【10代女性】インビザラインライトで短期矯正
治療概要
- 患者様:10代女性
- 治療期間:4ヶ月
- 矯正装置:インビザラインライト
- 概算治療費:45万円
※費用は治療当時の料金となります - 担当医:草深敏毅草深
治療動機
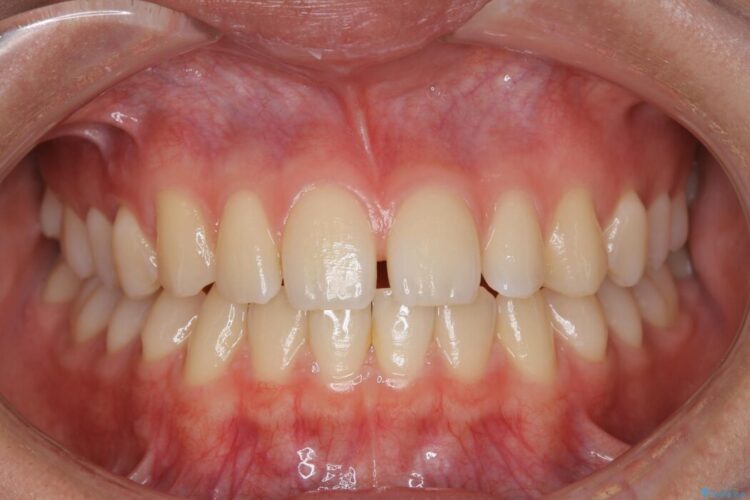
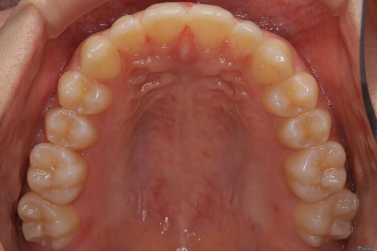
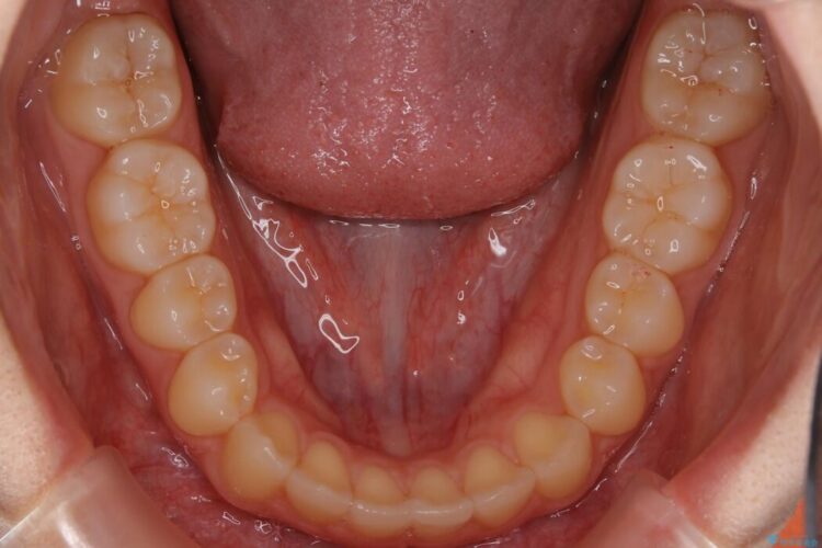
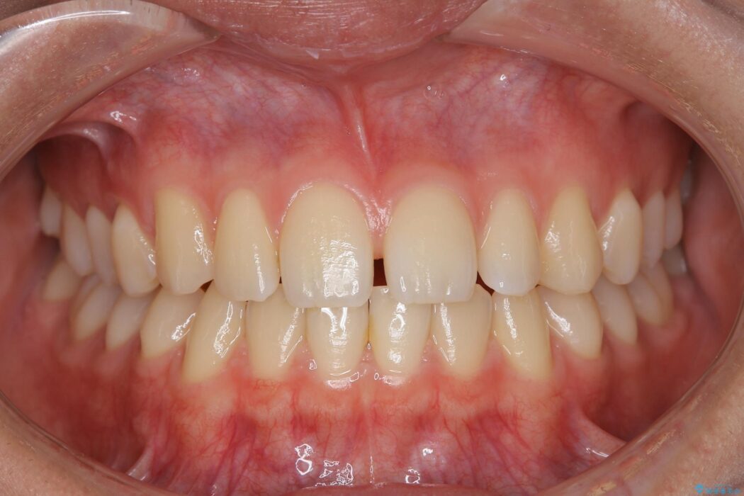
