【30代女性】歯を長持ちさせるための咬合調整
治療概要
- 患者様:30代女性
- 治療期間:1年6ヶ月
- 矯正装置:インビザライン コンプリヘンシブパッケージ
- 概算治療費:88万円
※費用は治療当時の料金となります - 担当医:福本健生
治療動機
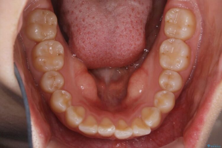
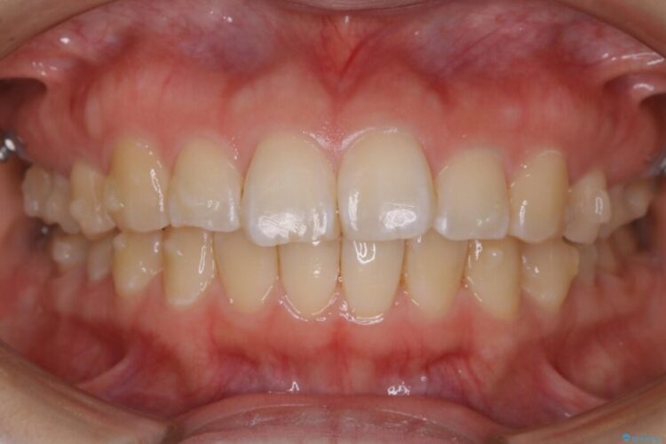
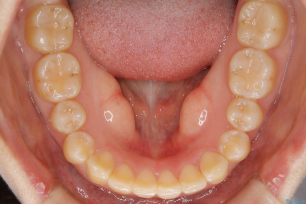
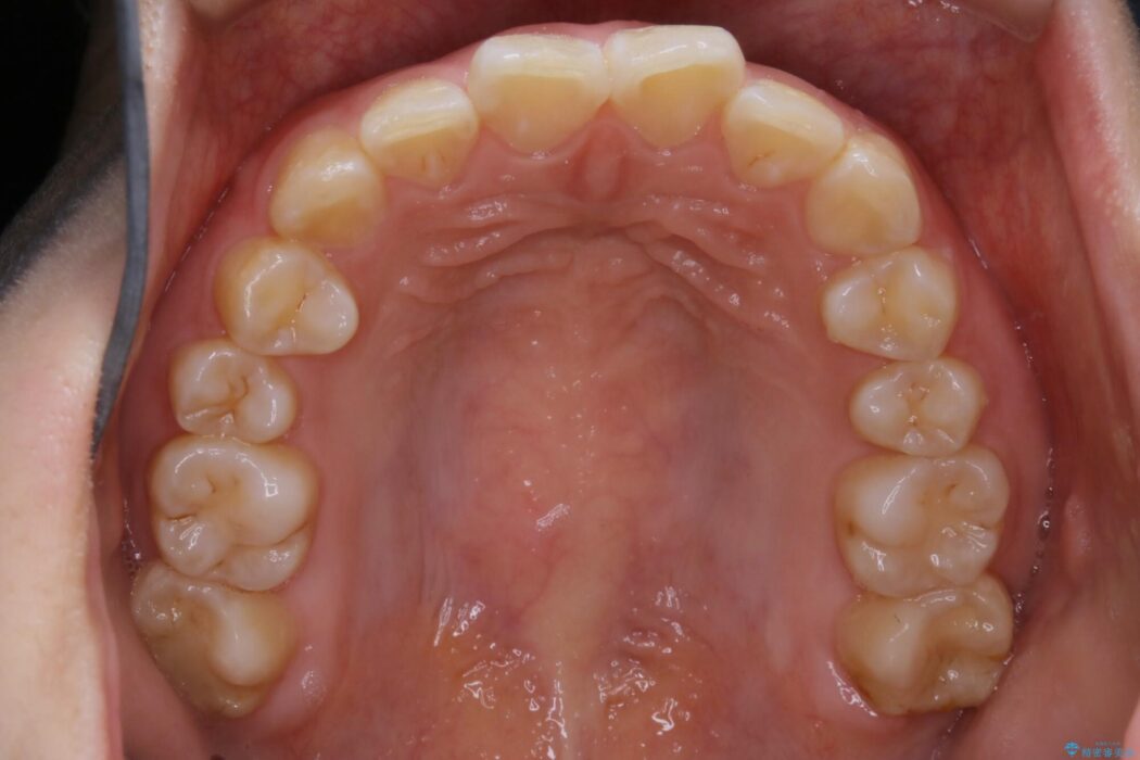
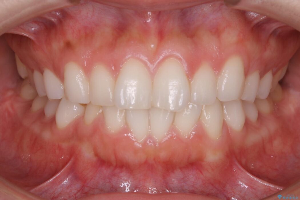
噛み合わせの違和感と前歯のガタガタを主訴に来院されました。
治療計画
歯軸傾斜と軽度の叢生が見られましたので、通常の位置へと傾きを戻し少量の遠心移動に加えアーチ(歯列弓)の拡大とIPRを施すことで改善していく非抜歯での治療計画としました。
治療後について
