【30代女性】前歯の見た目をセラミッククラウンで変える
治療概要
- 患者様:30代女性
- 治療期間:1ヶ月
- 概算治療費:85.8万円(税込み/1歯当たり14.3万円)
※費用は治療当時の料金となります - 担当医:福本健生
治療動機
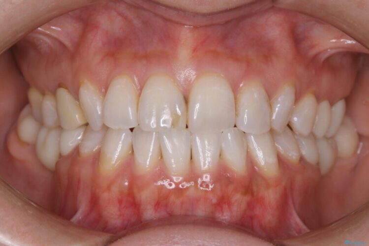
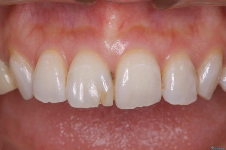
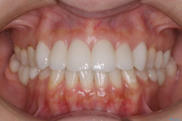
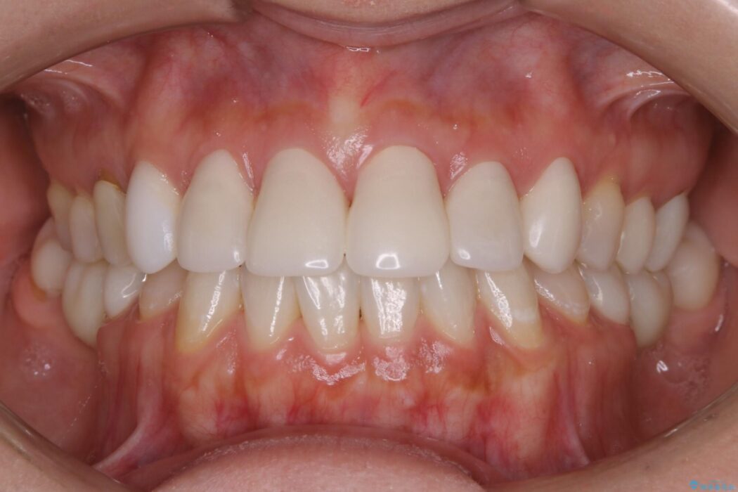
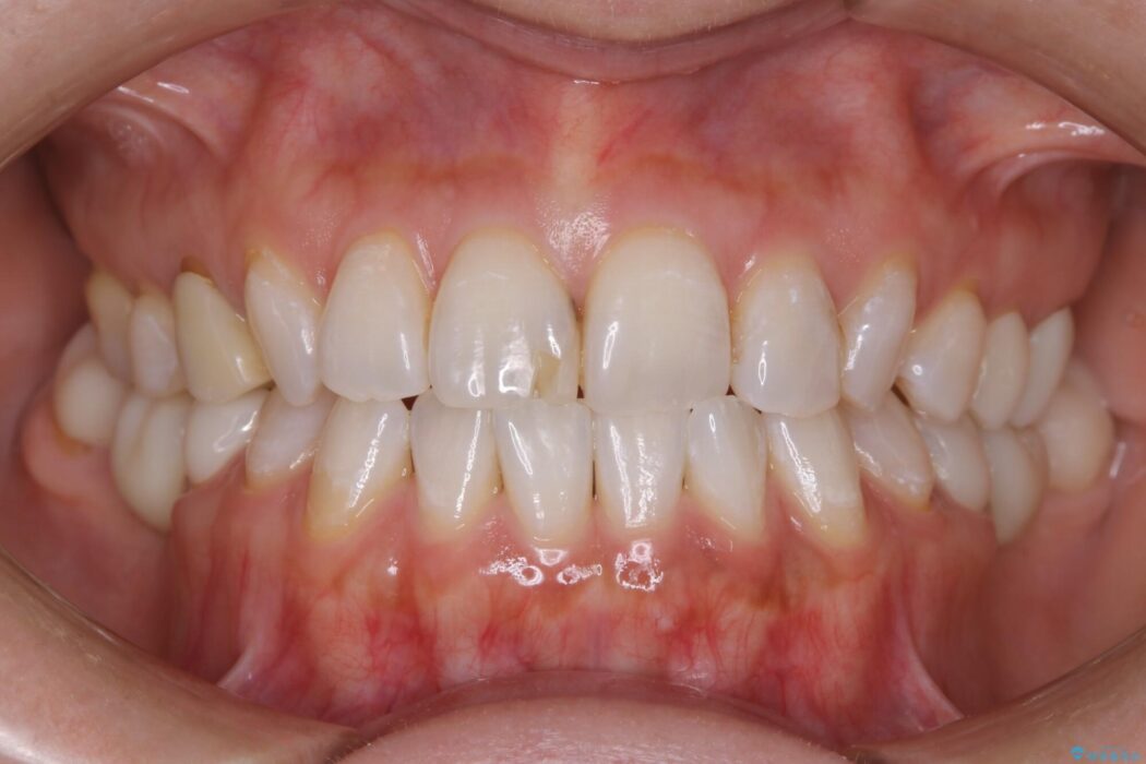
前歯の色や欠けなどの見た目が気になっているので改善したく来院されました。
治療計画
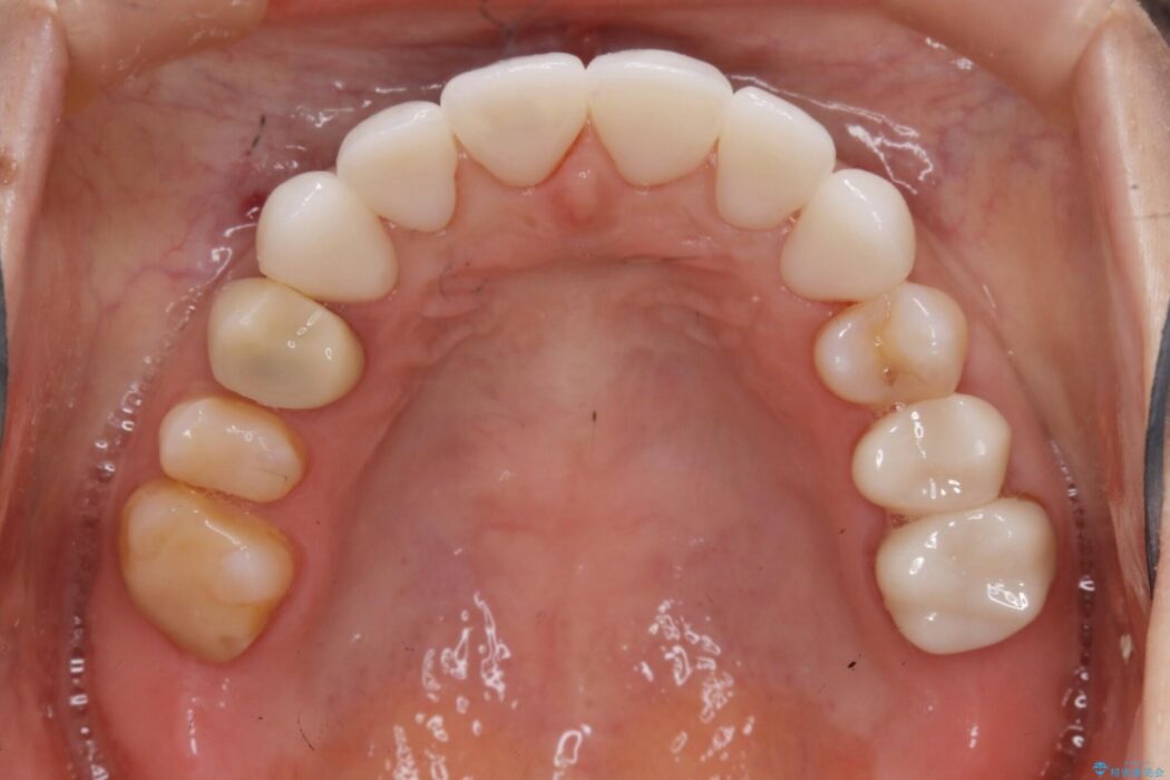
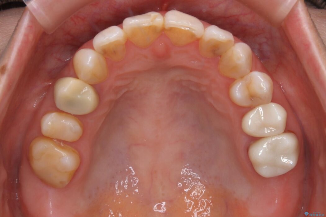