すきっ歯を改善したいとご来院された患者様です。
治療計画
インビザライン・クリンチェック(シミュレーション)を行い、インビザラインライトで治せる範囲であると診断し、矯正治療を行いました。
治療後について
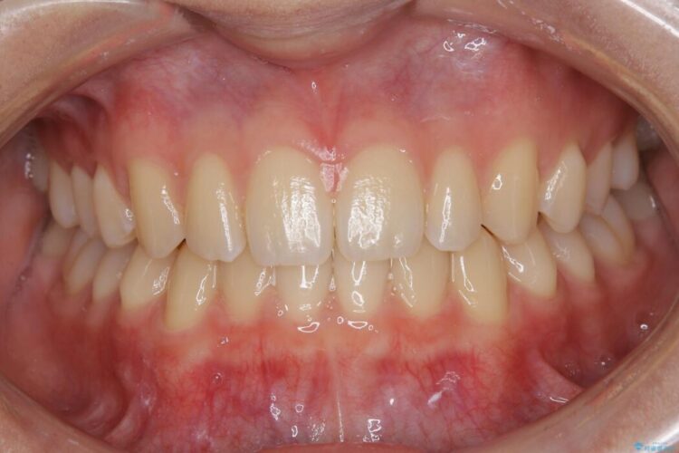
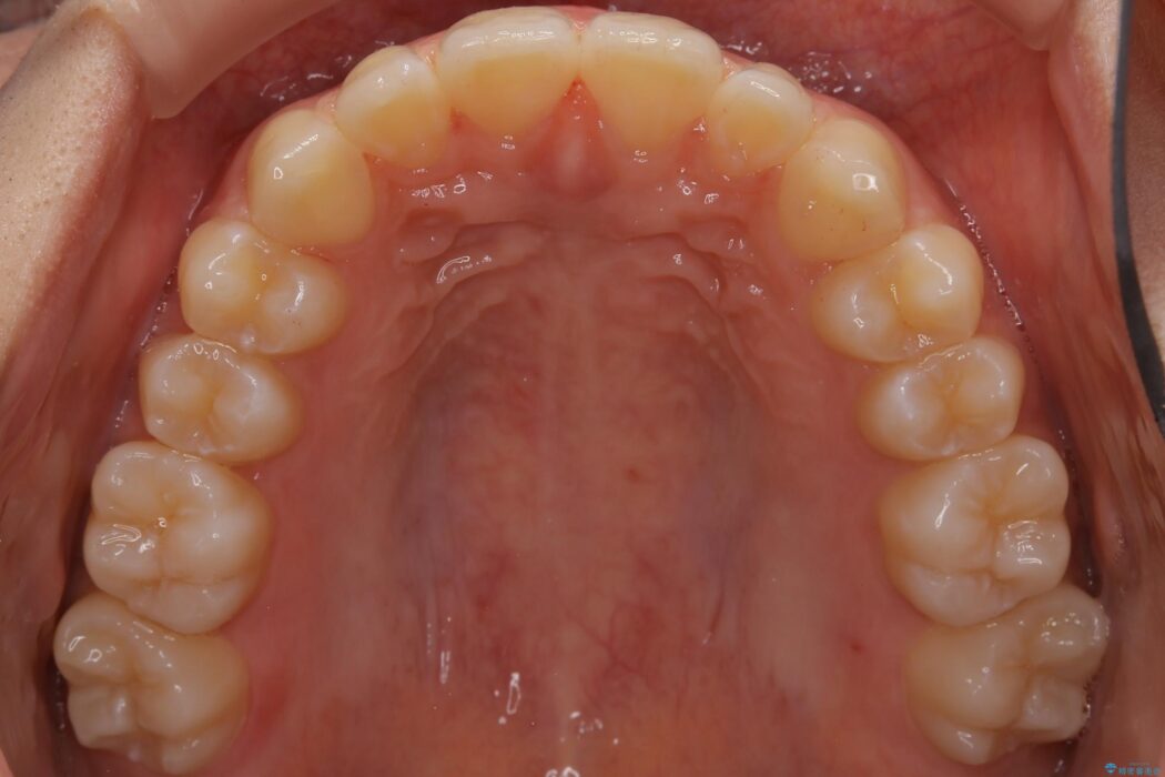
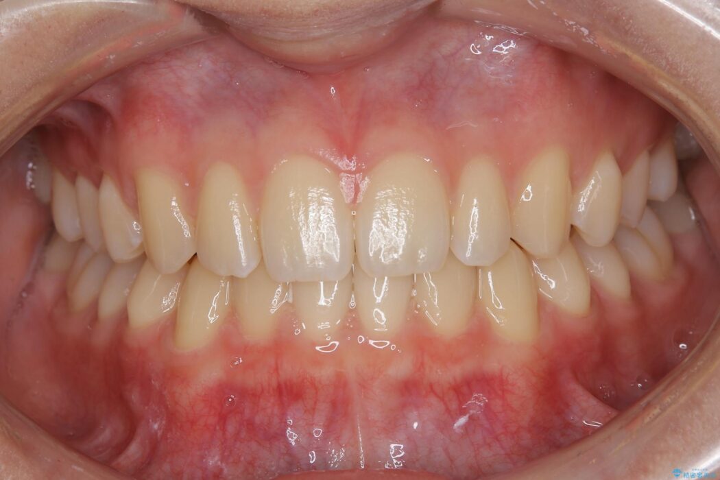
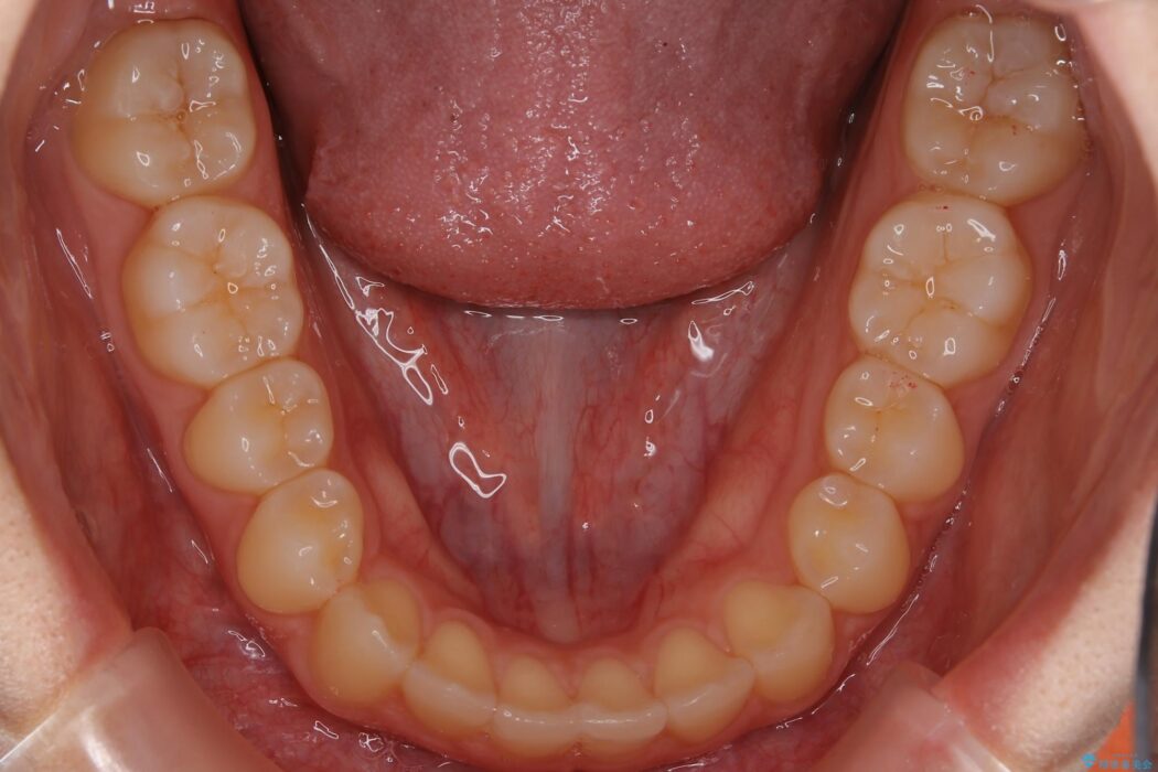
マウスピース14枚・期間4ヶ月で主訴であるすきっ歯を改善し、治療を終えることが出来ました。
関連する他の症例
マウスピース矯正の注意事項(リスク・副作用など)
- 口腔内・歯並びの状態によっては対応できない場合があります
- マウスピース型矯正装置の長時間装着(1日20時間以上)が必須です
- 治療計画通りに進めるためには、患者様の意志が重要になります
- 矯正治療後の保定が不十分だと後戻り(元の位置に戻ろうとする動き)をします
- 薬機法対象外の矯正歯科装置のため医薬品副作用被害救済制度の対象外となる場合があります
- 自費診療(保険適用外)となります