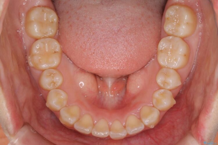
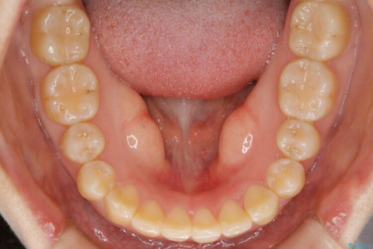
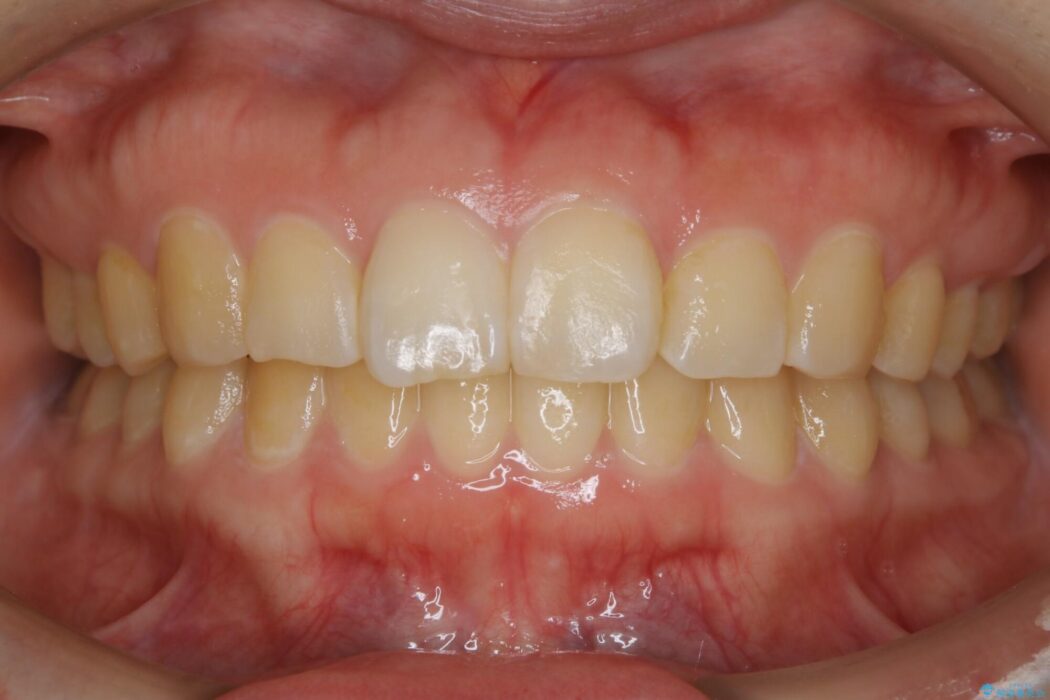
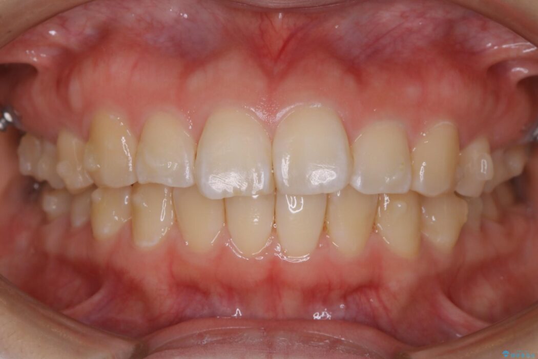
咬合調整は咬合力を複数の歯に均等に分散することで歯の負担を少なくでき、歯の長持ちに繋がります。
噛み合わせが改善されたことによりしっかり噛めるようになったと喜んでいただきました。
関連する他の症例
マウスピース矯正の注意事項(リスク・副作用など)
- 口腔内・歯並びの状態によっては対応できない場合があります
- マウスピース型矯正装置の長時間装着(1日20時間以上)が必須です
- 治療計画通りに進めるためには、患者様の意志が重要になります
- 矯正治療後の保定が不十分だと後戻り(元の位置に戻ろうとする動き)をします
- 薬機法対象外の矯正歯科装置のため医薬品副作用被害救済制度の対象外となる場合があります
- 自費診療(保険適用外)となります