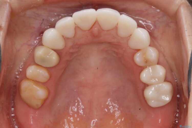
検査をしたところ、歯の先端の欠け、細かい叢生、くぼみがある他、下の前歯が上の前歯より前に出ている「反対咬合」などを認めました。
主訴である前歯部分以外の治療歴も多くブリッジ治療の既往もあったため、反対咬合の改善をするには治療規模、期間などが大きくなってしまうことが予測できました。
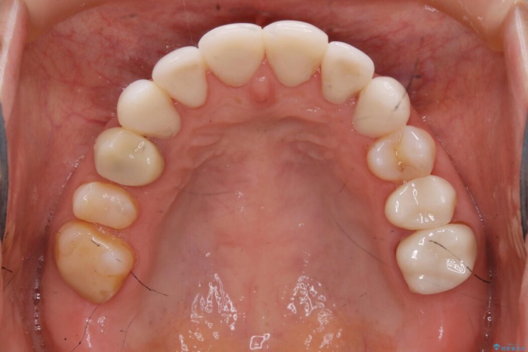
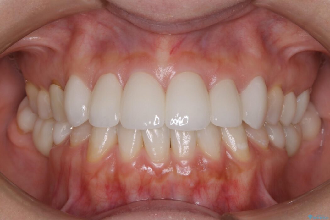
よって今回のケースでは患者様とご相談をした上で、かぶせ物の治療を選択。前歯の形態や噛み合わせ改善治療へのアプローチを図りました。
治療後について
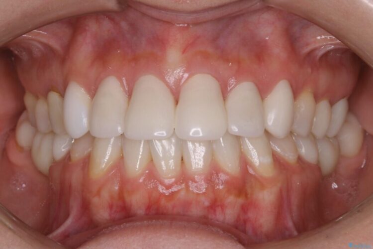
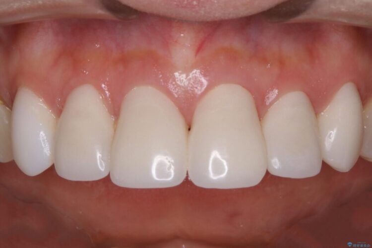
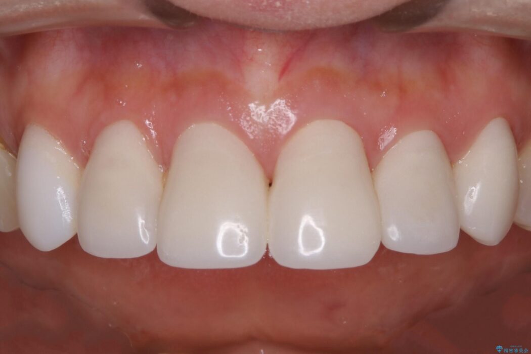
色、形など患者様のご希望されていた見た目になったことに大変喜んでいただきました。
オールセラミッククラウン(被せ物)
被せ物の見た目は、制度や耐久性だけでなく審美性を最も意識される患者様が多く、重要な要素といえます。
オールセラミッククラウンは、汚れが着きにくく着色もせず虫歯の再発リスクも低い素材で天然の歯と硬さがほぼ同じものです。
今回はオールセラミッククラウンの中でもスペシャルというグレードのものになります。
仮歯の時点で患者様による形のイメージに納得がいくまで調整をした上で、そこから更に技工士とのイメージのすり合わせを行うことで、審美的で非常に満足度の高い治療となります。
関連する他の症例
セラミック治療の注意事項(リスク・副作用など)
- 天然歯を削ります
- 硬い素材は天然歯を傷つけてしまう場合があります
- かみ合わせや歯ぎしりが強すぎる方はセラミックが割れてしまう可能性があります
- 自費診療(保険適用外治療)となります









