【20代 女性】劣化した保険のプラスチックをセラミックへ
治療概要
- 患者様:20代女性
- 治療期間:1ヶ月
- 概算治療費:7.7万円
※費用は治療当時の料金となります - 担当医:福本健生
治療動機
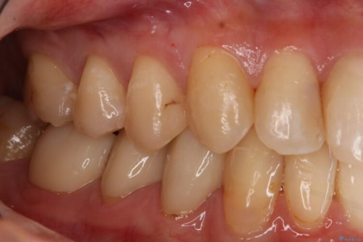
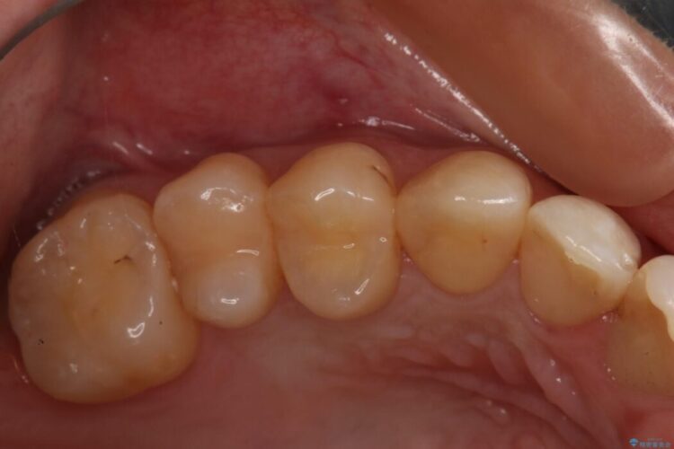
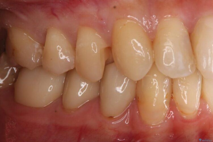
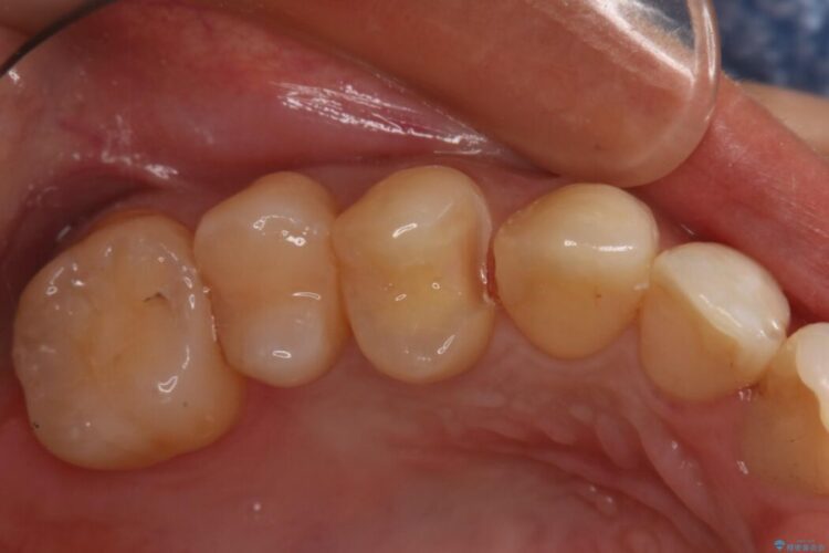
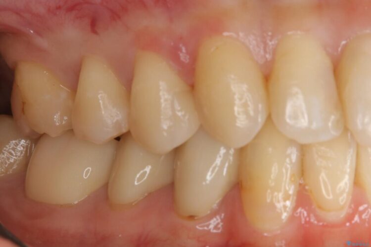
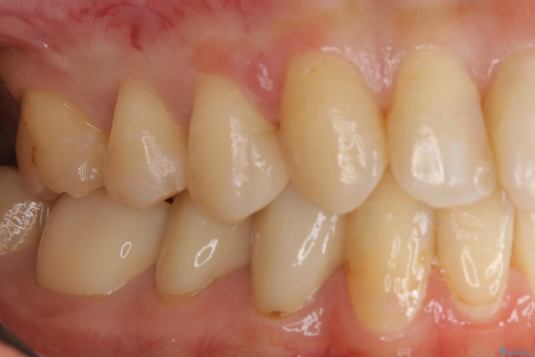
