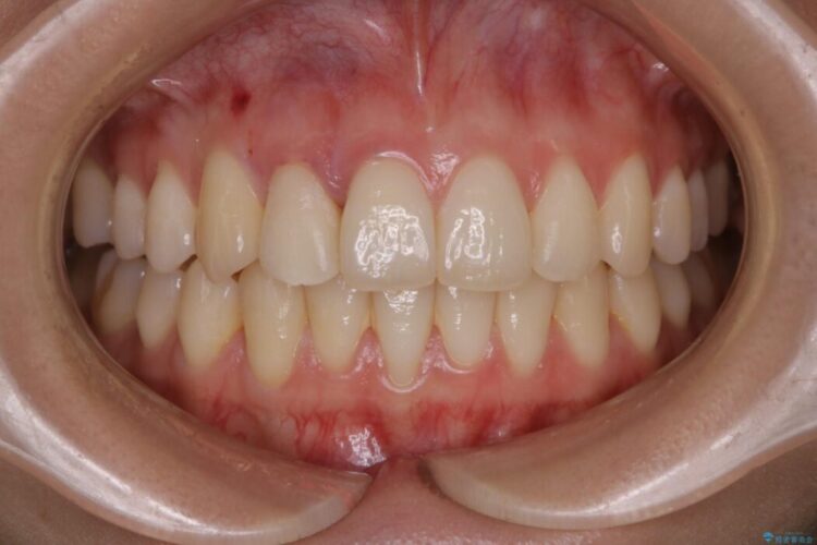
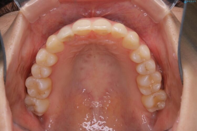
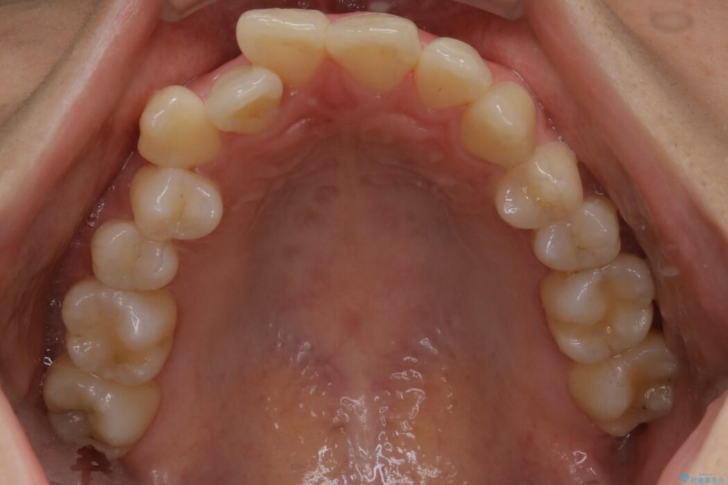
見た目が劇的に改善され、とても喜んでいただけました。
歯を並べるためのスペースの確保
本症例では歯を並べるスペースを確保するために、歯の遠心移動と歯列の拡大、歯と歯の間を少しだけ小さく削る(IPR)という方法を複合的に組み合わせて配列を行いました。
また遠心移動の補助装置としてマイクロインプラントという小さいネジを用いてゴムかけを行うことにより、骨に直接固定源を求めました。
関連する他の症例
マウスピース矯正の注意事項(リスク・副作用など)
- 口腔内・歯並びの状態によっては対応できない場合があります
- マウスピース型矯正装置の長時間装着(1日20時間以上)が必須です
- 治療計画通りに進めるためには、患者様の意志が重要になります
- 矯正治療後の保定が不十分だと後戻り(元の位置に戻ろうとする動き)をします
- 薬機法対象外の矯正歯科装置のため医薬品副作用被害救済制度の対象外となる場合があります
- 自費診療(保険適用外)となります