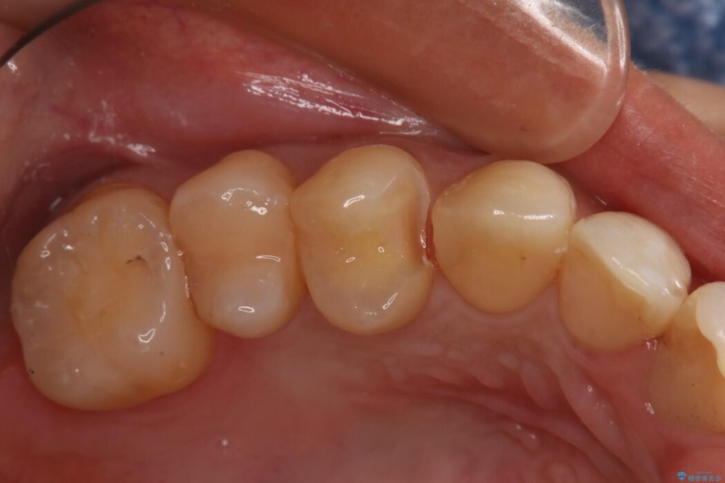
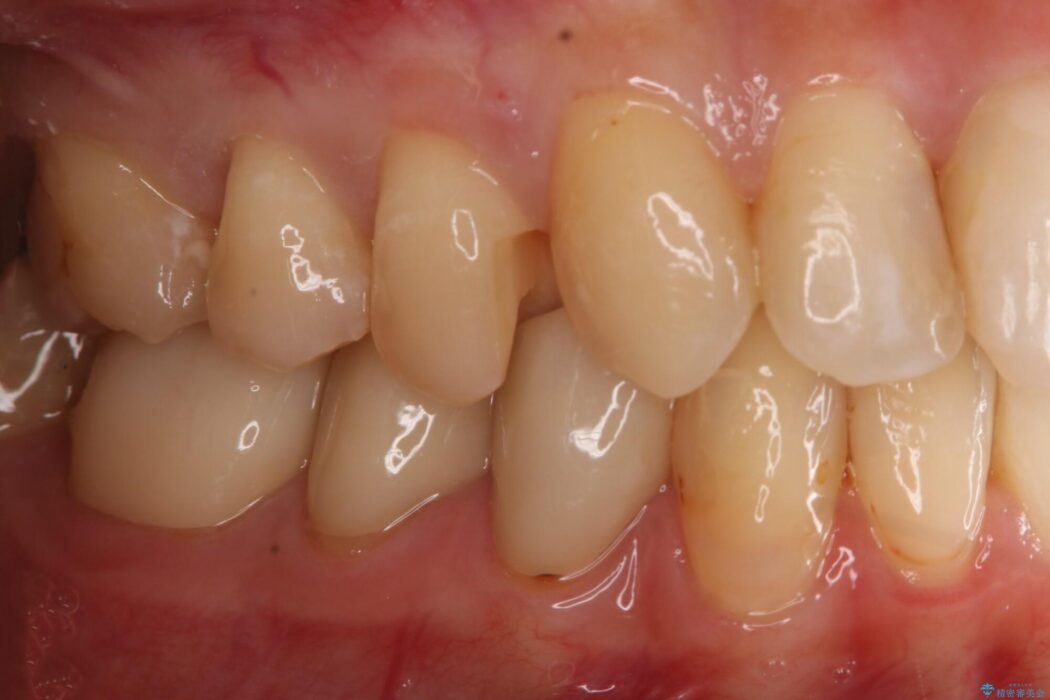
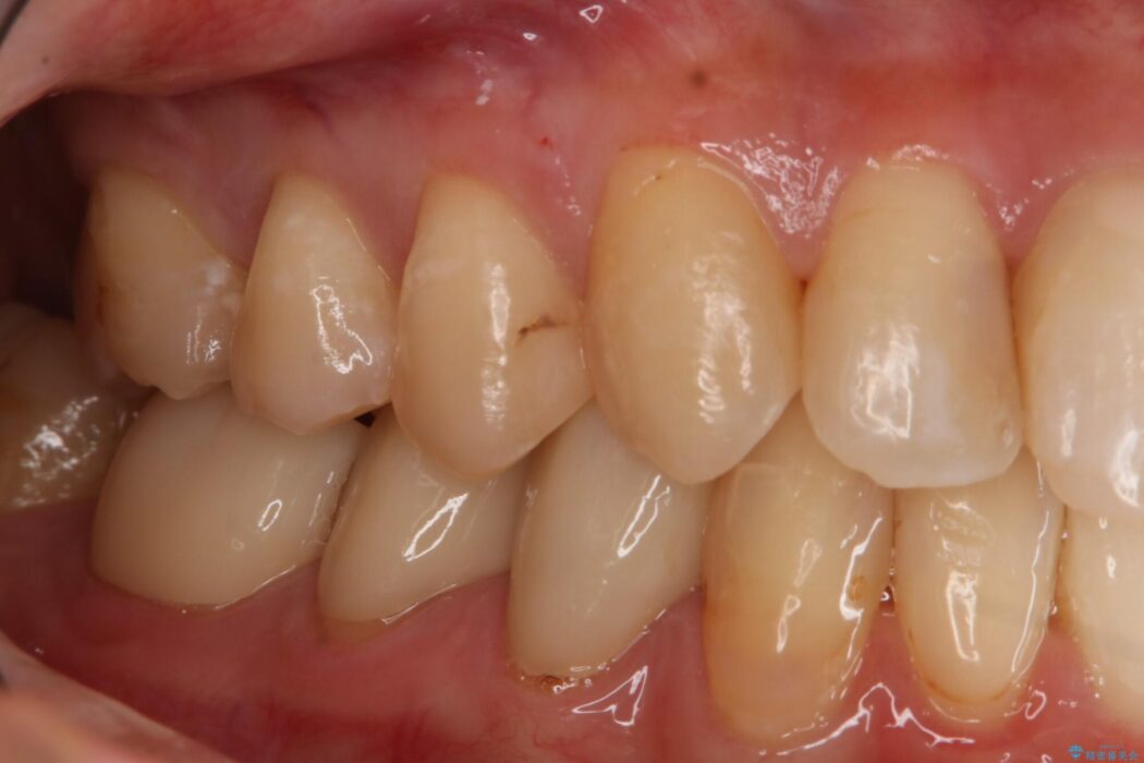
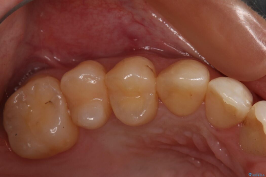
保険のプラスチックの詰め物が変色したとのことで、やり直しを希望された患者様です。
治療計画
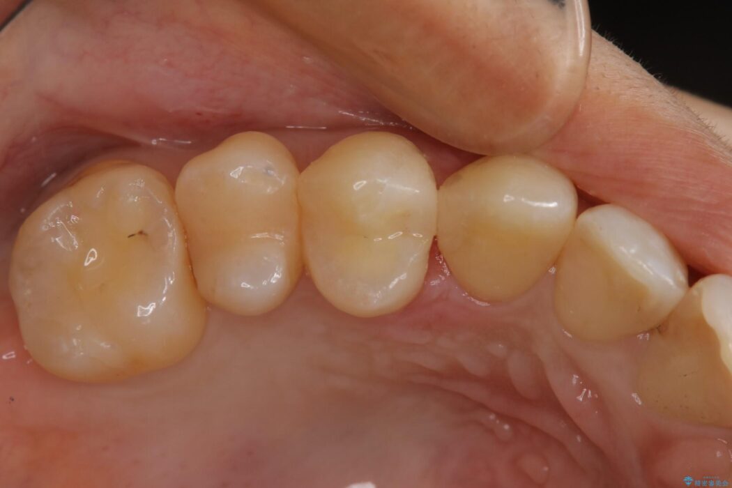
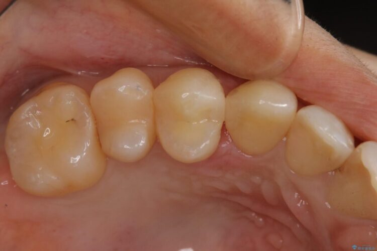
各治療方法のメリットとデメリットを説明し、自費のセラミックインレーを選択されました。このインレー治療は、来院回数が約2回と少なく、虫歯の部分だけを最小限に削るため、ご自身の健康な歯を最大限に残したい方に最適な治療法です。
セラミックインレー
虫歯になった範囲が大きくなってくると削る範囲も比例して大きくなります。ある一定以上の大きさや範囲になった時の治療法に「インレー」というものがあり、保険の範囲では銀歯かプラスチック(適用条件有り)が、自費ではセラミックやゴールドといった素材を選ぶことができます。
セラミックやゴールドは、素材自体の劣化が非常に少なく精度も高いため、治療費はかかりますが、やり直しになる可能性を限りなく低くすることができます。
関連する他の症例
セラミック治療の注意事項(リスク・副作用など)
- 天然歯を削ります
- 硬い素材は天然歯を傷つけてしまう場合があります
- かみ合わせや歯ぎしりが強すぎる方はセラミックが割れてしまう可能性があります
- 自費診療(保険適用外治療)となります






